Loading...

Skip to main content
Call us at +1-800-604-9114 for more information about our products or contact us online Need help? +1-800-604-9114 or contact us

Filters


Clonality

Type

Reactivity

Gene Name

Isotype

Host

Application

Clone

Monoclonal Antibodies

Get accurate results in your research with our Monoclonal Antibodies, which are specially made to target exactly what you require for your research, and will produce consistent, reliable performance in lab tests.


Viewing 6500-6550 of 10000 product results


Interleukin-10, Monoclonal Antibody (Cat# AAA37898)

Full Name
Rat Anti Mouse Interleukin-10
Applications
Immunohistochemistry, Immunoprecipitation, Western Blot
Purity
Boric Acid precipitation.
Pricing

D-Dimer, Monoclonal Antibody (Cat# AAA41073)

Full Name
Anti D-Dimer mouse monoclonal antibody
Gene Names
FGA; Fib2
Reactivity
Homo sapiens (Human)
Applications
Immunohistochemistry, Western Blot
Pricing
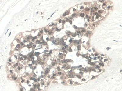
product-image-AAA47099_IHC13.jpg IHC (Immunohiostchemistry) (Immunohistochemical analysis of paraffin-embedded human kidney, using ARRB1 Antibody(AAA47099)ARRB1 was detected in paraffin-embedded tissue section. Heat mediated antigen retrieval was performed in citrate buffer (pH6, epitope retrieval solution) for 20 mins. The tissue section was blocked with 10% goat serum. The tissue section was then incubated with 1ug/ml rabbit anti-ARRB1 Antibody (AAA47099)overnight at 4 degree C. Biotinylated goat anti-rabbit IgG was used as secondary antibody and incubated for 30 minutes at 37 degree C. The tissue section was developed using Strepavidin-Biotin-Complex (SABC) with DAB as the chromogen.)

ARRB1/Beta Arrestin 1, Monoclonal Antibody (Cat# AAA47099)

Full Name
Anti-ARRB1/Beta Arrestin 1 Rabbit Monoclonal Antibody
Gene Names
ARRB1; ARB1; ARR1
Reactivity
Human, Mouse, Rat
Applications
Western Blot, Immunocytochemistry, Immunohistochemistry, Immunofluorescence, Flow Cytometry
Purity
Affinity-chromatography
Pricing
product-image-AAA47118_WB15.jpg WB (Western Blot) (Western blot analysis of TIA1 expression in (1) Jurkat cell lysate; (2) NIH/3T3 cell lysate (AAA47118).Electrophoresis was performed on a 5-20% SDS-PAGE gel at 70V (Stacking gel) / 90V (Resolving gel) for 2-3 hours. The sample well of each lane was loaded with 50ug of sample under reducing conditions.After Electrophoresis, proteins were transferred to a Nitrocellulose membrane at 150mA for 50-90 minutes. Blocked the membrane with 5% Non-fat Milk/ TBS for 1.5 hour at RT. The membrane was incubated with rabbit anti-TIA1 monoclonal antibody overnight at 4°C, then washed with TBS-0.1%Tween 3 times with 5 minutes each and probed with a goat anti-rabbit IgG-HRP secondary antibody at a dilution of 1:10000 for 1.5 hour at RT. The signal is developed using an Enhanced Chemiluminescent detection (ECL) kit with Tanon 5200 system. A specific band was detected for TIA1)

TIA1, Monoclonal Antibody (Cat# AAA47118)

Full Name
Anti-TIA1 Rabbit Monoclonal Antibody
Gene Names
TIA1; WDM; TIA-1
Reactivity
Human, Mouse
Applications
Western Blot, Immunocytochemistry, Immunohistochemistry, Immunofluorescence, Immunoprecipitation
Purity
Affinity-chromatography
Pricing
product-image-AAA47449_FCM13.jpg FCM/FACS (Flow Cytometry) (Figure 1. ELISA plate pre-coated by 1 ug/ml (100 ul/well) Human IL-17RA protein, His tagged protein PME100468 can bind Rabbit anti-IL-17RA monoclonal antibody  (clone: DM126) in a linear range of 0. 3-15 ng/ml.)

IL-17RA, Monoclonal Antibody (Cat# AAA47449)

Full Name
Anti-IL-17RA antibody (DM126), Rabbit mAb
Gene Names
IL17RA; CD217; IL17R; CANDF5; CDw217; IL-17RA; hIL-17R
Reactivity
Human
Applications
Flow Cytometry
Purity
Purified from cell culture supernatant by affinity chromatography
Pricing
product-image-AAA49230_AD10.gif Application Data (Staining of human peripheral blood lymphocytes with Mouse anti Human CD48)

CD48, Monoclonal Antibody (Cat# AAA49230)

Full Name
MOUSE ANTI HUMAN CD48
Gene Names
CD48; BCM1; BLAST; hCD48; mCD48; BLAST1; SLAMF2; MEM-102
Applications
Western Blot, Immunohistochemistry, Immunofluorescence, Flow Cytometry, Immunohistochemistry
Pricing
product-image-AAA49259_AD13.gif Application Data (Staining of mouse spleen cells with Hamster anti Mouse TCR Alpha/Beta:FITC)

TCR ALPHA/BETA, Monoclonal Antibody (Cat# AAA49259)

Full Name
HAMSTER ANTI MOUSE TCR ALPHA/BETA BETA CHAIN
Applications
Immunoprecipitation, Flow Cytometry
Pricing

AGXT, Monoclonal Antibody (Cat# AAA48977)

Full Name
Human AGXT antibody
Gene Names
AGXT; AGT; PH1; SPT; AGT1; SPAT; TLH6; AGXT1
Reactivity
Human
Applications
Flow Cytometry, Immunofluorescence, Immunocytochemistry, Western Blot
Purity
By protein-A affinity chromatography
Pricing
product-image-AAA49041_AD11.gif Application Data (Peripheral Human Granulocytes stained with Mouse anti Human CD45RB:APC)

CD45RB, Monoclonal Antibody (Cat# AAA49041)

Full Name
MOUSE ANTI HUMAN CD45RB:FITC
Gene Names
PTPRC; LCA; LY5; B220; CD45; L-CA; T200; CD45R; GP180
Applications
Flow Cytometry
Pricing
product-image-AAA104087_FCM11.png FCM/FACS (Flow Cytometry) (Flow Cytometry analysis using Mouse Anti-Methylglyoxal Monoclonal Antibody, Clone 9E7. Tissue: Neuroblastoma cells (SH-SY5Y). Species: Human. Fixation: 90% Methanol. Primary Antibody: Mouse Anti-Methylglyoxal Monoclonal Antibody at 1:50 for 30 min on ice. Secondary Antibody: Goat Anti-Mouse: PE at 1:100 for 20 min at RT. Isotype Control: Non Specific IgG. Cells were subject to oxidative stress by treating with 250 uM H2O2 for 24 hours.)

Methylglyoxal, Monoclonal Antibody (Cat# AAA104087)

Full Name
Methylglyoxal Antibody, Clone 9E7: ATTO 488
Reactivity
Species Independent
Applications
Flow Cytometry, Immunofluorescence, Immunocytochemistry, Western Blot
Purity
Protein G Purified
Pricing
product-image-AAA104133_WB11.png WB (Western Blot) (Western Blot analysis of Mouse, Rat Brain showing detection of 14 kDa Alpha Synuclein protein using Mouse Anti-Alpha Synuclein Monoclonal Antibody, Clone 3C11. Lane 1: Molecular Weight Ladder (MW). Lane 2: Mouse brain cell lysate. Lane 3: Rat brain cell lysate. Load: 15 ug. Block: 5% Skim Milk in 1X TBST. Primary Antibody: Mouse Anti-Alpha Synuclein Monoclonal Antibody at 1:1000 for 2 hours at RT. Secondary Antibody: Goat Anti-Mouse HRP:IgG at 1:3000 for 1 hour at RT. Color Development: ECL solution (Super Signal West Pico) for 5 min in RT. Predicted/Observed Size: 14 kDa. Other Band(s): ~30 kDa (dimer).)

Alpha Synuclein, Monoclonal Antibody (Cat# AAA104133)

Full Name
Alpha Synuclein Antibody, Clone 3C11: Biotin
Gene Names
SNCA; PD1; NACP; PARK1; PARK4
Reactivity
Human; Mouse; Rat
Applications
Immunofluorescence, Immunocytochemistry, Dot Blot, Western Blot
Purity
Protein G Purified
Pricing
product-image-AAA47008_WB13.jpg WB (Western Blot) (Western blot analysis of GRP78 BiP expression in (1) LnCaP cell lysate;(2) HepG2 cell lysate (AAA47008).Electrophoresis was performed on a 5-20% SDS-PAGE gel at 70V (Stacking gel) / 90V (Resolving gel) for 2-3 hours. The sample well of each lane was loaded with 50ug of sample under reducing conditions.After Electrophoresis, proteins were transferred to a Nitrocellulose membrane at 150mA for 50-90 minutes. Blocked the membrane with 5% Non-fat Milk/ TBS for 1.5 hour at RT. The membrane was incubated with rabbit anti-HSPA5 monoclonal antibody overnight at 4 degree C, then washed with TBS-0.1%Tween 3 times with 5 minutes each and probed with a goat anti-rabbit IgG-HRP secondary antibody at a dilution of 1:10000 for 1.5 hour at RT. The signal is developed using an Enhanced Chemiluminescent detection (ECL) kit with Tanon 5200 system. A specific band was detected for HSPA5)

GRP78 BiP, Monoclonal Antibody (Cat# AAA47008)

Full Name
Anti-GRP78 BiP Rabbit Monoclonal Antibody
Gene Names
HSPA5; BIP; MIF2; GRP78; HEL-S-89n
Reactivity
Human, Mouse, Rat
Applications
Western Blot, Immunocytochemistry, Immunohistochemistry, Immunofluorescence
Purity
Affinity-chromatography
Pricing
product-image-AAA47013_WB13.jpg WB (Western Blot) (Western blot analysis of p16 Arc expression in (1)HeLa cell lysate; (2)HepG2 cell lysate (AAA47013).Electrophoresis was performed on a 5-20% SDS-PAGE gel at 70V (Stacking gel) / 90V (Resolving gel) for 2-3 hours. The sample well of each lane was loaded with 50ug of sample under reducing conditions.After Electrophoresis, proteins were transferred to a Nitrocellulose membrane at 150mA for 50-90 minutes. Blocked the membrane with 5% Non-fat Milk/ TBS for 1.5 hour at RT. The membrane was incubated with rabbit anti-PRKAA1 monoclonal antibody overnight at 4 degree C, then washed with TBS-0.1%Tween 3 times with 5 minutes each and probed with a goat anti-rabbit IgG-HRP secondary antibody at a dilution of 1:10000 for 1.5 hour at RT. The signal is developed using an Enhanced Chemiluminescent detection (ECL) kit with Tanon 5200 system. A specific band was detected for PRKAA1)

AMPK alpha 1, Monoclonal Antibody (Cat# AAA47013)

Full Name
Anti-AMPK alpha 1 Rabbit Monoclonal Antibody
Gene Names
PRKAA1; AMPK; AMPKa1
Reactivity
Human, Mouse, Rat
Applications
Western Blot, Immunocytochemistry, Immunohistochemistry, Immunofluorescence, Immunoprecipitation, Flow Cytometry
Purity
Affinity-chromatography
Pricing
product-image-AAA103902_WB13.png WB (Western Blot) (Western Blot analysis of Mouse Whole kidney homogenates showing detection of ~87kDa ENaC beta protein using Mouse Anti-ENaC beta Monoclonal Antibody, Clone 7B8. Lane 1: Molecular Weight Ladder (MW). Lane 2: Low-salt diet. Lane 3: Normal-salt diet. Load: 20 ug. Primary Antibody: Mouse Anti-ENaC beta Monoclonal Antibody at 1:1000. Predicted/Observed Size: ~87kDa.)

ENaC beta, Monoclonal Antibody (Cat# AAA103902)

Full Name
ENaC beta Antibody, Clone 7B8: HRP
Gene Names
Scnn1b; RNENACB
Reactivity
Mouse
Applications
Immunohistochemistry, Western Blot
Purity
Protein G Purified
Pricing
product-image-AAA102945_WB10.png WB (Western Blot) (Western Blot analysis of Mouse Ventricle lysates showing detection of CaMKII protein using Mouse Anti-CaMKII Monoclonal Antibody, Clone 22B1. Primary Antibody: Mouse Anti-CaMKII Monoclonal Antibody at 1:1000. Analysis of CaMKII and NFAT phosphorylation in ventricles of 14 day old mice over-expressing CaMK.)

CaMKII, Monoclonal Antibody (Cat# AAA102945)

Full Name
CaMKII Antibody: Biotin
Gene Names
Camk2a; PKCCD; PK2CDD
Reactivity
Rat, Human
Applications
Western Blot, Immunoprecipitation, Immunofluorescence
Pricing
product-image-AAA102966_ICC11.png ICC (Immunocytochemistry) (Immunocytochemistry/Immunofluorescence analysis using Mouse Anti-TrpC7 Monoclonal Antibody, Clone S64A-36. Tissue: HaCaT cells. Species: Human. Fixation: Cold 100% methanol for 10 minutes at -20 degree C. Primary Antibody: Mouse Anti-TrpC7 Monoclonal Antibody at 1:100 for 1 hour at RT. Secondary Antibody: FITC Goat Anti-Mouse (green) at 1:50 for 1 hour at RT. Localization: Nuclear staining .)

TrpC7, Monoclonal Antibody (Cat# AAA102966)

Full Name
TrpC7 Antibody: RPE
Gene Names
TRPC7; TRP7
Reactivity
Human, Mouse, Rat
Applications
Immunofluorescence, Immunohistochemistry, Immunoprecipitation, Western Blot
Pricing
product-image-AAA102707_WB11.jpg WB (Western Blot) (U-937 cells were subjected to SDS PAGE followed by western blot with AAA102707 (BCL2 Antibody) at dilution of 1:6000)

BCL2, Monoclonal Antibody (Cat# AAA102707)

Full Name
BCL2 Mouse Monoclonal
Gene Names
bcl2a; bcl2
Reactivity
Human
Applications
Immunohistochemistry, Immunoprecipitation, Flow Cytometry, Western Blot
Purity
>=95% as determined by SDS-PAGE
Protein A+G purification
Pricing
product-image-AAA48295_WB13.jpg WB (Western Blot) (The cell lysate (40ug) was resolved by SDS-PAGE, transferred to PVDF membrane and probed with anti-human EGFR antibody (1:1000). Proteins were visualized using a goat anti-mouse secondary antibody conjugated to HRP and an ECL detection system.;;Lane 1.: A431 cell lysate;;)

EGFR, Monoclonal Antibody (Cat# AAA48295)

Full Name
EGFR
Gene Names
EGFR; ERBB; HER1; mENA; ERBB1; PIG61; NISBD2
Reactivity
Human
Applications
Immunofluorescence, Immunocytochemistry, Western Blot
Purity
By protein-A affinity chromatography
Pricing
product-image-AAA108054_WB13.jpg WB (Western Blot) (Western Blot analysis of HEK293T cell lysates (5 ug) transfected with either recombinant NUCB1 protein (Right) or empty vector (Left) detected with NUCB1 antibody)

NUCB1, Monoclonal Antibody (Cat# AAA108054)

Full Name
NUCB1 antibody
Applications
Western Blot, Immunofluorescence
Purity
NUCB1 antibody was purified by affinity chromatography.
Pricing
product-image-AAA106374_IF11.jpg IF (Immunofluorescence) (Immunofluorescence analysis of K562 cells using anti-CD247 antibody (green). Blue: DRAQ5 fluorescent DNA dye.)

CD247, Monoclonal Antibody (Cat# AAA106374)

Full Name
CD247 antibody
Gene Names
CD247; T3Z; CD3H; CD3Q; CD3Z; TCRZ; IMD25; CD3-ZETA
Applications
Western Blot, Immunofluorescence, Flow Cytometry
Pricing
product-image-AAA106376_WB15.jpg WB (Western Blot) (Western Blot analysis using DYKDDDDK antibodyWestern Blot showing DYKDDDDK antibody used against two different fusion protein (1), (2) with DYKDDDDK tag.)

DYKDDDDK, Monoclonal Antibody (Cat# AAA106376)

Full Name
DYKDDDDK antibody
Applications
Flow Cytometry, Immunocytochemistry, Immunohistochemistry, Western Blot
Pricing
product-image-AAA106466_IF13.jpg IF (Immunofluorescence) (Immunofluorescent staining of COS7 cells transiently transfected with recombinant C16orf72 protein using C16orf72 antibody)

C16orf72, Monoclonal Antibody (Cat# AAA106466)

Full Name
C16orf72 antibody
Gene Names
C16orf72; PRO0149
Applications
Western Blot, Immunofluorescence, Flow Cytometry
Purity
C16orf72 antibody was purified by affinity chromatography.
Pricing
product-image-AAA106505_IF11.jpg IF (Immunofluorescence) (Immunofluorescent staining of COS7 cells transiently transfected with recombinant BDH2 protein using BDH2 antibody)

BDH2, Monoclonal Antibody (Cat# AAA106505)

Full Name
BDH2 antibody
Gene Names
BDH2; DHRS6; EFA6R; SDR15C1; UCPA-OR; UNQ6308; PRO20933
Applications
Immunohistochemistry, Immunofluorescence, Flow Cytometry
Purity
BDH2 antibody was purified by affinity chromatography.
Pricing
product-image-AAA214829_AD11.jpg Application Data (Analysis of Protein Array containing more than 19,000 full-length human proteins using Mouse Vinculin Monoclonal Antibody (VCL/2573). Z- and S- Score: The Z-score represents the strength of a signal that a monoclonal antibody (MAb) (in combination with a fluorescently-tagged anti-IgG secondary antibody) produces when binding to a particular protein on the HuProtTM array. Z-scores are described in units of standard deviations (SD's) above the mean value of all signals generated on that array. If targets on HuProtTM are arranged in descending order of the Z-score, the S-score is the difference (also in units of SD's) between the Z-score. S-score therefore represents the relative target specificity of a MAb to its intended target. A MAb is considered to specific to its intended target, if the MAb has an S-score of at least 2.5. For example, if a MAb binds to protein X with a Z-score of 43 and to protein Y with a Z-score of 14, then the S-score for the binding of that MAb to protein X is equal to 29.)

Vinculin, Monoclonal Antibody (Cat# AAA214829)

Full Name
Vinculin (Marker of Age-related Macular Degeneration)
Gene Names
VCL; MV; MVCL; CMD1W; CMH15; HEL114
Reactivity
Human. Others not known.
Applications
Immunohistochemistry
Purity
Purified Ab with BSA and Azide at 200ug/ml OR Purified Ab WITHOUT BSA and Azide at 1.0mg/ml
Pricing
product-image-AAA215139_WB11.jpg WB (Western Blot) (Western Blot Analysis of human Ramos, HEK293, K562, Jurkat, HepG2, using Prohibitin Mouse Monoclonal Antibody (PHB/1881).)

Prohibitin, Monoclonal Antibody (Cat# AAA215139)

Full Name
Prohibitin (Mitochondrial Marker)
Gene Names
PHB; PHB1; HEL-215; HEL-S-54e
Reactivity
Human
Applications
Immunohistochemistry, Western Blot
Purity
Purified Ab with BSA and Azide at 200ug/ml OR Purified Ab WITHOUT BSA and Azide at 1.0mg/ml
Pricing
product-image-AAA214844_SDS_PAGE13.jpg SDS-PAGE (SDS-PAGE Analysis Purified BCL10 Recombinant Rabbit Monoclonal Antibody (BL10/2988R). Confirmation of Purity and Integrity of Antibody.)

BCL10, Monoclonal Antibody (Cat# AAA214844)

Full Name
BCL10 (MALT-Lymphoma Marker)
Gene Names
BCL10; CLAP; mE10; CIPER; IMD37; c-E10; CARMEN
Reactivity
Human. Others not known.
Applications
Immunohistochemistry
Purity
Purified Ab with BSA and Azide at 200ug/ml OR Purified Ab WITHOUT BSA and Azide at 1.0mg/ml
Pricing
product-image-AAA215927_SDS_PAGE15.jpg SDS-PAGE (SDS-PAGE Analysis Purified Superoxide Dismutase 1 Mouse Monoclonal Antibody (SOD1/3923). Confirmation of Integrity and Purity of Antibody.)

Superoxide Dismutase 1 (SOD1), Monoclonal Antibody (Cat# AAA215927)

Full Name
Superoxide Dismutase 1 (SOD1) (Antioxidant Enzyme) Mouse Monoclonal Antibody [Clone SOD1/3923]
Gene Names
SOD1; ALS; SOD; ALS1; IPOA; hSod1; HEL-S-44; homodimer
Reactivity
Human
Applications
Immunohistochemistry, Immunofluorescence, Flow Cytometry
Pricing
product-image-AAA310999_ICC10.jpg ICC (Immunocytochemistry) (ICC staining Phospho-EGFR (Y1092) in BT-20 cells (green). The nuclear counter stain is DAPI (blue). Cells were fixed in paraformaldehyde, permeabilised with 0.25% Triton X100/PBS.)

EGFR, Monoclonal Antibody (Cat# AAA310999)

Full Name
EGFR (Phospho-Y1092) Antibody
Gene Names
EGFR; ERBB; HER1; mENA; ERBB1; PIG61
Reactivity
Human, Mouse
Applications
Immunohistochemistry, Immunofluorescence, Immunocytochemistry, Western Blot
Purity
ProA affinity purified
Pricing
product-image-AAA309506_IHC11.jpg IHC (Immunohistochemisry) (Immunohistochemical analysis of paraffin-embedded Human Breast Carcinoma Tissue using Gamma Tubulin Mouse mAb diluted at 1:200.)

Gamma Tubulin, Monoclonal Antibody (Cat# AAA309506)

Full Name
Gamma Tubulin Mouse Monoclonal Antibody(6C12)
Reactivity
Human, Rat, Mouse
Applications
Immunohistochemistry, Western Blot
Pricing
product-image-AAA309449_IHC13.jpg IHC (Immunohiostchemistry) (Immunohistochemical analysis of paraffin-embedded Human Breast Caricnoma using c-FosMouse mAb diluted at 1:200.)

c-Fos, Monoclonal Antibody (Cat# AAA309449)

Full Name
c-Fos Monoclonal antibody(6A3)
Gene Names
FOS; p55; AP-1; C-FOS
Reactivity
Human, Rat, Mouse
Applications
Immunohistochemistry, Western Blot
Pricing
product-image-AAA311880_IHC13.jpg IHC (Immunohiostchemistry) (Immunohistochemical analysis of paraffin- embedded gastric cancer tissue using anti-GOLGA5 Mouse mAb.)

Golgin Subfamily A Member 5, Monoclonal Antibody (Cat# AAA311880)

Full Name
Golgin Subfamily A Member 5 Antibody
Gene Names
GOLGA5; RFG5; GOLIM5; ret-II
Reactivity
Human
Applications
Immunohistochemistry, Western Blot
Purity
ProA affinity purified
Pricing
product-image-AAA144662_IHC13.jpg IHC (Immunohiostchemistry) (DAB staining on IHC-P; Samples: Human Liver Tissue.)

Stromal Cell Derived Factor 1, Monoclonal Antibody (Cat# AAA144662)

Full Name
Stromal Cell Derived Factor 1 (SDF1) Monoclonal Antibody
Gene Names
CXCL12; IRH; PBSF; SDF1; TLSF; TPAR1; SCYB12
Reactivity
Human
Applications
Immunoprecipitation, Immunocytochemistry, Immunohistochemistry, Western Blot
Purity
Protein A + Protein G affinity chromatography
Pricing
product-image-AAA146494_IHC10.jpg IHC (Immunohistochemistry) (DAB staining on IHC-P; Samples: Human Pancreatic cancer Tissue))

Complement Component 5a (C5a), Monoclonal Antibody (Cat# AAA146494)

Full Name
Monoclonal Antibody to Complement Component 5a (C5a)
Gene Names
C5; C5D; C5a; C5b; ECLZB; CPAMD4
Reactivity
Human, Rat
Applications
Immunoprecipitation, Immunocytochemistry, Immunohistochemistry, Western Blot
Purity
Protein A + Protein G affinity chromatography
Pricing
product-image-AAA150786_WB13.jpg WB (Western Blot) (Western Blot; Sample: Human HT1080 cell lysate; Primary Ab: 2ug/mL Mouse Anti-Human S100 Antibody Second Ab: 0.2ug/mL HRP-Linked Caprine Anti-Mouse IgG Polyclonal Antibody)

Calcium Binding Protein (S100), Monoclonal Antibody (Cat# AAA150786)

Full Name
HRP-Linked Monoclonal Antibody to S100 Calcium Binding Protein (S100)
Gene Names
S100A1; S100; S100A; S100-alpha
Reactivity
Human, Pig
Applications
Immunoprecipitation, Immunocytochemistry, Immunohistochemistry, Western Blot
Purity
Protein A + Protein G affinity chromatography
Pricing
product-image-AAA213673_WB11.jpg WB (Western Blot) (Detection of human Interferon alpha/beta receptor 1 by western blot. Samples: Whole cell lysate (50 ug) from HeLa, HEK293T, RPMI-8226, Jurkat, and My-La CD4+ cells prepared using NETN lysis buffer. Antibody: Rabbit anti-Interferon alpha/beta receptor 1 recombinant monoclonal antibody (AAA213673 lot 1) used at 1:1000. Secondary: HRP-conjugated goat anti-rabbit IgG . Detection: Chemiluminescence with an exposure time of 3 minutes. Lower Panel: Rabbit anti-Actin recombinant monoclonal antibody .)

Interferon alpha/beta receptor 1, Monoclonal Recombinant Antibody (Cat# AAA213673)

Full Name
Rabbit anti-Interferon alpha/beta receptor 1 Recombinant Monoclonal Antibody [BLR265L]
Gene Names
IFNAR1; AVP; IFRC; IFNAR; IFNBR; IFN-alpha-REC
Reactivity
Human
Applications
Flow Cytometry, Immunohistochemistry, Immunoprecipitation, Western Blot
Purity
Purified
Pricing
product-image-AAA151762_WB13.jpg WB (Western Blot) (Western Blot; Sample: Human Serum Primary Ab: 2ug/ml Mouse AntiHuman NRG1 Antibody Second Ab: 0.2ug/mL HRPLinked Caprine AntiMouse IgG Polyclonal Antibody (Catalog: SAA544Mu19))

Neuregulin 1 (NRG1), Monoclonal Antibody (Cat# AAA151762)

Full Name
Monoclonal Antibody to Neuregulin 1 (NRG1)
Gene Names
NRG1; GGF; HGL; HRG; NDF; ARIA; GGF2; HRG1; HRGA; SMDF; MST131
Reactivity
Human, Pig
Applications
Immunoprecipitation, Immunocytochemistry, Immunohistochemistry, Western Blot
Purity
Protein A + Protein G affinity chromatography
Pricing
product-image-AAA151781_IHC11.jpg IHC (Immunohistochemisry) (DAB staining on IHCP;Sample: Human Cerebrum Tissue; Primary Ab: 40ug/ml Mouse AntiHuman IL29 AntibodySecond Ab: 2ug/mL HRPLinked Caprine AntiMouse IgG Polyclonal Antibody(Catalog: SAA544Mu19))

Interleukin 29 (IL29), Monoclonal Antibody (Cat# AAA151781)

Full Name
Monoclonal Antibody to Interleukin 29 (IL29)
Gene Names
IFNL1; IL29; IL-29
Reactivity
Human, Pig
Applications
Immunoprecipitation, Immunocytochemistry, Immunohistochemistry, Western Blot
Purity
Protein A + Protein G affinity chromatography
Pricing
product-image-AAA151810_IHC13.jpg IHC (Immunohiostchemistry) (DAB staining on IHCP;Sample: Human Liver Tissue; Primary Ab: 20ug/ml Mouse AntiHuman HRG AntibodySecond Ab: 2ug/mL HRPLinked Caprine AntiMouse IgG Polyclonal Antibody(Catalog: SAA544Mu19))

Histidine Rich Glycoprotein (HRG), Monoclonal Antibody (Cat# AAA151810)

Full Name
Monoclonal Antibody to Histidine Rich Glycoprotein (HRG)
Gene Names
HRG; HPRG; HRGP; THPH11
Reactivity
Human, Pig
Applications
Immunoprecipitation, Immunocytochemistry, Immunohistochemistry, Western Blot
Purity
Protein A + Protein G affinity chromatography
Pricing
product-image-AAA312691_FCM10.jpg FCM/FACS (Flow Cytometry) (Flow cytometric analysis of SH-SY-5Y cells with Ndufs4 antibody at 1/100 dilution (purple) compared with an unlabelled control (cells without incubation with primary antibody; yellow). Alexa Fluor 488-conjugated goat anti-rabbit IgG was used as the secondary antibody.)

NDUFS4, Monoclonal Antibody (Cat# AAA312691)

Full Name
NDUFS4 Antibody
Gene Names
NDUFS4; AQDQ; CI-18
Reactivity
Human, Mouse, Rat
Applications
Immunoprecipitation, Flow Cytometry, Immunohistochemistry, Western Blot
Purity
ProA affinity purified
Pricing
product-image-AAA312264_ICC8.jpg ICC (Immunocytochemistry) (ICC staining Asparagine synthetase in SH-SY-5Y cells (green). The nuclear counter stain is DAPI (blue). Cells were fixed in paraformaldehyde, permeabilised with 0.25% Triton X100/PBS.)

Asparagine Synthetase, Monoclonal Antibody (Cat# AAA312264)

Full Name
Asparagine Synthetase Antibody
Gene Names
ASNS; TS11; ASNSD
Reactivity
Human, Mouse, Rat
Applications
Immunohistochemistry, Immunofluorescence, Immunocytochemistry, Western Blot
Purity
ProA affinity purified
Pricing
product-image-AAA312300_IHC10.jpg IHC (Immunohistochemistry) (Immunohistochemical analysis of paraffin-embedded human kidney tissue using anti-CD38 antibody. Counter stained with hematoxylin.)

CD38, Monoclonal Antibody (Cat# AAA312300)

Full Name
CD38 Antibody
Gene Names
CD38; T10; ADPRC 1
Reactivity
Human
Applications
Immunohistochemistry, Western Blot
Purity
ProA affinity purified
Pricing
product-image-AAA312326_ICC10.jpg ICC (Immunocytochemistry) (ICC staining Cdk4 in NIH/3T3 cells (green). The nuclear counter stain is DAPI (blue). Cells were fixed in paraformaldehyde, permeabilised with 0.25% Triton X100/PBS.)

CDK4, Monoclonal Antibody (Cat# AAA312326)

Full Name
CDK4 Antibody
Gene Names
CDK4; CMM3; PSK-J3
Reactivity
Human, Mouse, Rat
Applications
Immunoprecipitation, Immunofluorescence, Immunocytochemistry, Western Blot
Purity
ProA affinity purified
Pricing
product-image-AAA312601_FACS8.jpg FCM/FACS (Flow Cytometry) (Flow cytometric analysis of SH-SY-5Y cells with Protein Kinase D2 antibody at 1/50 dilution (red) compared with an unlabelled control (cells without incubation with primary antibody; black). Alexa Fluor 488-conjugated goat anti rabbit IgG was used as the secondary antibody.)

Protein Kinase D2, Monoclonal Antibody (Cat# AAA312601)

Full Name
Protein Kinase D2 Antibody
Gene Names
PRKD2; PKD2; HSPC187; nPKC-D2
Reactivity
Human, Mouse
Applications
Flow Cytometry, Immunohistochemistry, Immunofluorescence, Immunocytochemistry, Western Blot
Purity
ProA affinity purified
Pricing
product-image-AAA312602_FACS8.jpg FCM/FACS (Flow Cytometry) (Flow cytometric analysis of SH-SY-5Y cells with GABA B Receptor 2 antibody at 1/50 dilution (red) compared with an unlabelled control (cells without incubation with primary antibody; black). Alexa Fluor 488-conjugated goat anti rabbit IgG was used as the secondary antibody.)

GABA B 2, Monoclonal Antibody (Cat# AAA312602)

Full Name
GABA B Receptor 2 Antibody
Gene Names
Gabbr2; Gb2; Gm425; Gpr51; GABABR2
Reactivity
Human, Mouse, Rat
Applications
Immunocytochemistry, Flow Cytometry, Immunohistochemistry, Western Blot
Purity
ProA affinity purified
Pricing
product-image-AAA312626_FCM10.jpg FCM/FACS (Flow Cytometry) (Flow cytometric analysis of HepG2 cells with Biglycan antibody at 1/100 dilution (red) compared with an unlabelled control (cells without incubation with primary antibody; black). Alexa Fluor 488-conjugated goat anti-rabbit IgG was used as the secondary antibody.)

Biglycan, Monoclonal Antibody (Cat# AAA312626)

Full Name
Biglycan Antibody
Gene Names
BGN; PGI; DSPG1; PG-S1; SLRR1A
Reactivity
Human, Mouse
Applications
Immunoprecipitation, Flow Cytometry, Immunohistochemistry, Western Blot
Purity
ProA affinity purified
Pricing
product-image-AAA312071_FACS8.jpg FCM/FACS (Flow Cytometry) (Flow cytometric analysis of Hela cells with LPlunc1 antibody at 1/100 dilution (green) compared with an unlabelled control (cells without incubation with primary antibody; red).)

LPlunc1, Monoclonal Antibody (Cat# AAA312071)

Full Name
LPlunc1 Antibody
Gene Names
BPIFB1; LPLUNC1; C20orf114
Reactivity
Human
Applications
Flow Cytometry, Immunohistochemistry, Immunocytochemistry, Western Blot
Purity
ProA affinity purified
Pricing
product-image-AAA312215_FACS8.jpg FCM/FACS (Flow Cytometry) (Flow cytometric analysis of THP-1 cells with CD31 antibody at 1/50 dilution (blue) compared with an unlabelled control (cells without incubation with primary antibody; red). Alexa Fluor 488-conjugated goat anti rabbit IgG was used as the secondary antibody.)

CD31, Monoclonal Antibody (Cat# AAA312215)

Full Name
CD31 Antibody
Gene Names
PECAM1; CD31; PECA1; GPIIA'; PECAM-1; endoCAM; CD31/EndoCAM
Reactivity
Human
Applications
Flow Cytometry, Immunoprecipitation, Immunohistochemistry, Western Blot
Purity
ProA affinity purified
Pricing
product-image-AAA312246_FCM13.jpg FCM/FACS (Flow Cytometry) (Flow cytometric analysis of MCF-7 cells with Integrin alpha V antibody at 1/50 dilution (red) compared with an unlabelled control (cells without incubation with primary antibody; black). Alexa Fluor 488-conjugated goat anti rabbit IgG was used as the secondary antibody.)

Integrin alpha V, Monoclonal Antibody (Cat# AAA312246)

Full Name
Integrin alpha V Antibody
Gene Names
ITGAV; CD51; MSK8; VNRA; VTNR
Reactivity
Human, Mouse, Rat
Applications
Flow Cytometry, Western Blot
Purity
ProA affinity purified
Pricing
product-image-AAA312146_IHC10.jpg IHC (Immunohistochemistry) (Immunohistochemical analysis of paraffin-embedded mouse stomach tissue using anti-Integrin alpha 6 antibody. Counter stained with hematoxylin.)

Integrin alpha 6, Monoclonal Antibody (Cat# AAA312146)

Full Name
Integrin alpha 6 Antibody
Gene Names
ITGA6; CD49f; VLA-6; ITGA6B
Reactivity
Human, Mouse, Rat
Applications
Immunohistochemistry, Western Blot
Purity
ProA affinity purified
Pricing
product-image-AAA312156_ICC8.jpg ICC (Immunocytochemistry) (ICC staining Hsc70 in NIH/3T3 cells (green). The nuclear counter stain is DAPI (blue). Cells were fixed in paraformaldehyde, permeabilised with 0.25% Triton X100/PBS.)

Hsc70, Monoclonal Antibody (Cat# AAA312156)

Full Name
Hsc70 Antibody
Gene Names
HSPA8; LAP1; HSC54; HSC70; HSC71; HSP71; HSP73; NIP71; HSPA10
Reactivity
Human, Mouse, Rat
Applications
Immunoprecipitation, Immunohistochemistry, Immunofluorescence, Immunocytochemistry, Western Blot
Purity
ProA affinity purified
Pricing

What are Monoclonal Antibodies?


Monoclonal antibodies are specialized laboratory-produced proteins developed for binding to specific biological antigens or other molecular targets. Since they come from a single cell (or clone), they are especially consistent and accurate in the data they are involved in producing.


This type of antibody material has been shown to be a powerful tool in finding and subsequently destroying harmful cells in an organism, such as those found in cancers or various autoimmune diseases. This makes them excellent aids in medical testing and research, which is why they are so widely used.


AAA Biotech offers a comprehensive range of high-quality monoclonal antibodies that perform effectively in various laboratory tests, including (amongst others) ELISA, western blotting, immunohistochemistry, and flow cytometry. All of the products in our catalog are thoroughly quality tested to make sure that they are reliable and will consistently perform well in your research.


What Are The Uses of Monoclonal Antibodies


Monoclonal antibodies are used in many lab tests, including (amongst others) ELISA, western blotting, immunohistochemistry, and flow cytometry.


ELISA is a test that helps detect a specific substance/analyte in a sample. It uses antibodies (often monoclonal) bound to a solid surface (such as the well of a microplate) to “capture” the substance/analyte in the sample and immobilize it so that the detection antibody component can then bind to it and produce a signal, which can then be measured.


Western blotting identifies specific proteins in a sample. The sample is first separated on a gel, and then antibodies are applied that will typically bind to the target, which will all be localized to a single band in a lane.


Immunohistochemistry helps locate specific proteins in cells or tissue samples using antibodies.


Flow cytometry looks at and sorts cells. It uses antibodies that are conjugated to reporter molecules called “fluorophores”, which, under special lights, emit light themselves, which can then be measured by a detector instrument.


How Monoclonal Antibodies Are Used as Medicine?


Please note that all of the products listed in AAA Biotech’s also known as AAA Bio or AAABio catalog are strictly for research-use only (RUO).


Monoclonal antibodies can also be used as therapeutic/medical treatments, particularly in the context of cancers. They are designed to find and bind to specific cells or proteins, helping the immune system recognize and attack the cancer. These treatments work in different ways, such as:


  • Radioimmunotherapy attaches a small amount of radioactive molecule to the antibody, so it delivers the radiation directly to the cancer cells that the antibody is specifically binding to.

  • Antibody-directed enzyme prodrug therapy uses antibodies that are specifically bound to special enzymes. These enzymes activate a harmless drug in the body and turn it into a cancer-killing drug only near the cancer cells—this helps avoid harming healthy cells.

  • Immunoliposomes are tiny “bubbles” filled with medicine/drug and coated with antibodies. They carry the drug straight to the cancer cells.


Why Buy Monoclonal Antibodies From Us?


At AAA Biotech, we provide high-performance monoclonal antibodies designed to support a wide range of research needs.


1. Validated for Versatile Applications


The antibodies in our catalog are extensively validated and compatible with multiple techniques, including (but not limited to) ELISA, flow cytometry (FC), immunocytochemistry (ICC), immunofluorescence (IF), immunohistochemistry (IHC), immunoprecipitation (IP), and western blotting (WB).


2. Wide Selection & Specialized Options


We offer antibodies for common and rare species, that are available in various conjugated forms, and also in recombinant formats. Essentially, there is almost anything one might need to meet their experimental model’s requirements.


3. High-Quality Proteins


Our proteins meet high purity standards—90% or more as confirmed by SDS-PAGE. Many are available with tags like His, Flag, GST, or MBP, and we also supply native and biologically active proteins for functional studies.


Frequently Asked Questions


1. Are your monoclonal antibodies validated for specific applications?


Yes, our antibodies are tested and validated for use in methods such as ELISA, western blot, IHC, flow cytometry, and more. Refer to specific product pages or datasheets for individual product information.


2. How do I choose the right monoclonal antibody for my application?


Review the product details directly for application validation, species reactivity, and target information. You may also contact our support team at any time for help.


3. How quickly can I receive my order?


Most orders are processed and shipped within 1–3 business days, depending on product availability and your shipping location.


Submit a Question

Please complete the form below and a representative will contact you as soon as possible.

Request more Information

Please complete the form below and a representative will contact you as soon as possible.

Request a Manual

Please complete the form below and a representative will contact you as soon as possible.

Request a Quote

Please complete the form below and a representative will contact you as soon as possible.