Mouse ALY/Ref Monoclonal Antibody | anti-ALY/Ref antibody
ALY/Ref Monoclonal Antibody [11G5]
Reactivity
Mouse, Human, Xenopus laevis
Applications
Chromatin Immunoprecipitation, Immunoprecipitation, Immunoprecipitation, Western Blot, ELISA, Immunofluorescence, Immunocytochemistry, Immunohistochemistry, Flow Cytometry, Functional Assay
Purity
Protein A
Synonyms
ALY/Ref, Antibody; ALY/Ref Monoclonal Antibody [11G5]; Ally of AML1 and LEF1 antibody; BEF antibody; bZIP enhancing factor antibody; REF antibody; THO complex 4antibody; THOC 4 antibody; THOC-4 antibody; THOC4 antibody; Transcriptional coactivator antibody; anti-ALY/Ref antibody
Host
Mouse
Reactivity
Mouse, Human, Xenopus laevis
Clonality
Monoclonal
Isotype
IgG1
Clone Number
11G5
Purity/Purification
Protein A
Form/Format
Purified IgG conjugated to Fluorescein using Innova Biosciences Lightning-Link, supplied in Phosphate buffered saline (PBS) containing 0.09% sodium azide
Concentration
1mg/ml (varies by lot)
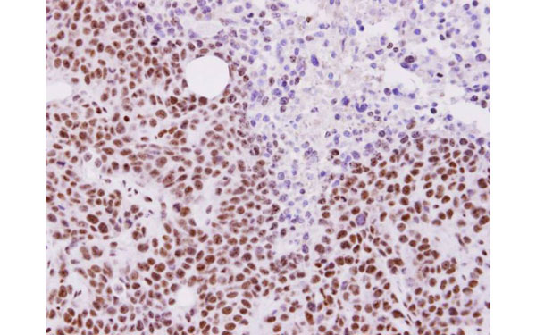
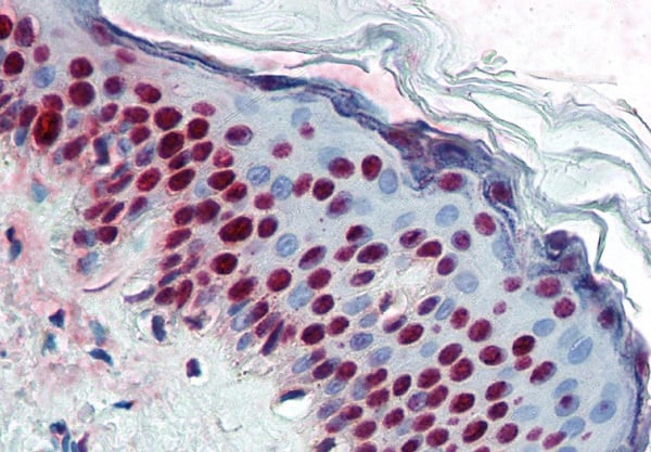
Applicable Applications for anti-ALY/Ref antibody
ChIP (Chromatin Immunoprecipitation), IP (Immunoprecipitation), WB (Western Blot), ELISA, IF (Immunofluorescence), ICC (Immunocytochemistry), IHC (Immunohistochemistry), FCM/FACS (Flow Cytometry)
Immunogen
Full length recombinant human ALY/Ref fusion protein
Target Antigen
ALY/Ref
Myeloma/Fusion Partners
SP2/0
Pubmed ID
32562018, 31036086, 30218090, 29941967, 29196535, 29109432, 24297698, 23637401, 23685434, 22261716, 21329510, 21799930, 20071484, 19165146, 17103222, 17363367, 17938247
Related Product Information for anti-ALY/Ref antibody
The protein encoded by this gene is a heat stable nuclear protein and functions as a molecular chaperone It is thought to regulate dimerization DNA binding and transcriptional activity of basic region-leucine zipper (bZIP) proteins
Customer Reviews
Loading reviews...
Share Your Experience
Similar Products
Product Notes
The ALY/Ref (Catalog #AAA59541) is an Antibody produced from Mouse and is intended for research purposes only. The product is available for immediate purchase. The ALY/Ref Monoclonal Antibody [11G5] reacts with Mouse, Human, Xenopus laevis and may cross-react with other species as described in the data sheet. AAA Biotech's ALY/Ref can be used in a range of immunoassay formats including, but not limited to, ChIP (Chromatin Immunoprecipitation), IP (Immunoprecipitation), WB (Western Blot), ELISA, IF (Immunofluorescence), ICC (Immunocytochemistry), IHC (Immunohistochemistry), FCM/FACS (Flow Cytometry). Researchers should empirically determine the suitability of the ALY/Ref for an application not listed in the data sheet. Researchers commonly develop new applications and it is an integral, important part of the investigative research process. It is sometimes possible for the material contained within the vial of "ALY/Ref, Monoclonal Antibody" to become dispersed throughout the inside of the vial, particularly around the seal of said vial, during shipment and storage. We always suggest centrifuging these vials to consolidate all of the liquid away from the lid and to the bottom of the vial prior to opening. Please be advised that certain products may require dry ice for shipping and that, if this is the case, an additional dry ice fee may also be required.Precautions
All products in the AAA Biotech catalog are strictly for research-use only, and are absolutely not suitable for use in any sort of medical, therapeutic, prophylactic, in-vivo, or diagnostic capacity. By purchasing a product from AAA Biotech, you are explicitly certifying that said products will be properly tested and used in line with industry standard. AAA Biotech and its authorized distribution partners reserve the right to refuse to fulfill any order if we have any indication that a purchaser may be intending to use a product outside of our accepted criteria.Disclaimer
Though we do strive to guarantee the information represented in this datasheet, AAA Biotech cannot be held responsible for any oversights or imprecisions. AAA Biotech reserves the right to adjust any aspect of this datasheet at any time and without notice. It is the responsibility of the customer to inform AAA Biotech of any product performance issues observed or experienced within 30 days of receipt of said product. To see additional details on this or any of our other policies, please see our Terms & Conditions page.Item has been added to Shopping Cart
If you are ready to order, navigate to Shopping Cart and get ready to checkout.
