Human TRIM27 (Tripartite motif-containing protein 27) ELISA Kit | TRIM27 elisa kit
Human TRIM27 (Tripartite motif-containing protein 27) QuickTest ELISA Kit
Gene Names
TRIM27; RFP; RNF76
Reactivity
Human
Synonyms
TRIM27 (Tripartite motif-containing protein 27); N/A; Human TRIM27 (Tripartite motif-containing protein 27) QuickTest ELISA Kit; Zinc finger protein RFP; RING finger protein 76; Ret finger protein; Tripartite motif-containing protein 27; TRIM27; RFP; RNF76; TRIM27 elisa kit
Reactivity
Human
Assay Type
Sandwich ELISA, Double Antibody
Samples
Serum, plasma, cell culture supernatant, cell lysate or tissue lysate, other biological fluid samples
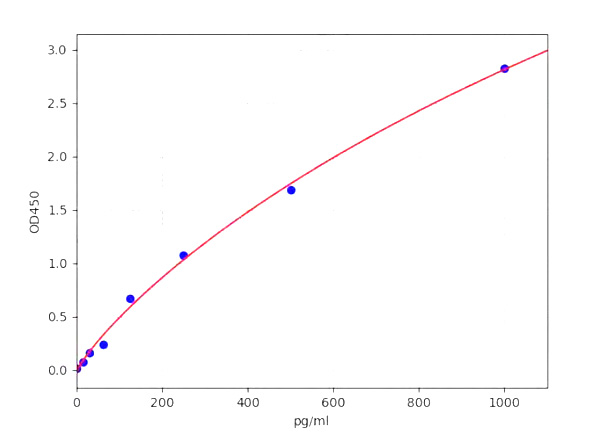
Detection Range
15.625-1000pg/ml
Sensitivity
9.375pg/ml
Time
120 minutes
Preparation and Storage
Store at 2-8 degree C for 12 months
NCBI and Uniprot Product Information
NCBI GI #
NCBI GeneID
NCBI Accession #
NCBI GenBank Nucleotide #
Molecular Weight
41,439 Da
NCBI Official Full Name
zinc finger protein RFP
NCBI Official Synonym Full Names
tripartite motif containing 27
NCBI Official Symbol
TRIM27
NCBI Official Synonym Symbols
RFP; RNF76
NCBI Protein Information
zinc finger protein RFP; RFP transforming protein; RING finger protein 76; ret finger protein; tripartite motif protein TRIM27; tripartite motif-containing 27; tripartite motif-containing protein 27
UniProt Protein Name
Zinc finger protein RFP
UniProt Gene Name
TRIM27
UniProt Synonym Gene Names
RFP; RNF76
UniProt Entry Name
TRI27_HUMAN
Customer Reviews
Loading reviews...
Share Your Experience
Similar Products
Product Notes
The Human TRIM27 trim27 (Catalog #AAA252511) is an ELISA Kit and is intended for research purposes only. The product is available for immediate purchase. The AAA252511 ELISA Kit recognizes Human TRIM27. It is sometimes possible for the material contained within the vial of "TRIM27 (Tripartite motif-containing protein 27), ELISA Kit" to become dispersed throughout the inside of the vial, particularly around the seal of said vial, during shipment and storage. We always suggest centrifuging these vials to consolidate all of the liquid away from the lid and to the bottom of the vial prior to opening. Please be advised that certain products may require dry ice for shipping and that, if this is the case, an additional dry ice fee may also be required.Precautions
All products in the AAA Biotech catalog are strictly for research-use only, and are absolutely not suitable for use in any sort of medical, therapeutic, prophylactic, in-vivo, or diagnostic capacity. By purchasing a product from AAA Biotech, you are explicitly certifying that said products will be properly tested and used in line with industry standard. AAA Biotech and its authorized distribution partners reserve the right to refuse to fulfill any order if we have any indication that a purchaser may be intending to use a product outside of our accepted criteria.Disclaimer
Though we do strive to guarantee the information represented in this datasheet, AAA Biotech cannot be held responsible for any oversights or imprecisions. AAA Biotech reserves the right to adjust any aspect of this datasheet at any time and without notice. It is the responsibility of the customer to inform AAA Biotech of any product performance issues observed or experienced within 30 days of receipt of said product. To see additional details on this or any of our other policies, please see our Terms & Conditions page.Item has been added to Shopping Cart
If you are ready to order, navigate to Shopping Cart and get ready to checkout.
