Loading...

Skip to main content
Call us at +1-800-604-9114 for more information about our products or contact us online Need help? +1-800-604-9114 or contact us

Filters


Clonality

Type

Reactivity

Gene Name

Isotype

Host

Application

Clone

Monoclonal Antibodies

Get accurate results in your research with our Monoclonal Antibodies, which are specially made to target exactly what you require for your research, and will produce consistent, reliable performance in lab tests.


Viewing 8850-8900 of 27647 product results


product-image-AAA49124_AD10.gif Application Data (Staining of human peripheral blood granulocytes with Mouse anti Human Macrophages:RPE . Permeabilised with Leucoperm)

MACROPHAGES/MONOCYTES, Monoclonal Antibody (Cat# AAA49124)

No reviews yet
Full Name
MOUSE ANTI HUMAN MACROPHAGES:FITC
Gene Names
S100A8; P8; MIF; NIF; CAGA; CFAG; CGLA; L1Ag; MRP8; CP-10; MA387; 60B8AG
Applications
Flow Cytometry
Pricing
product-image-AAA104155_ICC11.png ICC (Immunocytochemistry) (Immunocytochemistry/Immunofluorescence analysis using Mouse Anti-Alpha Synuclein Monoclonal Antibody, Clone 3F8. Tissue: Primary hippocampal neurons treated with active Alpha Synuclein Protein Aggregate (SPR-322) at 4 ug/ml to induce fibrils. Species: Rat. Fixation: 4% paraformaldehyde. Primary Antibody: Mouse Anti-Alpha Synuclein Monoclonal Antibody at 1:200 for 24 hours at 4 degree C. Secondary Antibody: Goat Anti-Mouse Alexa Fluor 488 at 1:700 for 1 hour at RT. Counterstain: Guinea Pig Anti-NeuN (red) neuronal marker (Donkey Anti-Guinea Pig Alexa Fluor 647 1:700); DAPI (blue) nuclear stain at 1:6000, 1:3000 for 60 min at RT, 5 min at RT. Magnification: 20X. (A) DAPI (blue) nuclear stain. (B) NeuN neuronal marker (red). (C) Alpha Synuclein Antibody. (D) Composite.)

Alpha Synuclein, Monoclonal Antibody (Cat# AAA104155)

No reviews yet
Full Name
Alpha Synuclein Antibody, Clone 3F8: RPE
Gene Names
Snca; NACP; alphaSYN; alpha-Syn
Reactivity
Human; Mouse; Rat
Applications
Immunofluorescence, Immunocytochemistry, Immunohistochemistry, Dot Blot, Western Blot
Purity
Protein G Purified
Pricing
product-image-AAA104098_FCM11.png FCM/FACS (Flow Cytometry) (Flow Cytometry analysis using Mouse Anti-Methylglyoxal Monoclonal Antibody, Clone 9F11. Tissue: Neuroblastoma cells (SH-SY5Y). Species: Human. Fixation: 90% Methanol. Primary Antibody: Mouse Anti-Methylglyoxal Monoclonal Antibody at 1:50 for 30 min on ice. Secondary Antibody: Goat Anti-Mouse: PE at 1:100 for 20 min at RT. Isotype Control: Non Specific IgG. Cells were subject to oxidative stress by treating with 250 uM H2O2 for 24 hours.)

Methylglyoxal, Monoclonal Antibody (Cat# AAA104098)

No reviews yet
Full Name
Methylglyoxal Antibody, Clone 9F11: Biotin
Reactivity
Species Independent
Applications
Flow Cytometry, Immunofluorescence, Immunocytochemistry, Western Blot
Purity
Protein G Purified
Pricing
product-image-AAA106322_IF13.jpg IF (Immunofluorescence) (Immunofluorescent staining of COS7 cells transiently transfected with recombinant ACO2 protein using ACO2 antibody)

ACO2, Monoclonal Antibody (Cat# AAA106322)

No reviews yet
Full Name
ACO2 antibody
Gene Names
ACO2; ICRD; OCA8; ACONM
Applications
Western Blot, Immunofluorescence, Flow Cytometry
Purity
ACO2 antibody was purified by affinity chromatography.
Pricing
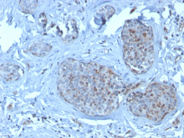
product-image-AAA106366_IHC13.jpg IHC (Immunohiostchemistry) (Immunohistochemical analysis of DSTN protein in paraffin embedded Carcinoma of Human lung tissue using DSTN antibody)

DSTN, Monoclonal Antibody (Cat# AAA106366)

No reviews yet
Full Name
DSTN antibody
Gene Names
DSTN; ADF; ACTDP; HEL32; bA462D18.2
Applications
Western Blot, Immunohistochemistry, Flow Cytometry
Purity
DSTN antibody was purified by affinity chromatography.
Pricing
product-image-AAA106199_IF13.jpg IF (Immunofluorescence) (Immunofluorescent staining of COS7 cells transiently transfected with recombinant DOK2 protein using DOK2 antibody)

DOK2, Monoclonal Antibody (Cat# AAA106199)

No reviews yet
Full Name
DOK2 antibody
Gene Names
DOK2; p56DOK; p56dok-2
Applications
Western Blot, Immunofluorescence, Flow Cytometry
Purity
DOK2 antibody was purified by affinity chromatography.
Pricing
product-image-AAA47428_FCM13.jpg FCM/FACS (Flow Cytometry) (Figure 1. ELISA plate pre-coated by 2 ug/ml (100 ul/well) Human CD30 protein, His tagged protein PME100481 can bind Rabbit anti-CD30 monoclonal antibody  (clone: DM103) in a linear range of 0.12-60 ng/ml.)

CD30, Monoclonal Antibody (Cat# AAA47428)

No reviews yet
Full Name
Anti-CD30 antibody (DM103), Rabbit mAb
Gene Names
TNFRSF8; CD30; Ki-1; D1S166E
Reactivity
Human
Applications
Flow Cytometry
Purity
Purified from cell culture supernatant by affinity chromatography
Pricing

Alpha-1-antichymotrypsin, Monoclonal Antibody (Cat# AAA47631)

No reviews yet
Full Name
Alpha-1-Antichymotrypsin Monoclonal Antibody
Gene Names
SERPINA3; ACT; AACT; GIG24; GIG25; MGC88254
Applications
Immunoassay
Pricing
product-image-AAA102815_WB13.jpg WB (Western Blot) (eGFP-tagged fusion protein were subjected to SDS PAGE followed by western blot with AAA102815 (GFP antibody) at dilution of 1:10000)

GFP tag, Monoclonal Antibody (Cat# AAA102815)

No reviews yet
Full Name
GFP tag Mouse Monoclonal
Applications
Immunoprecipitation, Western Blot
Purity
>=95% as determined by SDS-PAGE
Protein A+G purification
Pricing
product-image-AAA102817_WB13.jpg WB (Western Blot) (HeLa cells were subjected to SDS PAGE followed by western blot with AAA102817 (GOSR2 antibody) at dilution of 1:1000)

GOSR2/Membrin, Monoclonal Antibody (Cat# AAA102817)

No reviews yet
Full Name
GOSR2/Membrin Mouse Monoclonal
Gene Names
GOSR2; Bos1; EPM6; GS27
Reactivity
Human
Applications
Immunohistochemistry, Western Blot
Purity
>=95% as determined by SDS-PAGE
Protein A+G purification
Pricing
product-image-AAA102910_WB13.png WB (Western Blot) (Western Blot analysis of Human Cell lysates showing detection of Hsp90 alpha protein using Mouse Anti-Hsp90 alpha Monoclonal Antibody, Clone K41220A. Load: 15 ug. Block: 1.5% BSA for 30 minutes at RT. Primary Antibody: Mouse Anti-Hsp90 alpha Monoclonal Antibody at 1:1000 for 2 hours at RT. Secondary Antibody: Sheep Anti-Mouse IgG: HRP for 1 hour at RT.)

Hsp90 alpha/beta, Monoclonal Antibody (Cat# AAA102910)

No reviews yet
Full Name
Hsp90 alpha/beta Antibody: ATTO 488
Gene Names
HSP90AB1; HSP84; HSPC2; HSPCB; D6S182; HSP90B
Reactivity
Human, Rat, S. cerevisiae, S. pombe. Limited or no reactivity to mice or P.caudatum
Applications
Immunohistochemistry, Western Blot
Pricing
product-image-AAA102667_WB13.jpg WB (Western Blot) (HeLa cells were subjected to SDS PAGE followed by western blot with AAA102667 (ABCD1 antibody) at dilution of 1:400)

ABCD1, Monoclonal Antibody (Cat# AAA102667)

No reviews yet
Full Name
ABCD1 Mouse Monoclonal
Gene Names
ABCD1; ALD; AMN; ALDP; ABC42
Reactivity
Human
Applications
Immunohistochemistry, Western Blot
Purity
Purification: Protein A+G purification
Purity: > = 95% as determined by SDS-PAGE
Pricing
product-image-AAA108250_WB13.jpg WB (Western Blot) (Western Blot analysis of HEK293T cell lysates (5 ug) transfected with either recombinant PSMB4 protein (Right) or empty vector (Left) detected with PSMB4 antibody)

PSMB4, Monoclonal Antibody (Cat# AAA108250)

No reviews yet
Full Name
PSMB4 antibody
Gene Names
PSMB4; HN3; HsN3; PROS26; PROS-26
Applications
Western Blot, Flow Cytometry
Purity
PSMB4 antibody was purified by affinity chromatography.
Pricing
product-image-AAA107139_WB13.jpg WB (Western Blot) (Western Blot analysis of HEK293T cell lysates (5 ug) transfected with either recombinant ERI1 protein (Right) or empty vector (Left) detected with ERI1 antibody)

ERI1, Monoclonal Antibody (Cat# AAA107139)

No reviews yet
Full Name
ERI1 antibody
Gene Names
eri1; thex1; zgc:110635
Applications
Western Blot, Immunohistochemistry
Purity
ERI1 antibody was purified by affinity chromatography.
Pricing
product-image-AAA107141_IF10.jpg IF (Immunofluorescence) (Immunofluorescent staining of COS7 cells transiently transfected with recombinant IRF6 protein using IRF6 antibody)

IRF6, Monoclonal Antibody (Cat# AAA107141)

No reviews yet
Full Name
IRF6 antibody
Gene Names
IRF6; LPS; PIT; PPS; VWS; OFC6; PPS1; VWS1
Reactivity
Reacts with Human
Applications
Flow Cytometry, Immunofluorescence, Immunohistochemistry, Western Blot
Purity
IRF6 antibody was purified by affinity chromatography.
Pricing
product-image-AAA106833_IF13.jpg IF (Immunofluorescence) (Immunofluorescent staining of COS7 cells transiently transfected with recombinant LENG1 protein using LENG1 antibody)

LENG1, Monoclonal Antibody (Cat# AAA106833)

No reviews yet
Full Name
LENG1 antibody
Applications
Western Blot, Immunofluorescence, Flow Cytometry
Purity
LENG1 antibody was purified by affinity chromatography.
Pricing
product-image-AAA106617_WB13.jpg WB (Western Blot) (Western Blot analysis of HEK293T cell lysates (5 ug) transfected with either recombinant PDE2A protein (Right) or empty vector (Left) detected with PDE2A antibody)

PDE2A, Monoclonal Antibody (Cat# AAA106617)

No reviews yet
Full Name
PDE2A antibody
Gene Names
PDE2A; PDE2A1; PED2A4; cGSPDE; CGS-PDE
Applications
Western Blot, Flow Cytometry
Purity
PDE2A antibody was purified by affinity chromatography.
Pricing
product-image-AAA106634_IF11.jpg IF (Immunofluorescence) (Immunofluorescent staining of COS7 cells transiently transfected with recombinant PANK2 protein using PANK2 antibody)

PANK2, Monoclonal Antibody (Cat# AAA106634)

No reviews yet
Full Name
PANK2 antibody
Gene Names
PANK2; HSS; HARP; PKAN; NBIA1; C20orf48
Applications
Immunohistochemistry, Immunofluorescence, Flow Cytometry
Purity
PANK2 antibody was purified by affinity chromatography.
Pricing
product-image-AAA106586_IHC11.jpg IHC (Immunohistochemisry) (Immunohistochemical analysis of NLN protein in paraffin embedded Human Kidney tissue using NLN antibody)

NLN, Monoclonal Antibody (Cat# AAA106586)

No reviews yet
Full Name
NLN antibody
Gene Names
NLN; MEP; MOP; AGTBP; EP24.16
Applications
Western Blot, Immunohistochemistry, Flow Cytometry
Purity
NLN antibody was purified by affinity chromatography.
Pricing
product-image-AAA107059_WB13.jpg WB (Western Blot) (Western Blot analysis of HEK293T cell lysates (5 ug) transfected with either recombinant TRIM2 protein (Right) or empty vector (Left) detected with TRIM2 antibody)

TRIM2, Monoclonal Antibody (Cat# AAA107059)

No reviews yet
Full Name
TRIM2 antibody
Gene Names
TRIM2; CMT2R; RNF86
Applications
Western Blot, Flow Cytometry
Purity
TRIM2 antibody was purified by affinity chromatography.
Pricing
product-image-AAA106488_IF11.jpg IF (Immunofluorescence) (Immunofluorescent staining of COS7 cells transiently transfected with recombinant ARHGAP25 protein using ARHGAP25 antibody)

ARHGAP25, Monoclonal Antibody (Cat# AAA106488)

No reviews yet
Full Name
ARHGAP25 antibody
Gene Names
ARHGAP25; KAIA0053; HEL-S-308
Applications
Western Blot, Immunohistochemistry, Immunofluorescence, Flow Cytometry
Purity
ARHGAP25 antibody was purified by affinity chromatography.
Pricing
product-image-AAA48010_IF13.jpg IF (Immunofluorescence) (ICC/IF analysis of PDCP1 in HeLa cells line, stained with DAPI (Blue) for nucleus staining and monoclonal anti-human PDCD1 antibody (1:100) with goat anti-mouse IgG-Alexa fluor 488 conjugate (Green).)

PDCD1, Monoclonal Antibody (Cat# AAA48010)

No reviews yet
Full Name
PDCD1 antibody
Gene Names
PDCD1; PD1; PD-1; CD279; SLEB2; hPD-1; hPD-l; hSLE1
Reactivity
Human
Applications
Flow Cytometry, Immunofluorescence, Immunocytochemistry, Western Blot
Purity
By protein-G affinity chromatography
Pricing
product-image-AAA103198_WB11.png WB (Western Blot) (Western Blot analysis of Rat brain membrane lysate showing detection of SHANK3 protein using Mouse Anti-SHANK3 Monoclonal Antibody, Clone S69-46. Load: 15 ug. Block: 1.5% BSA for 30 minutes at RT. Primary Antibody: Mouse Anti-SHANK3 Monoclonal Antibody at 1:1000 for 2 hours at RT. Secondary Antibody: Sheep Anti-Mouse IgG: HRP for 1 hour at RT.)

SHANK3, Monoclonal Antibody (Cat# AAA103198)

No reviews yet
Full Name
SHANK3 Antibody
Gene Names
Shank3; Prosap2
Reactivity
Mouse, Human, Rat
Applications
Antibody Microarray, Immunoprecipitation, Immunofluorescence, Immunocytochemistry, Immunohistochemistry, Western Blot
Pricing
product-image-AAA103226_WB10.png WB (Western Blot) (Western Blot analysis of Rat brain membrane lysate showing detection of PSD95 protein using Mouse Anti-PSD95 Monoclonal Antibody, Clone 7E3. Primary Antibody: Mouse Anti-PSD95 Monoclonal Antibody at 1:1000.)

PSD95, Monoclonal Antibody (Cat# AAA103226)

No reviews yet
Full Name
PSD95 Antibody: ATTO 390
Gene Names
Dlg4; Dlgh4; PSD95; Sap90
Reactivity
Mouse, Rat, Bovine, Human
Applications
Immunohistochemistry, Immunofluorescence, Western Blot
Pricing
product-image-AAA103231_ICC8.png ICC (Immunocytochemistry) (Immunocytochemistry/Immunofluorescence analysis using Mouse Anti-CaMKII Monoclonal Antibody, Clone 6G9. Tissue: dissociated hippocampal neurons. Species: Mouse. Fixation: Cold 4% paraformaldehyde/0.2% glutaraldehyde in 0.1M sodium phosphate buffer. Primary Antibody: Mouse Anti-CaMKII Monoclonal Antibody at 1:1000 for 12 hours at 4 degree C. Secondary Antibody: FITC Goat Anti-Mouse IgG (green) at 1:50 for 30 minutes at RT. Magnification: 10X. Courtesy of: Mary Kennedy, Caltech.)

CaMKII (alpha-specific), Monoclonal Antibody (Cat# AAA103231)

No reviews yet
Full Name
CaMKII (Alpha-Specific) Antibody: HRP
Gene Names
Camk2a; CaMKII; R74975; mKIAA0968
Reactivity
Mouse, Rat, Bovine, Human
Applications
Radioimmunoassay, Immunohistochemistry, Western Blot, Immunoprecipitation, Immunofluorescence
Pricing
product-image-AAA103415_WB13.png WB (Western Blot) (Western Blot analysis of Rat Brain Membrane showing detection of ~100 kDa GluA1-GluR1 protein using Mouse Anti-GluA1-GluR1 Monoclonal Antibody, Clone S355-1 . Load: 10 ug. Block: 5% milk + TBST. Primary Antibody: Mouse Anti-GluA1-GluR1 Monoclonal Antibody at 1:2000 for 1 hour at RT. Secondary Antibody: Goat Anti-Mouse HRP at 1:200 for 1 hour at RT. Predicted/Observed Size: ~100 kDa.)

GluA1/GluR1 Glutamate Receptor, Monoclonal Antibody (Cat# AAA103415)

No reviews yet
Full Name
GluA1/GluR1 Glutamate Receptor Antibody: RPE
Gene Names
Gria1; GluA1; gluR-A
Reactivity
Rat, Mouse
Applications
Immunohistochemistry, Immunocytochemistry, Western Blot
Pricing
product-image-AAA107289_IF11.jpg IF (Immunofluorescence) (Immunofluorescent staining of COS7 cells transiently transfected with recombinant LIPG protein using LIPG antibody)

LIPG, Monoclonal Antibody (Cat# AAA107289)

No reviews yet
Full Name
LIPG antibody
Gene Names
LIPG; EL; EDL; PRO719
Applications
Western Blot, Immunohistochemistry, Immunofluorescence
Purity
LIPG antibody was purified by affinity chromatography.
Pricing
product-image-AAA107353_IHC11.jpg IHC (Immunohistochemisry) (Immunohistochemical analysis of PDLIM2 protein in paraffin embedded Human tonsil tissue using PDLIM2 antibody)

PDLIM2, Monoclonal Antibody (Cat# AAA107353)

No reviews yet
Full Name
PDLIM2 antibody
Gene Names
PDLIM2; SLIM; MYSTIQUE
Applications
Western Blot, Immunohistochemistry, Immunofluorescence
Purity
PDLIM2 antibody was purified by affinity chromatography.
Pricing
product-image-AAA107482_WB13.jpg WB (Western Blot) (Western Blot analysis of HEK293T cell lysates (5 ug) transfected with either recombinant MOBKL1A protein (Right) or empty vector (Left) detected with MOBKL1A antibody)

MOBKL1A, Monoclonal Antibody (Cat# AAA107482)

No reviews yet
Full Name
MOBKL1A antibody
Gene Names
MOB1B; MATS2; MOB4A; MOBKL1A
Applications
Western Blot, Flow Cytometry
Purity
MOBKL1A antibody was purified by affinity chromatography.
Pricing
product-image-AAA171570_IF11.jpg IF (Immunofluorescence) (Immunofluorescence analysis of Human lung cancer tissue using Transferrin Monoclonal Antibody at dilution of 1:200.)

Transferrin, Monoclonal Antibody (Cat# AAA171570)

No reviews yet
Full Name
Transferrin Monoclonal Antibody
Gene Names
TF; TFQTL1; PRO1557; PRO2086; HEL-S-71p
Reactivity
Human
Applications
Western Blot
Purity
Antigen Affinity Purified
Pricing

Immunoglobulin M (IgM), Monoclonal Antibody (Cat# AAA77434)

No reviews yet
Full Name
Human Immunoglobulin M (IgM) Antibody
Reactivity
No reactivity with Human IgA, IgD, IgE, IgG
Applications
Lateral Flow
Purity
>95%
Pricing

IgM kappa, Monoclonal Isotype Control (Cat# AAA76832)

No reviews yet
Full Name
Mouse IgM kappa-Isotype Control
Reactivity
Murine/Mouse
Purity
Purified Protein
Pricing
product-image-AAA78415_FCM13.jpg FCM/FACS (Flow Cytometry) (Fig-2: Intracellular flow analysis of mTLR9 in mouse splenocytes using 0.5 ug/10^6 cells of mTLR9 antibody (Clone: ABM4D70). Green represents isotype control; red represents anti-mTLR9 antibody. Goat anti-Rat FITC conjugate was used as secondary.)

mTLR9, Monoclonal Antibody (Cat# AAA78415)

No reviews yet
Full Name
Monoclonal Antibody to mTLR9 (Clone: ABM4D70)
Reactivity
Mouse
Applications
Flow Cytometry, Western Blot
Purity
Purified
Protein G Chromatography
Pricing
product-image-AAA78420_FCM13.jpg FCM/FACS (Flow Cytometry) (Figure-2: Cell surface flowcytometric staining of mFR4 (Clone: TH6) in mouse Splenocytes. Mouse Splenocytes were first stained with Anti-mCD3 APC conjugated, mCD3 APC positive cells were gated and further analyzed for mFR4 using 0.5 ug/10^6. Goat anti-Rat PE secondary antibody was used.)

mFolate Receptor 4, Monoclonal Antibody (Cat# AAA78420)

No reviews yet
Full Name
Monoclonal Antibody to mFolate Receptor 4 (Clone: TH6)
Gene Names
Izumo1r; Juno; Folr4; C86255; Folbp3; 0910001L11Rik
Reactivity
Mouse
Applications
Flow Cytometry
Purity
Purified
Protein G Chromatography
Pricing
product-image-AAA78202_IHC13.jpg IHC (Immunohiostchemistry) (Immunohistochemical analysis of RANK  in small cell carcinoma of lungs using RANK antibody (Clone: ABM10D5) at 5 ug/ml.)

RANK (CD265, TNF11aR, ODFR), Monoclonal Antibody (Cat# AAA78202)

No reviews yet
Full Name
RANK (CD265, TNF11aR, ODFR) Monoclonal Antibody
Gene Names
TNFRSF11A; FEO; OFE; ODFR; OSTS; PDB2; RANK; CD265; OPTB7; TRANCER; LOH18CR1
Reactivity
Human (Predicted Reactivity: Mouse
Applications
Immunohistochemistry, Western Blot
Pricing

Toxoplasma Gondii, Monoclonal Antibody (Cat# AAA78065)

No reviews yet
Full Name
Monoclonal mouse anti-Toxoplasma gondii p30 antigen
Applications
Immunofluorescence, Western Blot
Purity
Chromatography on protein G Sepharose
Pricing
product-image-AAA214936_IHC15.jpg IHC (Immunohistochemistry) (Formalin-fixed, paraffin-embedded human Placenta stained with EGFR Mouse Monoclonal Antibody (SPM341).)

EGFR (Epidermal Growth Factor Receptor), Monoclonal Antibody (Cat# AAA214936)

No reviews yet
Full Name
EGFR (Epidermal Growth Factor Receptor)
Gene Names
EGFR; ERBB; HER1; mENA; ERBB1; PIG61; NISBD2
Reactivity
Human
Applications
Immunohistochemistry, Immunofluorescence, Flow Cytometry
Purity
Purified Ab with BSA and Azide at 200ug/ml OR Purified Ab WITHOUT BSA and Azide at 1.0mg/ml
Pricing
product-image-AAA215113_IHC10.jpg IHC (Immunohistochemistry) (Formalin-fixed, paraffin-embedded human prostate carcinoma stained with NRF1 Mouse Monoclonal Antibody (NRF1/2609).)

NRF1, Monoclonal Antibody (Cat# AAA215113)

No reviews yet
Full Name
NRF1
Gene Names
NRF1; ALPHA-PAL
Reactivity
Human
Applications
Immunohistochemistry, Western Blot
Purity
Purified Ab with BSA and Azide at 200ug/ml OR Purified Ab WITHOUT BSA and Azide at 1.0mg/ml
Pricing
product-image-AAA214534_AD10.jpg Application Data (Analysis of Protein Array containing >19, 000 full-length human proteins using Thrombomodulin Recombinant Mouse Monoclonal Antibody (rTHBD/1591) Z- and S- Score: The Z-score represents the strength of a signal that a monoclonal antibody (MAb) (in combination with a fluorescently-tagged anti-IgG secondary antibody) produces when binding to a particular protein on the HuProtTM array. Z-scores are described in units of standard deviations (SD's) above the mean value of all signals generated on that array. If targets on HuProtTM are arranged in descending order of the Z-score, the S-score is the difference (also in units of SD's) between the Z-score. S-score therefore represents the relative target specificity of a MAb to its intended target. A MAb is considered to specific to its intended target, if the MAb has an S-score of at least 2.5. For example, if a MAb binds to protein X with a Z-score of 43 and to protein Y with a Z-score of 14, then the S-score for the binding of that MAb to protein X is equal to 29.)

Thrombomodulin/CD141, Monoclonal Antibody (Cat# AAA214534)

No reviews yet
Full Name
Thrombomodulin/CD141 (Endothelial Cell Marker)
Gene Names
THBD; TM; THRM; AHUS6; BDCA3; CD141; THPH12
Reactivity
Human. Others not known.
Applications
Immunohistochemistry, Western Blot, Immunofluorescence, Flow Cytometry
Pricing
product-image-AAA215639_IHC15.jpg IHC (Immunohistochemistry) (Formalin-fixed, paraffin-embedded human skeletal muscle stained with FABP5 Recombinant Mouse Monoclonal Antibody (rFABP5/6354).)

FABP5, Monoclonal Antibody (Cat# AAA215639)

No reviews yet
Full Name
FABP5 (Marker of Metastatic Potential in Colorectal Cancer) Recombinant Mouse Monoclonal Antibody [Clone rFABP5/6354]
Gene Names
FABP5; EFABP; KFABP; E-FABP; PAFABP; PA-FABP
Reactivity
Human
Applications
Immunohistochemistry, Western Blot
Pricing
product-image-AAA215220_AD10.jpg Application Data (Analysis of Protein Array containing more than 19,000 full-length human proteins using C1QA Mouse Monoclonal Antibody (C1QA/2952)Z- and S- Score: The Z-score represents the strength of a signal that a monoclonal antibody (MAb) (in combination with a fluorescently-tagged anti-IgG secondary antibody) produces when binding to a particular protein on the HuProtTM array. Z-scores are described in units of standard deviations (SD's) above the mean value of all signals generated on that array. If targets on HuProtTM are arranged in descending order of the Z-score, the S-score is the difference (also in units of SD's) between the Z-score. S-score therefore represents the relative target specificity of a MAb to its intended target. A MAb is considered to specific to its intended target, if the MAb has an S-score of at least 2.5. For example, if a MAb binds to protein X with a Z-score of 43 and to protein Y with a Z-score of 14, then the S-score for the binding of that MAb to protein X is equal to 29.)

C1QA/Complement C1q A-Chain, Monoclonal Antibody (Cat# AAA215220)

No reviews yet
Full Name
C1QA/Complement C1q A-Chain
Reactivity
Human
Applications
Immunohistochemistry
Purity
Purified Ab with BSA and Azide at 200ug/ml OR Purified Ab WITHOUT BSA and Azide at 1.0mg/ml
Pricing
product-image-AAA322681_FCM10.jpg FCM/FACS (Flow Cytometry) (Flow cytometric analysis of MCF-7 cells using CEBPA mouse mAb (green) and negative control (red).)

CEBPA, Monoclonal Antibody (Cat# AAA322681)

No reviews yet
Full Name
CEBPA Antibody
Gene Names
CEBPA; CEBP; C/EBP-alpha
Reactivity
Human
Applications
Flow Cytometry, Immunocytochemistry, Immunofluorescence, Immunohistochemistry, Western Blot
Purity
Affinity-Chromatography
Pricing
product-image-AAA243897_IF13.jpg IF (Immunofluorescence) (Immunofluorescence staining of Hela Cells at 1?50, counter-stained with DAPI. The cells were fixed in 4% formaldehyde, permeated by 0.2% TritonX-100, and blocked in 10% normal Goat Serum. The cells were then incubated with the antibody overnight at 4 degree C. Nuclear DNA was labeled in blue with DAPI. The secondary antibody was FITC-conjugated AffiniPure Goat Anti-Rabbit IgG ?H+L?.)

PAK1, Monoclonal Recombinant Antibody (Cat# AAA243897)

No reviews yet
Full Name
PAK1 Antibody
Gene Names
PAK1; PAKalpha
Reactivity
Human, Mouse
Applications
Immunofluorescence, Western Blot
Purity
Affinity-chromatography
Pricing
product-image-AAA248000_WB13.jpg WB (Western Blot) (Myc-tagged fusion protein were subjected to SDS PAGE followed by western blot with AAA248000 (MYC tag antibody) at dilution of 1:10000)

MYC tag, Monoclonal Antibody (Cat# AAA248000)

No reviews yet
Full Name
MYC tag Mouse Monoclonal
Gene Names
MYCT1; MTLC
Reactivity
Recombinant protein, Human
Applications
Immunofluorescence, Immunoprecipitation, Western Blot
Purity
> 95% as determined by SDS-PAGE
Protein A+G purification
Pricing
product-image-AAA311899_ICC13.jpg ICC (Immunocytochemistry) (ICC staining alpha-tubulin in Hela cells (red). Cells were fixed in paraformaldehyde, permeabilised with 0.25% Triton X100/PBS.)

Alpha-Tubulin, Monoclonal Antibody (Cat# AAA311899)

No reviews yet
Full Name
Alpha-Tubulin Antibody
Gene Names
TUBA4A; TUBA1; H2-ALPHA
Reactivity
Human, Mouse, Rat, Zebrafish
Applications
Flow Cytometry, Immunohistochemistry, Immunocytochemistry, Western Blot
Purity
ProA affinity purified
Pricing
product-image-AAA141298_IHC10.jpg IHC (Immunohistochemistry) (DAB staining on IHC-P; Samples: Human Cerebrum Tissue))

VGF Nerve Growth Factor Inducible, Monoclonal Antibody (Cat# AAA141298)

No reviews yet
Full Name
Monoclonal Antibody to VGF Nerve Growth Factor Inducible (VGF)
Gene Names
VGF; SCG7; SgVII
Reactivity
Human, Rat, Pig
Applications
Immunohistochemistry, Immunocytochemistry, Western Blot
Purity
Affinity Chromatography
Pricing
product-image-AAA144646_IHC8.jpg IHC (Immunohistochemistry) (DABstainingonIHC-PSamples:HumanGliomaTissue.)

Ectonucleotide Pyrophosphatase/Phosphodiesterase 2, Monoclonal Antibody (Cat# AAA144646)

No reviews yet
Full Name
Ectonucleotide Pyrophosphatase/Phosphodiesterase 2 (ENPP2) Monoclonal Antibody
Gene Names
ENPP2; ATX; NPP2; ATX-X; PDNP2; LysoPLD; AUTOTAXIN; PD-IALPHA
Reactivity
Human
Applications
Immunohistochemistry, Immunocytochemistry, Western Blot
Purity
Affinity Chromatography
Pricing
product-image-AAA146476_WB13.jpg WB (Western Blot) (Western Blot: Sample: Recombinant IGFBP4, Human.)

Insulin Like Growth Factor Binding Protein 4 (IGFBP4), Monoclonal Antibody (Cat# AAA146476)

No reviews yet
Full Name
Monoclonal Antibody to Insulin Like Growth Factor Binding Protein 4 (IGFBP4)
Gene Names
IGFBP4; BP-4; IBP4; IGFBP-4; HT29-IGFBP
Reactivity
Human, Mouse, Rat
Applications
Immunoprecipitation, Immunocytochemistry, Immunohistochemistry, Western Blot
Purity
Protein A + Protein G affinity chromatography
Pricing
product-image-AAA213694_WB8.jpg WB (Western Blot) (Detection of human E-Selectin/CD62E by western blot. Samples: Whole cell lysate (50 ug) from HUVEC-C cells untreated (-) or treated (+) with 10ng/mL TNFalpha. Antibody: Rabbit anti-E-Selectin/CD62E recombinant monoclonal antibody (AAA213694 lot 1) used at 1:1000. Secondary: HRP-conjugated goat anti-rabbit IgG . Detection: Chemiluminescence with an exposure time of 10 seconds. Lower Panel: Rabbit anti-Actin recombinant monoclonal antibody .)

E-Selectin/CD62E, Monoclonal Recombinant Antibody (Cat# AAA213694)

No reviews yet
Full Name
Rabbit anti-E-Selectin/CD62E Recombinant Monoclonal Antibody [BLR295L]
Gene Names
SELE; ELAM; ESEL; CD62E; ELAM1; LECAM2
Reactivity
Human
Applications
Flow Cytometry, Immunocytochemistry, Immunohistochemistry, Immunoprecipitation, Western Blot
Purity
Purified
Pricing

Syndecan 1 (SDC1), Monoclonal Antibody (Cat# AAA151414)

No reviews yet
Full Name
Biotin Linked Monoclonal Antibody to Syndecan 1 (SDC1)
Gene Names
SDC1; SDC; CD138; SYND1; syndecan
Reactivity
Human, Rat
Applications
Immunofluorescence, Immunocytochemistry, Immunohistochemistry, Western Blot
Purity
Protein A + Protein G affinity chromatography.
Pricing

What are Monoclonal Antibodies?


Monoclonal antibodies are specialized laboratory-produced proteins developed for binding to specific biological antigens or other molecular targets. Since they come from a single cell (or clone), they are especially consistent and accurate in the data they are involved in producing.


This type of antibody material has been shown to be a powerful tool in finding and subsequently destroying harmful cells in an organism, such as those found in cancers or various autoimmune diseases. This makes them excellent aids in medical testing and research, which is why they are so widely used.


AAA Biotech offers a comprehensive range of high-quality monoclonal antibodies that perform effectively in various laboratory tests, including (amongst others) ELISA, western blotting, immunohistochemistry, and flow cytometry. All of the products in our catalog are thoroughly quality tested to make sure that they are reliable and will consistently perform well in your research.


What Are The Uses of Monoclonal Antibodies


Monoclonal antibodies are used in many lab tests, including (amongst others) ELISA, western blotting, immunohistochemistry, and flow cytometry.


ELISA is a test that helps detect a specific substance/analyte in a sample. It uses antibodies (often monoclonal) bound to a solid surface (such as the well of a microplate) to “capture” the substance/analyte in the sample and immobilize it so that the detection antibody component can then bind to it and produce a signal, which can then be measured.


Western blotting identifies specific proteins in a sample. The sample is first separated on a gel, and then antibodies are applied that will typically bind to the target, which will all be localized to a single band in a lane.


Immunohistochemistry helps locate specific proteins in cells or tissue samples using antibodies.


Flow cytometry looks at and sorts cells. It uses antibodies that are conjugated to reporter molecules called “fluorophores”, which, under special lights, emit light themselves, which can then be measured by a detector instrument.


How Monoclonal Antibodies Are Used as Medicine?


Please note that all of the products listed in AAA Biotech’s also known as AAA Bio or AAABio catalog are strictly for research-use only (RUO).


Monoclonal antibodies can also be used as therapeutic/medical treatments, particularly in the context of cancers. They are designed to find and bind to specific cells or proteins, helping the immune system recognize and attack the cancer. These treatments work in different ways, such as:


  • Radioimmunotherapy attaches a small amount of radioactive molecule to the antibody, so it delivers the radiation directly to the cancer cells that the antibody is specifically binding to.

  • Antibody-directed enzyme prodrug therapy uses antibodies that are specifically bound to special enzymes. These enzymes activate a harmless drug in the body and turn it into a cancer-killing drug only near the cancer cells—this helps avoid harming healthy cells.

  • Immunoliposomes are tiny “bubbles” filled with medicine/drug and coated with antibodies. They carry the drug straight to the cancer cells.


Why Buy Monoclonal Antibodies From Us?


At AAA Biotech, we provide high-performance monoclonal antibodies designed to support a wide range of research needs.


1. Validated for Versatile Applications


The antibodies in our catalog are extensively validated and compatible with multiple techniques, including (but not limited to) ELISA, flow cytometry (FC), immunocytochemistry (ICC), immunofluorescence (IF), immunohistochemistry (IHC), immunoprecipitation (IP), and western blotting (WB).


2. Wide Selection & Specialized Options


We offer antibodies for common and rare species, that are available in various conjugated forms, and also in recombinant formats. Essentially, there is almost anything one might need to meet their experimental model’s requirements.


3. High-Quality Proteins


Our proteins meet high purity standards—90% or more as confirmed by SDS-PAGE. Many are available with tags like His, Flag, GST, or MBP, and we also supply native and biologically active proteins for functional studies.


Frequently Asked Questions


1. Are your monoclonal antibodies validated for specific applications?


Yes, our antibodies are tested and validated for use in methods such as ELISA, western blot, IHC, flow cytometry, and more. Refer to specific product pages or datasheets for individual product information.


2. How do I choose the right monoclonal antibody for my application?


Review the product details directly for application validation, species reactivity, and target information. You may also contact our support team at any time for help.


3. How quickly can I receive my order?


Most orders are processed and shipped within 1–3 business days, depending on product availability and your shipping location.


Submit a Question

Please complete the form below and a representative will contact you as soon as possible.

Request more Information

Please complete the form below and a representative will contact you as soon as possible.

Request a Manual

Please complete the form below and a representative will contact you as soon as possible.

Request a Quote

Please complete the form below and a representative will contact you as soon as possible.