Loading...

Skip to main content
Call us at +1-800-604-9114 for more information about our products or contact us online Need help? +1-800-604-9114 or contact us

Filters


Clonality

Type

Reactivity

Gene Name

Isotype

Host

Application

Clone

Viewing 3700-3750 of 265407 product results


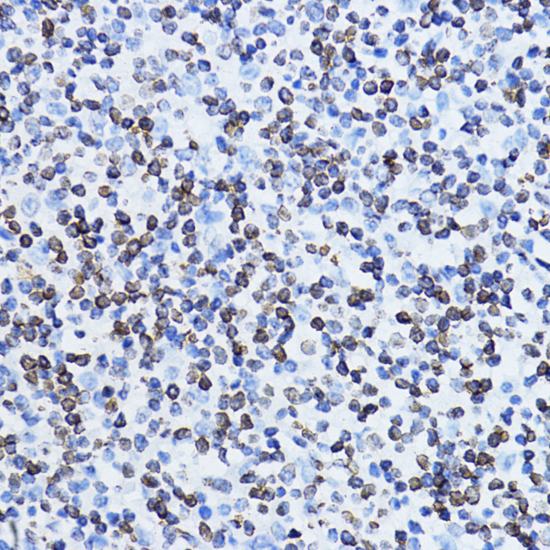
product-image-AAA235052_IHC13.jpg IHC (Immunohiostchemistry) (IHC image of AAA235052 diluted at 1:300 and staining in paraffin-embedded human glioma cancer performed on a Leica BondTM system. After dewaxing and hydration, antigen retrieval was mediated by high pressure in a citrate buffer (pH 6.0). Section was blocked with 10% normal goat serum 30min at RT. Then primary antibody (1% BSA) was incubated at 4 degree C overnight. The primary is detected by a biotinylated secondary antibody and visualized using an HRP conjugated SP system.)

TCF20, Polyclonal Antibody (Cat# AAA235052)

No reviews yet
Full Name
TCF20 Antibody
Gene Names
TCF20; AR1; SPBP; TCF-20
Reactivity
Human
Applications
Immunohistochemistry
Purity
>95%, Protein G purified
Pricing
product-image-AAA235053_IHC11.jpg IHC (Immunohistochemisry) (Immunofluorescence staining of HepG2 cells with AAA235053 at 1:133, counter-stained with DAPI. The cells were fixed in 4% formaldehyde, permeabilized using 0.2% Triton X-100 and blocked in 10% normal Goat Serum. The cells were then incubated with the antibody overnight at 4 degree C.The secondary antibody was Alexa Fluor 488-congugated AffiniPure Goat Anti-Rabbit IgG (H+L).)

RIOK2, Polyclonal Antibody (Cat# AAA235053)

No reviews yet
Full Name
RIOK2 Antibody
Gene Names
RIOK2; RIO2
Reactivity
Human
Applications
Immunofluorescence, Immunohistochemistry
Purity
>95%, Protein G purified
Pricing
product-image-AAA235056_IHC13.jpg IHC (Immunohiostchemistry) (IHC image of AAA235056 diluted at 1:400 and staining in paraffin-embedded human melanoma cancer performed on a Leica BondTM system. After dewaxing and hydration, antigen retrieval was mediated by high pressure in a citrate buffer (pH 6.0). Section was blocked with 10% normal goat serum 30min at RT. Then primary antibody (1% BSA) was incubated at 4 degree C overnight. The primary is detected by a biotinylated secondary antibody and visualized using an HRP conjugated SP system.)

POLE4, Polyclonal Antibody (Cat# AAA235056)

No reviews yet
Full Name
POLE4 Antibody
Gene Names
POLE4; p12; YHHQ1
Reactivity
Human
Applications
Immunohistochemistry
Purity
>95%, Protein G purified
Pricing
product-image-AAA235057_IHC11.jpg IHC (Immunohistochemisry) (Immunofluorescence staining of Hela cells with AAA235057 at 1:266, counter-stained with DAPI. The cells were fixed in 4% formaldehyde, permeabilized using 0.2% Triton X-100 and blocked in 10% normal Goat Serum. The cells were then incubated with the antibody overnight at 4 degree C.The secondary antibody was Alexa Fluor 488-congugated AffiniPure Goat Anti-Rabbit IgG (H+L).)

TES, Polyclonal Antibody (Cat# AAA235057)

No reviews yet
Full Name
TES Antibody
Gene Names
TES; TESS; TESS-2
Reactivity
Human
Applications
Immunofluorescence, Immunohistochemistry, Western Blot
Purity
>95%, Protein G purified
Pricing
product-image-AAA235060_IF13.jpg IF (Immunofluorescence) (Immunofluorescence staining of Hela cells with AAA235060 at 1:100, counter-stained with DAPI. The cells were fixed in 4% formaldehyde, permeabilized using 0.2% Triton X-100 and blocked in 10% normal Goat Serum. The cells were then incubated with the antibody overnight at 4 degree C.The secondary antibody was Alexa Fluor 488-congugated AffiniPure Goat Anti-Rabbit IgG (H+L).)

INO80, Polyclonal Antibody (Cat# AAA235060)

No reviews yet
Full Name
INO80 Antibody
Gene Names
INO80; INOC1; INO80A; hINO80
Reactivity
Human
Applications
Immunofluorescence, Western Blot
Purity
>95%, Protein G purified
Pricing
product-image-AAA235061_IHC13.jpg IHC (Immunohiostchemistry) (IHC image of AAA235061 diluted at 1:500 and staining in paraffin-embedded human liver cancer performed on a Leica BondTM system. After dewaxing and hydration, antigen retrieval was mediated by high pressure in a citrate buffer (pH 6.0). Section was blocked with 10% normal goat serum 30min at RT. Then primary antibody (1% BSA) was incubated at 4 degree C overnight. The primary is detected by a biotinylated secondary antibody and visualized using an HRP conjugated SP system.)

COA3, Polyclonal Antibody (Cat# AAA235061)

No reviews yet
Full Name
COA3 Antibody
Gene Names
COA3; COX25; CCDC56; HSPC009; MITRAC12
Reactivity
Human
Applications
Immunohistochemistry
Purity
>95%, Protein G purified
Pricing
product-image-AAA235062_ChIP11.jpg ChIP (Chromatin Immunoprecipitation) (Chromatin Immunoprecipitation Hela(4^106)were treated with Micrococcal Nuclease, sonicated, and immunoprecipitated with 5ug anti-HIST1H2BC (AAA235062)or a control normal rabbit IgG. The resulting ChIP DNA was quantified using real-time PCR with primers against the beta-Globin promoter.)

Mono-methyl-HIST1H2BC, Polyclonal Antibody (Cat# AAA235062)

No reviews yet
Full Name
Mono-methyl-HIST1H2BC(K12) Antibody
Gene Names
HIST1H2BG; H2B/a; H2BFA; H2B.1A; dJ221C16.8
Reactivity
Human, Mouse, Rat
Applications
Chromatin immunoprecipitation, Immunohistochemistry, Western Blot
Purity
Antigen Affinity Purified
Pricing
product-image-AAA235065_IHC11.jpg IHC (Immunohistochemisry) (Immunofluorescence staining of Hela cells with AAA235065 at 1:2.5, counter-stained with DAPI. The cells were fixed in 4% formaldehyde, permeabilized using 0.2% Triton X-100 and blocked in 10% normal Goat Serum. The cells were then incubated with the antibody overnight at 4 degree C.The secondary antibody was Alexa Fluor 488-congugated AffiniPure Goat Anti-Rabbit IgG (H+L).)

HIST1H4A, Polyclonal Antibody (Cat# AAA235065)

No reviews yet
Full Name
HIST1H4A(Ab-91) Antibody
Gene Names
HIST2H4B; H4/o
Reactivity
Human
Applications
Immunofluorescence, Immunohistochemistry
Purity
Antigen Affinity Purified
Pricing
product-image-AAA235066_IHC11.jpg IHC (Immunohistochemisry) (Immunofluorescence staining of Hela cells with AAA235066, counter-stained with DAPI. The cells were fixed in 4% formaldehyde, permeabilized using 0.2% Triton X-100 and blocked in 10% normal Goat Serum. The cells were then incubated with the antibody overnight at 4 degree C.The secondary antibody was Alexa Fluor 488-congugated AffiniPure Goat Anti-Rabbit IgG (H+L).)

HIST1H2BC, Polyclonal Antibody (Cat# AAA235066)

No reviews yet
Full Name
HIST1H2BC(Ab-5) Antibody
Gene Names
HIST1H2BG; H2B/a; H2BFA; H2B.1A; dJ221C16.8
Reactivity
Human
Applications
Immunofluorescence, Immunohistochemistry
Purity
Antigen Affinity Purified
Pricing
product-image-AAA235072_IHC11.jpg IHC (Immunohistochemisry) (IHC image of AAA235072 diluted at 1:20 and staining in paraffin-embedded human kidney tissue performed on a Leica BondTM system. After dewaxing and hydration, antigen retrieval was mediated by high pressure in a citrate buffer (pH 6.0). Section was blocked with 10% normal goat serum 30min at RT. Then primary antibody (1% BSA) was incubated at 4 degree C overnight. The primary is detected by a biotinylated secondary antibody and visualized using an HRP conjugated SP system.)

HIST1H2BC, Polyclonal Antibody (Cat# AAA235072)

No reviews yet
Full Name
HIST1H2BC(Ab-120) Antibody
Gene Names
HIST1H2BG; H2B/a; H2BFA; H2B.1A; dJ221C16.8
Reactivity
Human, Rat
Applications
Immunohistochemistry, Western Blot
Purity
Antigen Affinity Purified
Pricing
product-image-AAA235078_IF13.jpg IF (Immunofluorescence) (Immunofluorescence staining of Hela cells(treated with 30mM sodium butyrate for 4h) with AAA235078 at 1:7.5, counter-stained with DAPI. The cells were fixed in 4% formaldehyde, permeabilized using 0.2% Triton X-100 and blocked in 10% normal Goat Serum. The cells were then incubated with the antibody overnight at 4 degree C.The secondary antibody was Alexa Fluor 488-congugated AffiniPure Goat Anti-Rabbit IgG (H+L).)

2-hydroxyisobutyryl-HIST1H2BC, Polyclonal Antibody (Cat# AAA235078)

No reviews yet
Full Name
2-hydroxyisobutyryl-HIST1H2BC(K20) Antibody
Gene Names
HIST1H2BG; H2B/a; H2BFA; H2B.1A; dJ221C16.8
Reactivity
Human, Rat
Applications
Immunofluorescence, Western Blot
Purity
Antigen Affinity Purified
Pricing
product-image-AAA235080_IHC11.jpg IHC (Immunohistochemisry) (Immunofluorescence staining of Hela cells with AAA235080 at 1:3, counter-stained with DAPI. The cells were fixed in 4% formaldehyde, permeabilized using 0.2% Triton X-100 and blocked in 10% normal Goat Serum. The cells were then incubated with the antibody overnight at 4 degree C.The secondary antibody was Alexa Fluor 488-congugated AffiniPure Goat Anti-Rabbit IgG (H+L).)

HIST1H2BC, Polyclonal Antibody (Cat# AAA235080)

No reviews yet
Full Name
HIST1H2BC(Ab-12) Antibody
Gene Names
HIST1H2BG; H2B/a; H2BFA; H2B.1A; dJ221C16.8
Reactivity
Human, Mouse, Rat
Applications
Immunofluorescence, Immunohistochemistry, Western Blot
Purity
Antigen Affinity Purified
Pricing
product-image-AAA235082_ICC13.jpg ICC (Immunocytochemistry) (Immunocytochemistry analysis of AAA235082 diluted at 1:10 and staining in Hela cells performed on a Leica BondTM system. The cells were fixed in 4% formaldehyde, permeabilized using 0.2% Triton X-100 and blocked with 10% normal goat serum 30min at RT. Then primary antibody (1% BSA) was incubated at 4 degree C overnight. The primary is detected by a biotinylated secondary antibody and visualized using an HRP conjugated SP system.)

Mono-methyl-HIST1H2BC, Polyclonal Antibody (Cat# AAA235082)

No reviews yet
Full Name
Mono-methyl-HIST1H2BC(K15) Antibody
Gene Names
HIST1H2BG; H2B/a; H2BFA; H2B.1A; dJ221C16.8
Reactivity
Human
Applications
Immunohistochemistry, Western Blot
Purity
Antigen Affinity Purified
Pricing
product-image-AAA235085_ICC13.jpg ICC (Immunocytochemistry) (Immunocytochemistry analysis of AAA235085 diluted at 1:25 and staining in Hela cells(treated with 30mM sodium crotonylate for 4h) performed on a Leica BondTM system. The cells were fixed in 4% formaldehyde, permeabilized using 0.2% Triton X-100 and blocked with 10% normal goat serum 30min at RT. Then primary antibody (1% BSA) was incubated at 4 degree C overnight. The primary is detected by a biotinylated secondary antibody and visualized using an HRP conjugated SP system.)

HIST1H2BC, Polyclonal Antibody (Cat# AAA235085)

No reviews yet
Full Name
Crotonyl-HIST1H2BC(K16) Antibody
Gene Names
HIST1H2BG; H2B/a; H2BFA; H2B.1A; dJ221C16.8
Reactivity
Human
Applications
Immunohistochemistry, Western Blot
Purity
Antigen Affinity Purified
Pricing
product-image-AAA235086_ICC13.jpg ICC (Immunocytochemistry) (Immunocytochemistry analysis of AAA235086 diluted at 1:15 and staining in Hela cells(treated with 30mM sodium butyrate for 4h) performed on a Leica BondTM system. The cells were fixed in 4% formaldehyde, permeabilized using 0.2% Triton X-100 and blocked with 10% normal goat serum 30min at RT. Then primary antibody (1% BSA) was incubated at 4 degree C overnight. The primary is detected by a biotinylated secondary antibody and visualized using an HRP conjugated SP system.)

Acetyl-HIST1H2BC, Polyclonal Antibody (Cat# AAA235086)

No reviews yet
Full Name
Acetyl-HIST1H2BC(K20) Antibody
Gene Names
HIST1H2BG; H2B/a; H2BFA; H2B.1A; dJ221C16.8
Reactivity
Human, Rat
Applications
Immunohistochemistry, Western Blot
Purity
Antigen Affinity Purified
Pricing
product-image-AAA235089_IF10.jpg IF (Immunofluorescence) (Immunofluorescence staining of MCF-7 cells with AAA235089 at 1:2.5, counter-stained with DAPI. The cells were fixed in 4% formaldehyde, permeabilized using 0.2% Triton X-100 and blocked in 10% normal Goat Serum. The cells were then incubated with the antibody overnight at 4 degree C.The secondary antibody was Alexa Fluor 488-congugated AffiniPure Goat Anti-Rabbit IgG (H+L).)

HIST1H3A, Polyclonal Antibody (Cat# AAA235089)

No reviews yet
Full Name
HIST1H3A(Ab-4) Antibody
Gene Names
HIST1H3A; H3/A; H3FA
Reactivity
Human, Mouse, Rat
Applications
Immunofluorescence, Immunohistochemistry, Western Blot
Purity
Antigen Affinity Purified
Pricing
product-image-AAA235091_ICC13.jpg ICC (Immunocytochemistry) (Immunocytochemistry analysis of AAA235091 diluted at 1:20 and staining in Hela cells(treated with 50mM sodium 3-hydroxybutyrate for 72h) performed on a Leica BondTM system. The cells were fixed in 4% formaldehyde, permeabilized using 0.2% Triton X-100 and blocked with 10% normal goat serum 30min at RT. Then primary antibody (1% BSA) was incubated at 4 degree C overnight. The primary is detected by a biotinylated secondary antibody and visualized using an HRP conjugated SP system.)

HIST1H3A, Polyclonal Antibody (Cat# AAA235091)

No reviews yet
Full Name
beta?hydroxybutyryl-HIST1H3A(K4) Antibody
Gene Names
HIST1H3A; H3/A; H3FA
Reactivity
Human, Rat
Applications
Immunohistochemistry, Western Blot
Purity
Antigen Affinity Purified
Pricing
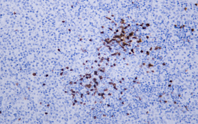
product-image-AAA235093_IHC13.jpg IHC (Immunohiostchemistry) (IHC image of AAA235093 diluted at 1:10 and staining in paraffin-embedded human brain tissue performed on a Leica BondTM system. After dewaxing and hydration, antigen retrieval was mediated by high pressure in a citrate buffer (pH 6.0). Section was blocked with 10% normal goat serum 30min at RT. Then primary antibody (1% BSA) was incubated at 4 degree C overnight. The primary is detected by a biotinylated secondary antibody and visualized using an HRP conjugated SP system.)

HIST1H3A, Polyclonal Antibody (Cat# AAA235093)

No reviews yet
Full Name
HIST1H3A(Ab-4) Antibody
Gene Names
HIST1H3A; H3/A; H3FA
Reactivity
Human
Applications
Immunohistochemistry
Purity
Antigen Affinity Purified
Pricing
product-image-AAA235095_IHC11.jpg IHC (Immunohistochemisry) (Immunofluorescence staining of HepG2 cells with AAA235095, counter-stained with DAPI. The cells were fixed in 4% formaldehyde, permeabilized using 0.2% Triton X-100 and blocked in 10% normal Goat Serum. The cells were then incubated with the antibody overnight at 4 degree C.The secondary antibody was Alexa Fluor 488-congugated AffiniPure Goat Anti-Rabbit IgG (H+L).)

HIST1H2BC, Polyclonal Antibody (Cat# AAA235095)

No reviews yet
Full Name
HIST1H2BC(Ab-20) Antibody
Gene Names
HIST1H2BG; H2B/a; H2BFA; H2B.1A; dJ221C16.8
Reactivity
Human
Applications
Immunofluorescence, Immunohistochemistry
Purity
Antigen Affinity Purified
Pricing
product-image-AAA235105_IF13.jpg IF (Immunofluorescence) (Immunofluorescence staining of Hela cells(treated with 30mM sodium butyrate for 4h) with AAA235105 at 1:7.5, counter-stained with DAPI. The cells were fixed in 4% formaldehyde, permeabilized using 0.2% Triton X-100 and blocked in 10% normal Goat Serum. The cells were then incubated with the antibody overnight at 4 degree C.The secondary antibody was Alexa Fluor 488-congugated AffiniPure Goat Anti-Rabbit IgG (H+L).)

Acetyl-HIST1H3A, Polyclonal Antibody (Cat# AAA235105)

No reviews yet
Full Name
Acetyl-HIST1H3A(K37) Antibody
Gene Names
HIST1H3A; H3/A; H3FA
Reactivity
Human, Rat
Applications
Chromatin immunoprecipitation, Immunofluorescence, Western Blot
Purity
Antigen Affinity Purified
Pricing
product-image-AAA235108_IHC11.jpg IHC (Immunohistochemisry) (Immunofluorescence staining of Hela cells with AAA235108 at 1:5, counter-stained with DAPI. The cells were fixed in 4% formaldehyde, permeabilized using 0.2% Triton X-100 and blocked in 10% normal Goat Serum. The cells were then incubated with the antibody overnight at 4 degree C.The secondary antibody was Alexa Fluor 488-congugated AffiniPure Goat Anti-Rabbit IgG (H+L).)

HIST1H3A, Polyclonal Antibody (Cat# AAA235108)

No reviews yet
Full Name
beta?hydroxybutyryl-HIST1H3A(K79) Antibody
Gene Names
HIST1H3A; H3/A; H3FA
Reactivity
Human, Rat
Applications
Immunofluorescence, Immunohistochemistry, Western Blot
Purity
Antigen Affinity Purified
Pricing
product-image-AAA235110_IHC13.jpg IHC (Immunohiostchemistry) (IHC image of AAA235110 diluted at 1:8 and staining in paraffin-embedded human glioma cancer performed on a Leica BondTM system. After dewaxing and hydration, antigen retrieval was mediated by high pressure in a citrate buffer (pH 6.0). Section was blocked with 10% normal goat serum 30min at RT. Then primary antibody (1% BSA) was incubated at 4 degree C overnight. The primary is detected by a biotinylated secondary antibody and visualized using an HRP conjugated SP system.)

HIST1H3A, Polyclonal Antibody (Cat# AAA235110)

No reviews yet
Full Name
HIST1H3A(Ab-79) Antibody
Gene Names
HIST1H3A; H3/A; H3FA
Reactivity
Human, Mouse
Applications
Immunohistochemistry, Western Blot
Purity
Antigen Affinity Purified
Pricing
product-image-AAA235111_IHC11.jpg IHC (Immunohistochemisry) (Immunofluorescence staining of Hela cells(treated with 30mM sodium butyrate for 4h) with AAA235111 at 1:2.5, counter-stained with DAPI. The cells were fixed in 4% formaldehyde, permeabilized using 0.2% Triton X-100 and blocked in 10% normal Goat Serum. The cells were then incubated with the antibody overnight at 4 degree C.The secondary antibody was Alexa Fluor 488-congugated AffiniPure Goat Anti-Rabbit IgG (H+L).)

Acetyl-HIST1H2AG, Polyclonal Antibody (Cat# AAA235111)

No reviews yet
Full Name
Acetyl-HIST1H2AG(K13) Antibody
Gene Names
HIST1H2AI; H2A/c; H2AFC
Reactivity
Human, Mouse, Rat
Applications
Immunofluorescence, Immunohistochemistry, Western Blot
Purity
Antigen Affinity Purified
Pricing
product-image-AAA234878_IF13.jpg IF (Immunofluorescence) (Immunofluorescence staining of HepG2 cells with AAA234878 at 1:166, counter-stained with DAPI. The cells were fixed in 4% formaldehyde, permeabilized using 0.2% Triton X-100 and blocked in 10% normal Goat Serum. The cells were then incubated with the antibody overnight at 4 degree C.The secondary antibody was Alexa Fluor 488-congugated AffiniPure Goat Anti-Rabbit IgG (H+L).)

SLC19A3, Polyclonal Antibody (Cat# AAA234878)

No reviews yet
Full Name
SLC19A3 Antibody
Gene Names
SLC19A3; BBGD; THMD2; THTR2
Reactivity
Human
Applications
Immunofluorescence, Western Blot
Purity
>95%, Protein G purified
Pricing
product-image-AAA234887_IHC13.jpg IHC (Immunohiostchemistry) (IHC image of AAA234887 diluted at 1:300 and staining in paraffin-embedded human skeletal muscle tissue performed on a Leica BondTM system. After dewaxing and hydration, antigen retrieval was mediated by high pressure in a citrate buffer (pH 6.0). Section was blocked with 10% normal goat serum 30min at RT. Then primary antibody (1% BSA) was incubated at 4 degree C overnight. The primary is detected by a biotinylated secondary antibody and visualized using an HRP conjugated SP system.)

LYRM4, Polyclonal Antibody (Cat# AAA234887)

No reviews yet
Full Name
LYRM4 Antibody
Gene Names
LYRM4; ISD11; CGI-203; COXPD19; C6orf149
Reactivity
Human
Applications
Immunohistochemistry
Purity
>95%, Protein G purified
Pricing
product-image-AAA234888_IHC13.jpg IHC (Immunohiostchemistry) (IHC image of AAA234888 diluted at 1:100 and staining in paraffin-embedded human placenta tissue performed on a Leica BondTM system. After dewaxing and hydration, antigen retrieval was mediated by high pressure in a citrate buffer (pH 6.0). Section was blocked with 10% normal goat serum 30min at RT. Then primary antibody (1% BSA) was incubated at 4 degree C overnight. The primary is detected by a biotinylated secondary antibody and visualized using an HRP conjugated SP system.)

NDUFAF3, Polyclonal Antibody (Cat# AAA234888)

No reviews yet
Full Name
NDUFAF3 Antibody
Gene Names
NDUFAF3; 2P1; E3-3; C3orf60
Reactivity
Human
Applications
Immunohistochemistry
Purity
>95%, Protein G purified
Pricing
product-image-AAA234890_IHC11.jpg IHC (Immunohistochemisry) (Immunofluorescence staining of Hela cells with AAA234890 at 1:133, counter-stained with DAPI. The cells were fixed in 4% formaldehyde, permeabilized using 0.2% Triton X-100 and blocked in 10% normal Goat Serum. The cells were then incubated with the antibody overnight at 4 degree C.The secondary antibody was Alexa Fluor 488-congugated AffiniPure Goat Anti-Rabbit IgG (H+L).)

PRSS16, Polyclonal Antibody (Cat# AAA234890)

No reviews yet
Full Name
PRSS16 Antibody
Gene Names
PRSS16; TSSP
Reactivity
Human, Mouse, Rat
Applications
Immunofluorescence, Immunohistochemistry, Western Blot
Purity
>95%, Protein G purified
Pricing
product-image-AAA234896_IF13.jpg IF (Immunofluorescence) (Immunofluorescence staining of A549 cells with AAA234896 at 1:100, counter-stained with DAPI. The cells were fixed in 4% formaldehyde, permeabilized using 0.2% Triton X-100 and blocked in 10% normal Goat Serum. The cells were then incubated with the antibody overnight at 4 degree C.The secondary antibody was Alexa Fluor 488-congugated AffiniPure Goat Anti-Rabbit IgG (H+L).)

SDHAF2, Polyclonal Antibody (Cat# AAA234896)

No reviews yet
Full Name
SDHAF2 Antibody
Gene Names
SDHAF2; PGL2; SDH5; C11orf79
Reactivity
Human
Applications
Immunofluorescence, Immunohistochemistry
Purity
>95%, Protein G purified
Pricing
product-image-AAA234897_IHC13.jpg IHC (Immunohiostchemistry) (IHC image of AAA234897 diluted at 1:600 and staining in paraffin-embedded human pancreatic tissue performed on a Leica BondTM system. After dewaxing and hydration, antigen retrieval was mediated by high pressure in a citrate buffer (pH 6.0). Section was blocked with 10% normal goat serum 30min at RT. Then primary antibody (1% BSA) was incubated at 4 degree C overnight. The primary is detected by a biotinylated secondary antibody and visualized using an HRP conjugated SP system.)

NOP53, Polyclonal Antibody (Cat# AAA234897)

No reviews yet
Full Name
NOP53 Antibody
Gene Names
NOP53; PICT1; PICT-1; GLTSCR2
Reactivity
Human, Rat
Applications
Immunohistochemistry, Western Blot
Purity
>95%, Protein G purified
Pricing
product-image-AAA234900_IHC11.jpg IHC (Immunohistochemisry) (Immunofluorescence staining of Hela cells with AAA234900 at 1:100, counter-stained with DAPI. The cells were fixed in 4% formaldehyde, permeabilized using 0.2% Triton X-100 and blocked in 10% normal Goat Serum. The cells were then incubated with the antibody overnight at 4 degree C.The secondary antibody was Alexa Fluor 488-congugated AffiniPure Goat Anti-Rabbit IgG (H+L).)

GPR174, Polyclonal Antibody (Cat# AAA234900)

No reviews yet
Full Name
GPR174 Antibody
Gene Names
GPR174; FKSG79; GPCR17; LYPSR3
Reactivity
Human
Applications
Immunofluorescence, Immunohistochemistry, Western Blot
Purity
>95%, Protein G purified
Pricing

GPR174, Polyclonal Antibody (Cat# AAA234901)

No reviews yet
Full Name
GPR174 Antibody, FITC conjugated
Gene Names
GPR174; FKSG79; GPCR17; LYPSR3
Reactivity
Human
Applications
ELISA
Purity
>95%, Protein G purified
Pricing
product-image-AAA234903_IF10.jpg IF (Immunofluorescence) (Immunofluorescence staining of A549 cells with AAA234903 at 1:166, counter-stained with DAPI. The cells were fixed in 4% formaldehyde, permeabilized using 0.2% Triton X-100 and blocked in 10% normal Goat Serum. The cells were then incubated with the antibody overnight at 4 degree C.The secondary antibody was Alexa Fluor 488-congugated AffiniPure Goat Anti-Rabbit IgG (H+L).)

HECW2, Polyclonal Antibody (Cat# AAA234903)

No reviews yet
Full Name
HECW2 Antibody
Gene Names
HECW2; NEDL2; NDHSAL
Reactivity
Human
Applications
Immunofluorescence, Immunohistochemistry, Western Blot
Purity
>95%, Protein G purified
Pricing
product-image-AAA234904_IF13.jpg IF (Immunofluorescence) (Immunofluorescence staining of A549 cells with AAA234904 at 1:266, counter-stained with DAPI. The cells were fixed in 4% formaldehyde, permeabilized using 0.2% Triton X-100 and blocked in 10% normal Goat Serum. The cells were then incubated with the antibody overnight at 4 degree C.The secondary antibody was Alexa Fluor 488-congugated AffiniPure Goat Anti-Rabbit IgG (H+L).)

ZMIZ1, Polyclonal Antibody (Cat# AAA234904)

No reviews yet
Full Name
ZMIZ1 Antibody
Gene Names
ZMIZ1; MIZ; RAI17; ZIMP10; TRAFIP10
Reactivity
Human
Applications
Immunofluorescence, Immunohistochemistry
Purity
>95%, Protein G purified
Pricing
product-image-AAA234905_IF13.jpg IF (Immunofluorescence) (Immunofluorescence staining of Hela cells with AAA234905 at 1:66, counter-stained with DAPI. The cells were fixed in 4% formaldehyde, permeabilized using 0.2% Triton X-100 and blocked in 10% normal Goat Serum. The cells were then incubated with the antibody overnight at 4 degree C.The secondary antibody was Alexa Fluor 488-congugated AffiniPure Goat Anti-Rabbit IgG (H+L).)

RASAL2, Polyclonal Antibody (Cat# AAA234905)

No reviews yet
Full Name
RASAL2 Antibody
Gene Names
RASAL2; NGAP
Reactivity
Human
Applications
Immunofluorescence, Immunohistochemistry
Purity
>95%, Protein G purified
Pricing
product-image-AAA234906_IHC11.jpg IHC (Immunohistochemisry) (Immunofluorescence staining of HepG2 cells with AAA234906 at 1:166, counter-stained with DAPI. The cells were fixed in 4% formaldehyde, permeabilized using 0.2% Triton X-100 and blocked in 10% normal Goat Serum. The cells were then incubated with the antibody overnight at 4 degree C.The secondary antibody was Alexa Fluor 488-congugated AffiniPure Goat Anti-Rabbit IgG (H+L).)

FBXO10, Polyclonal Antibody (Cat# AAA234906)

No reviews yet
Full Name
FBXO10 Antibody
Gene Names
FBXO10; FBX10; PRMT11
Reactivity
Human
Applications
Immunofluorescence, Immunohistochemistry
Purity
>95%, Protein G purified
Pricing
product-image-AAA234907_WB15.jpg WB (Western Blot) (Western BlotPositive WB detected in: MCF-7 whole cell lysate, Hela whole cell lysateAll lanes: SLC45A2 antibody at 5.3ug/mlSecondaryGoat polyclonal to rabbit IgG at 1/50000 dilutionPredicted band size: 59, 34, 52 KDaObserved band size: 59 KDa)

SLC45A2, Polyclonal Antibody (Cat# AAA234907)

No reviews yet
Full Name
SLC45A2 Antibody
Gene Names
SLC45A2; 1A1; AIM1; MATP; OCA4; SHEP5
Reactivity
Human
Applications
Western Blot
Purity
>95%, Protein G purified
Pricing
product-image-AAA234913_IF10.jpg IF (Immunofluorescence) (Immunofluorescence staining of Hela cells with AAA234913, counter-stained with DAPI. The cells were fixed in 4% formaldehyde, permeabilized using 0.2% Triton X-100 and blocked in 10% normal Goat Serum. The cells were then incubated with the antibody overnight at 4 degree C.The secondary antibody was Alexa Fluor 488-congugated AffiniPure Goat Anti-Rabbit IgG (H+L).)

HIST1H4A, Polyclonal Antibody (Cat# AAA234913)

No reviews yet
Full Name
HIST1H4A(Ab-8) Antibody
Gene Names
HIST2H4B; H4/o
Reactivity
Human, Mouse, Rat
Applications
Immunofluorescence, Immunohistochemistry, Western Blot
Purity
Antigen Affinity Purified
Pricing
product-image-AAA234914_IHC11.jpg IHC (Immunohistochemisry) (Immunofluorescence staining of Hela cells with AAA234914, counter-stained with DAPI. The cells were fixed in 4% formaldehyde, permeabilized using 0.2% Triton X-100 and blocked in 10% normal Goat Serum. The cells were then incubated with the antibody overnight at 4 degree C.The secondary antibody was Alexa Fluor 488-congugated AffiniPure Goat Anti-Rabbit IgG (H+L).)

HIST1H4A, Polyclonal Antibody (Cat# AAA234914)

No reviews yet
Full Name
HIST1H4A(Ab-77) Antibody
Gene Names
HIST2H4B; H4/o
Reactivity
Human
Applications
Immunofluorescence, Immunohistochemistry
Purity
Antigen Affinity Purified
Pricing
product-image-AAA234915_IF13.jpg IF (Immunofluorescence) (Immunofluorescence staining of Hela cells with AAA234915 at 1:7.5, counter-stained with DAPI. The cells were fixed in 4% formaldehyde, permeabilized using 0.2% Triton X-100 and blocked in 10% normal Goat Serum. The cells were then incubated with the antibody overnight at 4 degree C.The secondary antibody was Alexa Fluor 488-congugated AffiniPure Goat Anti-Rabbit IgG (H+L).)

Mono-methyl-HIST1H4A, Polyclonal Antibody (Cat# AAA234915)

No reviews yet
Full Name
Mono-methyl-HIST1H4A (K59) Antibody
Gene Names
HIST2H4B; H4/o
Reactivity
Human
Applications
Immunofluorescence, Western Blot
Purity
Antigen Affinity Purified
Pricing
product-image-AAA234921_IF13.jpg IF (Immunofluorescence) (Immunofluorescence staining of Hela cells with AAA234921 at 1:15, counter-stained with DAPI. The cells were fixed in 4% formaldehyde, permeabilized using 0.2% Triton X-100 and blocked in 10% normal Goat Serum. The cells were then incubated with the antibody overnight at 4 degree C.The secondary antibody was Alexa Fluor 488-congugated AffiniPure Goat Anti-Rabbit IgG (H+L).)

HIST1H4A, Polyclonal Antibody (Cat# AAA234921)

No reviews yet
Full Name
HIST1H4A(Ab-59) Antibody
Gene Names
HIST2H4B; H4/o
Reactivity
Human
Applications
Chromatin immunoprecipitation, Immunofluorescence, Immunohistochemistry
Purity
Antigen Affinity Purified
Pricing
product-image-AAA234922_IF13.jpg IF (Immunofluorescence) (Immunofluorescence staining of Hela cells(treated with 30mM sodium butyrate for 4h)with AAA234922 at 1:40, counter-stained with DAPI. The cells were fixed in 4% formaldehyde, permeabilized using 0.2% Triton X-100 and blocked in 10% normal Goat Serum. The cells were then incubated with the antibody overnight at 4 degree C.The secondary antibody was Alexa Fluor 488-congugated AffiniPure Goat Anti-Rabbit IgG (H+L).)

2-hydroxyisobutyryl-HIST1H4A, Polyclonal Antibody (Cat# AAA234922)

No reviews yet
Full Name
2-hydroxyisobutyryl-HIST1H4A (K5) Antibody
Gene Names
HIST2H4B; H4/o
Reactivity
Human
Applications
Immunofluorescence, Western Blot
Purity
Antigen Affinity Purified
Pricing
product-image-AAA234924_IHC13.jpg IHC (Immunohiostchemistry) (IHC image of AAA234924 diluted at 1:15 and staining in paraffin-embedded human lung cancer performed on a Leica BondTM system. After dewaxing and hydration, antigen retrieval was mediated by high pressure in a citrate buffer (pH 6.0). Section was blocked with 10% normal goat serum 30min at RT. Then primary antibody (1% BSA) was incubated at 4 degree C overnight. The primary is detected by a biotinylated secondary antibody and visualized using an HRP conjugated SP system.)

HIST1H4A, Polyclonal Antibody (Cat# AAA234924)

No reviews yet
Full Name
HIST1H4A(Ab-44) Antibody
Gene Names
HIST2H4B; H4/o
Reactivity
Human
Applications
Immunohistochemistry
Purity
Antigen Affinity Purified
Pricing
product-image-AAA234928_IF13.jpg IF (Immunofluorescence) (Immunofluorescence staining of Hela cells with AAA234928 at 1:2.5, counter-stained with DAPI. The cells were fixed in 4% formaldehyde, permeabilized using 0.2% Triton X-100 and blocked in 10% normal Goat Serum. The cells were then incubated with the antibody overnight at 4 degree C.The secondary antibody was Alexa Fluor 488-congugated AffiniPure Goat Anti-Rabbit IgG (H+L).)

HIST1H4A, Polyclonal Antibody (Cat# AAA234928)

No reviews yet
Full Name
HIST1H4A(Ab-91) Antibody
Gene Names
HIST2H4B; H4/o
Reactivity
Human
Applications
Immunofluorescence, Immunohistochemistry
Purity
Antigen Affinity Purified
Pricing
product-image-AAA234930_IF10.jpg IF (Immunofluorescence) (Immunofluorescence staining of MCF-7 cells with AAA234930 at 1:2.5, counter-stained with DAPI. The cells were fixed in 4% formaldehyde, permeabilized using 0.2% Triton X-100 and blocked in 10% normal Goat Serum. The cells were then incubated with the antibody overnight at 4 degree C.The secondary antibody was Alexa Fluor 488-congugated AffiniPure Goat Anti-Rabbit IgG (H+L).)

HIST1H4A, Polyclonal Antibody (Cat# AAA234930)

No reviews yet
Full Name
HIST1H4A(Ab-8) Antibody
Gene Names
HIST2H4B; H4/o
Reactivity
Human
Applications
Immunofluorescence, Immunohistochemistry, Western Blot
Purity
Antigen Affinity Purified
Pricing
product-image-AAA234932_IHC11.jpg IHC (Immunohistochemisry) (Immunofluorescence staining of Hela cells with AAA234932, counter-stained with DAPI. The cells were fixed in 4% formaldehyde, permeabilized using 0.2% Triton X-100 and blocked in 10% normal Goat Serum. The cells were then incubated with the antibody overnight at 4 degree C.The secondary antibody was Alexa Fluor 488-congugated AffiniPure Goat Anti-Rabbit IgG (H+L).)

HIST1H2BC, Polyclonal Antibody (Cat# AAA234932)

No reviews yet
Full Name
HIST1H2BC(Ab-5) Antibody
Gene Names
HIST1H2BG; H2B/a; H2BFA; H2B.1A; dJ221C16.8
Reactivity
Human
Applications
Immunofluorescence, Immunohistochemistry
Purity
Antigen Affinity Purified
Pricing
product-image-AAA234934_IF13.jpg IF (Immunofluorescence) (Immunofluorescence staining of Hela cells with AAA234934 at 1:10, counter-stained with DAPI. The cells were fixed in 4% formaldehyde, permeabilized using 0.2% Triton X-100 and blocked in 10% normal Goat Serum. The cells were then incubated with the antibody overnight at 4 degree C.The secondary antibody was Alexa Fluor 488-congugated AffiniPure Goat Anti-Rabbit IgG (H+L).)

HIST1H4A, Polyclonal Antibody (Cat# AAA234934)

No reviews yet
Full Name
HIST1H4A(Ab-12) Antibody
Gene Names
HIST2H4B; H4/o
Reactivity
Human
Applications
Immunofluorescence, Immunohistochemistry
Purity
Antigen Affinity Purified
Pricing
product-image-AAA234935_IHC11.jpg IHC (Immunohistochemisry) (Immunofluorescence staining of Hela cells with AAA234935, counter-stained with DAPI. The cells were fixed in 4% formaldehyde, permeabilized using 0.2% Triton X-100 and blocked in 10% normal Goat Serum. The cells were then incubated with the antibody overnight at 4 degree C.The secondary antibody was Alexa Fluor 488-congugated AffiniPure Goat Anti-Rabbit IgG (H+L).)

HIST1H2BC, Polyclonal Antibody (Cat# AAA234935)

No reviews yet
Full Name
HIST1H2BC(Ab-23) Antibody
Gene Names
HIST1H2BG; H2B/a; H2BFA; H2B.1A; dJ221C16.8
Reactivity
Human
Applications
Immunofluorescence, Immunohistochemistry
Purity
Antigen Affinity Purified
Pricing
product-image-AAA234941_IHC13.jpg IHC (Immunohiostchemistry) (IHC image of AAA234941 diluted at 1:10 and staining in paraffin-embedded human glioma cancer performed on a Leica BondTM system. After dewaxing and hydration, antigen retrieval was mediated by high pressure in a citrate buffer (pH 6.0). Section was blocked with 10% normal goat serum 30min at RT. Then primary antibody (1% BSA) was incubated at 4 degree C overnight. The primary is detected by a biotinylated secondary antibody and visualized using an HRP conjugated SP system.)

HIST1H2BC, Polyclonal Antibody (Cat# AAA234941)

No reviews yet
Full Name
HIST1H2BC(Ab-5) Antibody
Gene Names
HIST1H2BG; H2B/a; H2BFA; H2B.1A; dJ221C16.8
Reactivity
Human
Applications
Immunohistochemistry
Purity
Antigen Affinity Purified
Pricing
product-image-AAA234943_IHC13.jpg IHC (Immunohiostchemistry) (IHC image of AAA234943 diluted at 1:20 and staining in paraffin-embedded human placenta tissue performed on a Leica BondTM system. After dewaxing and hydration, antigen retrieval was mediated by high pressure in a citrate buffer (pH 6.0). Section was blocked with 10% normal goat serum 30min at RT. Then primary antibody (1% BSA) was incubated at 4 degree C overnight. The primary is detected by a biotinylated secondary antibody and visualized using an HRP conjugated SP system.)

HIST1H4A, Polyclonal Antibody (Cat# AAA234943)

No reviews yet
Full Name
HIST1H4A(Ab-59) Antibody
Gene Names
HIST2H4B; H4/o
Reactivity
Human
Applications
Immunohistochemistry
Purity
Antigen Affinity Purified
Pricing
product-image-AAA234945_IF13.jpg IF (Immunofluorescence) (Immunofluorescence staining of Hela cells(treated with 30mM sodium crotonylate for 4h)with AAA234945 at 1:20, counter-stained with DAPI. The cells were fixed in 4% formaldehyde, permeabilized using 0.2% Triton X-100 and blocked in 10% normal Goat Serum. The cells were then incubated with the antibody overnight at 4 degree C.The secondary antibody was Alexa Fluor 488-congugated AffiniPure Goat Anti-Rabbit IgG (H+L).)

HIST1H2BC, Polyclonal Antibody (Cat# AAA234945)

No reviews yet
Full Name
Crotonyl-HIST1H2BC (K11) Antibody
Gene Names
HIST1H2BG; H2B/a; H2BFA; H2B.1A; dJ221C16.8
Reactivity
Human
Applications
Immunofluorescence, Western Blot
Purity
Antigen Affinity Purified
Pricing

Submit a Question

Please complete the form below and a representative will contact you as soon as possible.

Request more Information

Please complete the form below and a representative will contact you as soon as possible.

Request a Manual

Please complete the form below and a representative will contact you as soon as possible.

Request a Quote

Please complete the form below and a representative will contact you as soon as possible.