Mouse anti-Human ACE2 Monoclonal Antibody | anti-ACE2 antibody
Recombinant Anti-ACE2 Neutralizing Antibody
This antibody is shipped as liquid solution at ambient temperature. Upon receipt, store it immediately at the temperature recommended below.
FCM/FACS (Flow Cytometry)
(Flow cytometric analysis of Human ACE2 expression on ACE2-transfected 293T cells. Cells were stained with purified anti-Human Human ACE2, then a FITC-conjugated second step antibody. The fluorescence histograms were derived from gated events with the forward and side light-scatter characteristics of intact cells.)
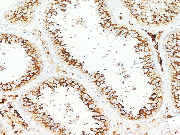
IHC (Immunohistochemistry)
(Immunochemical staining of human ACE2 in human testis with mouse monoclonal antibody in 5 ug/ml, formalin-fixed paraffin embedded sections.)
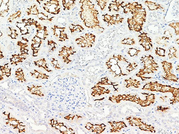
IHC (Immunohistochemisry)
(Immunochemical staining of human ACE2 in human kidney with mouse monoclonal antibody in 5 ug/ml, formalin-fixed paraffin embedded sections.)
ELISA
(Serial dilutions of Anti-ACE2 Neutralizing Antibody was detected by SARS-CoV-2 (2019-nCoV) Inhibitor Screening ELISA Kit. The IC50 is typically 1.06 nM.)
Application Data
(The neutralization activity is Measured by microneutralization assay in vitro. The virus microneutralizaiton (MN) test was performed on 293T-ACE2 cells infected with SARS-CoV-2 (2019-nCoV) Spike Pseudovirus under treatment of serial dilutions of neutralizing antibody. The infection was neutralized by increasing concentrations of Anti-SARS-CoV-2 Neutralizing Antibody. Rate of inhibition was determined by comparing the Relative Light Unit (RLU) of Luciferase reporter in different antibody concentrations. The IC50 is typically 2.031 ug/mL.)
Customer Reviews
Loading reviews...
Share Your Experience
Similar Products
Product Notes
The ACE2 (Catalog #AAA257500) is an Antibody produced from Mouse and is intended for research purposes only. The product is available for immediate purchase. The Recombinant Anti-ACE2 Neutralizing Antibody reacts with Human and may cross-react with other species as described in the data sheet. AAA Biotech's ACE2 can be used in a range of immunoassay formats including, but not limited to, FCM/FACS (Flow Cytometry), IHC (Immunohistochemistry), ELISA. Researchers should empirically determine the suitability of the ACE2 for an application not listed in the data sheet. Researchers commonly develop new applications and it is an integral, important part of the investigative research process. It is sometimes possible for the material contained within the vial of "ACE2, Monoclonal Antibody" to become dispersed throughout the inside of the vial, particularly around the seal of said vial, during shipment and storage. We always suggest centrifuging these vials to consolidate all of the liquid away from the lid and to the bottom of the vial prior to opening. Please be advised that certain products may require dry ice for shipping and that, if this is the case, an additional dry ice fee may also be required.Precautions
All products in the AAA Biotech catalog are strictly for research-use only, and are absolutely not suitable for use in any sort of medical, therapeutic, prophylactic, in-vivo, or diagnostic capacity. By purchasing a product from AAA Biotech, you are explicitly certifying that said products will be properly tested and used in line with industry standard. AAA Biotech and its authorized distribution partners reserve the right to refuse to fulfill any order if we have any indication that a purchaser may be intending to use a product outside of our accepted criteria.Disclaimer
Though we do strive to guarantee the information represented in this datasheet, AAA Biotech cannot be held responsible for any oversights or imprecisions. AAA Biotech reserves the right to adjust any aspect of this datasheet at any time and without notice. It is the responsibility of the customer to inform AAA Biotech of any product performance issues observed or experienced within 30 days of receipt of said product. To see additional details on this or any of our other policies, please see our Terms & Conditions page.Item has been added to Shopping Cart
If you are ready to order, navigate to Shopping Cart and get ready to checkout.
