GSK3alpha Antibody | anti-GSK3alpha antibody
GSK3alpha (Ab-21) Antibody
Reactivity
Human, Mouse, Rat
Applications
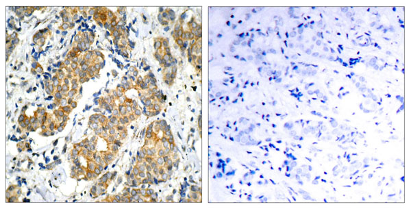
Immunofluorescence, Immunohistochemistry, Western Blot
Purity
Affinity-purified from rabbit antiserum by affinity-chromatography using epitope-specific immunogen.
Synonyms
GSK3alpha; N/A; GSK3alpha (Ab-21) Antibody; anti-GSK3alpha antibody
Reactivity
Human, Mouse, Rat
Specificity
GSK3alpha (Ab-21) Antibody detects endogenous levels of total GSK3alpha protein.
Purity/Purification
Affinity-purified from rabbit antiserum by affinity-chromatography using epitope-specific immunogen.
Form/Format
In phosphate buffered saline (without Mg2+ and Ca2+), pH 7.4, 150mM NaCl, 0.02% sodium azide and 50% glycerol.
Sequence Length
483
Applicable Applications for anti-GSK3alpha antibody
IF (Immunofluorescence), IHC (Immunohistochemistry), WB (Western Blot)
Immunogen
The antiserum was produced against synthesized non-phosphopeptide derived from human GSK3alpha around the phosphorylation site of serine 21 (T-S-SP-F-A).
Preparation and Storage
Store at-20 degree C for 1 year
Product Categories/Family for anti-GSK3alpha antibody
References
Barry FA, et al. (2003) FEBS Lett. 553(1-2): 173-178. Koivisto L, et al. (2003) J Cell Sci. 116(Pt 18): 3749-3760. Welsh G I, et al. (1996) Trends Cell Biol. 6:274-279. Srivastava A K, et al. (1998) Mol. Cell. Biochem. 182: 135-141. Cross D A, et al. (1995) Nature. 378: 785-789.
NCBI and Uniprot Product Information
NCBI GI #
NCBI GeneID
NCBI Accession #
NCBI GenBank Nucleotide #
Molecular Weight
50,981 Da
NCBI Official Full Name
glycogen synthase kinase-3 alpha
NCBI Official Synonym Full Names
glycogen synthase kinase 3 alpha
NCBI Official Symbol
GSK3A
NCBI Protein Information
glycogen synthase kinase-3 alpha
UniProt Protein Name
Glycogen synthase kinase-3 alpha
UniProt Gene Name
GSK3A
UniProt Synonym Gene Names
GSK-3 alpha
Customer Reviews
Loading reviews...
Share Your Experience
Similar Products
Product Notes
The GSK3alpha gsk3a (Catalog #AAA111055) is an Antibody and is intended for research purposes only. The product is available for immediate purchase. The GSK3alpha (Ab-21) Antibody reacts with Human, Mouse, Rat and may cross-react with other species as described in the data sheet. AAA Biotech's GSK3alpha can be used in a range of immunoassay formats including, but not limited to, IF (Immunofluorescence), IHC (Immunohistochemistry), WB (Western Blot). Researchers should empirically determine the suitability of the GSK3alpha gsk3a for an application not listed in the data sheet. Researchers commonly develop new applications and it is an integral, important part of the investigative research process. It is sometimes possible for the material contained within the vial of "GSK3alpha, Antibody" to become dispersed throughout the inside of the vial, particularly around the seal of said vial, during shipment and storage. We always suggest centrifuging these vials to consolidate all of the liquid away from the lid and to the bottom of the vial prior to opening. Please be advised that certain products may require dry ice for shipping and that, if this is the case, an additional dry ice fee may also be required.Precautions
All products in the AAA Biotech catalog are strictly for research-use only, and are absolutely not suitable for use in any sort of medical, therapeutic, prophylactic, in-vivo, or diagnostic capacity. By purchasing a product from AAA Biotech, you are explicitly certifying that said products will be properly tested and used in line with industry standard. AAA Biotech and its authorized distribution partners reserve the right to refuse to fulfill any order if we have any indication that a purchaser may be intending to use a product outside of our accepted criteria.Disclaimer
Though we do strive to guarantee the information represented in this datasheet, AAA Biotech cannot be held responsible for any oversights or imprecisions. AAA Biotech reserves the right to adjust any aspect of this datasheet at any time and without notice. It is the responsibility of the customer to inform AAA Biotech of any product performance issues observed or experienced within 30 days of receipt of said product. To see additional details on this or any of our other policies, please see our Terms & Conditions page.Item has been added to Shopping Cart
If you are ready to order, navigate to Shopping Cart and get ready to checkout.
