Human Autocrine Motility Factor Receptor ELISA Kit | AMFR elisa kit
Human Autocrine Motility Factor Receptor (AMFR) (Sandwich ELISA) ELISA Kit
Gene Names
AMFR; GP78; RNF45
Reactivity
Human
Synonyms
Autocrine Motility Factor Receptor; N/A; Human Autocrine Motility Factor Receptor (AMFR) (Sandwich ELISA) ELISA Kit; GP78; RNF45; E3 ubiquitin-protein ligase AMFR; RING finger protein 45; ELISA Kit for Autocrine Motility Factor Receptor (AMFR); AMFR elisa kit
Reactivity
Human
Specificity
This assay has high sensitivity and excellent specificity for detection of AMFR. No significant cross-reactivity or interference between AMFR and analogues was observed.
Assay Type
Quantitative Sandwich
Samples
Human tissue homogenates, cell lysates, cell culture supernates and other biological fluids
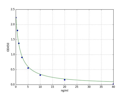
Detection Range
0.312-20ng/mL
Sensitivity
< 0.112ng/mL
Intra-assay Precision
Intra-assay Precision (Precision within an assay): 3 samples with low, middle and high level AMFR were tested 20 times on one plate, respectively. Intra-Assay: CV<10%
Inter-assay Precision
Inter-assay Precision (Precision between assays): 3 samples with low, middle and high level AMFR were tested on 3 different plates, 8 replicates in each plate. CV(%) = SD/meanX100. Inter-Assay: CV<12%
Preparation and Storage
4 degree C for 1 month/ -20 degree C for long-term(within shelf life). Shelf life is one year
Related Product Information for AMFR elisa kit
Principle of the Assay: The microplate provided in this kit has been pre-coated with an antibody specific to AMFR. Standards or samples are then added to the appropriate microplate wells with a biotin-conjugated antibody specific to AMFR. Next, Avidin conjugated to Horseradish Peroxidase (HRP) is added to each microplate well and incubated. After TMB substrate solution is added, only those wells that contain AMFR, biotin-conjugated antibody and enzyme-conjugated Avidin will exhibit a change in color. The enzyme-substrate reaction is terminated by the addition of sulphuric acid solution and the color change is measured spectrophotometrically at a wavelength of 450nm ± 10nm. The concentration of AMFR in the samples is then determined by comparing the O.D. of the samples to the standard curve.
Intended Uses: The kit is a sandwich enzyme immunoassay for in vitro quantitative measurement of AMFR in human tissue homogenates, cell lysates, cell culture supernates and other biological fluids.
Intended Uses: The kit is a sandwich enzyme immunoassay for in vitro quantitative measurement of AMFR in human tissue homogenates, cell lysates, cell culture supernates and other biological fluids.
Product Categories/Family for AMFR elisa kit
NCBI and Uniprot Product Information
NCBI GI #
NCBI GeneID
NCBI Accession #
NCBI GenBank Nucleotide #
Molecular Weight
72,996 Da
NCBI Official Full Name
E3 ubiquitin-protein ligase AMFR isoform c
NCBI Official Synonym Full Names
autocrine motility factor receptor
NCBI Official Symbol
AMFR
NCBI Official Synonym Symbols
GP78; RNF45
NCBI Protein Information
E3 ubiquitin-protein ligase AMFR
UniProt Protein Name
E3 ubiquitin-protein ligase AMFR
UniProt Gene Name
AMFR
UniProt Synonym Gene Names
RNF45; AMF receptor
Customer Reviews
Loading reviews...
Share Your Experience
Similar Products
Product Notes
The Human AMFR amfr (Catalog #AAA189921) is an ELISA Kit and is intended for research purposes only. The product is available for immediate purchase. The AAA189921 ELISA Kit recognizes Human AMFR. It is sometimes possible for the material contained within the vial of "Autocrine Motility Factor Receptor, ELISA Kit" to become dispersed throughout the inside of the vial, particularly around the seal of said vial, during shipment and storage. We always suggest centrifuging these vials to consolidate all of the liquid away from the lid and to the bottom of the vial prior to opening. Please be advised that certain products may require dry ice for shipping and that, if this is the case, an additional dry ice fee may also be required.Precautions
All products in the AAA Biotech catalog are strictly for research-use only, and are absolutely not suitable for use in any sort of medical, therapeutic, prophylactic, in-vivo, or diagnostic capacity. By purchasing a product from AAA Biotech, you are explicitly certifying that said products will be properly tested and used in line with industry standard. AAA Biotech and its authorized distribution partners reserve the right to refuse to fulfill any order if we have any indication that a purchaser may be intending to use a product outside of our accepted criteria.Disclaimer
Though we do strive to guarantee the information represented in this datasheet, AAA Biotech cannot be held responsible for any oversights or imprecisions. AAA Biotech reserves the right to adjust any aspect of this datasheet at any time and without notice. It is the responsibility of the customer to inform AAA Biotech of any product performance issues observed or experienced within 30 days of receipt of said product. To see additional details on this or any of our other policies, please see our Terms & Conditions page.Item has been added to Shopping Cart
If you are ready to order, navigate to Shopping Cart and get ready to checkout.
