Host
Rabbit
Clonality
Monoclonal
Clone Number
A24-T
Specificity
Human
Form/Format
20 mM Tris-HCl, pH 8.0
Applicable Applications for anti-C4A antibody
IHC (Immunohistochemistry)
Stabilizer
20 mg/ml BSA
Preservative
0.05% NaN3
Immunogen
Peptide derived from internal sequence of human C4.
Cellular localization
Secreted
Positive control
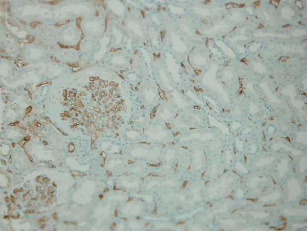
Transplanted kidney tissue
IHC-P Protocol
Instruction Manual
1. Deparaffinize the section in 3 changes of xylene, 10 minutes each.
2. Wash the section in 96%, 80% and 70% ethyl alcohol for 10 minutes each.
3. Rinse in distilled water, 2 x 5 minutes.
4. Block the endogenous peroxidase by incubating the tissue in 3% hydrogen peroxide (H2O2) for 10 minutes.
5. Wash in distilled water, 2 x 5 minutes.
6. For antigen retrieval: immerse the slide in Tris-EDTA buffer, pH 9.0*, and incubate in water bath for 20-25 minutes at 96-98°C.
7. Remove the staining to room temperature and let the slide to cool (in Tris-EDTA buffer, pH 9.0) for 20 minutes.
8. Rinse in distilled water, 2 x 5 minutes.
9. Wash in 0.05 M Tris-HCl, pH 7.6 buffer supplemented with 0.2% of Tween-20 or PBS buffer supplemented with 0.2% of Tween-20 (buffer A), 2 x 5 minutes.
10. Concentrated:
Incubate the section with primary antibody at the dilution 1:100 - 1:200 for 1 hour in the closed wet chamber.
Ready To Use (RTU):
Incubate the section with primary antibody (ready to use) for 1 hour in a closed wet chamber.
11. Wash 3 x 5 minutes with buffer A.
12. Apply the secondary antibody, and proceed to standard immunohistochemistry protocol (HRP - Peroxide - DAB). (Please Inquire).
13. Wash 3 x 5 minutes with buffer A.
14. Apply the chromogen (DAB), 1 - 3 minutes.
15. Wash in distilled water, 2 x 5 minutes.
16. Rinse in solution CuSO4 . 5H2O /0.90g NaCl + 0.50g CuSO4.5H2O in 100ml distelled water/.
17. Wash in distilled water, 1 x 2 minutes.
18. Stain in hematoxylin for 5 minutes.
19. Wash in distilled water, 3 x 2 minutes.
20. Rinse in 37mM amonium hydroxide solution.
21. Wash in distilled water, 1 x 2 minutes.
22. Mount the slide for observation.
Tris-EDTA Buffer (10mM Tris Base, 1mM EDTA solution, 0.05% Tween-20, pH 9.0):
Tris ----------- 1.21 g; EDTA ---------- 0.37 g; Distilled water ------------ 1000 ml Mix to dissolve in 700 ml of distilled water. Adjust pH to 9.0 with 1M HCl and then add 0.5 ml of Tween-20 and mix well. Adjust the final volume to 1 liter with distilled water. Store this solution at room temperature for 3 months or at +4ºC for longer storage.
1. Deparaffinize the section in 3 changes of xylene, 10 minutes each.
2. Wash the section in 96%, 80% and 70% ethyl alcohol for 10 minutes each.
3. Rinse in distilled water, 2 x 5 minutes.
4. Block the endogenous peroxidase by incubating the tissue in 3% hydrogen peroxide (H2O2) for 10 minutes.
5. Wash in distilled water, 2 x 5 minutes.
6. For antigen retrieval: immerse the slide in Tris-EDTA buffer, pH 9.0*, and incubate in water bath for 20-25 minutes at 96-98°C.
7. Remove the staining to room temperature and let the slide to cool (in Tris-EDTA buffer, pH 9.0) for 20 minutes.
8. Rinse in distilled water, 2 x 5 minutes.
9. Wash in 0.05 M Tris-HCl, pH 7.6 buffer supplemented with 0.2% of Tween-20 or PBS buffer supplemented with 0.2% of Tween-20 (buffer A), 2 x 5 minutes.
10. Concentrated:
Incubate the section with primary antibody at the dilution 1:100 - 1:200 for 1 hour in the closed wet chamber.
Ready To Use (RTU):
Incubate the section with primary antibody (ready to use) for 1 hour in a closed wet chamber.
11. Wash 3 x 5 minutes with buffer A.
12. Apply the secondary antibody, and proceed to standard immunohistochemistry protocol (HRP - Peroxide - DAB). (Please Inquire).
13. Wash 3 x 5 minutes with buffer A.
14. Apply the chromogen (DAB), 1 - 3 minutes.
15. Wash in distilled water, 2 x 5 minutes.
16. Rinse in solution CuSO4 . 5H2O /0.90g NaCl + 0.50g CuSO4.5H2O in 100ml distelled water/.
17. Wash in distilled water, 1 x 2 minutes.
18. Stain in hematoxylin for 5 minutes.
19. Wash in distilled water, 3 x 2 minutes.
20. Rinse in 37mM amonium hydroxide solution.
21. Wash in distilled water, 1 x 2 minutes.
22. Mount the slide for observation.
Tris-EDTA Buffer (10mM Tris Base, 1mM EDTA solution, 0.05% Tween-20, pH 9.0):
Tris ----------- 1.21 g; EDTA ---------- 0.37 g; Distilled water ------------ 1000 ml Mix to dissolve in 700 ml of distilled water. Adjust pH to 9.0 with 1M HCl and then add 0.5 ml of Tween-20 and mix well. Adjust the final volume to 1 liter with distilled water. Store this solution at room temperature for 3 months or at +4ºC for longer storage.
Ventana Protocol
Instruction Manual
Short application protocol for Ventana Benchmark Slide Staining System
1. Deparafinization.
2. Heating (72°C) at the medium temperatures. Deparafinization.
3. Cell conditioning (Enter).
4. ULTRA conditioner # 1 (Enter).
5. Heating glass (95°C), incubation 8 min. (Cell conditioner #1).
6. ULTRA CC1 solution application - 20 min. (Enter).
7. Titration (Enter).
8. Hand apply - primary antibody. Incubation 36 min. - dilution: 1:100, 1:200.
9. Nuclear stain (Enter).
10. Hematoxylin II application - one drop (nuclear stain). Cover and incubate 12 min.
11. After nuclear stain (Enter).
12. Bluing reagent application, one drop. After nuclear stain, cover and incubate 4 min.
Short application protocol for Ventana Benchmark Slide Staining System
1. Deparafinization.
2. Heating (72°C) at the medium temperatures. Deparafinization.
3. Cell conditioning (Enter).
4. ULTRA conditioner # 1 (Enter).
5. Heating glass (95°C), incubation 8 min. (Cell conditioner #1).
6. ULTRA CC1 solution application - 20 min. (Enter).
7. Titration (Enter).
8. Hand apply - primary antibody. Incubation 36 min. - dilution: 1:100, 1:200.
9. Nuclear stain (Enter).
10. Hematoxylin II application - one drop (nuclear stain). Cover and incubate 12 min.
11. After nuclear stain (Enter).
12. Bluing reagent application, one drop. After nuclear stain, cover and incubate 4 min.
Precautions
1. We strongly recommend to use Primary Antibody Diluent, eventually alternative diluent (containing protease free BSA at the concentrations >=1mg/ml) for dilution of concentrated antibodies, otherwise the warranty might be voided.
2. Centrifuge the vial before use.
3. Intended for professional In Vitro identification use in laboratories.
4. Do not use after expiration date stamped on vial label.
5. Avoid contamination of the reagent.
6. Any discrepancies in the recommended procedures stated in the working protocol may affect the final results.
7. The reagent contains sodium azide (NaN3) which is highly toxic in higher concentrations. The concentration in the reagent (0.05%) is not considered as hazardous.
8. Disposal of waste material must be conducted in accordance with local regulations.
9. Wear appropriate Personal Protective Equipment to avoid contact with eyes and skin.
2. Centrifuge the vial before use.
3. Intended for professional In Vitro identification use in laboratories.
4. Do not use after expiration date stamped on vial label.
5. Avoid contamination of the reagent.
6. Any discrepancies in the recommended procedures stated in the working protocol may affect the final results.
7. The reagent contains sodium azide (NaN3) which is highly toxic in higher concentrations. The concentration in the reagent (0.05%) is not considered as hazardous.
8. Disposal of waste material must be conducted in accordance with local regulations.
9. Wear appropriate Personal Protective Equipment to avoid contact with eyes and skin.
Preparation and Storage
Store at 4°C.
NCBI and Uniprot Product Information
NCBI GI #
NCBI GeneID
UniProt Accession #
NCBI Official Full Name
Complement C4-A
NCBI Official Synonym Full Names
complement component 4A (Rodgers blood group)
NCBI Official Symbol
C4A
NCBI Official Synonym Symbols
C4; RG; C4S; CO4; C4A2; C4A3; C4A4; C4A6; C4AD; CPAMD2
NCBI Protein Information
complement C4-A; acidic C4; C4A anaphylatoxin; Rodgers form of C4; acidic complement C4; C3 and PZP-like alpha-2-macroglobulin domain-containing protein 2
UniProt Protein Name
Complement C4-A
UniProt Gene Name
C4A
UniProt Synonym Gene Names
CO4; CPAMD2
UniProt Entry Name
CO4A_HUMAN
Customer Reviews
Loading reviews...
Share Your Experience
Similar Products
Product Notes
The C4A c4a (Catalog #AAA78989) is an Antibody produced from Rabbit and is intended for research purposes only. The product is available for immediate purchase. AAA Biotech's C4d complement can be used in a range of immunoassay formats including, but not limited to, IHC (Immunohistochemistry). Researchers should empirically determine the suitability of the C4A c4a for an application not listed in the data sheet. Researchers commonly develop new applications and it is an integral, important part of the investigative research process. It is sometimes possible for the material contained within the vial of "C4d complement, Monoclonal Antibody" to become dispersed throughout the inside of the vial, particularly around the seal of said vial, during shipment and storage. We always suggest centrifuging these vials to consolidate all of the liquid away from the lid and to the bottom of the vial prior to opening. Please be advised that certain products may require dry ice for shipping and that, if this is the case, an additional dry ice fee may also be required.Precautions
All products in the AAA Biotech catalog are strictly for research-use only, and are absolutely not suitable for use in any sort of medical, therapeutic, prophylactic, in-vivo, or diagnostic capacity. By purchasing a product from AAA Biotech, you are explicitly certifying that said products will be properly tested and used in line with industry standard. AAA Biotech and its authorized distribution partners reserve the right to refuse to fulfill any order if we have any indication that a purchaser may be intending to use a product outside of our accepted criteria.Disclaimer
Though we do strive to guarantee the information represented in this datasheet, AAA Biotech cannot be held responsible for any oversights or imprecisions. AAA Biotech reserves the right to adjust any aspect of this datasheet at any time and without notice. It is the responsibility of the customer to inform AAA Biotech of any product performance issues observed or experienced within 30 days of receipt of said product. To see additional details on this or any of our other policies, please see our Terms & Conditions page.Item has been added to Shopping Cart
If you are ready to order, navigate to Shopping Cart and get ready to checkout.
