Host
Rabbit
Reactivity
Human
Clonality
Monoclonal
Isotype
IgG
Clone Number
RBT-CD16
Form/Format
This antibody is derived from cell culture supernatant that is concentrated, dialyzed, filter sterilized and diluted in buffer pH 7.5, containing BSA and sodium azide.
Localization
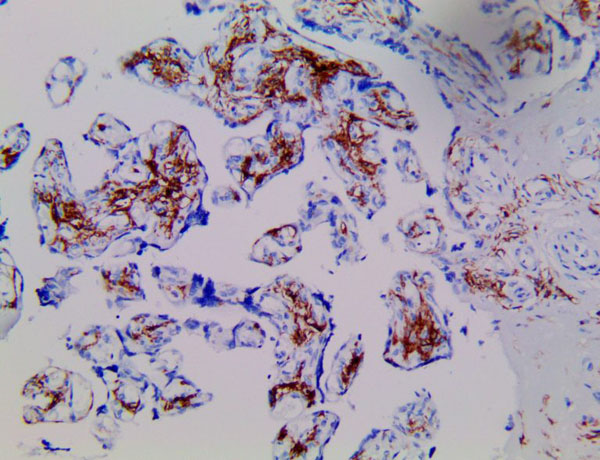
Cytoplasmic,Membranous
Intended Use
CD16 (RBT-CD16), rabbit monoclonal antibody, is a primary antibody intended for laboratory use by trained laboratory personnel in an immunohistochemical (IHC) assay to qualitatively identify the CD16 protein by light microscopy in normal and/or pathological formalin-fixed, paraffin-embedded (FFPE) human tissue.
The clinical interpretation of any staining or its absence should be performed by a qualified pathologist and complemented by morphological studies using proper controls and evaluated within the context of the patient’s clinical history and other tests.
The clinical interpretation of any staining or its absence should be performed by a qualified pathologist and complemented by morphological studies using proper controls and evaluated within the context of the patient’s clinical history and other tests.
Related Product Information for anti-CD16 antibody
CD16 is a low affinity Fc receptor, found on the surface of natural killer (NK) cells, neutrophil polymorphonuclear leukocytes, monocytes and macrophages. These receptors bind to the Fc portion of IgG antibodies which then activates NK cells for antibody-dependent cell-mediated cytotoxicity. A lack of CD16 in a given population of neutrophils may indicate prematurity, as this could be caused by a left shift due to neutrophilic leukocytosis induced by tissue necrosis or bacterial infection. The IHC of CD16 is useful in the differential identification of hepatosplenic gamma delta T-cell lymphoma and gamma delta T-cell large granular lymphocyte leukemia from other peripheral T-cell lymphomas, such as mucosal and cutaneous gamma delta T-cell lymphoma. A significant decrease can be seen in the number of granulocytes expressing CD16 in chronic myelomonocytic leukemia compared to chronic myelogenous leukemia and control bone marrow biopsy, probably related to dysgranulopoiesis.
Customer Reviews
Loading reviews...
Share Your Experience
Similar Products
Product Notes
The CD16 (Catalog #AAA59493) is an Antibody produced from Rabbit and is intended for research purposes only. The product is available for immediate purchase. The CD16 (RBT-CD16), RMab reacts with Human and may cross-react with other species as described in the data sheet. It is sometimes possible for the material contained within the vial of "CD16, Monoclonal Antibody" to become dispersed throughout the inside of the vial, particularly around the seal of said vial, during shipment and storage. We always suggest centrifuging these vials to consolidate all of the liquid away from the lid and to the bottom of the vial prior to opening. Please be advised that certain products may require dry ice for shipping and that, if this is the case, an additional dry ice fee may also be required.Precautions
All products in the AAA Biotech catalog are strictly for research-use only, and are absolutely not suitable for use in any sort of medical, therapeutic, prophylactic, in-vivo, or diagnostic capacity. By purchasing a product from AAA Biotech, you are explicitly certifying that said products will be properly tested and used in line with industry standard. AAA Biotech and its authorized distribution partners reserve the right to refuse to fulfill any order if we have any indication that a purchaser may be intending to use a product outside of our accepted criteria.Disclaimer
Though we do strive to guarantee the information represented in this datasheet, AAA Biotech cannot be held responsible for any oversights or imprecisions. AAA Biotech reserves the right to adjust any aspect of this datasheet at any time and without notice. It is the responsibility of the customer to inform AAA Biotech of any product performance issues observed or experienced within 30 days of receipt of said product. To see additional details on this or any of our other policies, please see our Terms & Conditions page.Item has been added to Shopping Cart
If you are ready to order, navigate to Shopping Cart and get ready to checkout.
