Mouse BRCA1 Monoclonal Antibody | anti-BRCA1 antibody
BRCA1 (Breast Marker)
Gene Names
BRCA1; IRIS; PSCP; BRCAI; BRCC1; FANCS; PNCA4; RNF53; BROVCA1; PPP1R53
Reactivity
Human. Others not tested.
Applications
Immunohistochemistry
Synonyms
BRCA1, Antibody; BRCA1 (Breast Marker); BRCA1; Breast and ovarian cancer susceptibility protein 1; Breast Cancer 1 Early Onset; Breast cancer type 1 susceptibility protein; BROVCA1; IRIS; PNCA4; PPP1R53; Protein phosphatase 1 regulatory subunit 53; PSCP; RING finger protein 53; RNF53; anti-BRCA1 antibody
Host
Mouse
Reactivity
Human. Others not tested.
Clonality
Monoclonal
Isotype
IgG1
Clone Number
BRCA1/1398
Specificity
This gene encodes a nuclear phosphoprotein that plays a role in maintaining genomic stability, and it also acts as a tumor suppressor. The encoded protein combines with other tumor suppressors, DNA damage sensors, and signal transducers to form a large multi-subunit protein complex known as the BRCA1-associated genome surveillance complex (BASC). This gene product associates with RNA polymerase II, and through the C-terminal domain, also interacts with histone deacetylase complexes. This protein thus plays a role in transcription, DNA repair of double-stranded breaks, and recombination. Mutations in this gene are responsible for approximately 40% of inherited breast cancers and more than 80% of inherited breast and ovarian cancers. Alternative splicing plays a role in modulating the subcellular localization and physiological function of this gene.
Form/Format
1.0mg/mL of Ab purified from Bioreactor Concentrate by Protein A/G. Prepared in 10mM PBS
Sequence Length
1863
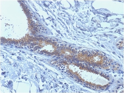
Applicable Applications for anti-BRCA1 antibody
IHC (Immunohistochemistry)
Immunogen
Recombinant human BRCA1 protein fragment (aa445-620)
Cellular Localization
Cytoplasmic and Nuclear
Hu-chromosome Location
17q21
Positive Control
A431 or HeLa Cells. Breast, Ovarian or Renal Cell Carcinoma
Preparation and Storage
Antibody without azide - store at -20 to -80°C.
Non-hazardous. No MSDS required.
Non-hazardous. No MSDS required.
References
Miki, Y., et al. 1994. A strong candidate for the breast and ovarian cancer susceptibility gene BRCA1. Science 266: 66-71.
NCBI and Uniprot Product Information
NCBI GI #
NCBI GeneID
NCBI Accession #
NCBI GenBank Nucleotide #
Molecular Weight
220kDa
NCBI Official Full Name
breast cancer type 1 susceptibility protein isoform 1
NCBI Official Synonym Full Names
BRCA1, DNA repair associated
NCBI Official Symbol
BRCA1
NCBI Official Synonym Symbols
IRIS; PSCP; BRCAI; BRCC1; FANCS; PNCA4; RNF53; BROVCA1; PPP1R53
NCBI Protein Information
breast cancer type 1 susceptibility protein
UniProt Protein Name
Breast cancer type 1 susceptibility protein
UniProt Gene Name
BRCA1
UniProt Synonym Gene Names
RNF53
Customer Reviews
Loading reviews...
Share Your Experience
Similar Products
Product Notes
The BRCA1 brca1 (Catalog #AAA214526) is an Antibody produced from Mouse and is intended for research purposes only. The product is available for immediate purchase. The BRCA1 (Breast Marker) reacts with Human. Others not tested. and may cross-react with other species as described in the data sheet. AAA Biotech's BRCA1 can be used in a range of immunoassay formats including, but not limited to, IHC (Immunohistochemistry). Researchers should empirically determine the suitability of the BRCA1 brca1 for an application not listed in the data sheet. Researchers commonly develop new applications and it is an integral, important part of the investigative research process. It is sometimes possible for the material contained within the vial of "BRCA1, Monoclonal Antibody" to become dispersed throughout the inside of the vial, particularly around the seal of said vial, during shipment and storage. We always suggest centrifuging these vials to consolidate all of the liquid away from the lid and to the bottom of the vial prior to opening. Please be advised that certain products may require dry ice for shipping and that, if this is the case, an additional dry ice fee may also be required.Precautions
All products in the AAA Biotech catalog are strictly for research-use only, and are absolutely not suitable for use in any sort of medical, therapeutic, prophylactic, in-vivo, or diagnostic capacity. By purchasing a product from AAA Biotech, you are explicitly certifying that said products will be properly tested and used in line with industry standard. AAA Biotech and its authorized distribution partners reserve the right to refuse to fulfill any order if we have any indication that a purchaser may be intending to use a product outside of our accepted criteria.Disclaimer
Though we do strive to guarantee the information represented in this datasheet, AAA Biotech cannot be held responsible for any oversights or imprecisions. AAA Biotech reserves the right to adjust any aspect of this datasheet at any time and without notice. It is the responsibility of the customer to inform AAA Biotech of any product performance issues observed or experienced within 30 days of receipt of said product. To see additional details on this or any of our other policies, please see our Terms & Conditions page.Item has been added to Shopping Cart
If you are ready to order, navigate to Shopping Cart and get ready to checkout.
