Loading...

Skip to main content
Call us at +1-800-604-9114 for more information about our products or contact us online Need help? +1-800-604-9114 or contact us

Filters


Clonality

Type

Reactivity

Gene Name

Isotype

Host

Application

Clone

Monoclonal Antibodies

Get accurate results in your research with our Monoclonal Antibodies, which are specially made to target exactly what you require for your research, and will produce consistent, reliable performance in lab tests.


Viewing 6400-6450 of 10000 product results


product-image-AAA41008_ELISA13.jpg ELISA (Figure 2 ELISA Validation of HIV-1 p24 Antibody with HIV-1 p24 Protein Coating Antigen: HIV-1 p24 recombinant protein, 1ug/mL, incubated at 4 degree C overnight. Detection Antibodies: HIV-1 p24 antibody, PM-7371, dilution: 0.3-1000 ng/mL, incubated at RT for 1 hr. Secondary Antibodies: Goat anti-mouse HRP at 1:5,000, incubated at RT for 1 hr.)

HIV-1 p24, Monoclonal Antibody (Cat# AAA41008)

Full Name
HIV-1 p24 Antibody [10A2](biotin)
Reactivity
Virus
Applications
Western Blot
Purity
Anti-HIV-1 p24 antibody is immunoaffinity chromatography purified IgG.
Pricing
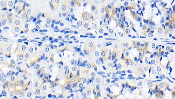
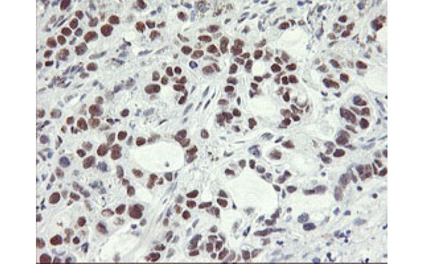
product-image-AAA74697_IHC13.jpg IHC (Immunohiostchemistry) (Immunohistochemical analysis of DPP9 protein in paraffin embedded Adenocarcinoma of Human ovary tissue using DPP9 antibody)

DPP9, Monoclonal Antibody (Cat# AAA74697)

Full Name
DPP9 antibody
Gene Names
DPP9; DP9; DPLP9; DPRP2; DPRP-2
Applications
Western Blot, Immunohistochemistry, Flow Cytometry
Purity
DPP9 antibody was purified by affinity chromatography.
Pricing
product-image-AAA108237_WB13.jpg WB (Western Blot) (Western Blot analysis of HEK293T cell lysates (5 ug) transfected with either recombinant IGJ protein (Right) or empty vector (Left) detected with IGJ antibody)

IGJ, Monoclonal Antibody (Cat# AAA108237)

Full Name
IGJ antibody
Gene Names
JCHAIN; IGJ; JCH; IGCJ
Applications
Western Blot, Flow Cytometry
Purity
IGJ antibody was purified by affinity chromatography.
Pricing
product-image-AAA106229_IHC13.jpg IHC (Immunohiostchemistry) (Immunohistochemical analysis of CXorf26 protein in paraffin embedded Adenocarcinoma of Human endometrium tissue using CXorf26 antibody)

CXorf26, Monoclonal Antibody (Cat# AAA106229)

Full Name
CXorf26 antibody
Gene Names
PBDC1; CXorf26
Applications
Western Blot, Immunohistochemistry, Flow Cytometry
Purity
CXorf26 antibody was purified by affinity chromatography.
Pricing
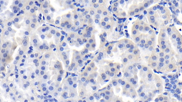
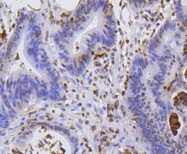
product-image-AAA107024_IHC11.jpg IHC (Immunohistochemisry) (Immunohistochemical analysis of MRI1 protein in paraffin embedded Human colon tissue using MRI1 antibody)

MRI1, Monoclonal Antibody (Cat# AAA107024)

Full Name
MRI1 antibody
Gene Names
MRI1; MRDI; MTNA; Ypr118w
Applications
Western Blot, Immunohistochemistry, Immunofluorescence
Purity
MRI1 antibody was purified by affinity chromatography.
Pricing
product-image-AAA106917_IHC11.jpg IHC (Immunohistochemisry) (Immunohistochemical analysis of OBFC2B protein in paraffin embedded Carcinoma of Human lung tissue using OBFC2B antibody)

OBFC2B, Monoclonal Antibody (Cat# AAA106917)

Full Name
OBFC2B antibody
Gene Names
NABP2; SSB1; hSSB1; OBFC2B; SOSS-B1
Applications
Western Blot, Immunohistochemistry, Flow Cytometry
Purity
OBFC2B antibody was purified by affinity chromatography.
Pricing
product-image-AAA62501_WB13.jpg WB (Western Blot) (Western Blot of HepG2 Cell Lysate using Bcl-10 Monoclonal Antibody (BL10/411))

BCL10, Monoclonal Antibody (Cat# AAA62501)

Full Name
BCL10 (MALT-Lymphoma Marker) Mouse Monoclonal Antibody
Gene Names
BCL10; CLAP; mE10; CIPER; IMD37; c-E10; CARMEN
Reactivity
Human
Applications
Immunohistochemistry, Western Blot, Immunofluorescence, Flow Cytometry
Pricing

Neurofilament 200 kD, Monoclonal Antibody (Cat# AAA77483)

Full Name
Mouse anti Neurofilament 200 kD
Reactivity
Bovine, Canine, Chicken, Guinea Pig, Hamster, Human, Monkey, Mouse, Rabbit, Rat, Sheep, Xenopus, Zebrafish
Applications
Western Blot, Immunohistochemistry, Immunohistochemistry
Pricing
product-image-AAA78284_FCM11.jpg FCM/FACS (Flow Cytometry) (Fig-3: Intra cellular flow analysis of RANKL in HepG2 using 0.5 ug/10^6 cells of antibody (Clone: ABM10A7). Green represents isotype control; red represents anti-RANKL antibody. Goat anti-mouse PE conjugate was used as secondary antibody.)

RANKL, Monoclonal Antibody (Cat# AAA78284)

Full Name
Monoclonal Antibody to RANKL (Clone: ABM10A7)
Gene Names
TNFRSF11A; FEO; OFE; ODFR; OSTS; PDB2; RANK; CD265; OPTB7; TRANCER; LOH18CR1
Reactivity
Human
Applications
Western Blot, Flow Cytometry
Purity
Purified
Protein G Chromatography
Pricing
product-image-AAA78991_AD11.jpg Application Data

Cytokeratin 19, Monoclonal Antibody (Cat# AAA78991)

Full Name
Anti - Cytokeratin 19
Gene Names
KRT19; K19; CK19; K1CS
Applications
Immunohistochemistry
Pricing
product-image-AAA178847_IF11.jpg IF (Immunofluorescence) (Immunofluorescence of EpCAM (green) in MCF-7 using EpCAM antibody at dilution 1:20, and DAPI(blue))

EpCAM, Monoclonal Antibody (Cat# AAA178847)

Full Name
Recombinant EpCAM Monoclonal Antibody
Gene Names
EPCAM; ESA; KSA; M4S1; MK-1; DIAR5; EGP-2; EGP40; KS1/4; MIC18; TROP1; EGP314; HNPCC8; TACSTD1
Reactivity
Human, Mouse, Rat
Applications
Immunofluorescence, Immunohistochemistry, Western Blot
Purity
Affinity Purified
Pricing
product-image-AAA126891_FACS8.jpg FCM/FACS (Flow Cytometry) (Figure 5. Flow Cytometry analysis of HepG2 cells using anti-ALDH1A1 antibody (AAA126891).Overlay histogram showing HepG2 cells stained with AAA126891 (Blue line). The cells were blocked with 10% normal goat serum. And then incubated with mouse anti-ALDH1A1 Antibody (AAA126891, 1 ug/1x10^6 cells) for 30 min at 20 degree C. DyLight488 conjugated goat anti-mouse IgG was used as secondary antibody for 30 minutes at 20 degree C. Isotype control antibody (Green line) was mouse IgG (1 ug/1x10^6) used under the same conditions. Unlabelled sample (Red line) was also used as a control.)

ALDH1A1, Monoclonal Antibody (Cat# AAA126891)

Full Name
Anti-ALDH1A1 Antibody Picoband (monoclonal, 4C3)
Gene Names
ALDH1A1; ALDC; ALDH1; HEL-9; HEL12; PUMB1; ALDH11; RALDH1; ALDH-E1; HEL-S-53e
Reactivity
Human
Applications
Flow Cytometry, Immunofluorescence, Immunocytochemistry, Immunohistochemistry, Western Blot
Purity
Immunogen affinity purified.
Pricing
product-image-AAA309485_IHC11.jpg IHC (Immunohistochemisry) (Immunohistochemical analysis of paraffin-embedded Human Breast Carcinoma Tissue using Bax Mouse mAb diluted at 1:200.)

Bax, Monoclonal Antibody (Cat# AAA309485)

Full Name
Bax Mouse Monoclonal Antibody(1C1)
Reactivity
Human, Rat, Mouse
Applications
Immunohistochemistry
Pricing
product-image-AAA309504_IHC13.jpg IHC (Immunohiostchemistry) (Immunohistochemical analysis of paraffin-embedded Human Tonsil Tissue using Cyclin B1 Mouse mAb diluted at 1:200.)

Cyclin B1, Monoclonal Antibody (Cat# AAA309504)

Full Name
Cyclin B1 Mouse Monoclonal Antibody(1A5)
Gene Names
CCNB1; CCNB
Reactivity
Human, Rat, Mouse
Applications
Immunohistochemistry, Western Blot
Pricing
product-image-AAA312703_IHC10.jpg IHC (Immunohistochemistry) (Immunohistochemical analysis of paraffin-embedded mouse colon tissue using anti-Histone H2A (hydroxyl Y39) antibody. Counter stained with hematoxylin.)

Histone H2A, Monoclonal Antibody (Cat# AAA312703)

Full Name
Histone H2A (hydroxyl Y39) Antibody
Gene Names
HIST1H2AB; H2A/m; H2AFM
Reactivity
Human, Mouse, Rat
Applications
Flow Cytometry, Immunoprecipitation, Immunohistochemistry, Western Blot
Purity
ProA affinity purified
Pricing
product-image-AAA311022_ICC10.jpg ICC (Immunocytochemistry) (ICC staining SIRT1 (phospho S47) in SW480 cells (green). The nuclear counter stain is DAPI (blue). Cells were fixed in paraformaldehyde, permeabilised with 0.25% Triton X100/PBS.)

SIRT1, Monoclonal Antibody (Cat# AAA311022)

Full Name
SIRT1 (Phospho-S47) Antibody
Gene Names
SIRT1; SIR2L1
Reactivity
Human
Applications
Flow Cytometry, Immunofluorescence, Immunocytochemistry, Western Blot
Purity
ProA affinity purified
Pricing
product-image-AAA312006_FCM10.jpg FCM/FACS (Flow Cytometry) (Flow cytometric analysis of Hela cells with CD44 antibody at 1/100 dilution (blue) compared with an unlabelled control (cells without incubation with primary antibody; red). Goat anti mouse IgG (FITC) was used as the secondary antibody.)

CD44, Monoclonal Antibody (Cat# AAA312006)

Full Name
CD44 Antibody
Gene Names
CD44; IN; LHR; MC56; MDU2; MDU3; MIC4; Pgp1; CDW44; CSPG8; HCELL; HUTCH-I; ECMR-III
Reactivity
Human
Applications
Flow Cytometry, Immunohistochemistry, Western Blot
Purity
Peptide affinity purified
Pricing
product-image-AAA312145_FACS8.jpg FCM/FACS (Flow Cytometry) (Flow cytometric analysis of CRC cells with Cytokeratin 20 antibody at 1/50 dilution (blue) compared with an unlabelled control (cells without incubation with primary antibody; red). Alexa Fluor 488-conjugated goat anti rabbit IgG was used as the secondary antibody.)

Cytokeratin 20, Monoclonal Antibody (Cat# AAA312145)

Full Name
Cytokeratin 20 Antibody
Gene Names
KRT20; K20; CD20; CK20; CK-20; KRT21
Reactivity
Human, Rat
Applications
Flow Cytometry, Immunoprecipitation, Immunohistochemistry, Immunofluorescence, Immunocytochemistry, Western Blot
Purity
ProA affinity purified
Pricing
product-image-AAA312157_FACS8.jpg FCM/FACS (Flow Cytometry) (Flow cytometric analysis of Jurkat cells with IFNAR1 antibody at 1/50 dilution (blue) compared with an unlabelled control (cells without incubation with primary antibody; red). Alexa Fluor 488-conjugated goat anti rabbit IgG was used as the secondary antibody.)

IFNAR1, Monoclonal Antibody (Cat# AAA312157)

Full Name
IFNAR1 Antibody
Gene Names
IFNAR1; AVP; IFRC; IFNAR; IFNBR; IFN-alpha-REC
Reactivity
Human, Mouse, Rat
Applications
Flow Cytometry, Immunohistochemistry, Immunoprecipitation, Western Blot
Purity
ProA affinity purified
Pricing
product-image-AAA312366_IHC13.jpg IHC (Immunohiostchemistry) (Immunohistochemical analysis of paraffin-embedded mouse colon tissue using anti-HSPA2 antibody. Counter stained with hematoxylin.)

HSPA2, Monoclonal Antibody (Cat# AAA312366)

Full Name
HSPA2 Antibody
Gene Names
HSPA2; HSP70-2; HSP70-3
Reactivity
Human, Mouse, Rat
Applications
Immunohistochemistry, Western Blot
Purity
ProA affinity purified
Pricing
product-image-AAA312388_FCM13.jpg FCM/FACS (Flow Cytometry) (Flow cytometric analysis of 293 cells with RIP antibody at 1/50 dilution (red) compared with an unlabelled control (cells without incubation with primary antibody; black). Alexa Fluor 488-conjugated goat anti rabbit IgG was used as the secondary antibody)

RIP, Monoclonal Antibody (Cat# AAA312388)

Full Name
RIP Antibody
Gene Names
RIPK1; RIP; RIP1
Reactivity
Human
Applications
Flow Cytometry, Western Blot
Purity
ProA affinity purified
Pricing
product-image-AAA312194_ICC11.jpg ICC (Immunocytochemistry) (ICC staining JAK2 in NIH/3T3 cells (green). The nuclear counter stain is DAPI (blue). Cells were fixed in paraformaldehyde, permeabilised with 0.25% Triton X100/PBS.)

JAK2, Monoclonal Antibody (Cat# AAA312194)

Full Name
JAK2 Antibody
Gene Names
JAK2; JTK10; THCYT3
Reactivity
Human, Mouse, Rat
Applications
Immunocytochemistry, Western Blot
Purity
ProA affinity purified
Pricing
product-image-AAA312228_ICC10.jpg ICC (Immunocytochemistry) (ICC staining beta II Tubulin in N2A cells (green). The nuclear counter stain is DAPI (blue). Cells were fixed in paraformaldehyde, permeabilised with 0.25% Triton X100/PBS.)

beta II Tubulin, Monoclonal Antibody (Cat# AAA312228)

Full Name
beta II Tubulin Antibody
Gene Names
TUBB4B; Beta2; TUBB2; LCAEOD; TUBB2C
Reactivity
Human, Mouse, Rat
Applications
Immunoprecipitation, Immunohistochemistry, Immunofluorescence, Immunocytochemistry, Western Blot
Purity
ProA affinity purified
Pricing
product-image-AAA312250_ICC8.jpg ICC (Immunocytochemistry) (ICC staining UBC9 in HepG2 cells (green). The nuclear counter stain is DAPI (blue). Cells were fixed in paraformaldehyde, permeabilised with 0.25% Triton X100/PBS.)

UBC9, Monoclonal Antibody (Cat# AAA312250)

Full Name
UBC9 Antibody
Gene Names
UBE2I; P18; UBC9; C358B7.1
Reactivity
Human, Mouse, Rat
Applications
Chromatin immunoprecipitation, Immunoprecipitation, Immunohistochemistry, Immunofluorescence, Immunocytochemistry, Western Blot
Purity
ProA affinity purified
Pricing
product-image-AAA312651_FACS8.jpg FCM/FACS (Flow Cytometry) (Flow cytometric analysis of HepG2 cells with CHD1L antibody at 1/100 dilution (purple) compared with an unlabelled control (cells without incubation with primary antibody; yellow). Alexa Fluor 488-conjugated goat anti-rabbit IgG was used as the secondary antibody.)

CHD1L, Monoclonal Antibody (Cat# AAA312651)

Full Name
CHD1L Antibody
Gene Names
CHD1L; ALC1; CHDL
Reactivity
Human, Mouse
Applications
Flow Cytometry, Immunohistochemistry, Western Blot
Purity
ProA affinity purified
Pricing
product-image-AAA312485_IHC13.jpg IHC (Immunohiostchemistry) (Immunohistochemical analysis of paraffin-embedded human spleen tissue using anti- MHC Class II antibody. Counter stained with hematoxylin.)

MHC Class II, Monoclonal Antibody (Cat# AAA312485)

Full Name
MHC Class II Antibody
Gene Names
HLA-DPB1; DPB1; HLA-DP; HLA-DPB; HLA-DP1B
Reactivity
Human
Applications
Immunohistochemistry, Immunofluorescence, Immunocytochemistry, Immunoprecipitation, Western Blot
Purity
ProA affinity purified
Pricing
product-image-AAA315201_IHC13.jpg IHC (Immunohiostchemistry) (Immunohistochemical analysis of paraffin-embedded rat colon, using Histone H3 (mono+di+tri methyl K79) Antibody.)

Histone H3 (mono+di+tri methyl K79), Monoclonal Recombinant Antibody (Cat# AAA315201)

Full Name
Histone H3 (mono+di+tri methyl K79) Rabbit mAb
Gene Names
HIST1H3A; H3/A; H3FA
Reactivity
Human, Mouse, Rat
Applications
Immunohistochemistry, Western Blot
Purity
Affinity-chromatography
Pricing
product-image-AAA315432_IHC13.jpg IHC (Immunohiostchemistry) (Immunohistochemical analysis of paraffin-embedded human tonsil, using Ku70 Antibody.)

Ku70, Monoclonal Recombinant Antibody (Cat# AAA315432)

Full Name
Ku70 Rabbit mAb
Gene Names
XRCC6; ML8; KU70; TLAA; CTC75; CTCBF; G22P1
Reactivity
Human
Applications
Flow Cytometry, Immunoprecipitation, Immunofluorescence, Immunocytochemistry, Immunohistochemistry, Western Blot
Purity
Affinity-chromatography
Pricing
product-image-AAA315320_IHC13.jpg IHC (Immunohiostchemistry) (Immunohistochemical analysis of paraffin-embedded human placenta, using DKK1 Antibody.)

DKK1, Monoclonal Recombinant Antibody (Cat# AAA315320)

Full Name
DKK1 Rabbit mAb
Gene Names
DKK1; SK; DKK-1
Reactivity
Human, Rat
Applications
Flow Cytometry, Immunofluorescence, Immunocytochemistry, Immunohistochemistry, Western Blot
Purity
Affinity-chromatography
Pricing
product-image-AAA320395_IF11.png IF (Immunofluorescence) (Immunofluorescent analysis of Hela cells fixed with 4% Paraformaldehyde and using anti-E2F-1 mouse mAb (dilution 1:100). DAPI was used to stain nucleus(blue).)

E2F-1, Monoclonal Antibody (Cat# AAA320395)

Full Name
E2F-1 Mouse mAb
Gene Names
E2F1; RBP3; E2F-1; RBAP1; RBBP3
Reactivity
Human, Rat
Applications
Immunoprecipitation, Immunocytochemistry, Immunofluorescence, Western Blot
Purity
The antibody was affinity-purified from mouse ascites by affinity-chromatography using epitope-specific immunogen.
Pricing
product-image-AAA320001_AD11.png Application Data

CD66e, Monoclonal Antibody (Cat# AAA320001)

Full Name
CD66e Monoclonal Antibody
Gene Names
CEACAM5; CEA; CD66e
Reactivity
Human
Applications
Immunocytochemistry, Immunofluorescence, Western Blot
Purity
Affinity purification
Pricing
product-image-AAA320146_FCM13.png FCM/FACS (Flow Cytometry) (Flow cytometric analysis of K562 cells using Lsk Monoclonal Antibody (green) and negative control (purple).)

Lsk, Monoclonal Antibody (Cat# AAA320146)

Full Name
Lsk Monoclonal Antibody
Gene Names
MATK; CHK; CTK; HYL; Lsk; HYLTK; HHYLTK
Reactivity
Human
Applications
Flow Cytometry, Western Blot
Purity
Affinity purification
Pricing
product-image-AAA320578_AD13.png Application Data

TFEB, Monoclonal Antibody (Cat# AAA320578)

Full Name
TFEB (PTR2532) Antibody
Gene Names
TFEB; TCFEB; BHLHE35; ALPHATFEB
Reactivity
Human, Mouse
Applications
Immunofluorescence, Western Blot, Immunohistochemistry
Purity
Protein G
Pricing
product-image-AAA320582_IHC13.png IHC (Immunohiostchemistry) (Immunohistochemical analysis of paraffin-embedded Skin. 1, Antibody was diluted at 1:200(4 degree overnight). 2, Citrate buffer of pH6.0 was used for antigen retrieval. 3,Secondary antibody was diluted at 1:200(room temperature, 30min).)

Collagen Type III, Monoclonal Antibody (Cat# AAA320582)

Full Name
Collagen Type III (PT0118) Antibody
Gene Names
COL3A1; EDS4A
Reactivity
Human
Applications
Immunofluorescence, Western Blot, Immunohistochemistry
Purity
Protein G
Pricing
product-image-AAA320614_AD11.png Application Data

Cytokeratin 13, Monoclonal Antibody (Cat# AAA320614)

Full Name
Cytokeratin 13 (ABT-CK13) Antibody
Gene Names
KRT13; K13; CK13; WSN2
Reactivity
Human
Applications
Immunofluorescence, Western Blot, Immunohistochemistry
Purity
Protein G
Pricing

PIK3CA H1047R, Monoclonal Antibody (Cat# AAA318636)

Full Name
Anti-Human PIK3CA H1047R (ABT453) Mouse Monoclonal Antibody
Gene Names
PIK3CA; MCM; CWS5; MCAP; PI3K; CLOVE; MCMTC; p110-alpha
Reactivity
Human
Applications
Western Blot, Immunohistochemistry
Purity
Immunogen affinity purified
Pricing
product-image-AAA315079_IF11.jpg IF (Immunofluorescence) (Immunofluorescent analysis of A375 cells, using S100B Antibody .)

S100B, Monoclonal Recombinant Antibody (Cat# AAA315079)

Full Name
S100B Rabbit mAb
Gene Names
S100B; NEF; S100; S100-B; S100beta
Reactivity
Human, Mouse, Rat, Goat
Applications
Immunoprecipitation, Immunofluorescence, Immunocytochemistry, Immunohistochemistry, Western Blot
Purity
Affinity-chromatography
Pricing
product-image-AAA315081_IF11.jpg IF (Immunofluorescence) (Immunofluorescent analysis of U87-MG cells, using MMP9 Antibody.)

MMP9, Monoclonal Recombinant Antibody (Cat# AAA315081)

Full Name
MMP9 Rabbit mAb
Gene Names
MMP9; GELB; CLG4B; MMP-9; MANDP2
Reactivity
Human, Rat
Applications
Flow Cytometry, Immunofluorescence, Immunocytochemistry, Immunohistochemistry, Western Blot
Purity
Affinity-chromatography
Pricing
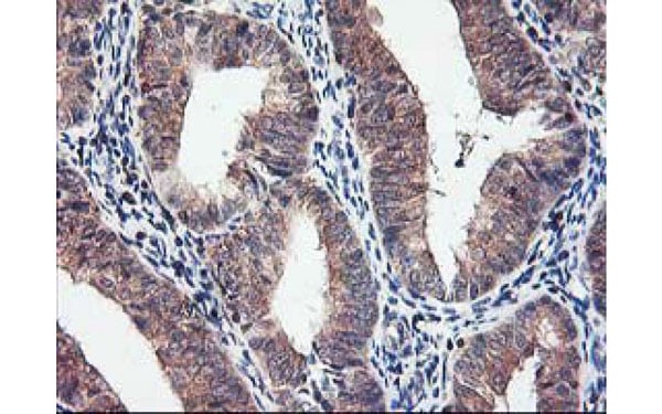
product-image-AAA314467_IHC13.jpg IHC (Immunohiostchemistry) (Immunohistochemistry of STK3 in paraffin-embedded Human lung cancer tissue using STK3 Rabbit mAb at dilution 1/50)

STK3, Monoclonal Antibody (Cat# AAA314467)

Full Name
STK3 Rabbit mAb
Gene Names
STK3; KRS1; MST2
Reactivity
Human, Mouse, Rat
Applications
Immunohistochemistry, Western Blot
Purity
Affinity Purified
Pricing
product-image-AAA314471_ICC13.jpg ICC (Immunocytochemistry) (Immunocytochemistry of Survivin (green) in MCF-7 using Survivin antibody at dilution 1/20, and DAPI(blue))

Survivin, Monoclonal Antibody (Cat# AAA314471)

Full Name
Survivin Rabbit mAb
Gene Names
BIRC5; API4; EPR-1
Reactivity
Human
Applications
Immunofluorescence, Western Blot
Purity
Affinity Purified
Pricing
product-image-AAA314538_IHC13.jpg IHC (Immunohiostchemistry) (Immunohistochemistry of IKZF3 in paraffin-embedded Human tonsil using IKZF3 Rabbit mAb at dilution 1/50)

IKZF3, Monoclonal Antibody (Cat# AAA314538)

Full Name
IKZF3 Rabbit mAb
Gene Names
IKZF3; AIO; AIOLOS; ZNFN1A3
Reactivity
Human, Mouse, Rat
Applications
Immunohistochemistry, Western Blot
Purity
Affinity Purified
Pricing
product-image-AAA314550_ICC13.jpg ICC (Immunocytochemistry) (Immunocytochemistry of MLH1 (green) in hela using MLH1 Rabbit mAb at dilution 1/50, and DAPI(blue))

MLH1, Monoclonal Antibody (Cat# AAA314550)

Full Name
MLH1 Rabbit mAb
Gene Names
MLH1; FCC2; COCA2; HNPCC; hMLH1; HNPCC2
Reactivity
Human
Applications
Immunofluorescence, Western Blot
Purity
Affinity Purified
Pricing
product-image-AAA151882_IHC13.jpg IHC (Immunohiostchemistry) (DAB staining on IHCP;Sample: Human Skeletal muscle Tissue; Primary Ab: 20ug/ml Mouse AntiHuman ISLR AntibodySecond Ab: 2ug/mL HRPLinked Caprine AntiMouse IgG Polyclonal Antibody(Catalog: SAA544Mu19))

Immunoglobulin Superfamily Containing Leucine Rich Repeat Protein (ISLR), Monoclonal Antibody (Cat# AAA151882)

Full Name
Monoclonal Antibody to Immunoglobulin Superfamily Containing Leucine Rich Repeat Protein (ISLR)
Gene Names
ISLR; HsT17563
Reactivity
Human, Pig
Applications
Immunoprecipitation, Immunocytochemistry, Immunohistochemistry, Western Blot
Purity
Protein A + Protein G affinity chromatography
Pricing
product-image-AAA151829_WB11.jpg WB (Western Blot) (Western Blot; Sample: Lane1: Rat Liver lysate; Lane2: Rat Kidney lysate Primary Ab: 1.5ug/ml Mouse AntiHuman FTH Antibody Second Ab: 0.2ug/mL HRPLinked Caprine AntiMouse IgG Polyclonal Antibody (Catalog: SAA544Mu19))

Ferritin, Heavy Polypeptide (FTH), Monoclonal Antibody (Cat# AAA151829)

Full Name
Monoclonal Antibody to Ferritin, Heavy Polypeptide (FTH)
Gene Names
FTH1; FHC; FTH; PLIF; FTHL6; PIG15
Reactivity
Human, Rat, Pig
Applications
Immunoprecipitation, Immunocytochemistry, Immunohistochemistry, Western Blot
Purity
Protein A + Protein G affinity chromatography, Antigenspecific affinity chromatography followed by Protein A affinity chromatography
Pricing
product-image-AAA151671_IHC13.jpg IHC (Immunohiostchemistry) (DAB staining on IHCP;Sample: Porcine Kidney Tissue; Primary Ab: 30ug/ml Mouse AntiHuman ITGb1 AntibodySecond Ab: 2ug/mL HRPLinked Caprine AntiMouse IgG Polyclonal Antibody(Catalog: SAA544Mu19))

Integrin Beta 1 (ITGb1), Monoclonal Antibody (Cat# AAA151671)

Full Name
Monoclonal Antibody to Integrin Beta 1 (ITGb1)
Gene Names
ITGB1; CD29; FNRB; MDF2; VLAB; GPIIA; MSK12; VLA-BETA
Reactivity
Human, Pig
Applications
Immunoprecipitation, Immunocytochemistry, Immunohistochemistry, Western Blot
Purity
Protein A + Protein G affinity chromatography
Pricing
product-image-AAA151543_IHC11.jpg IHC (Immunohistochemisry) (DAB staining on IHCP;Sample: Human Skeletal muscle Tissue; Primary Ab: 30ug/ml Mouse AntiHuman NTProANP AntibodySecond Ab: 2ug/mL HRPLinked Caprine AntiMouse IgG Polyclonal Antibody(Catalog: SAA544Mu19))

NTerminal ProAtrial Natriuretic Peptide (NTProANP), Monoclonal Antibody (Cat# AAA151543)

Full Name
Monoclonal Antibody to NTerminal ProAtrial Natriuretic Peptide (NTProANP)
Gene Names
NPPA; ANF; ANP; PND; ATFB6; CDD-ANF
Reactivity
Human, Pig
Applications
Immunoprecipitation, Immunocytochemistry, Immunohistochemistry, Western Blot
Purity
Protein A + Protein G affinity chromatography
Pricing
product-image-AAA151436_IHC13.jpg IHC (Immunohiostchemistry) (DAB staining on IHCP;Sample: Human Kidney Tissue; Primary Ab: 20ug/ml Mouse AntiHuman FGF9 AntibodySecond Ab: 2ug/mL HRPLinked Caprine AntiMouse IgG Polyclonal Antibody(Catalog: SAA544Mu19))

Fibroblast Growth Factor 9 (FGF9), Monoclonal Antibody (Cat# AAA151436)

Full Name
Monoclonal Antibody to Fibroblast Growth Factor 9 (FGF9)
Gene Names
FGF9; GAF; FGF-9; SYNS3; HBFG-9; HBGF-9
Reactivity
Human, Pig
Applications
Immunoprecipitation, Immunocytochemistry, Immunohistochemistry, Western Blot
Purity
Protein A + Protein G affinity chromatography
Pricing
product-image-AAA150797_WB10.jpg WB (Western Blot) (Western Blot; Sample: Rat Liver lysate; Primary Ab: 3ug/mL Mouse Anti-Multi-species Ub AntibodySecond Ab: 0.2ug/mL HRP-Linked Caprine Anti-Mouse IgG Polyclonal Antibody)

Ubiquitin (Ub), Monoclonal Antibody (Cat# AAA150797)

Full Name
Cy3-Linked Monoclonal Antibody to Ubiquitin (Ub)
Reactivity
Human, Rat
Applications
Immunoprecipitation, Immunocytochemistry, Immunohistochemistry, Western Blot
Purity
Protein A + Protein G affinity chromatography
Pricing
product-image-AAA150820_WB13.jpg WB (Western Blot) (Figure. Western Blot; Sample: Recombinant INHbA, Human.)

Inhibin Beta A (INHbA), Monoclonal Antibody (Cat# AAA150820)

Full Name
Monoclonal Antibody to Inhibin Beta A (INHbA)
Gene Names
INHBA; EDF; FRP
Reactivity
Human
Applications
Immunohistochemistry, Western Blot
Purity
Antigen-specific affinity chromatography followed by Protein A affinity chromatography
Pricing

Angiotensin 1-7, Monoclonal Antibody (Cat# AAA141308)

Full Name
Monoclonal Antibody to Angiotensin 1-7 (Ang1-7)
Reactivity
Rat
Applications
Immunohistochemistry, Immunoprecipitation, Immunocytochemistry, Chemiluminescence Immunoassay
Purity
Protein A + Protein G affinity chromatography
Pricing

What are Monoclonal Antibodies?


Monoclonal antibodies are specialized laboratory-produced proteins developed for binding to specific biological antigens or other molecular targets. Since they come from a single cell (or clone), they are especially consistent and accurate in the data they are involved in producing.


This type of antibody material has been shown to be a powerful tool in finding and subsequently destroying harmful cells in an organism, such as those found in cancers or various autoimmune diseases. This makes them excellent aids in medical testing and research, which is why they are so widely used.


AAA Biotech offers a comprehensive range of high-quality monoclonal antibodies that perform effectively in various laboratory tests, including (amongst others) ELISA, western blotting, immunohistochemistry, and flow cytometry. All of the products in our catalog are thoroughly quality tested to make sure that they are reliable and will consistently perform well in your research.


What Are The Uses of Monoclonal Antibodies


Monoclonal antibodies are used in many lab tests, including (amongst others) ELISA, western blotting, immunohistochemistry, and flow cytometry.


ELISA is a test that helps detect a specific substance/analyte in a sample. It uses antibodies (often monoclonal) bound to a solid surface (such as the well of a microplate) to “capture” the substance/analyte in the sample and immobilize it so that the detection antibody component can then bind to it and produce a signal, which can then be measured.


Western blotting identifies specific proteins in a sample. The sample is first separated on a gel, and then antibodies are applied that will typically bind to the target, which will all be localized to a single band in a lane.


Immunohistochemistry helps locate specific proteins in cells or tissue samples using antibodies.


Flow cytometry looks at and sorts cells. It uses antibodies that are conjugated to reporter molecules called “fluorophores”, which, under special lights, emit light themselves, which can then be measured by a detector instrument.


How Monoclonal Antibodies Are Used as Medicine?


Please note that all of the products listed in AAA Biotech’s also known as AAA Bio or AAABio catalog are strictly for research-use only (RUO).


Monoclonal antibodies can also be used as therapeutic/medical treatments, particularly in the context of cancers. They are designed to find and bind to specific cells or proteins, helping the immune system recognize and attack the cancer. These treatments work in different ways, such as:


  • Radioimmunotherapy attaches a small amount of radioactive molecule to the antibody, so it delivers the radiation directly to the cancer cells that the antibody is specifically binding to.

  • Antibody-directed enzyme prodrug therapy uses antibodies that are specifically bound to special enzymes. These enzymes activate a harmless drug in the body and turn it into a cancer-killing drug only near the cancer cells—this helps avoid harming healthy cells.

  • Immunoliposomes are tiny “bubbles” filled with medicine/drug and coated with antibodies. They carry the drug straight to the cancer cells.


Why Buy Monoclonal Antibodies From Us?


At AAA Biotech, we provide high-performance monoclonal antibodies designed to support a wide range of research needs.


1. Validated for Versatile Applications


The antibodies in our catalog are extensively validated and compatible with multiple techniques, including (but not limited to) ELISA, flow cytometry (FC), immunocytochemistry (ICC), immunofluorescence (IF), immunohistochemistry (IHC), immunoprecipitation (IP), and western blotting (WB).


2. Wide Selection & Specialized Options


We offer antibodies for common and rare species, that are available in various conjugated forms, and also in recombinant formats. Essentially, there is almost anything one might need to meet their experimental model’s requirements.


3. High-Quality Proteins


Our proteins meet high purity standards—90% or more as confirmed by SDS-PAGE. Many are available with tags like His, Flag, GST, or MBP, and we also supply native and biologically active proteins for functional studies.


Frequently Asked Questions


1. Are your monoclonal antibodies validated for specific applications?


Yes, our antibodies are tested and validated for use in methods such as ELISA, western blot, IHC, flow cytometry, and more. Refer to specific product pages or datasheets for individual product information.


2. How do I choose the right monoclonal antibody for my application?


Review the product details directly for application validation, species reactivity, and target information. You may also contact our support team at any time for help.


3. How quickly can I receive my order?


Most orders are processed and shipped within 1–3 business days, depending on product availability and your shipping location.


Submit a Question

Please complete the form below and a representative will contact you as soon as possible.

Request more Information

Please complete the form below and a representative will contact you as soon as possible.

Request a Manual

Please complete the form below and a representative will contact you as soon as possible.

Request a Quote

Please complete the form below and a representative will contact you as soon as possible.