anti-Human RGR Antibody | anti-RGR antibody
RGR Antibody
Gene Names
RGR; RP44
Reactivity
Human
Applications
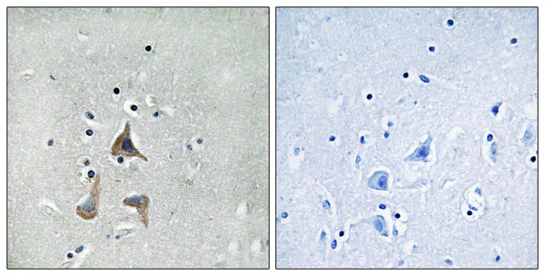
ELISA, Immunofluorescence, Immunohistochemistry
Purity
Affinity-purified from rabbit antiserum by affinity-chromatography using epitope-specific immunogen.
Synonyms
RGR; N/A; RGR Antibody; RPE-retinal G protein-coupled receptor; anti-RGR antibody
Reactivity
Human
Specificity
RGR antibody detects endogenous levels of total RGR protein.
Purity/Purification
Affinity-purified from rabbit antiserum by affinity-chromatography using epitope-specific immunogen.
Form/Format
In phosphate buffered saline (without Mg2+ and Ca2+), pH 7.4, 150mM NaCl, 0.02% sodium azide and 50% glycerol.
Sequence Length
291
Applicable Applications for anti-RGR antibody
ELISA, IF (Immunofluorescence), IHC (Immunohistochemistry)
Immunogen
The antiserum was produced against synthesized peptide derived from internal of human RGR.
Preparation and Storage
Store at-20 degree C for 1 year.
References
Shen D., Biochemistry 33:13117-13125(1994). Deloukas P., Nature 429:375-381(2004). Morimura H., Nat. Genet. 23:393-394(1999).
NCBI and Uniprot Product Information
NCBI GI #
NCBI GeneID
NCBI Accession #
NCBI GenBank Nucleotide #
Molecular Weight
27,728 Da
NCBI Official Full Name
RPE-retinal G protein-coupled receptor isoform 2
NCBI Official Synonym Full Names
retinal G protein coupled receptor
NCBI Official Symbol
RGR
NCBI Official Synonym Symbols
RP44
NCBI Protein Information
RPE-retinal G protein-coupled receptor
UniProt Protein Name
RPE-retinal G protein-coupled receptor
UniProt Gene Name
RGR
Customer Reviews
Loading reviews...
Share Your Experience
Similar Products
Product Notes
The RGR rgr (Catalog #AAA267815) is an Antibody and is intended for research purposes only. The product is available for immediate purchase. The RGR Antibody reacts with Human and may cross-react with other species as described in the data sheet. AAA Biotech's RGR can be used in a range of immunoassay formats including, but not limited to, ELISA, IF (Immunofluorescence), IHC (Immunohistochemistry). Researchers should empirically determine the suitability of the RGR rgr for an application not listed in the data sheet. Researchers commonly develop new applications and it is an integral, important part of the investigative research process. It is sometimes possible for the material contained within the vial of "RGR, Antibody" to become dispersed throughout the inside of the vial, particularly around the seal of said vial, during shipment and storage. We always suggest centrifuging these vials to consolidate all of the liquid away from the lid and to the bottom of the vial prior to opening. Please be advised that certain products may require dry ice for shipping and that, if this is the case, an additional dry ice fee may also be required.Precautions
All products in the AAA Biotech catalog are strictly for research-use only, and are absolutely not suitable for use in any sort of medical, therapeutic, prophylactic, in-vivo, or diagnostic capacity. By purchasing a product from AAA Biotech, you are explicitly certifying that said products will be properly tested and used in line with industry standard. AAA Biotech and its authorized distribution partners reserve the right to refuse to fulfill any order if we have any indication that a purchaser may be intending to use a product outside of our accepted criteria.Disclaimer
Though we do strive to guarantee the information represented in this datasheet, AAA Biotech cannot be held responsible for any oversights or imprecisions. AAA Biotech reserves the right to adjust any aspect of this datasheet at any time and without notice. It is the responsibility of the customer to inform AAA Biotech of any product performance issues observed or experienced within 30 days of receipt of said product. To see additional details on this or any of our other policies, please see our Terms & Conditions page.Item has been added to Shopping Cart
If you are ready to order, navigate to Shopping Cart and get ready to checkout.
