anti-Human p53 Antibody | anti-p53 antibody
p53 (Phospho-Ser315) Antibody
Gene Names
TP53; P53; BCC7; LFS1; TRP53
Reactivity
Human
Applications
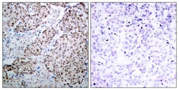
Immunoprecipitation, ELISA, Immunohistochemistry, Western Blot
Purity
Affinity-purified from rabbit antiserum by affinity-chromatography using epitope-specific phosphopeptide. The antibody against non-phosphopeptide was removed by chromatogramphy using non-phosphopeptide corresponding to the phosphorylation site.
Synonyms
p53; N/A; p53 (Phospho-Ser315) Antibody; anti-p53 antibody
Reactivity
Human
Specificity
p53 (phospho-Ser315) antibody detects endogenous levels of p53 only when phosphorylated at serine 315.
Purity/Purification
Affinity-purified from rabbit antiserum by affinity-chromatography using epitope-specific phosphopeptide. The antibody against non-phosphopeptide was removed by chromatogramphy using non-phosphopeptide corresponding to the phosphorylation site.
Form/Format
In phosphate buffered saline (without Mg2+ and Ca2+), pH 7.4, 150mM NaCl, 0.02% sodium azide and 50% glycerol.
Sequence Length
393
Applicable Applications for anti-p53 antibody
IP (Immunoprecipitation), ELISA, IHC (Immunohistochemistry), WB (Western Blot)
Immunogen
The antiserum was produced against synthesized phosphopeptide derived from human p53 around the phosphorylation site of serine 315 (S-S-SP-P-Q).
Preparation and Storage
Store at-20 degree C for 1 year
References
Lu, H. et al. (1997) Mol. Cell. Biol. 17, 5923-5934. Lohrum, M. et.al. (1996) Oncogene 13, 2527-2539. Ulrich, S. J. et al. (1993) Proc. Natl. Acad. Sci. USA 90, 5954-5958. Pospísilová S, et al. (2004) Biochem J; 378(Pt 3): 939-47. Merrick BA, et al. (2001) Biochemistry; 40(13): 4053-66.
NCBI and Uniprot Product Information
NCBI GI #
NCBI GeneID
NCBI Accession #
NCBI GenBank Nucleotide #
UniProt Accession #
Molecular Weight
24,401 Da
NCBI Official Full Name
cellular tumor antigen p53 isoform a
NCBI Official Synonym Full Names
tumor protein p53
NCBI Official Symbol
TP53
NCBI Official Synonym Symbols
P53; BCC7; LFS1; TRP53
NCBI Protein Information
cellular tumor antigen p53
UniProt Protein Name
Cellular tumor antigen p53
UniProt Gene Name
TP53
UniProt Synonym Gene Names
P53
Customer Reviews
Loading reviews...
Share Your Experience
Similar Products
Product Notes
The p53 tp53 (Catalog #AAA267783) is an Antibody and is intended for research purposes only. The product is available for immediate purchase. The p53 (Phospho-Ser315) Antibody reacts with Human and may cross-react with other species as described in the data sheet. AAA Biotech's p53 can be used in a range of immunoassay formats including, but not limited to, IP (Immunoprecipitation), ELISA, IHC (Immunohistochemistry), WB (Western Blot). Researchers should empirically determine the suitability of the p53 tp53 for an application not listed in the data sheet. Researchers commonly develop new applications and it is an integral, important part of the investigative research process. It is sometimes possible for the material contained within the vial of "p53, Antibody" to become dispersed throughout the inside of the vial, particularly around the seal of said vial, during shipment and storage. We always suggest centrifuging these vials to consolidate all of the liquid away from the lid and to the bottom of the vial prior to opening. Please be advised that certain products may require dry ice for shipping and that, if this is the case, an additional dry ice fee may also be required.Precautions
All products in the AAA Biotech catalog are strictly for research-use only, and are absolutely not suitable for use in any sort of medical, therapeutic, prophylactic, in-vivo, or diagnostic capacity. By purchasing a product from AAA Biotech, you are explicitly certifying that said products will be properly tested and used in line with industry standard. AAA Biotech and its authorized distribution partners reserve the right to refuse to fulfill any order if we have any indication that a purchaser may be intending to use a product outside of our accepted criteria.Disclaimer
Though we do strive to guarantee the information represented in this datasheet, AAA Biotech cannot be held responsible for any oversights or imprecisions. AAA Biotech reserves the right to adjust any aspect of this datasheet at any time and without notice. It is the responsibility of the customer to inform AAA Biotech of any product performance issues observed or experienced within 30 days of receipt of said product. To see additional details on this or any of our other policies, please see our Terms & Conditions page.Item has been added to Shopping Cart
If you are ready to order, navigate to Shopping Cart and get ready to checkout.
