Mouse 14-3-3 b/a Monoclonal Antibody | anti-YWHAA antibody
14-3-3 b/a Antibody
Gene Names
YWHAB; HS1; GW128; YWHAA; KCIP-1
Reactivity
Human, Mouse, Rat, Zebrafish
Applications
Immunohistochemistry, Immunocytochemistry, Western Blot
Purity
ProA affinity purified
Synonyms
14-3-3 b/a, Antibody; 14-3-3 b/a Antibody; 14 3 3 alpha antibody; 14 3 3 protein beta/alpha antibody; 14-3-3 protein beta/alpha antibody; 1433B_HUMAN antibody; Brain protein 14 3 3 beta isoform antibody; GW128 antibody; HS 1 antibody; KCIP-1 antibody; KCIP1 antibody; N-terminally processed antibody; Protein 1054 antibody; Protein kinase C inhibitor protein 1 antibody; YWHAA antibody; YWHAB antibody; anti-YWHAA antibody
Host
Mouse
Reactivity
Human, Mouse, Rat, Zebrafish
Clonality
Monoclonal
Clone Number
926
Purity/Purification
ProA affinity purified
Form/Format
1*TBS (pH7.4), 1% BSA, 40% Glycerol. Preservative: 0.05% Sodium Azide.
Applicable Applications for anti-YWHAA antibody
IHC (Immunohistochemistry), ICC (Immunocytochemistry), WB (Western Blot)
Immunogen
Peptide
Conjugation
Unconjugated
Preparation and Storage
Store at -20 degree C.
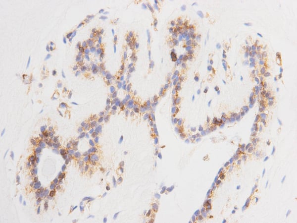
IHC (Immunohiostchemistry)
(Immunohistochemical analysis of paraffin- embedded human breast carcinoma tissue using anti-14-3-3b/a Mouse mAb.)
Related Product Information for anti-YWHAA antibody
The 14-3-3 proteins are a family of proteins involved in the regulation of apoptosis, mitogenic signaling and cell-cycle checkpoints. The 14-3-3 proteins are thought to be key regulators of signal transduction events mediated through their binding to serine-phosphorylated proteins. Through binding Bad, 14-3-3 prevents apoptosis by sequestering Bad to the cytosol. The 14-3-3 proteins are also Adapter protein implicated in the regulation of a large spectrum of both general and specialized signaling pathway. They bind to a large number of partners, usually by recognition of a phosphoserine or phosphothreonine motif. Binding generally results in the modulation of the activity of the binding partner.
Product Categories/Family for anti-YWHAA antibody
NCBI and Uniprot Product Information
NCBI GI #
NCBI GeneID
NCBI Accession #
NCBI GenBank Nucleotide #
Molecular Weight
28,082 Da
NCBI Official Full Name
14-3-3 protein beta/alpha
NCBI Official Synonym Full Names
tyrosine 3-monooxygenase/tryptophan 5-monooxygenase activation protein, beta polypeptide
NCBI Official Symbol
YWHAB
NCBI Official Synonym Symbols
HS1; GW128; YWHAA; KCIP-1
NCBI Protein Information
14-3-3 protein beta/alpha; 14-3-3 alpha; protein 1054; brain protein 14-3-3, beta isoform; protein kinase C inhibitor protein 1; protein kinase C inhibitor protein-1; tyrosine 3-monooxygenase/tryptophan 5-monooxygenase activation protein, alpha polypeptid
UniProt Protein Name
14-3-3 protein beta/alpha
UniProt Gene Name
YWHAB
UniProt Synonym Gene Names
KCIP-1
UniProt Entry Name
1433B_HUMAN
Similar Products
Product Notes
The YWHAA ywhab (Catalog #AAA311877) is an Antibody produced from Mouse and is intended for research purposes only. The product is available for immediate purchase. The 14-3-3 b/an Antibody reacts with Human, Mouse, Rat, Zebrafish and may cross-react with other species as described in the data sheet. AAA Biotech's 14-3-3 b/a can be used in a range of immunoassay formats including, but not limited to, IHC (Immunohistochemistry), ICC (Immunocytochemistry), WB (Western Blot). Researchers should empirically determine the suitability of the YWHAA ywhab for an application not listed in the data sheet. Researchers commonly develop new applications and it is an integral, important part of the investigative research process. It is sometimes possible for the material contained within the vial of "14-3-3 b/a, Monoclonal Antibody" to become dispersed throughout the inside of the vial, particularly around the seal of said vial, during shipment and storage. We always suggest centrifuging these vials to consolidate all of the liquid away from the lid and to the bottom of the vial prior to opening. Please be advised that certain products may require dry ice for shipping and that, if this is the case, an additional dry ice fee may also be required.Precautions
All products in the AAA Biotech catalog are strictly for research-use only, and are absolutely not suitable for use in any sort of medical, therapeutic, prophylactic, in-vivo, or diagnostic capacity. By purchasing a product from AAA Biotech, you are explicitly certifying that said products will be properly tested and used in line with industry standard. AAA Biotech and its authorized distribution partners reserve the right to refuse to fulfill any order if we have any indication that a purchaser may be intending to use a product outside of our accepted criteria.Disclaimer
Though we do strive to guarantee the information represented in this datasheet, AAA Biotech cannot be held responsible for any oversights or imprecisions. AAA Biotech reserves the right to adjust any aspect of this datasheet at any time and without notice. It is the responsibility of the customer to inform AAA Biotech of any product performance issues observed or experienced within 30 days of receipt of said product. To see additional details on this or any of our other policies, please see our Terms & Conditions page.Item has been added to Shopping Cart
If you are ready to order, navigate to Shopping Cart and get ready to checkout.
