Mouse CD20 / MS4A1 Monoclonal Antibody | anti-MS4A1 antibody
CD20 / MS4A1 (B-Cell Marker) Mouse Monoclonal Antibody
Gene Names
MS4A1; B1; S7; Bp35; CD20; CVID5; MS4A2; LEU-16
Reactivity
Human, Baboon, Monkey.Does not react with Cow, Dog, Pig, and Rat
Applications
Immunohistochemistry, Immunofluorescence, Flow Cytometry, Functional Assay
Synonyms
CD20 / MS4A1, Antibody; CD20 / MS4A1 (B-Cell Marker) Mouse Monoclonal Antibody; APY; ATOPY; B-lymphocyte antigen CD20; B-lymphocyte cell-surface antigen B1; Bp35; Fc epsilon receptor I beta chain; Fc Fragment of IgE high affinity I receptor for beta polypeptide; FCER1B; High affinity immunoglobulin epsilon receptor subunit beta; IgE Fc receptor subunit beta; IGEL; IGER; IGHER; LEU16; Leukocyte surface antigen Leu-16; Ly44; Membrane spanning 4 domains subfamily A member 2; Membrane-spanning 4-domains subfamily A member 1 (MS4A1); anti-MS4A1 antibody
Host
Mouse
Reactivity
Human, Baboon, Monkey.
Does not react with Cow, Dog, Pig, and Rat
Does not react with Cow, Dog, Pig, and Rat
Clonality
Monoclonal
Isotype
IgG
Clone Number
L26 + IGEL/773
Specificity
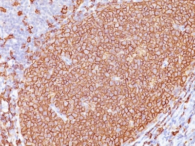
Recognizes a protein of 30-33kDa, which is identified as CD20. Its epitope is located in the cytoplasmic domain of CD20 and was, therefore, ascribed as CD20cy in the 5th Workshop. CD20 is a non-Ig differentiation antigen of B-cells and its expression is restricted to normal and neoplastic B-cells, being absent from all other leukocytes and tissues. CD20 is expressed by pre B-cells and persists during all stages of B-cell maturation but is lost upon terminal differentiation into plasma cells. This MAb can be used for immunophenotyping of leukemia and malignant cells, B lymphocyte detection in peripheral blood and B cell localization in tissues. It reacts with the majority of B-cells present in peripheral blood and lymphoid tissues and their derived lymphomas. In lymphoid tissue, germinal center blasts and B-immunoblasts are particularly reactive. It is a reliable antibody for ascribing a B-cell phenotype in known lymphoid tissues. Rarely, CD20-positive T-cell lymphomas have been reported. Reactivity has also been noted with Reed-Sternberg cells in cases of Hodgkin's disease, particularly of lymphocyte predominant type.
Form/Format
Tissue culture supernatant with 0.05% Azide.
Sequence Length
297
Applicable Applications for anti-MS4A1 antibody
IHC (Immunohistochemistry), IF (Immunofluorescence), FCM/FACS (Flow Cytometry)
Cellular Localization
Predominantly Cell Surface with some cytoplasmic
Immunogen
Human tonsil B cells (L26); Recombinant human MS4A1 protein (IGEL/773)
Hu-Chromosome Location
11q12.2
Positive Control
Daudi, Raji, and U266, and human lymphocytes. Lymph nodes and tonsils.
Preparation and Storage
Store at 2 to 8 degree C. Antibody is stable for 24 months. Non-hazardous. No MSDS required.
References
Schlossman, S., et al., eds. 1995. Leucocyte Typing V. New York: Oxford University Press
NCBI and Uniprot Product Information
NCBI GI #
NCBI GeneID
NCBI Accession #
NCBI GenBank Nucleotide #
Molecular Weight
33-37kDa
NCBI Official Full Name
B-lymphocyte antigen CD20
NCBI Official Synonym Full Names
membrane spanning 4-domains A1
NCBI Official Symbol
MS4A1
NCBI Official Synonym Symbols
B1; S7; Bp35; CD20; CVID5; MS4A2; LEU-16
NCBI Protein Information
B-lymphocyte antigen CD20
UniProt Protein Name
B-lymphocyte antigen CD20
UniProt Gene Name
MS4A1
UniProt Synonym Gene Names
CD20
UniProt Entry Name
CD20_HUMAN
Customer Reviews
Loading reviews...
Share Your Experience
Similar Products
Product Notes
The MS4A1 ms4a1 (Catalog #AAA62844) is an Antibody produced from Mouse and is intended for research purposes only. The product is available for immediate purchase. The CD20 / MS4A1 (B-Cell Marker) Mouse Monoclonal Antibody reacts with Human, Baboon, Monkey. Does not react with Cow, Dog, Pig, and Rat and may cross-react with other species as described in the data sheet. AAA Biotech's CD20 / MS4A1 can be used in a range of immunoassay formats including, but not limited to, IHC (Immunohistochemistry), IF (Immunofluorescence), FCM/FACS (Flow Cytometry). Researchers should empirically determine the suitability of the MS4A1 ms4a1 for an application not listed in the data sheet. Researchers commonly develop new applications and it is an integral, important part of the investigative research process. It is sometimes possible for the material contained within the vial of "CD20 / MS4A1, Monoclonal Antibody" to become dispersed throughout the inside of the vial, particularly around the seal of said vial, during shipment and storage. We always suggest centrifuging these vials to consolidate all of the liquid away from the lid and to the bottom of the vial prior to opening. Please be advised that certain products may require dry ice for shipping and that, if this is the case, an additional dry ice fee may also be required.Precautions
All products in the AAA Biotech catalog are strictly for research-use only, and are absolutely not suitable for use in any sort of medical, therapeutic, prophylactic, in-vivo, or diagnostic capacity. By purchasing a product from AAA Biotech, you are explicitly certifying that said products will be properly tested and used in line with industry standard. AAA Biotech and its authorized distribution partners reserve the right to refuse to fulfill any order if we have any indication that a purchaser may be intending to use a product outside of our accepted criteria.Disclaimer
Though we do strive to guarantee the information represented in this datasheet, AAA Biotech cannot be held responsible for any oversights or imprecisions. AAA Biotech reserves the right to adjust any aspect of this datasheet at any time and without notice. It is the responsibility of the customer to inform AAA Biotech of any product performance issues observed or experienced within 30 days of receipt of said product. To see additional details on this or any of our other policies, please see our Terms & Conditions page.Item has been added to Shopping Cart
If you are ready to order, navigate to Shopping Cart and get ready to checkout.
