Tau-441, PKA-phosphorylated Recombinant Protein | Tau-441 recombinant protein
Tau-441, PKA-phosphorylated
Gene Names
MAPT; TAU; MSTD; PPND; DDPAC; MAPTL; MTBT1; MTBT2; FTDP-17
Applications
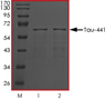
Western Blot
Synonyms
Tau-441, PKA-phosphorylated; N/A; Tau-F; (N2R4); Tau-4; MAPT; MSTD; PPND; DDPAC; MAPTL; MTBT1; MTBT2; FTDP-17; FLJ31424; MGC138549; Tau-441; Tau-441 recombinant protein
Host
E Coli
Form/Format
Recombinant protein stored in 50mM Tris-HCl, pH7.5, 150mM NaCl, 0.25mM DTT, 0.1mM PMSF, 25% glycerol.
Applicable Applications for Tau-441 recombinant protein
WB (Western Blot), Kinase Assay
Tag
TAG-Free
Species
Human
Dry Ice Note
The product may be shipped with dry ice, and an additional fee may be added to your shipping cost.
Preparation and Storage
Store product at -70 degree C. For optimal storage, aliquot target into smaller quantities after centrifugation and store at recommended temperature. For most favorable performance, avoid repeated handling and multiple freeze/thaw cycles.
Related Product Information for Tau-441 recombinant protein
Recombinant human tag-free Tau-441 was co-expressed with PKAc alpha in E Coli cells. The Tau-441 protein was phosphorylated by PKAc alpha in vivo and in vitro prior to the final chromatography purification. The protein accession number is P10636-8.
Tau-441 or Tau-F is a member of the Tau family of proteins which function to stabilize the microtubules by binding to them. Tau proteins are subject to phosphorylation and this phenomenon regulates the association of the Tau protein with the microtubules (1). Deposits of Alzheimer's disease AD-associated proteins, such as hyperphosphorylated Tau, as well as other shared misfolded proteins, such as, beta-amyloid precursor protein (betaAPP), ubiquitin, and various chaperones and protein kinases are thought to play a pathologic role in the cognitive decline and muscular failure. Malfunctioning of Tau proteins is associated with microtubules disintegration and collapsing of the neuronal transport system (2).
Tau-441 or Tau-F is a member of the Tau family of proteins which function to stabilize the microtubules by binding to them. Tau proteins are subject to phosphorylation and this phenomenon regulates the association of the Tau protein with the microtubules (1). Deposits of Alzheimer's disease AD-associated proteins, such as hyperphosphorylated Tau, as well as other shared misfolded proteins, such as, beta-amyloid precursor protein (betaAPP), ubiquitin, and various chaperones and protein kinases are thought to play a pathologic role in the cognitive decline and muscular failure. Malfunctioning of Tau proteins is associated with microtubules disintegration and collapsing of the neuronal transport system (2).
Product Categories/Family for Tau-441 recombinant protein
References
1. Zilka, N., et al. Truncated tau from sporadic Alzheimer's disease suffices to drive neurofibrillary degeneration in vivo. FEBS Lett. 2006; 508: 3582-3588.
2. Rial, A. et al: Calcium Dyshomeostasis in beta-Amyloid and Tau-bearing Skeletal Myotubes. J. Biol. Chem., 2004; 279: 3524-53532
2. Rial, A. et al: Calcium Dyshomeostasis in beta-Amyloid and Tau-bearing Skeletal Myotubes. J. Biol. Chem., 2004; 279: 3524-53532
NCBI and Uniprot Product Information
NCBI GI #
NCBI GeneID
NCBI Accession #
NCBI GenBank Nucleotide #
UniProt Accession #
Molecular Weight
78,928 Da
NCBI Official Full Name
microtubule-associated protein tau isoform 6
NCBI Official Synonym Full Names
microtubule-associated protein tau
NCBI Official Symbol
MAPT
NCBI Official Synonym Symbols
TAU; MSTD; PPND; DDPAC; MAPTL; MTBT1; MTBT2; FTDP-17
NCBI Protein Information
microtubule-associated protein tau; PHF-tau; paired helical filament-tau; neurofibrillary tangle protein; microtubule-associated protein tau, isoform 4; G protein beta1/gamma2 subunit-interacting factor 1
UniProt Protein Name
Microtubule-associated protein tau
UniProt Gene Name
MAPT
UniProt Synonym Gene Names
MAPTL; MTBT1; TAU; PHF-tau
UniProt Entry Name
TAU_HUMAN
Customer Reviews
Loading reviews...
Share Your Experience
Similar Products
Product Notes
The Tau-441 mapt (Catalog #AAA74011) is a Recombinant Protein produced from E Coli and is intended for research purposes only. The product is available for immediate purchase. AAA Biotech's Tau-441, PKA-phosphorylated can be used in a range of immunoassay formats including, but not limited to, WB (Western Blot), Kinase Assay. Researchers should empirically determine the suitability of the Tau-441 mapt for an application not listed in the data sheet. Researchers commonly develop new applications and it is an integral, important part of the investigative research process. It is sometimes possible for the material contained within the vial of "Tau-441, PKA-phosphorylated, Recombinant Protein" to become dispersed throughout the inside of the vial, particularly around the seal of said vial, during shipment and storage. We always suggest centrifuging these vials to consolidate all of the liquid away from the lid and to the bottom of the vial prior to opening. Please be advised that certain products may require dry ice for shipping and that, if this is the case, an additional dry ice fee may also be required.Precautions
All products in the AAA Biotech catalog are strictly for research-use only, and are absolutely not suitable for use in any sort of medical, therapeutic, prophylactic, in-vivo, or diagnostic capacity. By purchasing a product from AAA Biotech, you are explicitly certifying that said products will be properly tested and used in line with industry standard. AAA Biotech and its authorized distribution partners reserve the right to refuse to fulfill any order if we have any indication that a purchaser may be intending to use a product outside of our accepted criteria.Disclaimer
Though we do strive to guarantee the information represented in this datasheet, AAA Biotech cannot be held responsible for any oversights or imprecisions. AAA Biotech reserves the right to adjust any aspect of this datasheet at any time and without notice. It is the responsibility of the customer to inform AAA Biotech of any product performance issues observed or experienced within 30 days of receipt of said product. To see additional details on this or any of our other policies, please see our Terms & Conditions page.Item has been added to Shopping Cart
If you are ready to order, navigate to Shopping Cart and get ready to checkout.
