Mouse anti-Human Bcl-2 Monoclonal Antibody | anti-BCL2 antibody
Bcl-2 (Apoptosis & Follicular Lymphoma Marker) Mouse Monoclonal Antibody
Gene Names
BCL2; Bcl-2; PPP1R50
Reactivity
Human
Applications
Immunohistochemistry, Western Blot, Immunofluorescence, Flow Cytometry, Functional Assay
Synonyms
Bcl-2, Antibody; Bcl-2 (Apoptosis & Follicular Lymphoma Marker) Mouse Monoclonal Antibody; Apoptosis regulator Bcl-2, B-cell CLL/lymphoma-2; anti-BCL2 antibody
Host
Mouse
Reactivity
Human
Clonality
Monoclonal
Isotype
IgG1, kappa
Clone Number
BCL2/782
Specificity
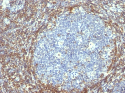
This antibody recognizes a protein of 25-26kDa, identified as the bcl-2 alpha oncoprotein. It shows no cross-reaction with Bcl-x or Bax protein. Expression of bcl-2 alpha oncoprotein inhibits the programmed cell death (apoptosis). In most follicular lymphomas, neoplastic germinal centers express high levels of bcl-2 alpha protein, whereas the normal or hyperplastic germinal centers are negative. Consequently, this antibody is valuable when distinguishing between reactive and neoplastic follicular proliferation in lymph node biopsies. It may also be used in distinguishing between those follicular lymphomas that express bcl-2 protein and the small number in which the neoplastic cells are bcl-2 negative.
Form/Format
200ug/ml of Ab purified from Bioreactor Concentrate by Protein A/G. Prepared in 10mM PBS with 0.05% BSA & 0.05% azide. Also available WITHOUT BSA & azide at 1.0mg/ml.
Sequence Length
239
Applicable Applications for anti-BCL2 antibody
IHC (Immunohistochemistry), WB (Western Blot), IF (Immunofluorescence), FCM/FACS (Flow Cytometry)
Cellular Localization
Outer mitochondrial membranes and endoplasmic reticulum as well as nuclear membranes.
Immunogen
Recombinant full-length human bcl-2 protein
Hu-Chromosome Location
18q21.33
Positive Control
Jurkat, K562, HL-60, or HeLa Cells. Tonsil or follicular lymphomas.
Preparation and Storage
Antibody with azide - store at 2 to 8 degree C. Antibody without azide - store at -20 to -80 degree C. Antibody is stable for 24 months. Non-hazardous. No MSDS required.
References
Adams, J.M., et al. 1998. The Bcl-2 protein family: arbiters of cell survival. Science 281: 1322-1326
NCBI and Uniprot Product Information
NCBI GI #
NCBI GeneID
NCBI Accession #
NCBI GenBank Nucleotide #
Molecular Weight
25-26kDa
NCBI Official Full Name
apoptosis regulator Bcl-2 alpha isoform
NCBI Official Synonym Full Names
BCL2, apoptosis regulator
NCBI Official Symbol
BCL2
NCBI Official Synonym Symbols
Bcl-2; PPP1R50
NCBI Protein Information
apoptosis regulator Bcl-2
UniProt Protein Name
Apoptosis regulator Bcl-2
UniProt Gene Name
BCL2
UniProt Entry Name
BCL2_HUMAN
Customer Reviews
Loading reviews...
Share Your Experience
Similar Products
Product Notes
The BCL2 bcl2 (Catalog #AAA62818) is an Antibody produced from Mouse and is intended for research purposes only. The product is available for immediate purchase. The Bcl-2 (Apoptosis & Follicular Lymphoma Marker) Mouse Monoclonal Antibody reacts with Human and may cross-react with other species as described in the data sheet. AAA Biotech's Bcl-2 can be used in a range of immunoassay formats including, but not limited to, IHC (Immunohistochemistry), WB (Western Blot), IF (Immunofluorescence), FCM/FACS (Flow Cytometry). Researchers should empirically determine the suitability of the BCL2 bcl2 for an application not listed in the data sheet. Researchers commonly develop new applications and it is an integral, important part of the investigative research process. It is sometimes possible for the material contained within the vial of "Bcl-2, Monoclonal Antibody" to become dispersed throughout the inside of the vial, particularly around the seal of said vial, during shipment and storage. We always suggest centrifuging these vials to consolidate all of the liquid away from the lid and to the bottom of the vial prior to opening. Please be advised that certain products may require dry ice for shipping and that, if this is the case, an additional dry ice fee may also be required.Precautions
All products in the AAA Biotech catalog are strictly for research-use only, and are absolutely not suitable for use in any sort of medical, therapeutic, prophylactic, in-vivo, or diagnostic capacity. By purchasing a product from AAA Biotech, you are explicitly certifying that said products will be properly tested and used in line with industry standard. AAA Biotech and its authorized distribution partners reserve the right to refuse to fulfill any order if we have any indication that a purchaser may be intending to use a product outside of our accepted criteria.Disclaimer
Though we do strive to guarantee the information represented in this datasheet, AAA Biotech cannot be held responsible for any oversights or imprecisions. AAA Biotech reserves the right to adjust any aspect of this datasheet at any time and without notice. It is the responsibility of the customer to inform AAA Biotech of any product performance issues observed or experienced within 30 days of receipt of said product. To see additional details on this or any of our other policies, please see our Terms & Conditions page.Item has been added to Shopping Cart
If you are ready to order, navigate to Shopping Cart and get ready to checkout.
