Mouse Bax Monoclonal Antibody | anti-BAX antibody
Bax (Apoptosis Marker) Mouse Monoclonal Antibody
Gene Names
BAX; BCL2L4
Reactivity
Human, Monkey.Does not react with Mouse and Rat
Applications
Immunohistochemistry, Western Blot, Immunofluorescence, Flow Cytometry, Functional Assay
Synonyms
Bax, Antibody; Bax (Apoptosis Marker) Mouse Monoclonal Antibody; Apoptosis regulator BAX cytoplasmic isoform beta, Apoptosis regulator BAX membrane isoform alpha, Bax isoform psi, Bax protein cytoplasmic isoform delta, Bax protein cytoplasmic isoform gamma, Bax zeta, Bcl-2-like protein 4, BCL2 associated X protein, BCL2 associated X protein omega, BCL2 associated X protein transcript variant delta2, BCL2L4; anti-BAX antibody
Host
Mouse
Reactivity
Human, Monkey.
Does not react with Mouse and Rat
Does not react with Mouse and Rat
Clonality
Monoclonal
Isotype
IgG1
Clone Number
BAX/962
Specificity
Recognizes a protein of 21kDa, identified as the Bax protein. This MAb is highly specific to Bax and shows no cross-reaction with Bcl-2 or Bcl-X protein. Bcl-2 blocks cell death following a variety of stimuli. Bax has extensive amino acid homology with Bcl-2 and it homodimerizes and forms heterodimers with Bcl-2. Overexpression of Bax accelerates apoptotic death induced by cytokine deprivation in an IL-3 dependent cell line, and Bax also counters the death repressor activity of Bcl-2.
Form/Format
200ug/ml of Ab purified from Bioreactor Concentrate by Protein A/G. Prepared in 10mM PBS with 0.05% BSA & 0.05% azide. Also available WITHOUT BSA & azide at 1.0mg/ml.
Sequence Length
221
Applicable Applications for anti-BAX antibody
IHC (Immunohistochemistry), WB (Western Blot), IF (Immunofluorescence), FCM/FACS (Flow Cytometry)
Cellular Localization
Cytoplasmic
Immunogen
Recombinant full-length human BAX protein.
Hu-Chromosome Location
19q13.33
Positive Control
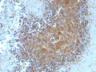
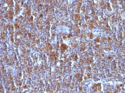
Jurkat, K562, HL-60, or HeLa Cells. Reed-Sternberg cells in Hodgkin's lymphoma.
Preparation and Storage
Antibody with azide - store at 2 to 8 degree C. Antibody without azide - store at -20 to -80 degree C. Antibody is stable for 24 months. Non-hazardous. No MSDS required.
References
Wolter KG, et. al. Journal of Cell Biology, 1997, 139(5):1281-92
NCBI and Uniprot Product Information
NCBI GI #
NCBI GeneID
NCBI Accession #
NCBI GenBank Nucleotide #
UniProt Accession #
Molecular Weight
21kDa
NCBI Official Full Name
apoptosis regulator BAX isoform 1
NCBI Official Synonym Full Names
BCL2 associated X, apoptosis regulator
NCBI Official Symbol
BAX
NCBI Official Synonym Symbols
BCL2L4
NCBI Protein Information
apoptosis regulator BAX
UniProt Protein Name
Apoptosis regulator BAX
UniProt Gene Name
BAX
UniProt Synonym Gene Names
BCL2L4; Bcl2-L-4
UniProt Entry Name
BAX_HUMAN
Customer Reviews
Loading reviews...
Share Your Experience
Similar Products
Product Notes
The BAX bax (Catalog #AAA62713) is an Antibody produced from Mouse and is intended for research purposes only. The product is available for immediate purchase. The Bax (Apoptosis Marker) Mouse Monoclonal Antibody reacts with Human, Monkey. Does not react with Mouse and Rat and may cross-react with other species as described in the data sheet. AAA Biotech's Bax can be used in a range of immunoassay formats including, but not limited to, IHC (Immunohistochemistry), WB (Western Blot), IF (Immunofluorescence), FCM/FACS (Flow Cytometry). Researchers should empirically determine the suitability of the BAX bax for an application not listed in the data sheet. Researchers commonly develop new applications and it is an integral, important part of the investigative research process. It is sometimes possible for the material contained within the vial of "Bax, Monoclonal Antibody" to become dispersed throughout the inside of the vial, particularly around the seal of said vial, during shipment and storage. We always suggest centrifuging these vials to consolidate all of the liquid away from the lid and to the bottom of the vial prior to opening. Please be advised that certain products may require dry ice for shipping and that, if this is the case, an additional dry ice fee may also be required.Precautions
All products in the AAA Biotech catalog are strictly for research-use only, and are absolutely not suitable for use in any sort of medical, therapeutic, prophylactic, in-vivo, or diagnostic capacity. By purchasing a product from AAA Biotech, you are explicitly certifying that said products will be properly tested and used in line with industry standard. AAA Biotech and its authorized distribution partners reserve the right to refuse to fulfill any order if we have any indication that a purchaser may be intending to use a product outside of our accepted criteria.Disclaimer
Though we do strive to guarantee the information represented in this datasheet, AAA Biotech cannot be held responsible for any oversights or imprecisions. AAA Biotech reserves the right to adjust any aspect of this datasheet at any time and without notice. It is the responsibility of the customer to inform AAA Biotech of any product performance issues observed or experienced within 30 days of receipt of said product. To see additional details on this or any of our other policies, please see our Terms & Conditions page.Item has been added to Shopping Cart
If you are ready to order, navigate to Shopping Cart and get ready to checkout.
