Mouse anti-Human ANPEP/CD13 Monoclonal Antibody | anti-ANPEP antibody
ANPEP/CD13 Mouse anti-Human Monoclonal (aa668-967)(2F10) Antibody
IHC (Immunohistochemistry)
(ANPEP/CD13 Antibody-Human Kidney: Formalin-Fixed, Paraffin-Embedded (FFPE))
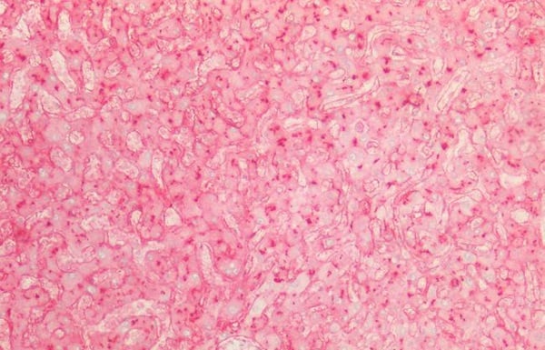
IHC (Immunohistochemisry)
(ANPEP/CD13 Antibody-Human Liver: Formalin-Fixed, Paraffin-Embedded (FFPE))
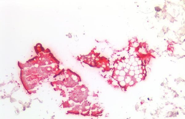
IHC (Immunohiostchemistry)
(ANPEP/CD13 Antibody-Human Small Intestine: Formalin-Fixed, Paraffin-Embedded (FFPE))
WB (Western Blot)
(ANPEP/CD13 Antibody-HEK293T cells were transfected with the pCMV6-ENTRY control (Left lane) or pCMV6-ENTRY ANPEP (Right lane) cDNA for 48 hrs and lysed. Equivalent amounts of cell lysates (5 ug per lane) were separated by SDS-PAGE and immunoblotted with anti-ANPEP (1:2000).)
ANPEP (also known as CD13, AAP, AP-N, LAP1, and P150) is a broad specificity alanyl aminopeptidase involved in the final digestion of peptides generated from hydrolysis of proteins by gastric and pancreatic proteases. It is thought to function in the metabolism of regulatory peptides of diverse cell types, responsible for the processing of peptide hormones (angiotensin III and IV), neuropeptides, and chemokines. It is thought to play an important role in the pathogenesis of cholesterol gallstone disease. ANPEP also cleaves antigen peptides bound to major histocompatibility complex class II molecules of presenting cells and serves to degrade neurotransmitters at synaptic junctions. Is also implicated as a regulator of IL-8 bioavailability in the endometrium, and therefore may contribute to the regulation of angiogenesis. It is used as a marker for acute myeloid leukemia and plays a role in tumor invasion. It is also a useful and specific marker for mature zymogenic chief cells (ZCs) present in gastric epithelium, and expression on ZCs is lost in transition to metaplasia in the stomach. In immunohistochemistry of normal tissue, ANPEP has membranous and cytoplasmic positivity in the prostate, liver, gallbladder, exocrine pancreas, intestine and renal tubules.
NCBI and Uniprot Product Information
Customer Reviews
Loading reviews...
Share Your Experience
Similar Products
Product Notes
The ANPEP anpep (Catalog #AAA162712) is an Antibody produced from Mouse and is intended for research purposes only. The product is available for immediate purchase. The ANPEP/CD13 Mouse anti-Human Monoclonal (aa668-967)(2F10) Antibody reacts with Human and may cross-react with other species as described in the data sheet. AAA Biotech's ANPEP/CD13 can be used in a range of immunoassay formats including, but not limited to, WB (Western Blot), IHC (Immunohistochemistry), IHC (Immunohistochemistry). Researchers should empirically determine the suitability of the ANPEP anpep for an application not listed in the data sheet. Researchers commonly develop new applications and it is an integral, important part of the investigative research process. It is sometimes possible for the material contained within the vial of "ANPEP/CD13, Monoclonal Antibody" to become dispersed throughout the inside of the vial, particularly around the seal of said vial, during shipment and storage. We always suggest centrifuging these vials to consolidate all of the liquid away from the lid and to the bottom of the vial prior to opening. Please be advised that certain products may require dry ice for shipping and that, if this is the case, an additional dry ice fee may also be required.Precautions
All products in the AAA Biotech catalog are strictly for research-use only, and are absolutely not suitable for use in any sort of medical, therapeutic, prophylactic, in-vivo, or diagnostic capacity. By purchasing a product from AAA Biotech, you are explicitly certifying that said products will be properly tested and used in line with industry standard. AAA Biotech and its authorized distribution partners reserve the right to refuse to fulfill any order if we have any indication that a purchaser may be intending to use a product outside of our accepted criteria.Disclaimer
Though we do strive to guarantee the information represented in this datasheet, AAA Biotech cannot be held responsible for any oversights or imprecisions. AAA Biotech reserves the right to adjust any aspect of this datasheet at any time and without notice. It is the responsibility of the customer to inform AAA Biotech of any product performance issues observed or experienced within 30 days of receipt of said product. To see additional details on this or any of our other policies, please see our Terms & Conditions page.Item has been added to Shopping Cart
If you are ready to order, navigate to Shopping Cart and get ready to checkout.
