Mouse Androgen Receptor Monoclonal Antibody | anti-AR antibody
Androgen Receptor (ABT101) Antibody
Gene Names
AR; KD; AIS; TFM; DHTR; SBMA; HYSP1; NR3C4; SMAX1; HUMARA
Reactivity
Human, Mouse, Rat
Applications
ELISA, Immunofluorescence, Western Blot, Immunohistochemistry
Purity
Protein G
Synonyms
Androgen Receptor, Antibody; Androgen Receptor (ABT101) Antibody; AR; AIS?Androgen receptor?AR?AR8?DHTR?Dihydro testosterone receptor?Dihydrotestosterone receptor (DHTR)?HUMARA?HYSP1?KD?NR3C4?Nuclear receptor subfamily 3 group C member 4 (NR3C4)?Nuclear receptor subfamily 3 group C member 4?SBMA?SMAX1?Spinal and bulbar muscular atrophy (SBMA)?Spinal and bulbar muscular atrophy?Testicular Feminization (TFM)?TFM; anti-AR antibody
Host
Mouse
Reactivity
Human, Mouse, Rat
Clonality
Monoclonal
Isotype
Mouse IgG2b, kappa
Clone Number
ABT101
Specificity
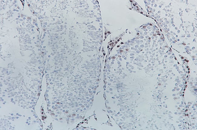
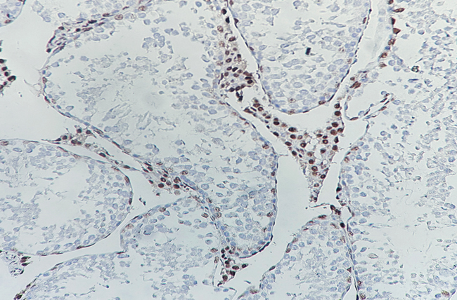
The antibody can specifically recognize human AR protein.
Purity/Purification
Protein G
Form/Format
PBS, 50% glycerol, 0.05% Proclin 300, 0.05%BSA
Applicable Applications for anti-AR antibody
ELISA, IF (Immunofluorescence), WB (Western Blot), IHC (Immunohistochemistry)
Preparation and Storage
Store at -20 degree C/1 year
Product Categories/Family for anti-AR antibody
NCBI and Uniprot Product Information
NCBI GI #
NCBI GeneID
NCBI Accession #
NCBI GenBank Nucleotide #
Molecular Weight
98,989 Da
NCBI Official Full Name
androgen receptor isoform 1
NCBI Official Synonym Full Names
androgen receptor
NCBI Official Symbol
AR
NCBI Official Synonym Symbols
KD; AIS; TFM; DHTR; SBMA; HYSP1; NR3C4; SMAX1; HUMARA
NCBI Protein Information
androgen receptor; dihydrotestosterone receptor; androgen nuclear receptor variant 2; nuclear receptor subfamily 3 group C member 4
UniProt Protein Name
Androgen receptor
UniProt Gene Name
AR
UniProt Synonym Gene Names
DHTR; NR3C4
UniProt Entry Name
ANDR_HUMAN
Customer Reviews
Loading reviews...
Share Your Experience
Similar Products
Product Notes
The AR ar (Catalog #AAA320594) is an Antibody produced from Mouse and is intended for research purposes only. The product is available for immediate purchase. The Androgen Receptor (ABT101) Antibody reacts with Human, Mouse, Rat and may cross-react with other species as described in the data sheet. AAA Biotech's Androgen Receptor can be used in a range of immunoassay formats including, but not limited to, ELISA, IF (Immunofluorescence), WB (Western Blot), IHC (Immunohistochemistry). Researchers should empirically determine the suitability of the AR ar for an application not listed in the data sheet. Researchers commonly develop new applications and it is an integral, important part of the investigative research process. It is sometimes possible for the material contained within the vial of "Androgen Receptor, Monoclonal Antibody" to become dispersed throughout the inside of the vial, particularly around the seal of said vial, during shipment and storage. We always suggest centrifuging these vials to consolidate all of the liquid away from the lid and to the bottom of the vial prior to opening. Please be advised that certain products may require dry ice for shipping and that, if this is the case, an additional dry ice fee may also be required.Precautions
All products in the AAA Biotech catalog are strictly for research-use only, and are absolutely not suitable for use in any sort of medical, therapeutic, prophylactic, in-vivo, or diagnostic capacity. By purchasing a product from AAA Biotech, you are explicitly certifying that said products will be properly tested and used in line with industry standard. AAA Biotech and its authorized distribution partners reserve the right to refuse to fulfill any order if we have any indication that a purchaser may be intending to use a product outside of our accepted criteria.Disclaimer
Though we do strive to guarantee the information represented in this datasheet, AAA Biotech cannot be held responsible for any oversights or imprecisions. AAA Biotech reserves the right to adjust any aspect of this datasheet at any time and without notice. It is the responsibility of the customer to inform AAA Biotech of any product performance issues observed or experienced within 30 days of receipt of said product. To see additional details on this or any of our other policies, please see our Terms & Conditions page.Item has been added to Shopping Cart
If you are ready to order, navigate to Shopping Cart and get ready to checkout.
