Loading...

Skip to main content
Call us at +1-800-604-9114 for more information about our products or contact us online Need help? +1-800-604-9114 or contact us

Filters


Clonality

Type

Reactivity

Gene Name

Isotype

Host

Application

Clone

Viewing 2600-2650 of 10000 product results


product-image-AAA23827_WB9.jpg WB (Western Blot) (Detection of human and mouse beta-Catenin by western blot. Samples: Whole cell lysate (50 ug) from Hep-G2, LNCaP, K-562, GaMG, Jurkat, A-549, MCF-7, HeLa, TCMK-1, and NIH 3T3 cells prepared using NETN lysis buffer. Antibody: Rabbit anti-beta-Catenin recombinant monoclonal antibody (AAA23827 lot 1) used at 1:1000. Secondary: HRP-conjugated goat anti-rabbit IgG . Detection: Chemiluminescence with an exposure time of 10 seconds.)

beta Catenin, Monoclonal Recombinant Antibody (Cat# AAA23827)

Full Name
Rabbit anti-beta Catenin Recombinant Monoclonal Antibody [BLR086G]
Gene Names
CTNNB1; CTNNB; MRD19; armadillo
Reactivity
Human, Mouse
Applications
Western Blot, Immunoprecipitation, Immunohistochemistry, Immunocytochemistry, Immunohistochemistry, Flow Cytometry
Purity
Purified
Pricing
product-image-AAA30263_FCM6.jpg FCM (Flow Cytometry) (Flow cytometric analysis of Hela cells with Transferrin Receptor antibody at 1/50 dilution (red) compared with an unlabelled control (cells without incubation with primary antibody; black). Alexa Fluor 488-conjugated goat anti rabbit IgG was used as the secondary antibody)

Transferrin (CD71), Monoclonal Antibody (Cat# AAA30263)

Full Name
Transferrin Receptor (CD71) Antibody
Gene Names
TFRC; T9; TR; TFR; p90; CD71; TFR1; TRFR
Reactivity
Human, Mouse, Rat
Applications
Western Blot, Immunohistochemistry, Immunoprecipitation, Flow Cytometry
Purity
ProA affinity purified
Pricing
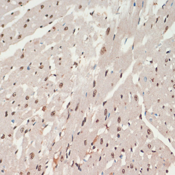
product-image-AAA31284_IHC6.jpg IHC (Immunohistchemistry) (At 1/100 staining Mouse heart tissue by IHC-P. The sample was formaldehyde fixed and a heat mediated antigen retrieval step in citrate buffer was performed. The sample was then blocked and incubated with the primary antibody at 4 degree C overnight. An HRP conjugated anti-Rabbit antibody was used as the secondary antibody.)

OTUB1, Polyclonal Antibody (Cat# AAA31284)

Full Name
Phospho-OTUB1 (Ser16) Antibody
Gene Names
OTUB1; OTB1; OTU1; HSPC263
Reactivity
Human, Mouse, Rat
Applications
Immunohistochemistry, Peptide ELISA
Purity
The antibody is from purified rabbit serum by affinity purification via sequential chromatography on phospho-peptide and non-phospho-peptide affinity columns.
Pricing
product-image-AAA17469_SC.jpg Standard Curve (Sample)

Tumor Necrosis Factor Alpha, ELISA Kit (Cat# AAA17469)

Full Name
Guinea pig Tumor Necrosis Factor Alpha ELISA Kit
Reactivity
Guinea pig
Pricing
product-image-AAA20110_WB2.jpg WB (Western Blot) (Western Blot:Sample: Recombinant b2M, Canine.)

Beta-2-Microglobulin (b2M), Antibody (Cat# AAA20110)

Full Name
Polyclonal Antibody to Beta-2-Microglobulin (b2M)
Reactivity
Human, Dog
Applications
WB, IHC, ICC, IP
Purity
Antigen-specific affinity chromatography followed by Protein A affinity chromatography
Pricing
product-image-AAA11666_FCM7.jpg FCM (Flow Cytometry) (Figure 7. Flow Cytometry analysis of A431 cells using anti-BIK antibody (AAA11666).Overlay histogram showing A431 cells stained with AAA11666 (Blue line).The cells were blocked with 10% normal goat serum. And then incubated with rabbit anti-BIK Antibody (AAA11666,1ug/1x10^6 cells) for 30 min at 20 degree C. DyLight®488 conjugated goat anti-rabbit IgG (5-10ug/1x10^6 cells) was used as secondary antibody for 30 minutes at 20 degree C. Isotype control antibody (Green line) was rabbit IgG (1ug/1x106) used under the same conditions. Unlabelled sample (Red line) was also used as a control.)

Bik, Polyclonal Antibody (Cat# AAA11666)

Full Name
Anti-Bik Antibody
Gene Names
BIK; BP4; NBK; BIP1
Reactivity
Human, Mouse, Rat
Applications
Western Blot, Immunohistochemistry
Purity
Immunogen Affinity Purified
Pricing
product-image-AAA12046_APP10.jpg Application Data (Immunoperoxidase staining of human tonsil cryosection using Mouse anti Human CD3 antibody, clone UCHT1 followed by horseradish peroxidase Goat anti Mouse IgG2a antibody as a detection reagent. Medium power)

CD3, Monoclonal Antibody (Cat# AAA12046)

Full Name
MOUSE ANTI HUMAN CD3:RPE
Gene Names
CD3G; T3G; IMD17; CD3-GAMMA
Applications
Flow Cytometry
Pricing
product-image-AAA10662_ChIP6.jpg ChIP (Chromatin Immunoprecipitation) (Chromatin immunoprecipitation analysis extracts of 293 cell line, using TriMethyl-Histone H3-K4 antibody and rabbit IgG. The amount of immunoprecipitated DNA was checked by quantitative PCR. Histogram was constructed by the ratios of the immunoprecipitated DNA to the input.)

H3K4me3, Antibody (Cat# AAA10662)

Full Name
Histone H3K4me3 Polyclonal Antibody
Gene Names
HIST3H3; H3t; H3.4; H3/g; H3FT
Reactivity
Human, Mouse, Rat, Other (Wide Range)
Applications
Western Blot, Immunohistochemistry, Immunofluorescence, Immunoprecipitation, Chromatin Immunoprecipitation, Chromatin Immunoprecipitation
Purity
Affinity Purification
Pricing
product-image-AAA22284_IF6.jpg IF (Immunofluorescence) (Immunofluorescence analysis of Mouse brain using CAMK2G Polyclonal Antibody at dilution of 1 : 100 (40x lens). Blue: DAPI for nuclear staining.)

CAMK2G, Polyclonal Antibody (Cat# AAA22284)

Full Name
CAMK2G Polyclonal Antibody
Gene Names
CAMK2G; CAMK; CAMKG; CAMK-II
Reactivity
Human, Mouse, Rat
Applications
Western Blot, Immunohistochemistry, Immunofluorescence
Purity
Affinity purification
Pricing
product-image-AAA23901_APP7.jpg Application Data (Analysis of Protein Array containing more than 19, 000 full-length human proteins using CD10 Mouse Monoclonal Antibody (MME/1870)Z- and S- Score: The Z-score represents the strength of a signal that a monoclonal antibody (MAb) (in combination with a fluorescently-tagged anti-IgG secondary antibody) produces when binding to a particular protein on the HuProtTM array. Z-scores are described in units of standard deviations (SD's) above the mean value of all signals generated on that array. If targets on HuProtTM are arranged in descending order of the Z-score, the S-score is the difference (also in units of SD's) between the Z-score. S-score therefore represents the relative target specificity of a MAb to its intended target. A MAb is considered to specific to its intended target, if the MAb has an S-score of at least 2.5. For example, if a MAb binds to protein X with a Z-score of 43 and to protein Y with a Z-score of 14, then the S-score for the binding of that MAb to protein X is equal to 29.)

CD10, Monoclonal Antibody (Cat# AAA23901)

Full Name
CD10 (Membrane Metalloendopeptidase)
Gene Names
MME; NEP; SFE; CD10; CALLA; CMT2T; SCA43
Reactivity
Human. Others not tested.
Applications
Immunohistochemistry
Pricing
product-image-AAA25179_WB6.jpg WB (Western Blot) (Western blot analysis of NMI over-expressed 293 cell line, cotransfected with NMI Validated Chimera RNAi (Lane 2) or non-transfected control (Lane 1). Blot probed with NMI monoclonal antibody GAPDH (36.1kD) used as specificity and loading control.)

NMI, Monoclonal Antibody (Cat# AAA25179)

Full Name
NMI (N-myc-interactor, Nmi, N-myc and STAT Interactor) (FITC)
Reactivity
Human
Applications
Immunohistochemistry, Western Blot
Purity
Purified by Protein A Affinity Chromatography.
Pricing
product-image-AAA26283_IF6.jpg IF (Immunofluorescence) (Immunofluorescence of monoclonal antibody to TIMP2 on HeLa cell. [antibody concentration 10 ug/ml])

TIMP2, Monoclonal Antibody (Cat# AAA26283)

Full Name
TIMP2 (TIMP Metallopeptidase Inhibitor 2, CSC-21K) (Biotin)
Gene Names
TIMP2; DDC8; CSC-21K
Applications
Immunofluorescence, Immunohistochemistry, Western Blot
Purity
Purified
Pricing
product-image-AAA25981_IHC6.jpg IHC (Immunohistchemistry) (Immunoperoxidase of monoclonal antibody to FOXA2 on formalin-fixed paraffin-embedded human pancreas. [antibody concentration 0.5 ug/ml])

FOXA2, Monoclonal Antibody (Cat# AAA25981)

Full Name
FOXA2 (Forkhead Box A2, HNF3B, MGC19807, TCF3B) (AP)
Gene Names
FOXA2; HNF3B; TCF3B
Applications
Immunohistochemistry, Western Blot
Purity
Purified
Pricing
product-image-AAA26757_APP7.jpg Application Data (Staining of human peripheral blood lymphocytes with MOUSE ANTI HUMAN CD4:ALEXA 405)

CD4, Monoclonal Antibody (Cat# AAA26757)

Full Name
CD4 (CD4 Antigen, CD4 Molecule, CD4 Receptor, CD4mut, T Cell Surface Antigen T4/Leu3, T Cell Antigen T4, T Cell Surface Glycoprotein CD4) (HRP)
Gene Names
CD4; CD4mut
Reactivity
Human
Applications
Flow Cytometry, Immunohistochemistry
Purity
Purified by protein A affinity chromatography from tissue culture supernatant.
Pricing
product-image-AAA28425_IF7.jpg IF (Immunofluorescence) (Immunofluorescence analysis of U2OS cells using [KO Validated] TFEB Rabbit pAb at dilution of 1:100 (40x lens). Blue: DAPI for nuclear staining.)

TFEB, Polyclonal Antibody (Cat# AAA28425)

Full Name
TFEB Rabbit pAb
Reactivity
Human, Mouse, Rat
Applications
Western Blot, Immunofluorescence, Immunocytochemistry, Immunohistochemistry
Purity
Affinity purification
Pricing
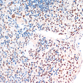
product-image-AAA27936_IHC4.jpg IHC (Immunohistochemistry) (Immunohistochemical analysis of paraffin-embedded cervical cancer tissues using CD66A mouse mAb with DAB staining.)

CD66A, Monoclonal Antibody (Cat# AAA27936)

Full Name
CD66A Antibody
Reactivity
Human
Applications
Immunohistochemistry, Flow Cytometry
Pricing
product-image-AAA28235_IF9.jpg IF (Immunofluorescence) (Immunofluorescence analysis of MCF-7 cells using PRKCA antibody.)

PRKCA, Monoclonal Antibody (Cat# AAA28235)

Full Name
PRKCA Monoclonal Antibody
Gene Names
PRKCA; AAG6; PKCA; PRKACA; PKC-alpha
Reactivity
Human, Mouse, Rat
Applications
Western Blot, Immunohistochemistry, Immunofluorescence, Immunoprecipitation
Purity
Affinity Purification
Pricing
product-image-AAA28575_IHC8.jpg IHC (Immunohistochemistry) (Immunohistochemistry analysis of paraffin-embedded Human liver tissue using [KD Validated] HSP90B1 Rabbit mAb (AAA28575) at a dilution of 1:200 (40x lens). High pressure antigen retrieval performed with 0.01M Citrate Buffer(pH 6.0) prior to IHC staining.)

HSP90B1, Monoclonal Antibody (Cat# AAA28575)

Full Name
[KD Validated] HSP90B1 Rabbit mAb
Reactivity
Human
Applications
Western Blot, Immunohistochemistry
Purity
Affinity purification
Pricing
product-image-AAA28790_IF3.jpg IF (Immunofluorescence) (Confocal immunofluorescent analysis of C9JLR9 Antibody (C-term) (AAA28790) with HepG2 cell followed by Alexa Fluor 488-conjugated goat anti-rabbit lgG (green). Actin filaments have been labeled with Alexa Fluor555 phalloidin (red). DAPI was used to stain the cell nuclear (blue).)

C9JLR9, Polyclonal Antibody (Cat# AAA28790)

Full Name
C9JLR9 Antibody (C-term)
Reactivity
Human
Predicted Reactivity: Mouse
Applications
Western Blot, Immunohistochemistry, Immunofluorescence
Purity
This antibody is purified through a protein A column, followed by peptide affinity purification.
Pricing
product-image-AAA30398_ICC8.jpg ICC (Immunocytochemistry) (ICC staining macroH2A.1 in PC-3M cells (green). The nuclear counter stain is DAPI (blue). Cells were fixed in paraformaldehyde, permeabilised with 0.25% Triton X100/PBS.)

macroH2A.1, Monoclonal Antibody (Cat# AAA30398)

Full Name
macroH2A.1 Antibody
Gene Names
H2AFY; H2A.y; H2A/y; mH2A1; H2AF12M; MACROH2A1.1; macroH2A1.2
Reactivity
Human, Mouse, Rat
Applications
Western Blot, Immunocytochemistry, Immunofluorescence, Immunohistochemistry
Purity
ProA affinity purified
Pricing
product-image-AAA30242_ICC8.jpg ICC (Immunocytochemistry) (ICC staining Histone H3 in Hela cells (green). The nuclear counter stain is DAPI (blue). Cells were fixed in paraformaldehyde, permeabilised with 0.25% Triton X100/PBS.)

Histone H3, Monoclonal Antibody (Cat# AAA30242)

Full Name
Histone H3 Antibody
Gene Names
HIST1H3A; H3/A; H3FA
Reactivity
Human, Mouse, Rat
Applications
Western Blot, Immunocytochemistry, Immunofluorescence, Immunohistochemistry, Chromatin Immunoprecipitation
Purity
ProA affinity purified
Pricing
product-image-AAA30807_IHC6.png IHC (Immunohistchemistry) (Immunohistochemical analysis of paraffin-embedded Rat-heart tissue. 1.GFAP Monoclonal Antibody(5C8) was diluted at 1:200(4 degree C.overnight). 2. Sodium citrate pH 6.0 was used for antibody retrieval(>98 degree C.20min). 3.Secondary antibody was diluted at 1:200(room temperature. 30min). Negative control was used by secondary antibody only.)

GFAP, Monoclonal Antibody (Cat# AAA30807)

Full Name
GFAP Monoclonal Antibody (5C8)
Reactivity
Human, Rat, Mouse
Applications
Western Blot, Immunohistochemistry, Immunofluorescence, Immunocytochemistry
Purity
The antibody was affinity-purified from mouse ascites by affinity-chromatography using specific immunogen.
Pricing
product-image-AAA30541_WB6.jpg WB (Western Blot) (Western blot analysis of extracts of various cell lines, using FoxO3a antibody at 1:1000 dilution.)

FoxO3a, Polyclonal Antibody (Cat# AAA30541)

Full Name
FoxO3a Polyclonal Antibody
Gene Names
Foxo3; Fkhr2; C76856; FKHRL1; Foxo3a; 1110048B16Rik; 2010203A17Rik
Reactivity
Human, Mouse, Rat
Applications
Western Blot, Immunohistochemistry, Immunofluorescence
Purity
Affinity purification
Pricing
product-image-AAA30593_WB6.jpg WB (Western Blot) (Western blot analysis of extracts of A-549 cells, using EGFR antibody.)

EGFR, Polyclonal Antibody (Cat# AAA30593)

Full Name
EGFR Rabbit Polyclonal Antibody
Gene Names
EGFR; ERBB; HER1; mENA; ERBB1; PIG61
Reactivity
Human, Mouse, Rat
Applications
Western Blot, Immunohistochemistry
Purity
Affinity purification
Pricing
product-image-AAA10674_IF6.jpg IF (Immunofluorescence) (Immunofluorescence analysis of A549 cells using SNAI2 antibody. Blue: DAPI for nuclear staining.)

SNAI2, Polyclonal Antibody (Cat# AAA10674)

Full Name
SNAI2 Polyclonal Antibody
Gene Names
SNAI2; SLUG; WS2D; SLUGH1; SNAIL2
Reactivity
Human, Mouse, Rat
Applications
Western Blot, Immunohistochemistry, Immunofluorescence
Purity
Affinity Purification
Pricing
product-image-AAA19229_IHC13.jpg IHC (Immunohistochemistry) (Figure 13. IHC analysis of EEF2/Elongation factor 2 using anti-EEF2/Elongation factor 2 antibody (AAA19229).EEF2/Elongation factor 2 was detected in paraffin-embedded section of rat brain tissue. Heat mediated antigen retrieval was performed in EDTA buffer (pH8. 0, epitope retrieval solution). The tissue section was blocked with 10% goat serum. The tissue section was then incubated with 2μg/ml rabbit anti-EEF2/Elongation factor 2 Antibody (AAA19229) overnight at 4 degree C. Biotinylated goat anti-rabbit IgG was used as secondary antibody and incubated for 30 minutes at 37 degree C. The tissue section was developed using Strepavidin-Biotin-Complex (SABC) (Catalog # with DAB as the chromogen.)

EEF2/Elongation factor 2, Polyclonal Antibody (Cat# AAA19229)

Full Name
Anti-EEF2/Elongation factor 2 Antibody
Gene Names
EEF2; EF2; EF-2; EEF-2
Reactivity
Human, Mouse, Rat, Monkey
Applications
Western Blot, Immunohistochemistry, Immunocytochemistry, Immunofluorescence, Flow Cytometry
Purity
Immunogen affinity purified.
Pricing
product-image-AAA20283_SDS_PAGE2.jpg SDS-PAGE

Myostatin (MSTN), Recombinant Protein (Cat# AAA20283)

Full Name
Recombinant Myostatin (MSTN)
Gene Names
MSTN; GDF8; MSLHP
Reactivity
Homo sapiens (Human)
Applications
Western Blot
Purity
> 97%
Pricing
product-image-AAA22290_IF7.jpg IF (Immunofluorescence) (Immunofluorescence analysis of U2OS cells using PTPIP51/RMDN3 Polyclonal Antibody at dilution of 1:200 (40x lens). Blue: DAPI for nuclear staining.)

PTPIP51/RMDN3, Polyclonal Antibody (Cat# AAA22290)

Full Name
PTPIP51/RMDN3 Polyclonal Antibody
Gene Names
RMDN3; RMD3; RMD-3; FAM82C; FAM82A2; ptpip51
Reactivity
Human, Mouse, Rat
Applications
Western Blot, Immunohistochemistry, Immunofluorescence
Purity
Affinity purification
Pricing
product-image-AAA23401_WB6.jpg WB (Western Blot) (WB Suggested Anti-HNF4A antibody Titration: 1 ug/mLSample Type: Human Liver)

HNF4A, Polyclonal Antibody (Cat# AAA23401)

Full Name
HNF4A Antibody - N-terminal region
Gene Names
HNF4A; TCF; HNF4; MODY; FRTS4; MODY1; NR2A1; TCF14; HNF4a7; HNF4a8; HNF4a9; NR2A21; HNF4alpha
Reactivity
Cow, Dog, Guinea Pig, Horse, Human, Mouse, Rabbit, Rat, Sheep, Zebrafish
Applications
Western Blot
Purity
Affinity Purified
Pricing
product-image-AAA24708_WB6.jpg WB (Western Blot) (ACATE2 monoclonal antibody Western Blot analysis of ACATE2 expression in MCF-7.)

ACOT9, Monoclonal Antibody (Cat# AAA24708)

Full Name
ACOT9 (Acyl CoA Thioester Hydrolase 9, Acyl Coenzyme A Thioesterase 9, Acyl CoA Thioesterase 9, ACATE2, CGI-16, MT-ACT48) (Biotin)
Gene Names
ACOT9; ACATE2; CGI-16; MTACT48; MT-ACT48
Reactivity
Human
Applications
Immunofluorescence, Immunohistochemistry, Western Blot
Purity
Purified by Protein A Affinity Chromatography.
Pricing
product-image-AAA24348_WB6.jpg WB (Western Blot) (RUNX1 monoclonal antibody Western Blot analysis of RUNX1 expression in Hela NE.)

RUNX1, Monoclonal Antibody (Cat# AAA24348)

Full Name
RUNX1 (Runt-related Transcription Factor 1, Acute Myeloid Leukemia 1 Protein, Core-binding Factor Subunit alpha-2, CBF-alpha-2, Oncogene AML-1, Polyomavirus Enhancer-binding Protein 2 alpha B Subunit, PEA2-alpha B, PEBP2-alpha B, SL3-3 Enhancer Factor 1 a
Gene Names
RUNX1; AML1; CBFA2; EVI-1; AMLCR1; PEBP2aB; AML1-EVI-1
Reactivity
Human, Mouse
Applications
Immunohistochemistry, Western Blot
Purity
Purified by Protein A Affinity Chromatography.
Pricing
product-image-AAA25349_WB7.jpg WB (Western Blot) (CDK6 monoclonal antibody, Western Blot analysis of CDK6 expression in Jurkat.)

CDK6, Monoclonal Antibody (Cat# AAA25349)

Full Name
CDK6 (Cell Division Protein Kinase 6, Serine/Threonine-protein Kinase PLSTIRE, Crk2, MGC59692) (HRP)
Gene Names
CDK6; MCPH12; PLSTIRE
Reactivity
Human, Rat
Applications
Immunohistochemistry, Western Blot
Purity
Purified by Protein A Affinity Chromatography.
Pricing
product-image-AAA26646_WB6.jpg WB (Western Blot) (Western Blot analysis of HMGB1 expression in transfected 293T cell line by HMGB1 monoclonal antibody (M03), clone 1B11.Lane 1: HMGB1 transfected lysate (25 KDa).Lane 2: Non-transfected lysate.)

HMGB1, Monoclonal Antibody (Cat# AAA26646)

Full Name
HMGB1 (High-Mobility Group Box 1, DKFZp686A04236, HMG1, HMG3, SBP-1) (PE)
Gene Names
HMGB1; HMG1; HMG3; HMG-1; SBP-1
Applications
Immunofluorescence, Immunohistochemistry, Western Blot
Purity
Purified
Pricing
product-image-AAA28676_FCM6.jpg FCM (Flow Cytometry) (IDH1 Antibody (Center) flow cytometric analysis of 293 cells (right histogram) compared to a negative control cell (left histogram).FITC-conjugated goat-anti-rabbit secondary antibodies were used for the analysis.)

IDH1, Polyclonal Antibody (Cat# AAA28676)

Full Name
IDH1 Antibody (Center)
Gene Names
IDH1; IDH; IDP; IDCD; IDPC; PICD; HEL-216; HEL-S-26
Reactivity
Human, mouse (Predicted Reactivity: Bovine, Rat)
Applications
Immunohistochemistry, Immunofluorescence, Western Blot, Flow Cytometry
Purity
Purified Rabbit Polyclonal Antibody (Pab)
Pricing
product-image-AAA29142_IHC6.jpg IHC (Immunohistchemistry) (Dilution: Western Blot: 1/500 - 1/2000. IHC-p: 1:100-300 ELISA: 1/40000. Not yet tested in other applications.)

Rab 26, Polyclonal Antibody (Cat# AAA29142)

Full Name
Rab 26 Polyclonal Antibody
Gene Names
RAB26; V46133
Reactivity
Human, Mouse, Rat
Applications
Western Blot, Immunohistochemistry
Pricing
product-image-AAA30532_FCM7.jpg FCM (Flow Cytometry) (Flow cytometric analysis of 293T cells with Lumican antibody at 1/100 dilution (purple) compared with an unlabelled control (cells without incubation with primary antibody; yellow). Alexa Fluor 488-conjugated goat anti-rabbit IgG was used as the secondary antibody.)

Lumican, Monoclonal Antibody (Cat# AAA30532)

Full Name
Lumican Antibody
Gene Names
LUM; LDC; SLRR2D
Reactivity
Human, Mouse, Rat
Applications
Western Blot, Immunocytochemistry, Immunohistochemistry, Flow Cytometry
Purity
ProA affinity purified
Pricing
product-image-AAA30890_APP11.png Application Data

Claudin 1, Monoclonal Antibody (Cat# AAA30890)

Full Name
Claudin 1 (ABT-CLD1) Antibody
Gene Names
CLDN1; CLD1; SEMP1; ILVASC
Reactivity
Human, Mouse, Rat
Applications
Immunohistochemistry, Western Blot, Immunofluorescence
Purity
Protein G
Pricing
product-image-AAA25908_APP6.jpg Application Data (Detection limit for recombinant GST tagged YY1 is approximately 0.03ng/ml as a capture antibody.)

YY1, Monoclonal Antibody (Cat# AAA25908)

Full Name
YY1 (YY1 Transcription Factor, DELTA, INO80S, NF-E1, UCRBP, YIN-YANG-1) (AP)
Gene Names
YY1; DELTA; NF-E1; UCRBP; GADEVS; INO80S; YIN-YANG-1
Applications
Immunohistochemistry, Western Blot
Purity
Purified
Pricing
product-image-AAA25910_APP6.jpg Application Data (Detection limit for recombinant GST tagged YY1 is approximately 0.03ng/ml as a capture antibody.)

YY1, Monoclonal Antibody (Cat# AAA25910)

Full Name
YY1 (YY1 Transcription Factor, DELTA, INO80S, NF-E1, UCRBP, YIN-YANG-1) (AP)
Gene Names
YY1; DELTA; NF-E1; UCRBP; GADEVS; INO80S; YIN-YANG-1
Applications
Immunohistochemistry, Western Blot
Purity
Purified
Pricing
product-image-AAA26190_IF6.jpg IF (Immunofluorescence) (Immunofluorescence of monoclonal antibody to CDC2 on HeLa cell. [antibody concentration 10 ug/ml])

CDC2, Monoclonal Antibody (Cat# AAA26190)

Full Name
CDC2 (Cell Division Cycle 2, G1 to S and G2 to M, CDC28A, CDK1, DKFZp686L20222, MGC111195) (Biotin)
Gene Names
CDK1; CDC2; CDC28A; P34CDC2
Applications
Immunofluorescence, Western Blot
Purity
Purified
Pricing
product-image-AAA28471_IHC6.jpg IHC (Immunohistchemistry) (Immunohistochemistry analysis of paraffin-embedded Rat brain using Cytokeratin 14 (KRT14) Rabbit mAb (AAA28471) at dilution of 1:200 (40x lens). High pressure antigen retrieval performed with 0.01M Citrate Bufferr (pH 6.0) prior to IHC staining.)

Cytokeratin 14 (KRT14), Monoclonal Antibody (Cat# AAA28471)

Full Name
Cytokeratin 14 (KRT14) Rabbit mAb
Reactivity
Human
Applications
Western Blot, Immunohistochemistry
Purity
Affinity purification
Pricing
product-image-AAA29282_IHC7.jpg IHC (Immunohistochemistry) (Dilution: Western Blot: 1/500 - 1/2000. IHC-p: 1/100-1/300. ELISA: 1/20000. Not yet tested in other applications.)

TERT, Polyclonal Antibody (Cat# AAA29282)

Full Name
TERT Polyclonal Antibody
Gene Names
TERT; TP2; TRT; CMM9; EST2; TCS1; hTRT; DKCA2; DKCB4; hEST2; PFBMFT1
Reactivity
Human
Applications
Western Blot, Immunohistochemistry
Pricing
product-image-AAA29885_ICC9.jpg ICC (Immunocytochemistry) (ICC staining FBXL2 in SH-SY5Y cells (green). The nuclear counter stain is DAPI (blue). Cells were fixed in paraformaldehyde, permeabilised with 0.25% Triton X100/PBS.)

FBXL2, Polyclonal Antibody (Cat# AAA29885)

Full Name
FBXL2 Antibody
Gene Names
FBXL2; FBL2; FBL3
Reactivity
Human, Mouse, Rat
Applications
Western Blot, Immunocytochemistry, Immunohistochemistry
Purity
ProA affinity purified
Pricing
product-image-AAA17553_SC.jpg Standard Curve (Sample)

Cross-linked C-Telopeptide of Type I Collagen, ELISA Kit (Cat# AAA17553)

Full Name
Rat Cross-linked C-Telopeptide of Type I Collagen ELISA Kit
Reactivity
Rat
Pricing
product-image-AAA25625_WB7.jpg WB (Western Blot) (BUB1B monoclonal antibody Western Blot analysis of BUB1B expression in Hela NE.)

BUBR1, Monoclonal Antibody (Cat# AAA25625)

Full Name
BUBR1 (Mitotic Checkpoint Serine/Threonine-protein Kinase BUB1 beta, MAD3/BUB1-related Protein Kinase, hBUBR1, Mitotic Checkpoint Kinase MAD3L, Protein SSK1, BUB1B, MAD3L, SSK1) (PE)
Gene Names
BUB1B; MVA1; SSK1; BUBR1; Bub1A; MAD3L; hBUBR1; BUB1beta
Reactivity
Human
Applications
Immunohistochemistry, Western Blot
Purity
Purified by Protein A Affinity Chromatography.
Pricing
product-image-AAA25994_APP6.jpg Application Data (Detection limit for recombinant GST tagged CLIC1 is 1 ng/ml as a capture antibody.)

CLIC1, Monoclonal Antibody (Cat# AAA25994)

Full Name
CLIC1 (Chloride Intracellular Channel 1, G6, NCC27) (AP)
Applications
Immunohistochemistry, Western Blot
Purity
Purified
Pricing
product-image-AAA26524_WB6.jpg WB (Western Blot) (ACTB monoclonal antibody (M03), clone 1E7. Western Blot analysis of ACTB expression in Raw 264.7.)

ACTB, Monoclonal Antibody (Cat# AAA26524)

Full Name
ACTB (Actin, beta, PS1TP5BP1) (HRP)
Gene Names
ACTB; BRWS1; PS1TP5BP1
Reactivity
Human, Mouse, Rat
Applications
Immunohistochemistry, Western Blot
Purity
Purified
Pricing
product-image-AAA26748_APP7.jpg Application Data (Staining of Rat peripheral blood lymphocytes with Mouse anti Rat CD49d:RPE (MCA2872PE))

CD49d, Monoclonal Antibody (Cat# AAA26748)

Full Name
CD49d (Antigen CD49d, CD49d Antigen, CDw49d, Alpha 4 Subunit of VLA-4 Receptor, Integrin alpha IV, Integrin alpha 4, IA4, ITGA4, LPAM23, MGC90518, Very Late Activation Protein 4 Receptor Alpha 4 Subunit, VLA4, VLA-4) (FITC)
Reactivity
Rat
Applications
Flow Cytometry, Immunoprecipitation
Purity
Purified by Protein G Affinity Chromatography
Pricing
product-image-AAA28486_ChIP7.jpg ChIP (Chromatin Immunoprecipitation) (Chromatin immunoprecipitation analysis of extracts from HepG2 cells, using RXR? antibody (AAA28486) and rabbit IgG.The amount of immunoprecipitated DNA was checked by quantitative PCR. Histogram was constructed by the ratios of the immunoprecipitated DNA to the input.)

RXRalpha, Monoclonal Antibody (Cat# AAA28486)

Full Name
RXRalpha Rabbit mAb
Reactivity
Human
Applications
Western Blot, Immunofluorescence, Immunocytochemistry, Immunoprecipitation, Chromatin Immunoprecipitation, Chromatin Immunoprecipitation
Purity
Affinity purification
Pricing
product-image-AAA28841_IHC6.jpg IHC (Immunohistchemistry) (Dilution: Western Blot: 1/500 - 1/2000. IHC-p: 1:100-300 ELISA: 1/20000. Not yet tested in other applications.)

Histone H3, Polyclonal Antibody (Cat# AAA28841)

Full Name
Histone H3 (Di Methyl Lys5) Polyclonal Antibody
Gene Names
HIST1H3A; H3/A; H3FA
Reactivity
Human, Mouse, Rat
Applications
Western Blot, Immunohistochemistry
Pricing

Submit a Question

Please complete the form below and a representative will contact you as soon as possible.

Request more Information

Please complete the form below and a representative will contact you as soon as possible.

Request a Manual

Please complete the form below and a representative will contact you as soon as possible.

Request a Quote

Please complete the form below and a representative will contact you as soon as possible.