Rabbit Alkaline Phosphatase/PLAP Monoclonal Antibody | anti-ALPP antibody
Alkaline Phosphatase (Placental)/PLAP (Germ Cell Tumor Marker)
Gene Names
ALPP; ALP; IAP; ALPI; PALP; PLAP; PLAP-1
Reactivity
Human. Others not known.
Applications
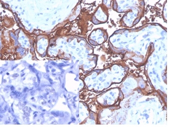
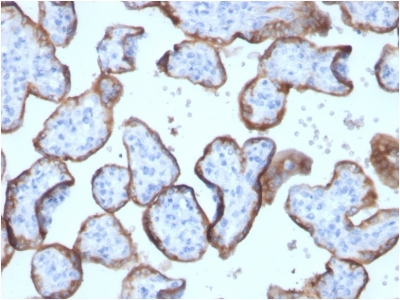
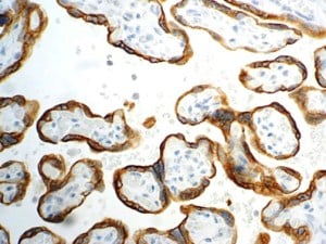
Immunohistochemistry
Purity
Purified Ab with BSA and Azide at 200ug/ml OR Purified Ab WITHOUT BSA and Azide at 1.0mg/ml
Synonyms
Alkaline Phosphatase/PLAP, Antibody; Alkaline Phosphatase (Placental)/PLAP (Germ Cell Tumor Marker); Alkaline phosphatase placental type; Alkaline phosphatase Regan Isozyme; ALP; Alp1; ALPP; Germ-cell alkaline phosphatase; nagao Isozyme; PALP; Placental alkaline phosphatase 1; placental heat-stable alkaline phosphatase; PLAP-1; PLAP1; anti-ALPP antibody
Host
Rabbit
Reactivity
Human. Others not known.
Clonality
Monoclonal
Isotype
IgG
Clone Number
ALPP/2899R
Specificity
Reacts with a 70kDa membrane-bound isozyme (Regan and Nagao type) of Placental Alkaline Phosphatase (PLAP) occurring in the placenta during the 3rd trimester of gestation. It is highly specific for PLAP and shows no cross-reaction with other isozymes of alkaline phosphatase. Anti-PLAP reacts with germ cell tumors and can discriminate between these and other neoplasms. Somatic neoplasms e.g. breast, gastrointestinal, prostatic, and urinary cancers may also immunoreact with antibodies to PLAP. Anti-PLAP positivity in conjunction with anti-keratin negativity favors seminoma over carcinoma. Germ cell tumors are usually anti-keratin positive, but they regularly fail to stain with anti-EMA, whereas most carcinomas stain with anti-EMA. Anti-PLAP has been useful in the gestational trophoblastic disease.
Purity/Purification
Purified Ab with BSA and Azide at 200ug/ml OR Purified Ab WITHOUT BSA and Azide at 1.0mg/ml
Form/Format
200ug/ml of Ab purified from Bioreactor Concentrate by Protein A/G. Prepared in 10mM PBS with 0.05% BSA & 0.05% azide. Also available WITHOUT BSA & azide at 1.0mg/ml.
Sequence Length
535
Applicable Applications for anti-ALPP antibody
IHC (Immunohistochemistry)
Immunogen
Recombinant full-length human ALPP protein
Positive Control
HepG2 Cells. Placenta or seminoma
Cellular Localization
Cytoplasmic and Cell Surface
Chromosome Location
2q37.1
Preparation and Storage
Antibody with azide - store at 2 to 8 degree C.
Antibody without azide - store at -20 to -80 degree C.
Antibody is stable for 24 months. Non-hazardous. No MSDS required.
Antibody without azide - store at -20 to -80 degree C.
Antibody is stable for 24 months. Non-hazardous. No MSDS required.
Related Product Information for anti-ALPP antibody
Recombinant Rabbit Monoclonal Antibody
References
Wick, MR, et al. 1987; Hum Pathol. 18(9):946-54.
NCBI and Uniprot Product Information
NCBI GI #
NCBI GeneID
NCBI Accession #
NCBI GenBank Nucleotide #
Molecular Weight
70kDa
NCBI Official Full Name
alkaline phosphatase, placental type preproprotein
NCBI Official Synonym Full Names
alkaline phosphatase, placental
NCBI Official Symbol
ALPP
NCBI Official Synonym Symbols
ALP; IAP; ALPI; PALP; PLAP; PLAP-1
NCBI Protein Information
alkaline phosphatase, placental type
UniProt Protein Name
Alkaline phosphatase, placental type
UniProt Gene Name
ALPP
UniProt Synonym Gene Names
PLAP; PLAP-1
Customer Reviews
Loading reviews...
Share Your Experience
Similar Products
Product Notes
The ALPP alpp (Catalog #AAA214744) is an Antibody produced from Rabbit and is intended for research purposes only. The product is available for immediate purchase. The Alkaline Phosphatase (Placental)/PLAP (Germ Cell Tumor Marker) reacts with Human. Others not known. and may cross-react with other species as described in the data sheet. AAA Biotech's Alkaline Phosphatase/PLAP can be used in a range of immunoassay formats including, but not limited to, IHC (Immunohistochemistry). Researchers should empirically determine the suitability of the ALPP alpp for an application not listed in the data sheet. Researchers commonly develop new applications and it is an integral, important part of the investigative research process. It is sometimes possible for the material contained within the vial of "Alkaline Phosphatase/PLAP, Monoclonal Antibody" to become dispersed throughout the inside of the vial, particularly around the seal of said vial, during shipment and storage. We always suggest centrifuging these vials to consolidate all of the liquid away from the lid and to the bottom of the vial prior to opening. Please be advised that certain products may require dry ice for shipping and that, if this is the case, an additional dry ice fee may also be required.Precautions
All products in the AAA Biotech catalog are strictly for research-use only, and are absolutely not suitable for use in any sort of medical, therapeutic, prophylactic, in-vivo, or diagnostic capacity. By purchasing a product from AAA Biotech, you are explicitly certifying that said products will be properly tested and used in line with industry standard. AAA Biotech and its authorized distribution partners reserve the right to refuse to fulfill any order if we have any indication that a purchaser may be intending to use a product outside of our accepted criteria.Disclaimer
Though we do strive to guarantee the information represented in this datasheet, AAA Biotech cannot be held responsible for any oversights or imprecisions. AAA Biotech reserves the right to adjust any aspect of this datasheet at any time and without notice. It is the responsibility of the customer to inform AAA Biotech of any product performance issues observed or experienced within 30 days of receipt of said product. To see additional details on this or any of our other policies, please see our Terms & Conditions page.Item has been added to Shopping Cart
If you are ready to order, navigate to Shopping Cart and get ready to checkout.
