Interferon gamma Recombinant Protein | IFNG recombinant protein
Recombinant Marmota monax (Woodchuck) Interferon gamma
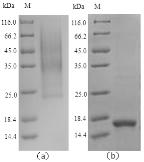
Purity
Greater or equal to 85% purity as determined by SDS-PAGE.
Synonyms
Interferon gamma; N/A; Recombinant Marmota monax (Woodchuck) Interferon gamma; IFN-gamma; IFNG recombinant protein
Host
E Coli or Yeast or Baculovirus or Mammalian Cell
Purity/Purification
Greater or equal to 85% purity as determined by SDS-PAGE.
Form/Format
Lyophilized or liquid (Format to be determined during the manufacturing process)
Sequence Positions
24-166aa; Full Length of Mature Protein
Sequence
QDTVNKEIEDLKGYFNASNSNVSDGGSLFLDILDKWKEESDKKVIQSQIVSFYFKLFEHLKDNKIIQRSMDTIKGDLFAKFFNSSTNKLQDFLKVSQVQVNDLKIQRKAVSELKKVMNDLLPHSTLRKRKRSQSSIRGRRASK
Sequence Length
166
Species
Marmota monax (Woodchuck)
Production Note
Special Offer: The Yeast host-expressed protein is manufactured from a stock plasmid containing the protein gene. Yeasthost-expressed protein is stocked in different unit sizes ranging from as small as 10 ug to as large as 1 mg. Bulk inventory is also available. The Yeast host-expressed protein has been ordered over and over again by researchers and has stood the test of time as both a robust protein and important target for the research community. It is part of our new program to make our most popular protein targets and corresponding hosts available in expanded unit sizes and with a quick processing time. Select Yeast host-expressed protein for the fastest delivery among all hosts. Please contact our or email to for more details.
Preparation and Storage
Store at -20 degree C, for extended storage, conserve at -20 degree C or -80 degree C.
Related Product Information for IFNG recombinant protein
Produced by lymphocytes activated by specific antigens or mitogens. IFN-gamma, in addition to having antiviral activity, has important immunoregulatory functions. It is a potent activator of macrophages, it has antiproliferative effects on transformed cells and it can potentiate the antiviral and antitumor effects of the type I interferons.
References
"Molecular cloning of the woodchuck cytokines: TNF-alpha, IFN-gamma, and IL-6." Lohrengel B., Lu M., Roggendorf M. Immunogenetics 47:332-335(1998)
NCBI and Uniprot Product Information
Customer Reviews
Loading reviews...
Share Your Experience
Similar Products
Product Notes
The IFNG ifng (Catalog #AAA115915) is a Recombinant Protein produced from E Coli or Yeast or Baculovirus or Mammalian Cell and is intended for research purposes only. The product is available for immediate purchase. The immunogen sequence is 24-166aa; Full Length of Mature Protein. The amino acid sequence is listed below: QDTVNKEIED LKGYFNASNS NVSDGGSLFL DILDKWKEES DKKVIQSQIV SFYFKLFEHL KDNKIIQRSM DTIKGDLFAK FFNSSTNKLQ DFLKVSQVQV NDLKIQRKAV SELKKVMNDL LPHSTLRKRK RSQSSIRGRR ASK. It is sometimes possible for the material contained within the vial of "Interferon gamma, Recombinant Protein" to become dispersed throughout the inside of the vial, particularly around the seal of said vial, during shipment and storage. We always suggest centrifuging these vials to consolidate all of the liquid away from the lid and to the bottom of the vial prior to opening. Please be advised that certain products may require dry ice for shipping and that, if this is the case, an additional dry ice fee may also be required.Precautions
All products in the AAA Biotech catalog are strictly for research-use only, and are absolutely not suitable for use in any sort of medical, therapeutic, prophylactic, in-vivo, or diagnostic capacity. By purchasing a product from AAA Biotech, you are explicitly certifying that said products will be properly tested and used in line with industry standard. AAA Biotech and its authorized distribution partners reserve the right to refuse to fulfill any order if we have any indication that a purchaser may be intending to use a product outside of our accepted criteria.Disclaimer
Though we do strive to guarantee the information represented in this datasheet, AAA Biotech cannot be held responsible for any oversights or imprecisions. AAA Biotech reserves the right to adjust any aspect of this datasheet at any time and without notice. It is the responsibility of the customer to inform AAA Biotech of any product performance issues observed or experienced within 30 days of receipt of said product. To see additional details on this or any of our other policies, please see our Terms & Conditions page.Item has been added to Shopping Cart
If you are ready to order, navigate to Shopping Cart and get ready to checkout.
