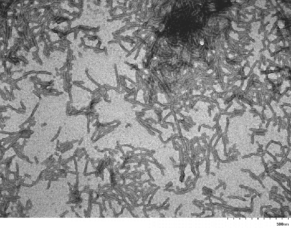
Tau-441 (2N4R) P301S Mutant Protein Filaments Recombinant Protein | Tau-441 recombinant protein
Human Recombinant Tau-441 (2N4R) P301S Mutant Protein Filaments
Gene Names
MAPT; TAU; MSTD; PPND; DDPAC; MAPTL; MTBT1; MTBT2; FTDP-17; PPP1R103
Applications
SDS-Page, Western Blot
Purity
>95%; Ion-exchange Purified
Synonyms
Tau-441 (2N4R) P301S Mutant Protein Filaments; N/A; Human Recombinant Tau-441 (2N4R) P301S Mutant Protein Filaments; Tau-441 (2N4R) P301S Mutant Filaments; Tau-441 (2N4R) P301S Mutant; Tau filament; Tau protein; microtubule-associated protein Tau; MAPT; MAP; microtubule-associated protein; Tau Protein Aggregate; Paired Helical Filament-Tau; Phf-Tau; Neurofibrillary Tangle Protein; G Protein Beta1/Gamma2 Subunit-Interacting Factor 1; Isoform 2; tubulin-associated unit; Tau-441 recombinant protein
Host
E coli
Purity/Purification
>95%; Ion-exchange Purified
Form/Format
PBS pH 7.4, 5 mM DTT, 2 mM MgCl2
Concentration
Lot/batch specific. See included datasheet. (varies by lot)
Sequence Length
Full length
Applicable Applications for Tau-441 recombinant protein
Invitro Assay, SDS-PAGE, WB (Western Blot)
Species
Human
Conjugation
No tag
Research Area
Alzheimer's Disease, Axon Markers, Cell Markers, Cell Signaling, Cytoskeleton, Microtubules, MT Associated Proteins, Neurodegeneration, Neuron Markers, Neuroscience, Tangles & Tau
Cellular Localization
Cytoplasm, Axolemma, Axolemma Plasma Membrane, Axon, Cell Body, Cell membrane, Cytoplasmic Ribonucleoprotein Granule, Cytoplasmic Side, Cytoskeleton, Cytosol, Dendrite, Growth cone, Microtubule, Microtubule Associated Complex, Neurofibrillary Tangle, Neuronal Cell Body, Nuclear Periphery, Nuclear Speck, Nucleus, Peripheral membrane protein, Plasma Membrane, Tubulin Complex
Certificate of Analysis
Certified >95% pure using SDS-PAGE analysis.
Other Relevant Information
For best results, sonicate immediately prior to use. Refer to the Neurodegenerative Protein Handling Instructions on our website, or on the product datasheet for further information.
Preparation and Storage
Store at -80 degree C
Related Product Information for Tau-441 recombinant protein
Alzheimer's Disease (AD) is the most common neurodegenerative disease, affecting 10% of seniors over the age of 65 (1). It was named after Alois Alzheimer, a German scientist who discovered tangled bundles of fibrils where neurons had once been in the brain of a deceased patient in 1907 (2). Tau (tubulin-associated unit) is normally located in the axons of neurons where it stabilizes microtubules. Tauopathies such as AD are characterized by neurofibrillary tangles containing hyperphosphorylated tau fibrils (3). There are six isoforms of tau in the adult human brain: three with four repeat units (4R) and three with three repeat units (3R)(4). K18 is a truncated form of human tau containing only the 4 microtubule binding repeats (5). P301L (PL) is a mutation where proline is replaced by leucine at codon 301 of tau, and has been linked to frontotemporal dementia (6).
Product Categories/Family for Tau-441 recombinant protein
References
1. www.alz.org/alzheimers-dementia/facts-figures2. Alzheimer, A. Über eine eigenartige Erkrankung der Hirnrinde. Allg. Z. Psychiatr. Psych.-Gerichtl. Med. 64, 146-148 (1907)3. Matsumoto, G. et al. (2018). Int J Mol Sci. 19, 1497.4. Goedert, M. and Spillantini, M. G. (2017). Mol Brain. 10:18.5. Guo, J. and Lee, M.Y. (2013). FEBS Lett. 587(6): 717-723.6. Alberici, A. et al. (2004). J Neurol Neurosurg Psychiatry. 75:1607-1610.
NCBI and Uniprot Product Information
NCBI GI #
NCBI GeneID
NCBI Accession #
NCBI GenBank Nucleotide #
UniProt Accession #
Molecular Weight
80,941 Da
NCBI Official Full Name
microtubule-associated protein tau isoform 2
NCBI Official Synonym Full Names
microtubule-associated protein tau
NCBI Official Symbol
MAPT
NCBI Official Synonym Symbols
TAU; MSTD; PPND; DDPAC; MAPTL; MTBT1; MTBT2; FTDP-17; PPP1R103
NCBI Protein Information
microtubule-associated protein tau; PHF-tau; paired helical filament-tau; neurofibrillary tangle protein; microtubule-associated protein tau, isoform 4; protein phosphatase 1, regulatory subunit 103; G protein beta1/gamma2 subunit-interacting factor 1
UniProt Protein Name
Microtubule-associated protein tau
UniProt Gene Name
MAPT
UniProt Synonym Gene Names
MAPTL; MTBT1; TAU; PHF-tau
UniProt Entry Name
TAU_HUMAN
Similar Products
Product Notes
The Tau-441 mapt (Catalog #AAA254093) is a Recombinant Protein produced from E coli and is intended for research purposes only. The product is available for immediate purchase. AAA Biotech's Tau-441 (2N4R) P301S Mutant Protein Filaments can be used in a range of immunoassay formats including, but not limited to, Invitro Assay, SDS-PAGE, WB (Western Blot). Researchers should empirically determine the suitability of the Tau-441 mapt for an application not listed in the data sheet. Researchers commonly develop new applications and it is an integral, important part of the investigative research process. It is sometimes possible for the material contained within the vial of "Tau-441 (2N4R) P301S Mutant Protein Filaments, Recombinant Protein" to become dispersed throughout the inside of the vial, particularly around the seal of said vial, during shipment and storage. We always suggest centrifuging these vials to consolidate all of the liquid away from the lid and to the bottom of the vial prior to opening. Please be advised that certain products may require dry ice for shipping and that, if this is the case, an additional dry ice fee may also be required.Precautions
All products in the AAA Biotech catalog are strictly for research-use only, and are absolutely not suitable for use in any sort of medical, therapeutic, prophylactic, in-vivo, or diagnostic capacity. By purchasing a product from AAA Biotech, you are explicitly certifying that said products will be properly tested and used in line with industry standard. AAA Biotech and its authorized distribution partners reserve the right to refuse to fulfill any order if we have any indication that a purchaser may be intending to use a product outside of our accepted criteria.Disclaimer
Though we do strive to guarantee the information represented in this datasheet, AAA Biotech cannot be held responsible for any oversights or imprecisions. AAA Biotech reserves the right to adjust any aspect of this datasheet at any time and without notice. It is the responsibility of the customer to inform AAA Biotech of any product performance issues observed or experienced within 30 days of receipt of said product. To see additional details on this or any of our other policies, please see our Terms & Conditions page.Item has been added to Shopping Cart
If you are ready to order, navigate to Shopping Cart and get ready to checkout.
