Reactivity
Human, Mouse, Rat
Clonality
Monoclonal
Clone Number
1E9
Specificity
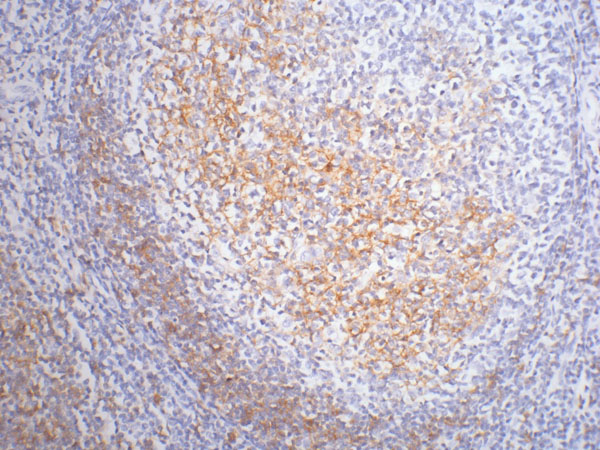
The CD23 antibody detects endogenous CD23 proteins (28, 38, 49KD).
Form/Format
In phosphate buffered saline (without Mg2+ and Ca2+), pH 7.4, 150mM NaCl, 0.02% sodium azide and 50% glycerol.
Sequence Length
309
Applicable Applications for anti-CD23 antibody
IHC (Immunohistochemistry)
Preparation and Storage
Store at-20 degree C for 1 year
Related Product Information for anti-CD23 antibody
The CD23 antigen is the low affinity IgE Fc receptor, which is a 49 kDa protein with 38 and 28 kDa fragments. It is expressed on most mature, conventional B cells and can also be found on the surface of T cells, macrophages, platelets and EBV transformed B lymphoblasts. Expression of CD23 has been detected in neoplastic cells from cases of B cell chronic Lymphocytic leukemia. CD23 is expressed by B cells in the follicular mantle but not by proliferating germinal centre cells. CD23 is also expressed by eosinophils.
NCBI and Uniprot Product Information
NCBI GI #
NCBI GeneID
UniProt Accession #
Molecular Weight
35,126 Da
NCBI Official Full Name
CD23
NCBI Official Synonym Full Names
Fc fragment of IgE receptor II
NCBI Official Symbol
Fcer2
NCBI Official Synonym Symbols
CD23; Fcer2a
NCBI Protein Information
low affinity immunoglobulin epsilon Fc receptor
UniProt Protein Name
CD23 protein
UniProt Gene Name
Fcer2
Customer Reviews
Loading reviews...
Share Your Experience
Similar Products
Product Notes
The CD23 fcer2 (Catalog #AAA267207) is an Antibody and is intended for research purposes only. The product is available for immediate purchase. The CD23 Mouse Monoclonal Antibody reacts with Human, Mouse, Rat and may cross-react with other species as described in the data sheet. AAA Biotech's CD23 can be used in a range of immunoassay formats including, but not limited to, IHC (Immunohistochemistry). Researchers should empirically determine the suitability of the CD23 fcer2 for an application not listed in the data sheet. Researchers commonly develop new applications and it is an integral, important part of the investigative research process. It is sometimes possible for the material contained within the vial of "CD23, Monoclonal Antibody" to become dispersed throughout the inside of the vial, particularly around the seal of said vial, during shipment and storage. We always suggest centrifuging these vials to consolidate all of the liquid away from the lid and to the bottom of the vial prior to opening. Please be advised that certain products may require dry ice for shipping and that, if this is the case, an additional dry ice fee may also be required.Precautions
All products in the AAA Biotech catalog are strictly for research-use only, and are absolutely not suitable for use in any sort of medical, therapeutic, prophylactic, in-vivo, or diagnostic capacity. By purchasing a product from AAA Biotech, you are explicitly certifying that said products will be properly tested and used in line with industry standard. AAA Biotech and its authorized distribution partners reserve the right to refuse to fulfill any order if we have any indication that a purchaser may be intending to use a product outside of our accepted criteria.Disclaimer
Though we do strive to guarantee the information represented in this datasheet, AAA Biotech cannot be held responsible for any oversights or imprecisions. AAA Biotech reserves the right to adjust any aspect of this datasheet at any time and without notice. It is the responsibility of the customer to inform AAA Biotech of any product performance issues observed or experienced within 30 days of receipt of said product. To see additional details on this or any of our other policies, please see our Terms & Conditions page.Item has been added to Shopping Cart
If you are ready to order, navigate to Shopping Cart and get ready to checkout.
