Human Prostate-Specific Antigen, KLK3 ELISA Kit | KLK3 elisa kit
Human Prostate-Specific Antigen, KLK3 Primacu ELISA Kit
Gene Names
KLK3; APS; PSA; hK3; KLK2A1
Reactivity
Human
Synonyms
Prostate-Specific Antigen, KLK3; N/A; Human Prostate-Specific Antigen, KLK3 Primacu ELISA Kit; Prostate-specific antigen; KLK3; APS; KLK3 elisa kit
Reactivity
Human
Assay Type
Sandwich
Samples
Serum, plasma, cell culture supernates
Detection Range
62.5-4000pg/mL
Sensitivity
24.7pg/mL
Standard Solution
40ng/mL
Assay Time
3.5h
Preparation and Storage
Store at 2-8 degree C
Related Product Information for KLK3 elisa kit
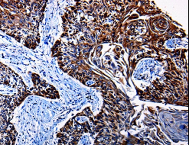
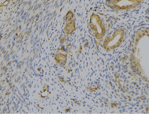
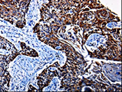
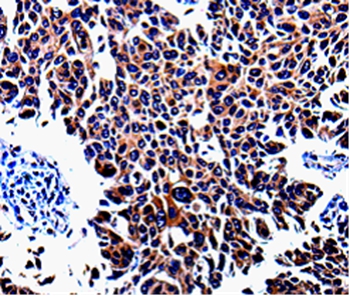
KLK3 (Kallikrein Related Peptidase 3) is a Protein Coding gene. The gene is one of the fifteen kallikrein subfamily members located in a cluster on chromosome 19. It encodes a single-chain glycoprotein, a protease that is synthesized in the epithelial cells of the prostate gland and is present in seminal plasma. KLK3, also known as Prostate Specific Antigen (PSA), kallikrein-related peptidase 3, Gamma-seminoprotein, is a secreted protein of the glandular kallikrein subfamily of serine proteases. KLK3 contains one peptidase S1 domain. KLK3 is a glycoprotein produced almost exclusively by the prostate gland. Growing evidence suggests that many kallikreins are implicated in carcinogenesis and some have potential as novel cancer and other disease biomarkers. Cancer Immunotherapy Immune Checkpoint Immunotherapy Targeted Therapy
Product Categories/Family for KLK3 elisa kit
NCBI and Uniprot Product Information
NCBI GI #
NCBI GeneID
NCBI Accession #
NCBI GenBank Nucleotide #
Molecular Weight
28,741 Da
NCBI Official Full Name
prostate-specific antigen isoform 3 preproprotein
NCBI Official Synonym Full Names
kallikrein-related peptidase 3
NCBI Official Symbol
KLK3
NCBI Official Synonym Symbols
APS; PSA; hK3; KLK2A1
NCBI Protein Information
prostate-specific antigen; seminin; P-30 antigen; kallikrein-3; semenogelase; gamma-seminoprotein; prostate specific antigen
UniProt Protein Name
Prostate-specific antigen
UniProt Gene Name
KLK3
UniProt Synonym Gene Names
APS; PSA; Seminin
UniProt Entry Name
KLK3_HUMAN
Customer Reviews
Loading reviews...
Share Your Experience
Similar Products
Product Notes
The Human KLK3 klk3 (Catalog #AAA124169) is an ELISA Kit and is intended for research purposes only. The product is available for immediate purchase. The AAA124169 ELISA Kit recognizes Human KLK3. It is sometimes possible for the material contained within the vial of "Prostate-Specific Antigen, KLK3, ELISA Kit" to become dispersed throughout the inside of the vial, particularly around the seal of said vial, during shipment and storage. We always suggest centrifuging these vials to consolidate all of the liquid away from the lid and to the bottom of the vial prior to opening. Please be advised that certain products may require dry ice for shipping and that, if this is the case, an additional dry ice fee may also be required.Precautions
All products in the AAA Biotech catalog are strictly for research-use only, and are absolutely not suitable for use in any sort of medical, therapeutic, prophylactic, in-vivo, or diagnostic capacity. By purchasing a product from AAA Biotech, you are explicitly certifying that said products will be properly tested and used in line with industry standard. AAA Biotech and its authorized distribution partners reserve the right to refuse to fulfill any order if we have any indication that a purchaser may be intending to use a product outside of our accepted criteria.Disclaimer
Though we do strive to guarantee the information represented in this datasheet, AAA Biotech cannot be held responsible for any oversights or imprecisions. AAA Biotech reserves the right to adjust any aspect of this datasheet at any time and without notice. It is the responsibility of the customer to inform AAA Biotech of any product performance issues observed or experienced within 30 days of receipt of said product. To see additional details on this or any of our other policies, please see our Terms & Conditions page.Item has been added to Shopping Cart
If you are ready to order, navigate to Shopping Cart and get ready to checkout.
