Rabbit anti-Human BCL2/Bcl-2 Polyclonal Antibody | anti-BCL2 antibody
BCL2/Bcl-2 Rabbit anti-Human Polyclonal Antibody
Gene Names
BCL2; Bcl-2; PPP1R50
Reactivity
Human
Applications
Immunohistochemistry
Purity
Immunoaffinity purified
Synonyms
BCL2/Bcl-2, Antibody; BCL2/Bcl-2 Rabbit anti-Human Polyclonal Antibody; PathPlus BCL2/Bcl-2 Antibody; BCL2; Apoptosis regulator Bcl-2; B-cell CLL/lymphoma 2; B-cell lymphoma protein 2; Bcl-2; PPP1R50; anti-BCL2 antibody
Host
Rabbit
Reactivity
Human
Clonality
Polyclonal
Purity/Purification
Immunoaffinity purified
Form/Format
PBS, 0.1% Sodium Azide
Concentration
1mg/ml (varies by lot)
Applicable Applications for anti-BCL2 antibody
IHC (Immunohistochemistry)
Target
Human BCL2/Bcl-2
Immunogen
LP-11049, synthetic peptide
Conjugation
Unconjugated
Family
Apoptosis
Preparation and Storage
Aliquot and store undiluted at -20 degree C or below for up to 1 year. Can be stored undiluted at 4 degree C for up to 1 month. Avoid freeze-thaw cycles.
Related Product Information for anti-BCL2 antibody
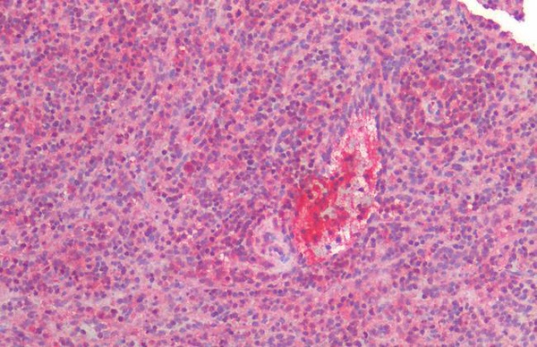
Bcl-2 antibody is an unconjugated rabbit polyclonal antibody to Bcl-2 (BCL2) from human. Validated for IHC.
BCL2 is a regulator of apoptosis that functions to promote cell survival and inhibit the actions of proteins involved in the apoptosis cascade. Overexpression of BCL2 has an oncogenic effect and is correlated with increasing the life span of B cells. Cancers that are positive include follicular lymphomas due to t(14,18)(q32;q21), which brings BCL2 gene adjacent to the active immunoglobulin heavy chain (IgH) gene. In addition, positive staining is expected in diffuse large B-cell cell lymphomas and myelodysplastic syndrome. In normal tissues, positive expression is found in mantle zone B cells, germinal center T cells, and several other tissues.
BCL2 is a regulator of apoptosis that functions to promote cell survival and inhibit the actions of proteins involved in the apoptosis cascade. Overexpression of BCL2 has an oncogenic effect and is correlated with increasing the life span of B cells. Cancers that are positive include follicular lymphomas due to t(14,18)(q32;q21), which brings BCL2 gene adjacent to the active immunoglobulin heavy chain (IgH) gene. In addition, positive staining is expected in diffuse large B-cell cell lymphomas and myelodysplastic syndrome. In normal tissues, positive expression is found in mantle zone B cells, germinal center T cells, and several other tissues.
References
Cell Death and Differentiation 25:65, 2018; Am J Surg Pathol 2011;35:1691, Am J Surg Pathol 2009;33:591
NCBI and Uniprot Product Information
NCBI GI #
NCBI GeneID
NCBI Accession #
NCBI GenBank Nucleotide #
Molecular Weight
26,266 Da
NCBI Official Full Name
apoptosis regulator Bcl-2 alpha isoform
NCBI Official Synonym Full Names
B-cell CLL/lymphoma 2
NCBI Official Symbol
BCL2
NCBI Official Synonym Symbols
Bcl-2; PPP1R50
NCBI Protein Information
apoptosis regulator Bcl-2; protein phosphatase 1, regulatory subunit 50
UniProt Protein Name
Apoptosis regulator Bcl-2
UniProt Gene Name
BCL2
UniProt Entry Name
BCL2_HUMAN
Customer Reviews
Loading reviews...
Share Your Experience
Similar Products
Product Notes
The BCL2 bcl2 (Catalog #AAA163032) is an Antibody produced from Rabbit and is intended for research purposes only. The product is available for immediate purchase. The BCL2/Bcl-2 Rabbit anti-Human Polyclonal Antibody reacts with Human and may cross-react with other species as described in the data sheet. AAA Biotech's BCL2/Bcl-2 can be used in a range of immunoassay formats including, but not limited to, IHC (Immunohistochemistry). Researchers should empirically determine the suitability of the BCL2 bcl2 for an application not listed in the data sheet. Researchers commonly develop new applications and it is an integral, important part of the investigative research process. It is sometimes possible for the material contained within the vial of "BCL2/Bcl-2, Polyclonal Antibody" to become dispersed throughout the inside of the vial, particularly around the seal of said vial, during shipment and storage. We always suggest centrifuging these vials to consolidate all of the liquid away from the lid and to the bottom of the vial prior to opening. Please be advised that certain products may require dry ice for shipping and that, if this is the case, an additional dry ice fee may also be required.Precautions
All products in the AAA Biotech catalog are strictly for research-use only, and are absolutely not suitable for use in any sort of medical, therapeutic, prophylactic, in-vivo, or diagnostic capacity. By purchasing a product from AAA Biotech, you are explicitly certifying that said products will be properly tested and used in line with industry standard. AAA Biotech and its authorized distribution partners reserve the right to refuse to fulfill any order if we have any indication that a purchaser may be intending to use a product outside of our accepted criteria.Disclaimer
Though we do strive to guarantee the information represented in this datasheet, AAA Biotech cannot be held responsible for any oversights or imprecisions. AAA Biotech reserves the right to adjust any aspect of this datasheet at any time and without notice. It is the responsibility of the customer to inform AAA Biotech of any product performance issues observed or experienced within 30 days of receipt of said product. To see additional details on this or any of our other policies, please see our Terms & Conditions page.Item has been added to Shopping Cart
If you are ready to order, navigate to Shopping Cart and get ready to checkout.
