Loading...

Skip to main content
Call us at +1-800-604-9114 for more information about our products or contact us online Need help? +1-800-604-9114 or contact us

Filters


Clonality

Type

Reactivity

Gene Name

Isotype

Host

Application

Clone

Viewing 3900-3950 of 265194 product results


product-image-AAA12238_APP7.jpg Application Data (Immunoperoxidase staining of rat lymph node cryosection with Mouse anti Rat CD11 antibody, clone ED8 followed by horseradish peroxidase conjugated Goat anti Mouse IgG1 as a detection reagent. High power)

CD11b, Monoclonal Antibody (Cat# AAA12238)

No reviews yet
Full Name
MOUSE ANTI RAT CD11b
Gene Names
ITGAM; CD11B
Applications
Immunohistochemistry
Pricing
product-image-AAA12152_APP9.jpg Application Data (Immunofluorescence staining of rat lymph node cryosection with Mouse anti Rat CD163 antibody , red an A and Mouse anti Rat CD8 , green in B. C is the merged image with nuclei counter-stained blue using DAPI. Low power)

CD163, Monoclonal Antibody (Cat# AAA12152)

No reviews yet
Full Name
MOUSE ANTI RAT CD163:FITC
Gene Names
CD163; M130; MM130
Applications
Flow Cytometry
Pricing
product-image-AAA14553_APP.jpg Coronavirus NP Antibodies and Reactivity with (COVID-19 Nucleocapsid NP Recombinant Antigen) by Indirect ELISA (This experimental data was obtained by the laboratory under optimized experimental conditions. Results for individual researchers may vary. Each researcher should design and optimize their assays according to their model systems.)

COVID 19 Nucleocapsid (NP) Coronavirus, Recombinant Protein (Cat# AAA14553)

No reviews yet
Full Name
COVID-19 Nucelocapsid (N; 2-419aa) Antigen, Recombinant
Applications
Control
Purity
>95%
Pricing
product-image-AAA19258_IF9.jpg IF (Immunofluorescence) (Figure 9. IF analysis of P4HB using anti- P4HB antibody (AAA19258).P4HB was detected in immunocytochemical section of T-47D cells. Enzyme antigen retrieval was performed using IHC enzyme antigen retrieval reagent for 15 mins. The cells were blocked with 10% goat serum. And then incubated with 5μg/mL rabbit anti- P4HB Antibody (AAA19258) overnight at 4 degree C. DyLight®488 Conjugated Goat Anti-Rabbit IgG was used as secondary antibody at 1:100 dilution and incubated for 30 minutes at 37 degree C. The section was counterstained with DAPI. Visualize using a fluorescence microscope and filter sets appropriate for the label used.)

P4HB, Polyclonal Antibody (Cat# AAA19258)

No reviews yet
Full Name
Anti-P4HB Antibody
Gene Names
P4HB; DSI; GIT; PDI; PHDB; PDIA1; PO4DB; PO4HB; PROHB; ERBA2L; P4Hbeta
Reactivity
Human, Monkey, Mouse, Rat
Applications
Western Blot, Immunohistochemistry, Immunocytochemistry, Immunofluorescence, Flow Cytometry, Direct ELISA
Purity
Immunogen affinity purified.
Pricing
product-image-AAA24157_WB7.jpg WB (Western Blot) (CBS monoclonal antibody. Western Blot analysis of CBS expression in MCF-7.)

CBS, Monoclonal Antibody (Cat# AAA24157)

No reviews yet
Full Name
CBS (Cystathionine beta-synthase, Serine Sulfhydrase, Beta-thionase) (AP)
Gene Names
CBS; HIP4
Reactivity
Human
Applications
Immunohistochemistry, Immunoprecipitation, Western Blot
Purity
Purified by Protein A Affinity Chromatography.
Pricing
product-image-AAA24432_WB7.jpg WB (Western Blot) (ALS2CR8 monoclonal antibody, Western Blot analysis of ALS2CR8 expression in Hela NE.)

ALS2CR8, Monoclonal Antibody (Cat# AAA24432)

No reviews yet
Full Name
ALS2CR8 (CARF, Amyotrophic Lateral Sclerosis 2 Chromosomal Region Candidate Gene 8 Protein, Calcium-response Factor, Testis Development Protein NYD-SP24, DKFZp667N246, FLJ12675, FLJ21579) APC
Reactivity
Human
Applications
Immunofluorescence, Immunohistochemistry, Western Blot
Purity
Purified by Protein A Affinity Chromatography.
Pricing
product-image-AAA25167_WB6.jpg WB (Western Blot) (Western blot analysis of MRPL12 over-expressed 293 cell line, cotransfected with MRPL12 Validated Chimera RNAi (Lane 2) or non-transfected control (Lane 1). Blot probed with MRPL12 monoclonal antibody. GAPDH (36.1kD) used as specificity and loading control.)

MRPL12, Monoclonal Antibody (Cat# AAA25167)

No reviews yet
Full Name
MRPL12 (Mitochondrial Ribosomal Protein L12, 39S Ribosomal Protein L12, Mitochondrial, 5c5-2, FLJ60124, L12mt, MGC8610, MRP-L12, MRP-L31/34, MRPL7, MRPL7/L12, RPML12) (FITC)
Gene Names
MRPL12; 5c5-2; L12mt; MRPL7; RPML12; MRPL7/L12; MRP-L31/34
Reactivity
Human
Applications
Immunofluorescence, Immunohistochemistry, Western Blot
Purity
Purified by Protein A Affinity Chromatography.
Pricing
product-image-AAA25456_WB7.jpg WB (Western Blot) (MGC21874 monoclonal antibody. Western Blot analysis of MGC21874 expression in PC-12.)

TADA2B, Monoclonal Antibody (Cat# AAA25456)

No reviews yet
Full Name
TADA2B (Transcriptional Adapter 2-beta, ADA2-like Protein beta, ADA2-beta, ADA2B, MGC21874) (HRP)
Gene Names
TADA2B; ADA2B; ADA2(beta)
Reactivity
Human, Mouse, Rat
Applications
Immunohistochemistry, Western Blot
Purity
Purified by Protein A Affinity Chromatography.
Pricing
product-image-AAA24926_WB7.jpg WB (Western Blot) (RAD18 monoclonal antibody, Western Blot analysis of RAD18 expression in Hela NE.)

RAD18, Monoclonal Antibody (Cat# AAA24926)

No reviews yet
Full Name
RAD18 (E3 Ubiquitin-protein Ligase RAD18, Postreplication Repair Protein RAD18, hRAD18, hHR18, RING Finger Protein 73, RNF73) (Biotin)
Gene Names
RAD18; RNF73
Reactivity
Human, Rat
Applications
Immunofluorescence, Immunohistochemistry, Western Blot
Purity
Purified by Protein A Affinity Chromatography.
Pricing
product-image-AAA26133_IF6.jpg IF (Immunofluorescence) (Immunofluorescence of monoclonal antibody to MAPK3 on HeLa cell. [antibody concentration 10 ug/ml])

MAPK3, Monoclonal Antibody (Cat# AAA26133)

No reviews yet
Full Name
MAPK3 (Mitogen-Activated Protein Kinase 3, ERK1, HS44KDAP, HUMKER1A, MGC20180, P44ERK1, P44MAPK, PRKM3) (APC)
Gene Names
MAPK3; ERK1; ERT2; ERK-1; PRKM3; P44ERK1; P44MAPK; HS44KDAP; HUMKER1A; p44-ERK1; p44-MAPK
Applications
Immunofluorescence, Western Blot
Purity
Purified
Pricing
product-image-AAA26217_IHC6.jpg IHC (Immunohistchemistry) (Immunoperoxidase of monoclonal antibody to TAF11 on formalin-fixed paraffin-embedded human smooth muscle. [antibody concentration 1.2 ug/ml])

TAF11, Monoclonal Antibody (Cat# AAA26217)

No reviews yet
Full Name
TAF11 (TAF11 RNA Polymerase II, TATA Box Binding Protein (TBP)-Associated Factor, 28kD, MGC:15243, PRO2134, TAF2I, TAFII28) (Biotin)
Gene Names
TAF11; TAF2I; PRO2134; TAFII28; MGC:15243
Applications
Immunofluorescence, Immunohistochemistry, Western Blot
Purity
Purified
Pricing
product-image-AAA25879_WB7.jpg WB (Western Blot) (UBQLN2 monoclonal antibody. Western Blot analysis of UBQLN2 expression in NIH/3T3.)

Ubiquilin-2, Monoclonal Antibody (Cat# AAA25879)

No reviews yet
Full Name
Ubiquilin-2 (UBQLN2, Chap1, DSK2 Homolog, HRIHFB2157, N4BP4, Protein Linking IAP with Cytoskeleton 2, PLIC2, PLIC-2, hPLIC-2, Ubiquitin-like Product Chap1/Dsk2) (PE)
Gene Names
UBQLN2; DSK2; ALS15; CHAP1; N4BP4; PLIC2; HRIHFB2157
Reactivity
Human, Mouse, Rat
Applications
Immunofluorescence, Western Blot
Purity
Purified by Protein A Affinity Chromatography.
Pricing
product-image-AAA29203_IHC6.jpg IHC (Immunohistchemistry) (Dilution: Western Blot: 1/500 - 1/2000. IHC-p: 1:100-300 ELISA: 1/20000. Not yet tested in other applications.)

CD203c, Polyclonal Antibody (Cat# AAA29203)

No reviews yet
Full Name
CD203c Polyclonal Antibody
Gene Names
ENPP3; B10; NPP3; PDNP3; CD203c; PD-IBETA
Reactivity
Human, Mouse, Rat
Applications
Western Blot, Immunohistochemistry
Pricing
product-image-AAA28345_IF7.jpg IF (Immunofluorescence) (Immunofluorescence analysis of U-2 OS cells using YAP1 Rabbit pAb at dilution of 1:150 (40x lens). Blue: DAPI for nuclear staining.)

YAP1, Polyclonal Antibody (Cat# AAA28345)

No reviews yet
Full Name
YAP1 Rabbit pAb
Gene Names
YAP1; YAP; YKI; YAP2; YAP65
Reactivity
Human, Mouse, Rat
Applications
Western Blot, Immunohistochemistry, Immunofluorescence
Purity
Affinity purification
Pricing
product-image-AAA30384_FCM9.jpg FCM (Flow Cytometry) (Flow cytometric analysis of 293T cells with NRF1 antibody at 1/100 dilution (red) compared with an unlabelled control (cells without incubation with primary antibody; black).)

NRF1, Monoclonal Antibody (Cat# AAA30384)

No reviews yet
Full Name
NRF1 Antibody
Gene Names
NRF1; ALPHA-PAL
Reactivity
Human, Mouse, Rat
Applications
Western Blot, Immunocytochemistry, Immunofluorescence, Immunohistochemistry, Flow Cytometry, Immunoprecipitation
Purity
ProA affinity purified
Pricing
product-image-AAA29718_IF6.jpg IF (Immunofluorescence) (Immunofluorescence analysis of A549 cell using RUNX1 antibody. Blue: DAPI for nuclear staining.)

RUNX1, Polyclonal Antibody (Cat# AAA29718)

No reviews yet
Full Name
RUNX1 Antibody
Gene Names
RUNX1; AML1; CBFA2; EVI-1; AMLCR1; PEBP2aB; CBF2alpha; AML1-EVI-1; PEBP2alpha
Reactivity
Human, Mouse, Rat
Applications
Western Blot, Immunohistochemistry, Immunofluorescence, Immunoprecipitation
Purity
Antibodies were purified by affinity purification using immunogen.
Pricing
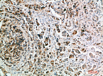
product-image-AAA29723_IHC3.jpg IHC (Immunohistochemistry) (Immunohistochemical analysis of paraffin-embedded human esophageal tissue using at dilution of 1:200.)

KS19.1, Monoclonal Antibody (Cat# AAA29723)

No reviews yet
Full Name
KS19.1 Monoclonal Antibody
Reactivity
Human
Applications
Western Blot, Immunohistochemistry
Purity
Protein G Purifed
Pricing
product-image-AAA29855_IF6.jpg IF (Immunofluorescence) (Immunofluorescence analysis of U-2 OS cells using CAD antibody.)

CAD, Polyclonal Antibody (Cat# AAA29855)

No reviews yet
Full Name
CAD Polyclonal Antibody
Reactivity
Human, Mouse
Applications
Western Blot, Immunohistochemistry, Immunofluorescence
Purity
Affinity purification
Pricing
product-image-AAA29983_FCM6.jpg FCM (Flow Cytometry) (Flow cytometric analysis of Hela cells with Integrin beta-1 antibody at 1/50 dilution (blue) compared with an unlabelled control (cells without incubation with primary antibody; red). Alexa Fluor 488-conjugated goat anti rabbit IgG was used as the secondary antibody.)

Integrin beta-1, Monoclonal Antibody (Cat# AAA29983)

No reviews yet
Full Name
Integrin beta-1 Antibody
Gene Names
ITGB1; CD29; FNRB; MDF2; VLAB; GPIIA; MSK12; VLA-BETA
Reactivity
Human, Mouse, Rat
Applications
Western Blot, Immunohistochemistry, Flow Cytometry
Purity
ProA affinity purified
Pricing
product-image-AAA18958_SC.jpg Standard Curve (Sample)

Peroxisome proliferator-activated receptor gamma coactivator 1 alpha (PGC1alpha), ELISA Kit (Cat# AAA18958)

No reviews yet
Full Name
Mouse Peroxisome proliferator-activated receptor gamma coactivator 1 alpha (PGC1alpha) ELISA Kit
Gene Names
Ppargc1a; Ppargc1
Reactivity
Mouse
Pricing
product-image-AAA18201_SC.png Standard Curve (Sample)

Glucose Regulated Protein 78 (GRP78) Elisa kit, ELISA Kit (Cat# AAA18201)

No reviews yet
Full Name
Mouse Glucose Regulated Protein 78, GRP78 ELISA Kit
Gene Names
Hspa5; Bip; Sez7; mBiP; Grp78; SEZ-7; Hsce70; baffled; AL022860; AU019543; D2Wsu17e; D2Wsu141e
Reactivity
Mouse
Pricing
product-image-AAA15968_SC.jpg Standard Curve (Sample)

Very Low Density Lipoproteins, ELISA Kit (Cat# AAA15968)

No reviews yet
Full Name
Mouse Very Low Density Lipoproteins ELISA Kit
Reactivity
Mouse
Pricing
product-image-AAA14998_SC.png Standard Curve (Sample)

leukocyte immunoglobulin-like receptor, subfamily B (with TM and ITIM domains) , member 4, ELISA Kit (Cat# AAA14998)

No reviews yet
Full Name
human leukocyte immunoglobulin-like receptor subfamily B member 4, LILRB4 ELISA Kit
Gene Names
LILRB4; ILT3; LIR5; CD85K; ILT-3; LIR-5
Reactivity
Human
Pricing
product-image-AAA17386_SC.jpg Standard Curve (Sample)

Sorbitol dehydrogenase, ELISA Kit (Cat# AAA17386)

No reviews yet
Full Name
Human Sorbitol dehydrogenase ELISA Kit
Gene Names
SORD; SORD1; HEL-S-95n
Reactivity
Human
Pricing
product-image-AAA11957_APP6.gif Application Data (Staining of mouse peripheral blood lymphocytes with Rat anti Mouse CD200R: Low Endotoxin)

CD200R, Monoclonal Antibody (Cat# AAA11957)

No reviews yet
Full Name
RAT ANTI MOUSE CD200R
Gene Names
Cd200r1; OX2R; Mox2r; CD200R
Applications
Flow Cytometry
Pricing
product-image-AAA11966_APP10.jpg Application Data (Immunoperoxidase staining of rat lymph node cryosection with Mouse anti Rat CD25 followed by horseradish peroxidase conjugated Goat anti Mouse IgG1 as a detection reagent. High power)

CD25, Monoclonal Antibody (Cat# AAA11966)

No reviews yet
Full Name
MOUSE ANTI RAT CD25
Gene Names
Il2ra; IL2RAC
Applications
Immunohistochemistry, Flow Cytometry, Immunoprecipitation, Immunohistochemistry
Pricing
product-image-AAA14561_IB8.png IB (Immunoblot) (Figure 8. Immunoblotting results (R4A) on uterine artery and uterine corpus.)

Smoothelin, Monoclonal Antibody (Cat# AAA14561)

No reviews yet
Full Name
Mouse anti Smoothelin
Gene Names
SMTN; FLJ35168; FLJ35365; FLJ35620; FLJ38597
Reactivity
Canine, Chicken, Feline, Human, Monkey, Swine
Applications
Immunohistochemistry, Immunohistochemistry, Western Blot
Pricing
product-image-AAA23397_WB6.jpg WB (Western Blot) (25 ug of the indicated Human whole cell extracts was loaded onto a 12% SDS-PAGE gel. 1 ug/mL of the antibody was used in this experiment. Canonical 37 kDa isoform is identified. Doublet may reflect phosphorylation.)

RAX, Polyclonal Antibody (Cat# AAA23397)

No reviews yet
Full Name
RAX antibody - N-terminal region
Gene Names
RAX; RX; MCOP3
Reactivity
Tested Species Reactivity: Human
Predicted Species Reactivity: Human, Mouse, Rat, Cow, Dog, Guinea Pig, Horse, Rabbit
Applications
Immunohistochemistry, Western Blot
Purity
Affinity Purified
Pricing
product-image-AAA24873_WB7.jpg WB (Western Blot) (NADK monoclonal antibody. Western Blot analysis of NADK expression in HepG2.)

NADK, Monoclonal Antibody (Cat# AAA24873)

No reviews yet
Full Name
NADK (NAD Kinase, Poly(P)/ATP NAD Kinase, dJ283E3.1, DKFZp686L22239, FLJ13052, FLJ37724, FLJ54695, FLJ77769, FLJ78247, FLJ78307, MGC1900) (Biotin)
Gene Names
NADK; dJ283E3.1
Reactivity
Human, Mouse
Applications
Western Blot
Purity
Purified by Protein A Affinity Chromatography.
Pricing
product-image-AAA24884_WB7.jpg WB (Western Blot) (Western Blot analysis of NQO1 expression in transfected 293T cell line by NQO1 monoclonal antibody. Lane 1: NQO1 transfected lysate (30.9kD). Lane 2: Non-transfected lysate.)

NQO1, Monoclonal Antibody (Cat# AAA24884)

No reviews yet
Full Name
NQO1 (NAD(P)H Dehydrogenase [Quinone] 1, Azoreductase, DT-diaphorase, DTD, QR1, Menadione Reductase, NAD(P)H:quinone Oxidoreductase 1, Phylloquinone Reductase, Quinone Reductase 1, DIA4, NMOR1) (Biotin)
Gene Names
NQO1; DTD; QR1; DHQU; DIA4; NMOR1; NMORI
Reactivity
Human
Applications
Immunofluorescence, Immunoprecipitation, Western Blot
Purity
Purified by Protein A Affinity Chromatography.
Pricing
product-image-AAA24914_APP6.jpg Application Data (Proximity Ligation Analysis of protein-protein interactions between TP53 and PML HeLa cells were stained with anti-TP53 rabbit purified polyclonal 1:1200 and anti-PML mouse monoclonal antibody 1:50. Each red dot represents the detection of protein-protein interaction complex, and nuclei were counterstained with DAPI (blue).)

PML, Monoclonal Antibody (Cat# AAA24914)

No reviews yet
Full Name
PML (Probable Transcription Factor PML, RING Finger Protein 71, Tripartite Motif-containing Protein 19, PML, MYL, RNF71, TRIM19) (Biotin)
Gene Names
PML; MYL; RNF71; PP8675; TRIM19
Reactivity
Human, Rat
Applications
Immunofluorescence, Western Blot
Purity
Purified by Protein A Affinity Chromatography.
Pricing
product-image-AAA25478_WB6.jpg WB (Western Blot) (NUP62 monoclonal antibody. Western Blot analysis of NUP62 expression in NIH/3T3.)

NUP62, Monoclonal Antibody (Cat# AAA25478)

No reviews yet
Full Name
NUP62 (Nuclear Pore Glycoprotein p62, 62kD Nucleoporin, Nucleoporin Nup62) (HRP)
Gene Names
NUP62; p62; IBSN; SNDI
Reactivity
Human, Mouse, Rat
Applications
Western Blot
Purity
Purified by Protein A Affinity Chromatography.
Pricing
product-image-AAA25239_APP6.jpg Application Data (Detection limit for recombinant GST tagged S100A6 is ~0.03ng/ml as a capture antibody.)

S100A6, Monoclonal Antibody (Cat# AAA25239)

No reviews yet
Full Name
S100A6 (Protein S100-A6, S100 Calcium-binding Protein A6, Calcyclin, Prolactin Receptor-associated Protein, PRA, Growth Factor-inducible Protein 2A9, MLN 4, CACY) (FITC)
Gene Names
S100A6; 2A9; PRA; 5B10; CABP; CACY
Reactivity
Human
Applications
Immunofluorescence, Immunohistochemistry, Western Blot
Purity
Purified by Protein A Affinity Chromatography.
Pricing
product-image-AAA25608_WB6.jpg WB (Western Blot) (AKR1B10 monoclonal antibody, Western Blot analysis of AKR1B10 expression in HepG2.)

AKR1B10, Monoclonal Antibody (Cat# AAA25608)

No reviews yet
Full Name
AKR1B10 (Aldo-keto Reductase Family 1 Member B10, ARL-1, Aldose Reductase-like, Aldose Reductase-related Protein, ARP, hARP, Small Intestine Reductase, SI Reductase, AKR1B11) (PE)
Gene Names
AKR1B10; HIS; HSI; ARL1; ARL-1; ALDRLn; AKR1B11; AKR1B12
Reactivity
Human
Applications
Immunofluorescence, Immunohistochemistry, Western Blot
Purity
Purified by Protein A Affinity Chromatography.
Pricing
product-image-AAA26121_WB6.jpg WB (Western Blot) (RNPS1 monoclonal antibody (M05), clone 7G8. Western Blot analysis of RNPS1 expression in rat testis.)

RNPS1, Monoclonal Antibody (Cat# AAA26121)

No reviews yet
Full Name
RNPS1 (RNA Binding Protein S1, Serine-Rich Domain, E5.1, MGC117332) (APC)
Gene Names
RNPS1; E5.1
Applications
Western Blot
Purity
Purified
Pricing
product-image-AAA26210_APP6.jpg Application Data (Detection limit for recombinant GST tagged PCAF is approximately 3ng/ml as a capture antibody.)

PCAF, Monoclonal Antibody (Cat# AAA26210)

No reviews yet
Full Name
PCAF (K(Lysine) Acetyltransferase 2B, CAF, P, P/CAF, PCAF) (Biotin)
Gene Names
KAT2B; CAF; PCAF; P/CAF
Applications
Immunofluorescence, Western Blot
Purity
Purified
Pricing
product-image-AAA26790_APP6.jpg Application Data (Staining of mouse thymus with RAT ANTI MOUSE CD150: RPE)

CD150, Monoclonal Antibody (Cat# AAA26790)

No reviews yet
Full Name
CD150 (CD150 Antigen, Cdw150, 4933415F16, Estm51, Ipo 3, Ipo-3, OTTHUMP00000060252, Signaling Lymphocytic Activation Molecule, SLAM, Signaling Lymphocytic Activation Molecule Family Member 1, SLAMF1 Protein) (MaxLight 490)
Reactivity
Mouse
Applications
Flow Cytometry
Purity
Purified by Protein G Affinity Chromatography
Pricing
product-image-AAA26493_IF6.jpg IF (Immunofluorescence) (Immunofluorescence of monoclonal antibody to NFKB1 on HeLa cell. [antibody concentration 10 ug/ml])

NFKB1, Monoclonal Antibody (Cat# AAA26493)

No reviews yet
Full Name
NFKB1 (Nuclear Factor of kappa Light Polypeptide Gene Enhancer in B-Cells 1, DKFZp686C01211, EBP-1, KBF1, MGC54151, NF-kappa-B, NFKB-p105, NFKB-p50, p105, p50) (HRP)
Gene Names
NFKB1; p50; KBF1; p105; EBP-1; NF-kB; CVID12; NF-kB1; NFKB-p50; NFkappaB; NF-kappaB; NFKB-p105; NF-kappa-B1
Applications
Immunofluorescence, Immunohistochemistry, Western Blot
Purity
Purified
Pricing
product-image-AAA20048_SC.jpg Standard Curve (Sample)

Nicotinic Acid Adenine Dinucleotide Phosphate (NAADP), ELISA Kit (Cat# AAA20048)

No reviews yet
Full Name
General Nicotinic Acid Adenine Dinucleotide Phosphate (NAADP) ELISA Kit
Reactivity
General
Pricing
product-image-AAA12939_SC.jpg Standard Curve (Sample)

Free Fatty Acid (FFA), ELISA Kit (Cat# AAA12939)

No reviews yet
Full Name
Rat Free Fatty Acid (FFA) ELISA Kit
Gene Names
FFAR2; FFA2R; GPR43
Reactivity
Rat
Pricing
product-image-AAA15821_SC.png Standard Curve (Sample)

very low density lipoprotein (VLDL), ELISA Kit (Cat# AAA15821)

No reviews yet
Full Name
Mouse very low density lipoprotein, VLDL ELISA Kit
Reactivity
Mouse
Pricing
product-image-AAA14123_IHC6.jpg IHC (Immunohistchemistry) (Immunohistochemical analysis of paraffin-embedded bladder cancer tissues using TWF1 mouse mAb with DAB staining.)

Twinfilin-1, Monoclonal Antibody (Cat# AAA14123)

No reviews yet
Full Name
Anti-Twinfilin-1 Mouse mAb
Gene Names
TWF1; A6; PTK9
Reactivity
Human, Mouse, Rat
Applications
Western Blot
Pricing
product-image-AAA13708_APP.jpg Application Data (C: 293 cell extract control; E: 293 cell expressing E1 (HCV))

E1 (HCV), Polyclonal Antibody (Cat# AAA13708)

No reviews yet
Full Name
Anti-E1 (HCV), rabbit IgG
Applications
Western Blot
Purity
Immunoaffinity chromatography.
Pricing
product-image-AAA19729_WB.jpg IHC (Immunohistchemistry) (Figure 9. IHC analysis of ERBB4 using anti-ERBB4 antibody (AAA19729).ERBB4 was detected in a paraffin-embedded section of human urothelial carcinoma tissue. Heat mediated antigen retrieval was performed in EDTA buffer (pH 8.0, epitope retrieval solution). The tissue section was blocked with 10% goat serum. The tissue section was then incubated with 2ug/ml rabbit anti-ERBB4 Antibody (AAA19729) overnight at 4 degree C. Peroxidase Conjugated Goat Anti-rabbit IgG was used as secondary antibody and incubated for 30 minutes at 37 degree C. The tissue section was developed using HRP Conjugated Rabbit IgG Super Vision Assay Kit ( epitope retrieval solution). The tissue section was blocked with 10% goat serum. The tissue section was then incubated with 2ug/ml rabbit anti-ERBB4 Antibody (AAA19729) overnight at 4 degree C. Peroxidase Conjugated Goat Anti-rabbit IgG was used as secondary antibody and incubated for 30 minutes at 37 degree C. The tissue section was developed using HRP Conjugated Rabbit IgG Super Vision Assay Kit ( epitope retrieval solution). The tissue section was blocked with 10% goat serum. The tissue section was then incubated with 2ug/ml rabbit anti-ERBB4 Antibody (AAA19729) overnight at 4 degree C. Peroxidase Conjugated Goat Anti-rabbit IgG was used as secondary antibody and incubated for 30 minutes at 37 degree C. The tissue section was developed using HRP Conjugated Rabbit IgG Super Vision Assay Kit ( epitope retrieval solution). The tissue section was blocked with 10% goat serum. The tissue section was then incubated with 2ug/ml rabbit anti-ERBB4 Antibody (AAA19729) overnight at 4 degree C. Peroxidase Conjugated Goat Anti-rabbit IgG was used as secondary antibody and incubated for 30 minutes at 37 degree C. The tissue section was developed using HRP Conjugated Rabbit IgG Super Vision Assay Kit ( epitope retrieval solution). The tissue section was blocked with 10% goat serum. The tissue section was then incubated with 2ug/ml rabbit anti-ERBB4 Antibody (AAA19729) overnight at 4 degree C. Peroxidase Conjugated Goat Anti-rabbit IgG was used as secondary antibody and incubated for 30 minutes at 37 degree C. The tissue section was developed using HRP Conjugated Rabbit IgG Super Vision Assay Kit ( epitope retrieval solution). The tissue section was blocked with 10% goat serum. The tissue section was then incubated with 2ug/ml rabbit anti-ERBB4 Antibody (AAA19729) overnight at 4 degree C. Peroxidase Conjugated Goat Anti-rabbit IgG was used as secondary antibody and incubated for 30 minutes at 37 degree C. The tissue section was developed using HRP Conjugated Rabbit IgG Super Vision Assay Kit ( epitope retrieval solution). The tissue section was blocked with 10% goat serum. The tissue section was then incubated with 2ug/ml rabbit anti-ERBB4 Antibody (AAA19729) overnight at 4 degree C. Peroxidase Conjugated Goat Anti-rabbit IgG was used as secondary antibody and incubated for 30 minutes at 37 degree C. The tissue section was developed using HRP Conjugated Rabbit IgG Super Vision Assay Kit ( epitope retrieval solution). The tissue section was blocked with 10% goat serum. The tissue section was then incubated with 2ug/ml rabbit anti-ERBB4 Antibody (AAA19729) overnight at 4 degree C. Peroxidase Conjugated Goat Anti-rabbit IgG was used as secondary antibody and incubated for 30 minutes at 37 degree C. The tissue section was developed using HRP Conjugated Rabbit IgG Super Vision Assay Kit (Lane 2: rat brain tissue lysates,Lane 3: rat PC-12 whole cell lysates,Lane 4: mouse brain tissue lysates.After electrophoresis, proteins were transferred to a nitrocellulose membrane at 150 mA for 50-90 minutes. Blocked the membrane with 5% non-fat milk/TBS for 1.5 hour at RT. The membrane was incubated with rabbit anti-ERBB4 antigen affinity purified polyclonal antibody (#AAA19729) at 0.5ug/mL overnight at 4 degree C, then washed with TBS-0.1%Tween 3 times with 5 minutes each and probed with a goat anti-rabbit IgG-HRP secondary antibody at a dilution of 1:5000 for 1.5 hour at RT. The signal is developed using an Enhanced Chemiluminescent detection (ECL) kit with Tanon 5200 system. A specific band was detected for ERBB4 at approximately 180 kDa. The expected band size for ERBB4 is at 147 kDa.)

ERBB4, Polyclonal Antibody (Cat# AAA19729)

No reviews yet
Full Name
Anti-ERBB4 Antibody Picoband
Gene Names
ERBB4; HER4; p180erbB4
Reactivity
Human, Mouse, Rat
Applications
Western Blot, Immunohistochemistry
Purity
Immunogen affinity purified.
Pricing
product-image-AAA24414_WB7.jpg WB (Western Blot) (ACP1 monoclonal antibody Western Blot analysis of ACP1 expression in NIH/3T3.)

ACP1, Monoclonal Antibody (Cat# AAA24414)

No reviews yet
Full Name
ACP1 (Low Molecular Weight Phosphotyrosine Protein Phosphatase, LMW-PTP, LMW-PTPase, Low Molecular Weight Cytosolic Acid Phosphatase, Red Cell Acid Phosphatase 1, PTPase, Adipocyte Acid Phosphatase) APC
Gene Names
ACP1; HAAP; LMW-PTP
Reactivity
Human, Mouse, Rat
Applications
Western Blot
Purity
Purified by Protein A Affinity Chromatography.
Pricing
product-image-AAA24428_WB7.jpg WB (Western Blot) (AKT1 monoclonal antibody Western Blot analysis of AKT1 expression in NIH/3T3.)

AKT1, Monoclonal Antibody (Cat# AAA24428)

No reviews yet
Full Name
AKT1 (RAC-alpha Serine/Threonine-protein Kinase, RAC-PK-alpha, Protein Kinase B, PKB, Proto-oncogene c-Akt, PKB, RAC) APC
Gene Names
AKT1; AKT; PKB; RAC; CWS6; PRKBA; PKB-ALPHA; RAC-ALPHA
Reactivity
Human, Mouse, Rat
Applications
Immunofluorescence, Immunohistochemistry, Immunoprecipitation, Western Blot
Purity
Purified by Protein A Affinity Chromatography.
Pricing
product-image-AAA24847_WB6.jpg WB (Western Blot) (Western Blot detection against Immunogen (70kD).)

LEF1, Monoclonal Antibody (Cat# AAA24847)

No reviews yet
Full Name
LEF1 (Lymphoid Enhancer-binding Factor 1, T Cell-specific Transcription Factor 1-alpha, DKFZp586H0919) (Biotin)
Gene Names
LEF1; LEF-1; TCF10; TCF7L3; TCF1ALPHA
Reactivity
Human
Applications
Western Blot
Purity
Purified by Protein A Affinity Chromatography.
Pricing
product-image-AAA24909_APP6.jpg Application Data (Detection limit for recombinant GST tagged PITPNA is 0.1ng/ml as a capture antibody.)

PITPNA, Monoclonal Antibody (Cat# AAA24909)

No reviews yet
Full Name
PITPNA (Phosphatidylinositol Transfer Protein alpha Isoform, PI-TP-alpha, PtdIns Transfer Protein alpha, PtdInsTP alpha, PITPN, MGC99649) (Biotin)
Gene Names
PITPNA; PITPN; VIB1A; HEL-S-36; PI-TPalpha
Reactivity
Human, Mouse, Rat
Applications
Western Blot
Purity
Purified by Protein A Affinity Chromatography.
Pricing
product-image-AAA26114_IHC6.jpg IHC (Immunohistchemistry) (Immunoperoxidase of monoclonal antibody to FOXA2 on formalin-fixed paraffin-embedded human pancreas. [antibody concentration 0.5 ug/ml])

FOXA2, Monoclonal Antibody (Cat# AAA26114)

No reviews yet
Full Name
FOXA2 (Forkhead Box A2, HNF3B, MGC19807, TCF3B) (APC)
Gene Names
FOXA2; HNF3B; TCF3B
Applications
Immunofluorescence, Immunohistochemistry, Western Blot
Purity
Purified
Pricing
product-image-AAA25872_WB7.jpg WB (Western Blot) (TRIM33 monoclonal antibody, Western Blot analysis of TRIM33 expression in Hela NE)

TRIM33, Monoclonal Antibody (Cat# AAA25872)

No reviews yet
Full Name
TRIM33 (E3 Ubiquitin-protein Ligase TRIM33, Ectodermin Homolog, RET-fused Gene 7 Protein, Protein Rfg7, Transcription Intermediary Factor 1-gamma, TIF1-gamma, Tripartite Motif-containing Protein 33, KIAA1113, RFG7, TIF1G) (PE)
Gene Names
TRIM33; ECTO; PTC7; RFG7; TF1G; TIF1G; TIFGAMMA; TIF1GAMMA
Reactivity
Human, Mouse, Rat
Applications
Immunofluorescence, Immunohistochemistry, Western Blot
Purity
Purified by Protein A Affinity Chromatography.
Pricing

Submit a Question

Please complete the form below and a representative will contact you as soon as possible.

Request more Information

Please complete the form below and a representative will contact you as soon as possible.

Request a Manual

Please complete the form below and a representative will contact you as soon as possible.

Request a Quote

Please complete the form below and a representative will contact you as soon as possible.