Mouse CD10 Monoclonal Antibody | anti-CD10 antibody
CD10 (Membrane Metalloendopeptidase)
Gene Names
MME; NEP; SFE; CD10; CALLA; CMT2T; SCA43
Reactivity
Human (others not tested)
Applications
Immunohistochemistry
Purity
Culture Supernatant
Synonyms
CD10, Antibody; CD10 (Membrane Metalloendopeptidase); Atriopeptidase; Common acute lymphocytic leukemia antigen (CALLA); Enkephalinase (EPN); gp100; Membrane metalloendopeptidase (MME); Neprilysin; Neutral endopeptidase (NEP); Skin fibroblast elastase (SFE); anti-CD10 antibody
Host
Mouse
Reactivity
Human (others not tested)
Clonality
Monoclonal
Isotype
IgG1, kappa
Clone Number
56C6
Specificity
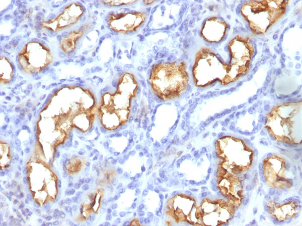
Recognizes a 100kDa glycoprotein, identified as CD10, also known as Common Acute Lymphocytic Leukemia Antigen (CALLA). It is a cell surface enzyme with neutral metalloendopeptidase activity, which inactivates a variety of biologically active peptides. CD10 is expressed on the cells of lymphoblastic, Burkitt's, and follicular germinal center lymphomas, and on cells from patients with chronic myelocytic leukemia (CML). It is also expressed on the surface of normal early lymphoid progenitor cells, immature B cells within adult bone marrow and germinal center B cells within lymphoid tissue. CD10 is also present on breast myoepithelial cells, bile canaliculi, fibroblasts, with especially high expression on the brush border of kidney and gut epithelial cells.
Purity/Purification
Culture Supernatant
Form/Format
Tissue culture supernatant with 0.05% Azide. Contact us if you require it in a different format.
Sequence Length
750
Applicable Applications for anti-CD10 antibody
IHC (Immunohistochemistry)
Positive Control
Tonsil, small intestine, kidney.
Immunogen
Recombinant human CD10 protein fragment
Cellular Localization
Cell Surface and Cytoplasmic
Hu-chromosome Location
3q25.2
Preparation and Storage
Store at 2°C to 8°C. Non-hazardous. No MSDS required.
References
Suzuko Moritani, Ryoji Kushima, Hiroyuki Sugihara, Masamichi Bamba, Tadao K Kobayashi and Takanori Hattori. Availability of CD10 Immunohistochemistry as a Marker of Breast Myoepithelial Cells on Paraffin Sections. Mod Pathol 2002;15(4):397-405.
NCBI and Uniprot Product Information
NCBI GI #
NCBI GeneID
NCBI Accession #
NCBI GenBank Nucleotide #
UniProt Accession #
NCBI Official Full Name
neprilysin isoform a
NCBI Official Synonym Full Names
membrane metalloendopeptidase
NCBI Official Symbol
MME
NCBI Official Synonym Symbols
NEP; SFE; CD10; CALLA; CMT2T; SCA43
NCBI Protein Information
neprilysin
UniProt Protein Name
Neprilysin
UniProt Gene Name
MME
UniProt Synonym Gene Names
EPN; CALLA; NEP; Neutral endopeptidase; SFE
UniProt Entry Name
NEP_HUMAN
Similar Products
Product Notes
The CD10 mme (Catalog #AAA215088) is an Antibody produced from Mouse and is intended for research purposes only. The product is available for immediate purchase. The CD10 (Membrane Metalloendopeptidase) reacts with Human (others not tested) and may cross-react with other species as described in the data sheet. AAA Biotech's CD10 can be used in a range of immunoassay formats including, but not limited to, IHC (Immunohistochemistry). Researchers should empirically determine the suitability of the CD10 mme for an application not listed in the data sheet. Researchers commonly develop new applications and it is an integral, important part of the investigative research process. It is sometimes possible for the material contained within the vial of "CD10, Monoclonal Antibody" to become dispersed throughout the inside of the vial, particularly around the seal of said vial, during shipment and storage. We always suggest centrifuging these vials to consolidate all of the liquid away from the lid and to the bottom of the vial prior to opening. Please be advised that certain products may require dry ice for shipping and that, if this is the case, an additional dry ice fee may also be required.Precautions
All products in the AAA Biotech catalog are strictly for research-use only, and are absolutely not suitable for use in any sort of medical, therapeutic, prophylactic, in-vivo, or diagnostic capacity. By purchasing a product from AAA Biotech, you are explicitly certifying that said products will be properly tested and used in line with industry standard. AAA Biotech and its authorized distribution partners reserve the right to refuse to fulfill any order if we have any indication that a purchaser may be intending to use a product outside of our accepted criteria.Disclaimer
Though we do strive to guarantee the information represented in this datasheet, AAA Biotech cannot be held responsible for any oversights or imprecisions. AAA Biotech reserves the right to adjust any aspect of this datasheet at any time and without notice. It is the responsibility of the customer to inform AAA Biotech of any product performance issues observed or experienced within 30 days of receipt of said product. To see additional details on this or any of our other policies, please see our Terms & Conditions page.Item has been added to Shopping Cart
If you are ready to order, navigate to Shopping Cart and get ready to checkout.
