IGF-1R Antibody | anti-IGF-1R antibody
IGF-1R (Phospho-Tyr1161) Antibody
Gene Names
IGF1R; IGFR; CD221; IGFIR; JTK13
Reactivity
Human, Mouse, Rat
Applications
Immunofluorescence, Immunohistochemistry, Western Blot
Purity
Affinity-purified from rabbit antiserum by affinity-chromatography using epitope-specific phosphopeptide. The antibody against non-phosphopeptide was removed by chromatogramphy using non-phosphopeptide corresponding to the phosphorylation site.
Synonyms
IGF-1R; N/A; IGF-1R (Phospho-Tyr1161) Antibody; anti-IGF-1R antibody
Reactivity
Human, Mouse, Rat
Specificity
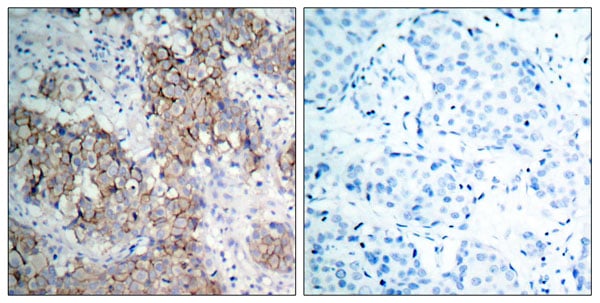
IGF-1R (phospho-Tyr1161) antibody detects endogenous levels of IGF-1R only when phosphorylated at tyrosine1161.
Purity/Purification
Affinity-purified from rabbit antiserum by affinity-chromatography using epitope-specific phosphopeptide. The antibody against non-phosphopeptide was removed by chromatogramphy using non-phosphopeptide corresponding to the phosphorylation site.
Form/Format
In phosphate buffered saline (without Mg2+ and Ca2+), pH 7.4, 150mM NaCl, 0.02% sodium azide and 50% glycerol.
Sequence Length
1367
Applicable Applications for anti-IGF-1R antibody
IF (Immunofluorescence), IHC (Immunohistochemistry), WB (Western Blot)
Immunogen
The antiserum was produced against synthesized phosphopeptide derived from human IGF-1R around the phosphorylation site of tyrosine 1161 (D-I-YP-E-T).
Preparation and Storage
Store at-20 degree C for 1 year
Product Categories/Family for anti-IGF-1R antibody
References
Li S, et al. (1994) J Biol Chem; 269(51). Hernandez-Sanchez C, et al. (1995) J Biol Chem.
NCBI and Uniprot Product Information
NCBI GI #
NCBI GeneID
NCBI Accession #
NCBI GenBank Nucleotide #
Molecular Weight
154,793 Da
NCBI Official Full Name
insulin-like growth factor 1 receptor isoform 1
NCBI Official Synonym Full Names
insulin like growth factor 1 receptor
NCBI Official Symbol
IGF1R
NCBI Official Synonym Symbols
IGFR; CD221; IGFIR; JTK13
NCBI Protein Information
insulin-like growth factor 1 receptor
UniProt Protein Name
Insulin-like growth factor 1 receptor
UniProt Gene Name
IGF1R
UniProt Synonym Gene Names
IGF-I receptor
Customer Reviews
Loading reviews...
Share Your Experience
Similar Products
Product Notes
The IGF-1R igf1r (Catalog #AAA110949) is an Antibody and is intended for research purposes only. The product is available for immediate purchase. The IGF-1R (Phospho-Tyr1161) Antibody reacts with Human, Mouse, Rat and may cross-react with other species as described in the data sheet. AAA Biotech's IGF-1R can be used in a range of immunoassay formats including, but not limited to, IF (Immunofluorescence), IHC (Immunohistochemistry), WB (Western Blot). Researchers should empirically determine the suitability of the IGF-1R igf1r for an application not listed in the data sheet. Researchers commonly develop new applications and it is an integral, important part of the investigative research process. It is sometimes possible for the material contained within the vial of "IGF-1R, Antibody" to become dispersed throughout the inside of the vial, particularly around the seal of said vial, during shipment and storage. We always suggest centrifuging these vials to consolidate all of the liquid away from the lid and to the bottom of the vial prior to opening. Please be advised that certain products may require dry ice for shipping and that, if this is the case, an additional dry ice fee may also be required.Precautions
All products in the AAA Biotech catalog are strictly for research-use only, and are absolutely not suitable for use in any sort of medical, therapeutic, prophylactic, in-vivo, or diagnostic capacity. By purchasing a product from AAA Biotech, you are explicitly certifying that said products will be properly tested and used in line with industry standard. AAA Biotech and its authorized distribution partners reserve the right to refuse to fulfill any order if we have any indication that a purchaser may be intending to use a product outside of our accepted criteria.Disclaimer
Though we do strive to guarantee the information represented in this datasheet, AAA Biotech cannot be held responsible for any oversights or imprecisions. AAA Biotech reserves the right to adjust any aspect of this datasheet at any time and without notice. It is the responsibility of the customer to inform AAA Biotech of any product performance issues observed or experienced within 30 days of receipt of said product. To see additional details on this or any of our other policies, please see our Terms & Conditions page.Item has been added to Shopping Cart
If you are ready to order, navigate to Shopping Cart and get ready to checkout.
