Mouse anti-Rat, Human CD235a Monoclonal Antibody | anti-CD235a antibody
Anti-Hu CD235a Purified
Gene Names
GYPA; MN; GPA; MNS; GPSAT; PAS-2; CD235a; GPErik; HGpMiV; HGpMiXI; HGpSta(C)
Reactivity
Rat, Human
Applications
Immunohistochemistry, Immunohistochemistry, Flow Cytometry, Functional Assay
Purity
Purified by Protein-A Affinity Chromatography
Synonyms
CD235a, Antibody; Anti-Hu CD235a Purified; glycophorin A (MNS blood group); Glycophorin A; GYPA; GPA; PAS-2; Sialoglycoprotein alpha; MN sialoglycoprotein; GPSAT; GPErik; MSN blood group; anti-CD235a antibody
Host
Mouse
Reactivity
Rat, Human
Clonality
Monoclonal
Isotype
IgG1
Clone Number
JC159
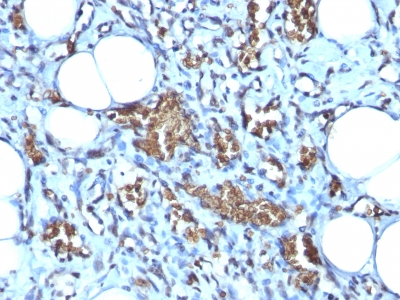
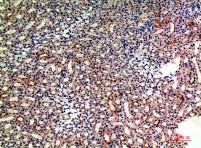
Specificity
The mouse monoclonal antibody JC159 recognizes an epitope between amino acids 27 and 40 of the extracellular portion of CD235a (glycophorin A), a sialoglycoprotein expressed on early erythroblasts, late erythroblasts, erythroblasts, mature erythrocytes and the cells of erythroid cell lines K562 and HEL. The antibody does not react with glycophorin B.
Purity/Purification
Purified by Protein-A Affinity Chromatography
Form/Format
Purified; Phosphate buffered saline (PBS) solution with 15 mM sodium azide
Concentration
1 mg/ml (varies by lot)
Sequence Length
150
Applicable Applications for anti-CD235a antibody
IHC (Immunohistochemistry), IHC (Immunohistochemistry), FCM/FACS (Flow Cytometry)
Immunogen
Membrane preparation from splenic hairy cell leukemia
Preparation and Storage
Store at 2-8°C. Do Not Freeze.
Related Product Information for anti-CD235a antibody
CD235a (Glycophorin A, GPA) is a transmembrane sialoglycoprotein expressed on erythrocytes and their precursors. Similarly to glycophorin B (GPB), these molecules provide the cells with a large mucin-like surface, which minimalizes aggregation between erythrocytes in the circulation. GPA is the carrier of blood group M and N specificities, while GPB accounts for S, s and U specificities. CD235a is a receptor of Hsa, an Streptococcus adhesin.
NCBI and Uniprot Product Information
NCBI GI #
NCBI GeneID
UniProt Accession #
NCBI Official Full Name
Glycophorin-A
NCBI Official Synonym Full Names
glycophorin A (MNS blood group)
NCBI Official Symbol
GYPA
NCBI Official Synonym Symbols
MN; GPA; MNS; GPSAT; PAS-2; CD235a; GPErik; HGpMiV; HGpMiXI; HGpSta(C)
NCBI Protein Information
glycophorin-A
UniProt Protein Name
Glycophorin-A
UniProt Gene Name
GYPA
UniProt Synonym Gene Names
GPA
Customer Reviews
Loading reviews...
Share Your Experience
Similar Products
Product Notes
The CD235a gypa (Catalog #AAA128639) is an Antibody produced from Mouse and is intended for research purposes only. The product is available for immediate purchase. The Anti-Hu CD235a Purified reacts with Rat, Human and may cross-react with other species as described in the data sheet. AAA Biotech's CD235a can be used in a range of immunoassay formats including, but not limited to, IHC (Immunohistochemistry), IHC (Immunohistochemistry), FCM/FACS (Flow Cytometry). Researchers should empirically determine the suitability of the CD235a gypa for an application not listed in the data sheet. Researchers commonly develop new applications and it is an integral, important part of the investigative research process. It is sometimes possible for the material contained within the vial of "CD235a, Monoclonal Antibody" to become dispersed throughout the inside of the vial, particularly around the seal of said vial, during shipment and storage. We always suggest centrifuging these vials to consolidate all of the liquid away from the lid and to the bottom of the vial prior to opening. Please be advised that certain products may require dry ice for shipping and that, if this is the case, an additional dry ice fee may also be required.Precautions
All products in the AAA Biotech catalog are strictly for research-use only, and are absolutely not suitable for use in any sort of medical, therapeutic, prophylactic, in-vivo, or diagnostic capacity. By purchasing a product from AAA Biotech, you are explicitly certifying that said products will be properly tested and used in line with industry standard. AAA Biotech and its authorized distribution partners reserve the right to refuse to fulfill any order if we have any indication that a purchaser may be intending to use a product outside of our accepted criteria.Disclaimer
Though we do strive to guarantee the information represented in this datasheet, AAA Biotech cannot be held responsible for any oversights or imprecisions. AAA Biotech reserves the right to adjust any aspect of this datasheet at any time and without notice. It is the responsibility of the customer to inform AAA Biotech of any product performance issues observed or experienced within 30 days of receipt of said product. To see additional details on this or any of our other policies, please see our Terms & Conditions page.Item has been added to Shopping Cart
If you are ready to order, navigate to Shopping Cart and get ready to checkout.
