Loading...

Skip to main content
Call us at +1-800-604-9114 for more information about our products or contact us online Need help? +1-800-604-9114 or contact us

Filters


Clonality

Type

Reactivity

Gene Name

Isotype

Host

Application

Clone

Monoclonal Antibodies

Get accurate results in your research with our Monoclonal Antibodies, which are specially made to target exactly what you require for your research, and will produce consistent, reliable performance in lab tests.


Viewing 5400-5450 of 27645 product results


product-image-AAA102820_WB11.jpg WB (Western Blot) (fetal human brain tissue were subjected to SDS PAGE followed by western blot with AAA102820 (GSNOR,ADH5 Antibody) at dilution of 1:4000)

GSNOR, ADH5, Monoclonal Antibody (Cat# AAA102820)

No reviews yet
Full Name
GSNOR, ADH5 Mouse Monoclonal
Reactivity
Human
Applications
Immunofluorescence, Immunohistochemistry, Western Blot
Purity
>=95% as determined by SDS-PAGE
Protein A+G purification
Pricing
product-image-AAA102838_ICC8.png ICC (Immunocytochemistry) (Immunocytochemistry/Immunofluorescence analysis using Mouse Anti-CaMKII Monoclonal Antibody, Clone 6G9. Tissue: dissociated hippocampal neurons. Species: Mouse. Fixation: Cold 4% paraformaldehyde/0.2% glutaraldehyde in 0.1M sodium phosphate buffer. Primary Antibody: Mouse Anti-CaMKII Monoclonal Antibody at 1:1000 for 12 hours at 4 degree C. Secondary Antibody: FITC Goat Anti-Mouse IgG (green) at 1:50 for 30 minutes at RT. Magnification: 10X. Courtesy of: Mary Kennedy, Caltech.)

CaMKII (alpha-specific), Monoclonal Antibody (Cat# AAA102838)

No reviews yet
Full Name
CaMKII (Alpha-Specific) Antibody: PerCP
Gene Names
Camk2a; CaMKII; R74975; mKIAA0968
Reactivity
Mouse, Rat, Bovine, Human
Applications
Radioimmunoassay, Immunohistochemistry, Western Blot, Immunoprecipitation, Immunofluorescence
Pricing
product-image-AAA102691_WB11.jpg WB (Western Blot) (HEK-293 cells were subjected to SDS PAGE followed by western blot with AAA102691 (ANXA5 Antibody) at dilution of 1:1000)

Annexin V, Monoclonal Antibody (Cat# AAA102691)

No reviews yet
Full Name
Annexin V Mouse Monoclonal
Gene Names
ANXA5; PP4; ANX5; ENX2; RPRGL3; HEL-S-7
Reactivity
Human
Applications
Western Blot
Purity
>=95% as determined by SDS-PAGE
Protein A+G purification
Pricing
product-image-AAA102696_WB13.jpg WB (Western Blot) (human testis tissue were subjected to SDS PAGE followed by western blot with AAA102696 (APOH antibody) at dilution of 1:1000)

Apolipoprotein H, Monoclonal Antibody (Cat# AAA102696)

No reviews yet
Full Name
Apolipoprotein H Mouse Monoclonal
Gene Names
APOH; BG; B2G1; B2GP1
Reactivity
Human
Applications
Immunohistochemistry, Western Blot
Purity
>=95% as determined by SDS-PAGE
Protein A+G purification
Pricing
product-image-AAA102711_WB11.jpg WB (Western Blot) (U-937 cells were subjected to SDS PAGE followed by western blot with AAA102711 (BMI1 Antibody) at dilution of 1:1000)

BMI1, Monoclonal Antibody (Cat# AAA102711)

No reviews yet
Full Name
BMI1 Mouse Monoclonal
Gene Names
BMI1; PCGF4; RNF51; FLVI2/BMI1; flvi-2/bmi-1
Reactivity
Human, Mouse
Applications
Immunoprecipitation, Immunofluorescence, Immunohistochemistry, Western Blot
Purity
>=95% as determined by SDS-PAGE
Protein A+G purification
Pricing
product-image-AAA102715_WB15.jpg WB (Western Blot) (Bovine serum tissue were subjected to SDS PAGE followed by western blot with AAA102715 (BSA Antibody) at dilution of 1:4000)

BSA, Monoclonal Antibody (Cat# AAA102715)

No reviews yet
Full Name
BSA Mouse Monoclonal
Reactivity
Bovine
Applications
Western Blot
Purity
>95% as determined by SDS-PAGE
Protein A+G purification
Pricing
product-image-AAA102725_WB13.jpg WB (Western Blot) (human spleen tissue were subjected to SDS PAGE followed by western blot with AAA102725 (CD11c/Integrin alpha X Antibody) at dilution of 1:2000)

CD11c/Integrin alpha X, Monoclonal Antibody (Cat# AAA102725)

No reviews yet
Full Name
CD11c/Integrin alpha X Mouse Monoclonal
Reactivity
Human, Mouse
Applications
Immunohistochemistry
Purity
>=95% as determined by SDS-PAGE
Protein A+G purification
Pricing
product-image-AAA102732_WB13.jpg WB (Western Blot) (Raji cells were subjected to SDS PAGE followed by western blot with AAA102732 (CD22 antibody) at dilution of 1:5000)

CD22, Monoclonal Antibody (Cat# AAA102732)

No reviews yet
Full Name
CD22 Mouse Monoclonal
Gene Names
CD22; SIGLEC2; SIGLEC-2
Reactivity
Human
Applications
Immunohistochemistry, Western Blot
Purity
>=95% as determined by SDS-PAGE
Protein A+G purification
Pricing
product-image-AAA102750_WB13.jpg WB (Western Blot) (human blood tissue were subjected to SDS PAGE followed by western blot with AAA102750 (CLU antibody) at dilution of 1:1000)

Clusterin, Monoclonal Antibody (Cat# AAA102750)

No reviews yet
Full Name
Clusterin Mouse Monoclonal
Gene Names
CLU; CLI; AAG4; APOJ; CLU1; CLU2; KUB1; SGP2; APO-J; SGP-2; SP-40; TRPM2; TRPM-2; NA1/NA2
Reactivity
Human
Applications
Immunohistochemistry, Western Blot
Purity
>=95% as determined by SDS-PAGE
Protein A+G purification
Pricing
product-image-AAA102765_WB11.jpg WB (Western Blot) (HeLa cells were subjected to SDS PAGE followed by western blot with AAA102765 (CUL4A antibody) at dilution of 1:500)

CUL4A, Monoclonal Antibody (Cat# AAA102765)

No reviews yet
Full Name
CUL4A Mouse Monoclonal
Reactivity
Human, Monkey, Mouse, Rat
Applications
Immunofluorescence, Immunoprecipitation, Immunohistochemistry, Western Blot
Purity
>=95% as determined by SDS-PAGE
Protein A+G purification
Pricing
product-image-AAA103078_WB13.png WB (Western Blot) (Western Blot analysis of Human Cervical cancer cell line (HeLa) lysate showing detection of HIF1 alpha protein using Mouse Anti-HIF1 alpha Monoclonal Antibody, Clone ESEE122. Load: 15 ug. Block: 1.5% BSA for 30 minutes at RT. Primary Antibody: Mouse Anti-HIF1 alpha Monoclonal Antibody at 1:500 for 2 hours at RT. Secondary Antibody: Sheep Anti-Mouse IgG: HRP for 1 hour at RT.)

HIF1 alpha, Monoclonal Antibody (Cat# AAA103078)

No reviews yet
Full Name
HIF1 alpha Antibody: PerCP
Gene Names
Hif1a; MOP1; bHLHe78; AA959795; HIF1alpha
Reactivity
Human, Mouse, Rat, Cow
Applications
Immunohistochemistry, Immunohistochemistry, Immunofluorescence, Immunocytochemistry, Western Blot
Pricing
product-image-AAA103083_WB13.png WB (Western Blot) (Western Blot analysis of Rat Cell line lysates showing detection of GABA A Receptor protein using Mouse Anti-GABA A Receptor Monoclonal Antibody, Clone S151-3. Load: 15 ug. Block: 1.5% BSA for 30 minutes at RT. Primary Antibody: Mouse Anti-GABA A Receptor Monoclonal Antibody at 1:1000 for 2 hours at RT. Secondary Antibody: Sheep Anti-Mouse IgG: HRP for 1 hour at RT.)

GABA(A) Receptor Delta, Monoclonal Antibody (Cat# AAA103083)

No reviews yet
Full Name
GABA-A Receptor Delta Antibody: PerCP
Gene Names
Gabrd; GABAA-RD
Reactivity
Rat, Mouse
Applications
Immunocytochemistry, Western Blot
Pricing
product-image-AAA103085_WB13.png WB (Western Blot) (Western Blot analysis of Human Cell lysates showing detection of Rhodopsin protein using Mouse Anti-Rhodopsin Monoclonal Antibody, Clone 1D4. Load: 15 ug. Block: 1.5% BSA for 30 minutes at RT. Primary Antibody: Mouse Anti-Rhodopsin Monoclonal Antibody at 1:1000 for 2 hours at RT. Secondary Antibody: Sheep Anti-Mouse IgG: HRP for 1 hour at RT.)

Rhodopsin, Monoclonal Antibody (Cat# AAA103085)

No reviews yet
Full Name
Rhodopsin Antibody: RPE
Reactivity
Vertebrates
Applications
Immunofluorescence, Western Blot, Immunoprecipitation, Immunohistochemistry, Immunocytochemistry
Pricing
product-image-AAA103088_IHC10.png IHC (Immunohistochemistry) (Immunohistochemistry analysis using Mouse Anti-Nav1.7 Sodium Channel Monoclonal Antibody, Clone S68-6. Tissue: backskin. Species: Mouse. Fixation: Bouin's Fixative and paraffin-embedded. Primary Antibody: Mouse Anti-Nav1.7 Sodium Channel Monoclonal Antibody at 1:100 for 1 hour at RT. Secondary Antibody: FITC Goat Anti-Mouse (green) at 1:50 for 1 hour at RT.)

Nav1.7, Monoclonal Antibody (Cat# AAA103088)

No reviews yet
Full Name
Nav1.7 Antibody: FITC
Gene Names
SCN9A; PN1; ETHA; NENA; SFNP; FEB3B; NE-NA; GEFSP7; Nav1.7
Reactivity
Human, Mouse, Rat
Applications
Immunofluorescence, Immunocytochemistry, Immunoprecipitation, Western Blot
Pricing
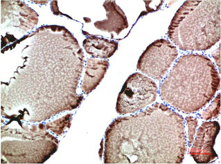
product-image-AAA103090_IHC8.png IHC (Immunohistochemistry) (Immunohistochemistry analysis using Mouse Anti-Sodium Iodide Symporter Monoclonal Antibody, Clone 14F. Tissue: Thyroid. Species: Mouse. Fixation: 10% Formalin Solution for 12-24 hours at RT. Primary Antibody: Mouse Anti-Sodium Iodide Symporter Monoclonal Antibody at 1:1000 for 1 hour at RT. Secondary Antibody: HRP/DAB Detection System: Biotinylated Goat Anti-Mouse, Streptavidin Peroxidase, DAB Chromogen (brown) for 30 minutes at RT. Counterstain: Mayer Hematoxylin (purple/blue) nuclear stain at 250-500 ul for 5 minutes at RT.)

Sodium-Iodide Symporter, Monoclonal Antibody (Cat# AAA103090)

No reviews yet
Full Name
Sodium-Iodide Symporter Antibody: ATTO 594
Gene Names
SLC5A5; NIS; TDH1
Reactivity
Human, Mouse, Rat
Applications
Western Blot
Pricing
product-image-AAA103120_WB10.png WB (Western Blot) (Western Blot analysis of Rat brain membrane lysate showing detection of GluN2B/NR2B protein using Mouse Anti-GluN2B/NR2B Monoclonal Antibody, Clone S59-36. Load: 15 ug. Block: 1.5% BSA for 30 minutes at RT. Primary Antibody: Mouse Anti-GluN2B/NR2B Monoclonal Antibody at 1:1000 for 2 hours at RT. Secondary Antibody: Sheep Anti-Mouse IgG: HRP for 1 hour at RT.)

NR2B, Monoclonal Antibody (Cat# AAA103120)

No reviews yet
Full Name
NR2B Antibody: ATTO 594
Gene Names
Grin2b; GluN2B
Reactivity
Human, Rat, Mouse
Applications
Immunoprecipitation, Immunohistochemistry, Western Blot
Pricing
product-image-AAA103124_IHC11.png IHC (Immunohistochemisry) (Immunohistochemistry analysis using Mouse Anti-KCNQ4 Monoclonal Antibody, Clone S43-6. Tissue: hippocampus. Species: Human. Fixation: Bouin's Fixative and paraffin-embedded. Primary Antibody: Mouse Anti-KCNQ4 Monoclonal Antibody at 1:1000 for 1 hour at RT. Secondary Antibody: FITC Goat Anti-Mouse (green) at 1:50 for 1 hour at RT.)

KCNQ4, Monoclonal Antibody (Cat# AAA103124)

No reviews yet
Full Name
KCNQ4 Antibody: PerCP
Gene Names
KCNQ4; DFNA2; KV7.4; DFNA2A
Reactivity
Human, Mouse, Rat
Applications
Immunofluorescence, Immunocytochemistry, Immunoprecipitation, Western Blot
Pricing
product-image-AAA103128_WB8.png WB (Western Blot) (Western Blot analysis of Human Cell lysates showing detection of FKBP52 protein using Mouse Anti-FKBP52 Monoclonal Antibody, Clone Hi52C. Load: 15 ug. Block: 1.5% BSA for 30 minutes at RT. Primary Antibody: Mouse Anti-FKBP52 Monoclonal Antibody at 1.5 ug/mL for 2 hours at RT. Secondary Antibody: Sheep Anti-Mouse IgG: HRP for 1 hour at RT.)

FKBP52, Monoclonal Antibody (Cat# AAA103128)

No reviews yet
Full Name
FKBP52 Antibody: PerCP
Gene Names
FKBP4; HBI; p52; Hsp56; FKBP51; FKBP52; FKBP59; PPIase
Reactivity
Canine, Hamster, Human, Mouse, Rat
Applications
Immunohistochemistry, Immunoprecipitation, Western Blot
Pricing
product-image-AAA103143_ICC11.png ICC (Immunocytochemistry) (Immunocytochemistry/Immunofluorescence analysis using Mouse Anti-TrpC7 Monoclonal Antibody, Clone S64A-36. Tissue: HaCaT cells. Species: Human. Fixation: Cold 100% methanol for 10 minutes at -20 degree C. Primary Antibody: Mouse Anti-TrpC7 Monoclonal Antibody at 1:100 for 1 hour at RT. Secondary Antibody: FITC Goat Anti-Mouse (green) at 1:50 for 1 hour at RT. Localization: Nuclear staining .)

TrpC7, Monoclonal Antibody (Cat# AAA103143)

No reviews yet
Full Name
TrpC7 Antibody: Biotin
Gene Names
TRPC7; TRP7
Reactivity
Human, Mouse, Rat
Applications
Immunofluorescence, Immunohistochemistry, Immunoprecipitation, Western Blot
Pricing
product-image-AAA103144_WB13.png WB (Western Blot) (Western Blot analysis of Human HL 60 clone 15 eosinophils lysates showing detection of DMPO protein using Mouse Anti-DMPO Monoclonal Antibody, Clone N1664A. Primary Antibody: Mouse Anti-DMPO Monoclonal Antibody at 1:200.)

DMPO, Monoclonal Antibody (Cat# AAA103144)

No reviews yet
Full Name
DMPO Antibody: ATTO 594
Reactivity
Species Independent
Applications
Immunoprecipitation, Immunofluorescence, Immunocytochemistry, Western Blot
Pricing
product-image-AAA103148_WB11.png WB (Western Blot) (Western Blot analysis of Human Cell lysates showing detection of p38 MAPK protein using Mouse Anti-p38 MAPK Monoclonal Antibody, Clone 9F12. Load: 15 ug. Block: 1.5% BSA for 30 minutes at RT. Primary Antibody: Mouse Anti-p38 MAPK Monoclonal Antibody at 1:1000 for 2 hours at RT. Secondary Antibody: Sheep Anti-Mouse IgG: HRP for 1 hour at RT.)

p38 alpha, Monoclonal Antibody (Cat# AAA103148)

No reviews yet
Full Name
p38 alpha (MAP Kinase) Antibody
Gene Names
MAPK14; RK; p38; CSBP; EXIP; Mxi2; CSBP1; CSBP2; CSPB1; PRKM14; PRKM15; SAPK2A; p38ALPHA
Reactivity
Human, Rat
Applications
Immunoprecipitation, Western Blot
Pricing
product-image-AAA103151_IHC11.png IHC (Immunohistochemisry) (Immunohistochemistry analysis using Mouse Anti-Slo2.2 Potassium Channel Monoclonal Antibody, Clone S3-26. Tissue: backskin. Species: Mouse. Fixation: Bouin's Fixative and paraffin-embedded. Primary Antibody: Mouse Anti-Slo2.2 Potassium Channel Monoclonal Antibody at 1:100 for 1 hour at RT. Secondary Antibody: FITC Goat Anti-Mouse (green) at 1:50 for 1 hour at RT. Localization: Suprabasal epidermal staining. Hair follicles negative.)

Slo2.2, Monoclonal Antibody (Cat# AAA103151)

No reviews yet
Full Name
Slo2.2 Antibody: ATTO 594
Gene Names
Kcnt1; Slack; rSlo2
Reactivity
Human (weak), Mouse, Rat
Applications
Immunohistochemistry, Western Blot
Pricing
product-image-AAA104121_WB13.png WB (Western Blot) (Western Blot analysis of Sulfotyrosine-BSA Conjugate showing detection of 67 kDa Sulfotyrosine protein using Mouse Anti-Sulfotyrosine Monoclonal Antibody, Clone 7C5. Lane 1: Molecular Weight Ladder (MW). Lane 2: Sulfotyrosine-BSA. Lane 3: Tyrosine-BSA. Lane 4: Phosphotyrosine-BSA. Lane 5: BSA. Load: 2 ug. Block: 5% Skim Milk in TBST. Primary Antibody: Mouse Anti-Sulfotyrosine Monoclonal Antibody at 1:1000 for 2 hours at RT. Secondary Antibody: Goat Anti-Mouse IgG: HRP at 1:2000 for 60 min at RT. Color Development: ECL solution for 5 min in RT. Predicted/Observed Size: 67 kDa.)

Sulfotyrosine, Monoclonal Antibody (Cat# AAA104121)

No reviews yet
Full Name
Sulfotyrosine Antibody, Clone 7C5
Reactivity
Species Independent
Applications
Immunofluorescence, Immunocytochemistry, Western Blot
Purity
Protein G Purified
Pricing
product-image-AAA104122_WB13.png WB (Western Blot) (Western Blot analysis of Sulfotyrosine-BSA Conjugate showing detection of 67 kDa Sulfotyrosine protein using Mouse Anti-Sulfotyrosine Monoclonal Antibody, Clone 7C5. Lane 1: Molecular Weight Ladder (MW). Lane 2: Sulfotyrosine-BSA. Lane 3: Tyrosine-BSA. Lane 4: Phosphotyrosine-BSA. Lane 5: BSA. Load: 2 ug. Block: 5% Skim Milk in TBST. Primary Antibody: Mouse Anti-Sulfotyrosine Monoclonal Antibody at 1:1000 for 2 hours at RT. Secondary Antibody: Goat Anti-Mouse IgG: HRP at 1:2000 for 60 min at RT. Color Development: ECL solution for 5 min in RT. Predicted/Observed Size: 67 kDa.)

Sulfotyrosine, Monoclonal Antibody (Cat# AAA104122)

No reviews yet
Full Name
Sulfotyrosine Antibody, Clone 7C5: ATTO 390
Reactivity
Species Independent
Applications
Immunofluorescence, Immunocytochemistry, Western Blot
Purity
Protein G Purified
Pricing
product-image-AAA104132_WB11.png WB (Western Blot) (Western Blot analysis of Mouse, Rat Brain showing detection of 14 kDa Alpha Synuclein protein using Mouse Anti-Alpha Synuclein Monoclonal Antibody, Clone 3C11. Lane 1: Molecular Weight Ladder (MW). Lane 2: Mouse brain cell lysate. Lane 3: Rat brain cell lysate. Load: 15 ug. Block: 5% Skim Milk in 1X TBST. Primary Antibody: Mouse Anti-Alpha Synuclein Monoclonal Antibody at 1:1000 for 2 hours at RT. Secondary Antibody: Goat Anti-Mouse HRP:IgG at 1:3000 for 1 hour at RT. Color Development: ECL solution (Super Signal West Pico) for 5 min in RT. Predicted/Observed Size: 14 kDa. Other Band(s): ~30 kDa (dimer).)

Alpha Synuclein, Monoclonal Antibody (Cat# AAA104132)

No reviews yet
Full Name
Alpha Synuclein Antibody, Clone 3C11: ATTO 594
Gene Names
SNCA; PD1; NACP; PARK1; PARK4
Reactivity
Human; Mouse; Rat
Applications
Immunofluorescence, Immunocytochemistry, Dot Blot, Western Blot
Purity
Protein G Purified
Pricing
product-image-AAA104136_WB11.png WB (Western Blot) (Western Blot analysis of Mouse, Rat Brain showing detection of 14 kDa Alpha Synuclein protein using Mouse Anti-Alpha Synuclein Monoclonal Antibody, Clone 3C11. Lane 1: Molecular Weight Ladder (MW). Lane 2: Mouse brain cell lysate. Lane 3: Rat brain cell lysate. Load: 15 ug. Block: 5% Skim Milk in 1X TBST. Primary Antibody: Mouse Anti-Alpha Synuclein Monoclonal Antibody at 1:1000 for 2 hours at RT. Secondary Antibody: Goat Anti-Mouse HRP:IgG at 1:3000 for 1 hour at RT. Color Development: ECL solution (Super Signal West Pico) for 5 min in RT. Predicted/Observed Size: 14 kDa. Other Band(s): ~30 kDa (dimer).)

Alpha Synuclein, Monoclonal Antibody (Cat# AAA104136)

No reviews yet
Full Name
Alpha Synuclein Antibody, Clone 3C11: PerCP
Gene Names
SNCA; PD1; NACP; PARK1; PARK4
Reactivity
Human; Mouse; Rat
Applications
Immunofluorescence, Immunocytochemistry, Dot Blot, Western Blot
Purity
Protein G Purified
Pricing
product-image-AAA104141_WB13.png WB (Western Blot) (Western Blot analysis of Human, Mouse, Rat Brain showing detection of 14 kDa Alpha Synuclein protein using Mouse Anti-Alpha Synuclein Monoclonal Antibody, Clone 10H7. Lane 1: Molecular Weight Ladder (MW). Lane 2: Mouse Brain cell lysate. Lane 3: Rat brain cell lysate. Lane 4: Human brain cell lysate. Load: 15 ug. Block: 5% Skim Milk in 1X TBST. Primary Antibody: Mouse Anti-Alpha Synuclein Monoclonal Antibody at 1:1000 for 2 hours at RT. Secondary Antibody: Goat Anti-Mouse HRP:IgG at 1:3000 for 1 hour at RT. Color Development: ECL solution (Super Signal West Pico) for 5 min in RT. Predicted/Observed Size: 14 kDa. Other Band(s): ~40 kDa (trimer).)

Alpha Synuclein, Monoclonal Antibody (Cat# AAA104141)

No reviews yet
Full Name
Alpha Synuclein Antibody, Clone 10H7: ATTO 594
Gene Names
Snca; NACP; alphaSYN; alpha-Syn
Reactivity
Human; Mouse; Rat
Applications
Immunofluorescence, Immunocytochemistry, Dot Blot, Western Blot
Purity
Protein G Purified
Pricing
product-image-AAA104146_WB13.png WB (Western Blot) (Western Blot analysis of Human, Mouse, Rat Brain showing detection of 14 kDa Alpha Synuclein protein using Mouse Anti-Alpha Synuclein Monoclonal Antibody, Clone 10H7. Lane 1: Molecular Weight Ladder (MW). Lane 2: Mouse Brain cell lysate. Lane 3: Rat brain cell lysate. Lane 4: Human brain cell lysate. Load: 15 ug. Block: 5% Skim Milk in 1X TBST. Primary Antibody: Mouse Anti-Alpha Synuclein Monoclonal Antibody at 1:1000 for 2 hours at RT. Secondary Antibody: Goat Anti-Mouse HRP:IgG at 1:3000 for 1 hour at RT. Color Development: ECL solution (Super Signal West Pico) for 5 min in RT. Predicted/Observed Size: 14 kDa. Other Band(s): ~40 kDa (trimer).)

Alpha Synuclein, Monoclonal Antibody (Cat# AAA104146)

No reviews yet
Full Name
Alpha Synuclein Antibody, Clone 10H7: RPE
Gene Names
Snca; NACP; alphaSYN; alpha-Syn
Reactivity
Human; Mouse; Rat
Applications
Immunofluorescence, Immunocytochemistry, Dot Blot, Western Blot
Purity
Protein G Purified
Pricing
product-image-AAA104152_ICC11.png ICC (Immunocytochemistry) (Immunocytochemistry/Immunofluorescence analysis using Mouse Anti-Alpha Synuclein Monoclonal Antibody, Clone 3F8. Tissue: Primary hippocampal neurons treated with active Alpha Synuclein Protein Aggregate (SPR-322) at 4 ug/ml to induce fibrils. Species: Rat. Fixation: 4% paraformaldehyde. Primary Antibody: Mouse Anti-Alpha Synuclein Monoclonal Antibody at 1:200 for 24 hours at 4 degree C. Secondary Antibody: Goat Anti-Mouse Alexa Fluor 488 at 1:700 for 1 hour at RT. Counterstain: Guinea Pig Anti-NeuN (red) neuronal marker (Donkey Anti-Guinea Pig Alexa Fluor 647 1:700); DAPI (blue) nuclear stain at 1:6000, 1:3000 for 60 min at RT, 5 min at RT. Magnification: 20X. (A) DAPI (blue) nuclear stain. (B) NeuN neuronal marker (red). (C) Alpha Synuclein Antibody. (D) Composite.)

Alpha Synuclein, Monoclonal Antibody (Cat# AAA104152)

No reviews yet
Full Name
Alpha Synuclein Antibody, Clone 3F8: FITC
Gene Names
Snca; NACP; alphaSYN; alpha-Syn
Reactivity
Human; Mouse; Rat
Applications
Immunofluorescence, Immunocytochemistry, Immunohistochemistry, Dot Blot, Western Blot
Purity
Protein G Purified
Pricing
product-image-AAA104047_WB13.png WB (Western Blot) (Western Blot analysis of 4-hydroxy-nonenal-BSA Conjugate showing detection of 67 kDa 4-hydroxy-nonenal protein using Mouse Anti-4-hydroxy-nonenal Monoclonal Antibody, Clone 12F7. Lane 1: Molecular Weight Ladder (MW). Lane 2: BSA (0.5 ug). Lane 3: 4-hydroxyl nonenal-BSA (0.5 ug). Lane 4: 4-hydroxy nonenal-BSA (2.0 ug). Lane 5: 4-hydroxy-2-hexenal (0.5 ug). Lane 6: 4-hydroxy-2-hexenal (2.0 ug). Block: 5% Skim Milk in TBST. Primary Antibody: Mouse Anti-4-hydroxy-nonenal Monoclonal Antibody at 1:1000 for 2 hours at RT. Secondary Antibody: Goat Anti-Mouse IgG: HRP at 1:2000 for 60 min at RT. Color Development: ECL solution for 5 min in RT. Predicted/Observed Size: 67 kDa.)

4-Hydroxynonenal, Monoclonal Antibody (Cat# AAA104047)

No reviews yet
Full Name
4-Hydroxynonenal Antibody, Clone 12F7: PerCP
Reactivity
Species Independent
Applications
Immunofluorescence, Immunocytochemistry, Western Blot
Purity
Protein G Purified
Pricing
product-image-AAA104052_WB13.png WB (Western Blot) (Western Blot analysis of 7-Ketocholesterol-BSA Conjugate showing detection of 67 kDa 7-Ketocholesterol protein using Mouse Anti-7-Ketocholesterol Monoclonal Antibody, Clone 7E1. Lane 1: Molecular Weight Ladder (MW). Lane 2: BSA (0.5 ug). Lane 3: BSA (2.0 ug). Lane 4: 7-ketocholesterol-BSA (0.5 ug). Lane 5: 7-ketocholesterol-BSA (2.0 ug). Block: 5% Skim Milk in TBST. Primary Antibody: Mouse Anti-7-Ketocholesterol Monoclonal Antibody at 1:1000 for 2 hours at RT. Secondary Antibody: Goat Anti-Mouse IgG: HRP at 1:2000 for 60 min at RT. Color Development: ECL solution for 5 min in RT. Predicted/Observed Size: 67 kDa.)

7-Ketocholesterol, Monoclonal Antibody (Cat# AAA104052)

No reviews yet
Full Name
7-Ketocholesterol Antibody, Clone 7E1: ATTO 594
Reactivity
Species Independent
Applications
Immunofluorescence, Immunocytochemistry, Western Blot
Purity
Protein G Purified
Pricing
product-image-AAA104059_WB13.png WB (Western Blot) (Western Blot analysis of 7-Ketocholesterol-BSA Conjugate showing detection of 67 kDa 7-Ketocholesterol protein using Mouse Anti-7-Ketocholesterol Monoclonal Antibody, Clone 3F7. Lane 1: Molecular Weight Ladder (MW). Lane 2: BSA (0.5 ug). Lane 3: BSA (2.0 ug). Lane 4: 7-ketocholesterol-BSA (0.5 ug). Lane 5: 7-ketocholesterol-BSA (2.0 ug). Block: 5% Skim Milk in TBST. Primary Antibody: Mouse Anti-7-Ketocholesterol Monoclonal Antibody at 1:1000 for 2 hours at RT. Secondary Antibody: Goat Anti-Mouse IgG: HRP at 1:2000 for 60 min at RT. Color Development: ECL solution for 5 min in RT. Predicted/Observed Size: 67 kDa.)

7-Ketocholesterol, Monoclonal Antibody (Cat# AAA104059)

No reviews yet
Full Name
7-Ketocholesterol Antibody, Clone 3F7: ATTO 390
Reactivity
Species Independent
Applications
Immunofluorescence, Immunocytochemistry, Western Blot
Purity
Protein G Purified
Pricing
product-image-AAA104060_WB13.png WB (Western Blot) (Western Blot analysis of 7-Ketocholesterol-BSA Conjugate showing detection of 67 kDa 7-Ketocholesterol protein using Mouse Anti-7-Ketocholesterol Monoclonal Antibody, Clone 3F7. Lane 1: Molecular Weight Ladder (MW). Lane 2: BSA (0.5 ug). Lane 3: BSA (2.0 ug). Lane 4: 7-ketocholesterol-BSA (0.5 ug). Lane 5: 7-ketocholesterol-BSA (2.0 ug). Block: 5% Skim Milk in TBST. Primary Antibody: Mouse Anti-7-Ketocholesterol Monoclonal Antibody at 1:1000 for 2 hours at RT. Secondary Antibody: Goat Anti-Mouse IgG: HRP at 1:2000 for 60 min at RT. Color Development: ECL solution for 5 min in RT. Predicted/Observed Size: 67 kDa.)

7-Ketocholesterol, Monoclonal Antibody (Cat# AAA104060)

No reviews yet
Full Name
7-Ketocholesterol Antibody, Clone 3F7: ATTO 488
Reactivity
Species Independent
Applications
Immunofluorescence, Immunocytochemistry, Western Blot
Purity
Protein G Purified
Pricing
product-image-AAA104064_WB13.png WB (Western Blot) (Western Blot analysis of 7-Ketocholesterol-BSA Conjugate showing detection of 67 kDa 7-Ketocholesterol protein using Mouse Anti-7-Ketocholesterol Monoclonal Antibody, Clone 3F7. Lane 1: Molecular Weight Ladder (MW). Lane 2: BSA (0.5 ug). Lane 3: BSA (2.0 ug). Lane 4: 7-ketocholesterol-BSA (0.5 ug). Lane 5: 7-ketocholesterol-BSA (2.0 ug). Block: 5% Skim Milk in TBST. Primary Antibody: Mouse Anti-7-Ketocholesterol Monoclonal Antibody at 1:1000 for 2 hours at RT. Secondary Antibody: Goat Anti-Mouse IgG: HRP at 1:2000 for 60 min at RT. Color Development: ECL solution for 5 min in RT. Predicted/Observed Size: 67 kDa.)

7-Ketocholesterol, Monoclonal Antibody (Cat# AAA104064)

No reviews yet
Full Name
7-Ketocholesterol Antibody, Clone 3F7: HRP
Reactivity
Species Independent
Applications
Immunofluorescence, Immunocytochemistry, Western Blot
Purity
Protein G Purified
Pricing
product-image-AAA104071_FCM11.png FCM/FACS (Flow Cytometry) (Flow Cytometry analysis using Mouse Anti-Malondialdehyde Monoclonal Antibody, Clone 6H6. Tissue: Neuroblastoma cells (SH-SY5Y). Species: Human. Fixation: 90% Methanol. Primary Antibody: Mouse Anti-Malondialdehyde Monoclonal Antibody at 1:50 for 30 min on ice. Secondary Antibody: Goat Anti-Mouse: PE at 1:100 for 20 min at RT. Isotype Control: Non Specific IgG. Cells were subject to oxidative stress by treating with 250 uM H2O2 for 24 hours.)

Malondialdehyde, Monoclonal Antibody (Cat# AAA104071)

No reviews yet
Full Name
Malondialdehyde Antibody, Clone 6H6: Biotin
Reactivity
Species Independent
Applications
Flow Cytometry, Immunofluorescence, Immunocytochemistry, Western Blot
Purity
Protein G Purified
Pricing
product-image-AAA104077_WB11.png WB (Western Blot) (Western Blot analysis of Human Cervical cancer cell line (HeLa) lysate showing detection of Malondialdehyde protein using Mouse Anti-Malondialdehyde Monoclonal Antibody, Clone 11E3. Lane 1: Molecular Weight Ladder (MW). Lane 2: HeLa cell lysate. Lane 3: H2O2 treated HeLa cell lysate. Load: 12 ug. Block: 5% Skim Milk in TBST. Primary Antibody: Mouse Anti-Malondialdehyde Monoclonal Antibody at 1:1000 for 2 hours at RT. Secondary Antibody: Goat Anti-Mouse IgG: HRP at 1:2000 for 60 min at RT. Color Development: ECL solution for 5 min in RT.)

Malondialdehyde, Monoclonal Antibody (Cat# AAA104077)

No reviews yet
Full Name
Malondialdehyde Antibody, Clone 11E3: ATTO 390
Reactivity
Species Independent
Applications
Immunofluorescence, Immunocytochemistry, Western Blot
Purity
Protein G Purified
Pricing
product-image-AAA104089_FCM11.png FCM/FACS (Flow Cytometry) (Flow Cytometry analysis using Mouse Anti-Methylglyoxal Monoclonal Antibody, Clone 9E7. Tissue: Neuroblastoma cells (SH-SY5Y). Species: Human. Fixation: 90% Methanol. Primary Antibody: Mouse Anti-Methylglyoxal Monoclonal Antibody at 1:50 for 30 min on ice. Secondary Antibody: Goat Anti-Mouse: PE at 1:100 for 20 min at RT. Isotype Control: Non Specific IgG. Cells were subject to oxidative stress by treating with 250 uM H2O2 for 24 hours.)

Methylglyoxal, Monoclonal Antibody (Cat# AAA104089)

No reviews yet
Full Name
Methylglyoxal Antibody, Clone 9E7: Biotin
Reactivity
Species Independent
Applications
Flow Cytometry, Immunofluorescence, Immunocytochemistry, Western Blot
Purity
Protein G Purified
Pricing
product-image-AAA104102_FCM11.png FCM/FACS (Flow Cytometry) (Flow Cytometry analysis using Mouse Anti-Methylglyoxal Monoclonal Antibody, Clone 9F11. Tissue: Neuroblastoma cells (SH-SY5Y). Species: Human. Fixation: 90% Methanol. Primary Antibody: Mouse Anti-Methylglyoxal Monoclonal Antibody at 1:50 for 30 min on ice. Secondary Antibody: Goat Anti-Mouse: PE at 1:100 for 20 min at RT. Isotype Control: Non Specific IgG. Cells were subject to oxidative stress by treating with 250 uM H2O2 for 24 hours.)

Methylglyoxal, Monoclonal Antibody (Cat# AAA104102)

No reviews yet
Full Name
Methylglyoxal Antibody, Clone 9F11: RPE
Reactivity
Species Independent
Applications
Flow Cytometry, Immunofluorescence, Immunocytochemistry, Western Blot
Purity
Protein G Purified
Pricing
product-image-AAA104111_WB13.png WB (Western Blot) (Western Blot analysis of Dityrosine-BSA Conjugate showing detection of 67 kDa Dityrosine protein using Mouse Anti-Dityrosine Monoclonal Antibody, Clone 7D4. Lane 1: Molecular Weight Ladder (MW). Lane 2: BSA. Lane 3: 3,5-Dibromotyrosine-BSA. Lane 4: Dityrosine-BSA. Lane 5: Bromotyrosine-BSA. Lane 6: 7-ketocholesterol-BSA. Load: 1 ug. Block: 5% Skim Milk in TBST. Primary Antibody: Mouse Anti-Dityrosine Monoclonal Antibody at 1:1000 for 2 hours at RT. Secondary Antibody: Goat Anti-Mouse IgG: HRP at 1:2000 for 60 min at RT. Color Development: ECL solution for 5 min in RT. Predicted/Observed Size: 67 kDa.)

Dityrosine, Monoclonal Antibody (Cat# AAA104111)

No reviews yet
Full Name
Dityrosine Antibody, Clone 7D4: RPE
Reactivity
Species Independent
Applications
Immunofluorescence, Immunocytochemistry, Western Blot
Purity
Protein G Purified
Pricing
product-image-AAA104115_WB10.png WB (Western Blot) (Western Blot analysis of Human Cervical cancer cell line (HeLa) lysate showing detection of Dityrosine protein using Mouse Anti-Dityrosine Monoclonal Antibody, Clone 10A6. Lane 1: Molecular Weight Ladder (MW). Lane 2: HeLa cell lysate. Lane 3: H2O2 treated HeLa cell lysate. Load: 12 ug. Block: 5% Skim Milk in TBST. Primary Antibody: Mouse Anti-Dityrosine Monoclonal Antibody at 1:1000 for 2 hours at RT. Secondary Antibody: Goat Anti-Mouse IgG: HRP at 1:2000 for 60 min at RT. Color Development: ECL solution for 5 min in RT.)

Dityrosine, Monoclonal Antibody (Cat# AAA104115)

No reviews yet
Full Name
Dityrosine Antibody, Clone 10A6: ATTO 594
Reactivity
Species Independent
Applications
Flow Cytometry, Immunofluorescence, Immunocytochemistry, Western Blot
Purity
Protein G Purified
Pricing
product-image-AAA104117_WB10.png WB (Western Blot) (Western Blot analysis of Human Cervical cancer cell line (HeLa) lysate showing detection of Dityrosine protein using Mouse Anti-Dityrosine Monoclonal Antibody, Clone 10A6. Lane 1: Molecular Weight Ladder (MW). Lane 2: HeLa cell lysate. Lane 3: H2O2 treated HeLa cell lysate. Load: 12 ug. Block: 5% Skim Milk in TBST. Primary Antibody: Mouse Anti-Dityrosine Monoclonal Antibody at 1:1000 for 2 hours at RT. Secondary Antibody: Goat Anti-Mouse IgG: HRP at 1:2000 for 60 min at RT. Color Development: ECL solution for 5 min in RT.)

Dityrosine, Monoclonal Antibody (Cat# AAA104117)

No reviews yet
Full Name
Dityrosine Antibody, Clone 10A6: FITC
Reactivity
Species Independent
Applications
Flow Cytometry, Immunofluorescence, Immunocytochemistry, Western Blot
Purity
Protein G Purified
Pricing
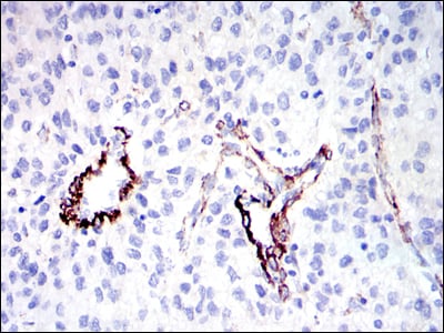
product-image-AAA107088_IHC11.jpg IHC (Immunohistochemisry) (Immunohistochemical analysis of TTC32 protein in paraffin embedded Human Kidney tissue using TTC32 antibody)

TTC32, Monoclonal Antibody (Cat# AAA107088)

No reviews yet
Full Name
TTC32 antibody
Applications
Immunohistochemistry, Flow Cytometry
Purity
TTC32 antibody was purified by affinity chromatography.
Pricing
product-image-AAA107089_IF11.jpg IF (Immunofluorescence) (Immunofluorescent staining of COS7 cells transiently transfected with recombinant TTLL12 protein using TTLL12 antibody)

TTLL12, Monoclonal Antibody (Cat# AAA107089)

No reviews yet
Full Name
TTLL12 antibody
Gene Names
TTLL12; dJ526I14.2
Applications
Western Blot, Immunohistochemistry, Immunofluorescence, Flow Cytometry
Purity
TTLL12 antibody was purified by affinity chromatography.
Pricing
product-image-AAA107090_IF10.jpg IF (Immunofluorescence) (Immunofluorescent staining of COS7 cells transiently transfected with recombinant SPR protein using SPR antibody)

SPR, Monoclonal Antibody (Cat# AAA107090)

No reviews yet
Full Name
SPR antibody
Gene Names
SPR; SDR38C1
Applications
Western Blot, Immunohistochemistry, Immunofluorescence, Flow Cytometry
Purity
SPR antibody was purified by affinity chromatography.
Pricing
product-image-AAA107092_IHC11.jpg IHC (Immunohistochemisry) (Immunohistochemical analysis of NT5DC1 protein in paraffin embedded Carcinoma of Human kidney tissue using NT5DC1 antibody)

NT5DC1, Monoclonal Antibody (Cat# AAA107092)

No reviews yet
Full Name
NT5DC1 antibody
Gene Names
NT5DC1; LP2642; NT5C2L1; C6orf200
Applications
Western Blot, Immunohistochemistry, Flow Cytometry
Purity
NT5DC1 antibody was purified by affinity chromatography.
Pricing
product-image-AAA107113_IF11.jpg IF (Immunofluorescence) (Immunofluorescent staining of COS7 cells transiently transfected with recombinant SMS protein using SMS antibody)

SMS, Monoclonal Antibody (Cat# AAA107113)

No reviews yet
Full Name
SMS antibody
Gene Names
SMS; SRS; SpS; MRSR; SPMSY
Applications
Western Blot, Immunofluorescence, Flow Cytometry
Purity
SMS antibody was purified by affinity chromatography.
Pricing
product-image-AAA107115_IF13.jpg IF (Immunofluorescence) (Immunofluorescent staining of COS7 cells transiently transfected with recombinant LIN7B protein using LIN7B antibody)

LIN7B, Monoclonal Antibody (Cat# AAA107115)

No reviews yet
Full Name
LIN7B antibody
Gene Names
LIN7B; MALS2; VELI2; LIN-7B; MALS-2
Applications
Western Blot, Immunofluorescence, Flow Cytometry
Purity
LIN7B antibody was purified by affinity chromatography.
Pricing
product-image-AAA107116_IHC11.jpg IHC (Immunohistochemisry) (Immunohistochemical analysis of PSMD10 protein in paraffin embedded Adenocarcinoma of Human colon tissue using PSMD10 antibody)

PSMD10, Monoclonal Antibody (Cat# AAA107116)

No reviews yet
Full Name
PSMD10 antibody
Gene Names
PSMD10; p28; p28(GANK); dJ889N15.2
Applications
Western Blot, Immunohistochemistry, Flow Cytometry
Purity
PSMD10 antibody was purified by affinity chromatography.
Pricing
product-image-AAA107117_FCM15.jpg FCM/FACS (Flow Cytometry) (Staining of non-transfected (left) and human B7-H4 transfected (right) 293T cells with Mouse IgG1 kappa Isotype Control (biotin) (open histogram) or 0.06 ug Anti-Human B7H4 (biotin) (filled histogram) followed by Streptavidin (PE). Total cells were used for analysis.)

B7H4, Monoclonal Antibody (Cat# AAA107117)

No reviews yet
Full Name
B7H4 antibody (biotin)
Gene Names
VTCN1; B7X; B7H4; B7S1; B7-H4; B7h.5; VCTN1; PRO1291
Reactivity
Human
Applications
Lateral Flow
Pricing
product-image-AAA107124_IF11.jpg IF (Immunofluorescence) (Immunofluorescent staining of COS7 cells transiently transfected with recombinant SNX9 protein using SNX9 antibody)

SNX9, Monoclonal Antibody (Cat# AAA107124)

No reviews yet
Full Name
SNX9 antibody
Gene Names
SNX9; SDP1; WISP; SH3PX1; SH3PXD3A
Applications
Immunohistochemistry, Immunofluorescence, Flow Cytometry
Purity
SNX9 antibody was purified by affinity chromatography.
Pricing

What are Monoclonal Antibodies?


Monoclonal antibodies are specialized laboratory-produced proteins developed for binding to specific biological antigens or other molecular targets. Since they come from a single cell (or clone), they are especially consistent and accurate in the data they are involved in producing.


This type of antibody material has been shown to be a powerful tool in finding and subsequently destroying harmful cells in an organism, such as those found in cancers or various autoimmune diseases. This makes them excellent aids in medical testing and research, which is why they are so widely used.


AAA Biotech offers a comprehensive range of high-quality monoclonal antibodies that perform effectively in various laboratory tests, including (amongst others) ELISA, western blotting, immunohistochemistry, and flow cytometry. All of the products in our catalog are thoroughly quality tested to make sure that they are reliable and will consistently perform well in your research.


What Are The Uses of Monoclonal Antibodies


Monoclonal antibodies are used in many lab tests, including (amongst others) ELISA, western blotting, immunohistochemistry, and flow cytometry.


ELISA is a test that helps detect a specific substance/analyte in a sample. It uses antibodies (often monoclonal) bound to a solid surface (such as the well of a microplate) to “capture” the substance/analyte in the sample and immobilize it so that the detection antibody component can then bind to it and produce a signal, which can then be measured.


Western blotting identifies specific proteins in a sample. The sample is first separated on a gel, and then antibodies are applied that will typically bind to the target, which will all be localized to a single band in a lane.


Immunohistochemistry helps locate specific proteins in cells or tissue samples using antibodies.


Flow cytometry looks at and sorts cells. It uses antibodies that are conjugated to reporter molecules called “fluorophores”, which, under special lights, emit light themselves, which can then be measured by a detector instrument. For a deeper understanding of these techniques, explore our complete guide to monoclonal antibodies and their benefits.


How Monoclonal Antibodies Are Used as Medicine?


Please note that all of the products listed in AAA Biotech’s also known as AAA Bio or AAABio catalog are strictly for research-use only (RUO).


Monoclonal antibodies can also be used as therapeutic/medical treatments, particularly in the context of cancers. They are designed to find and bind to specific cells or proteins, helping the immune system recognize and attack the cancer. These treatments work in different ways, such as:


  • Radioimmunotherapy attaches a small amount of radioactive molecule to the antibody, so it delivers the radiation directly to the cancer cells that the antibody is specifically binding to.

  • Antibody-directed enzyme prodrug therapy uses antibodies that are specifically bound to special enzymes. These enzymes activate a harmless drug in the body and turn it into a cancer-killing drug only near the cancer cells—this helps avoid harming healthy cells.

  • Immunoliposomes are tiny “bubbles” filled with medicine/drug and coated with antibodies. They carry the drug straight to the cancer cells.


Why Buy Monoclonal Antibodies From Us?


At AAA Biotech, we provide high-performance monoclonal antibodies designed to support a wide range of research needs.


1. Validated for Versatile Applications


The antibodies in our catalog are extensively validated and compatible with multiple techniques, including (but not limited to) ELISA, flow cytometry (FC), immunocytochemistry (ICC), immunofluorescence (IF), immunohistochemistry (IHC), immunoprecipitation (IP), and western blotting (WB).


2. Wide Selection & Specialized Options


We offer antibodies for common and rare species, that are available in various conjugated forms, and also in recombinant formats. Essentially, there is almost anything one might need to meet their experimental model’s requirements.


3. High-Quality Proteins


Our proteins meet high purity standards—90% or more as confirmed by SDS-PAGE. Many are available with tags like His, Flag, GST, or MBP, and we also supply native and biologically active proteins for functional studies.


Frequently Asked Questions


1. Are your monoclonal antibodies validated for specific applications?


Yes, our antibodies are tested and validated for use in methods such as ELISA, western blot, IHC, flow cytometry, and more. Refer to specific product pages or datasheets for individual product information.


2. How do I choose the right monoclonal antibody for my application?


Review the product details directly for application validation, species reactivity, and target information. You may also contact our support team at any time for help.


3. How quickly can I receive my order?


Most orders are processed and shipped within 1–3 business days, depending on product availability and your shipping location.


Submit a Question

Please complete the form below and a representative will contact you as soon as possible.

Request more Information

Please complete the form below and a representative will contact you as soon as possible.

Request a Manual

Please complete the form below and a representative will contact you as soon as possible.

Request a Quote

Please complete the form below and a representative will contact you as soon as possible.