Rabbit CD30/TNFRSF8 Monoclonal Antibody | anti-CD30 antibody
CD30/TNFRSF8 (Hodgkin & Reed-Sternberg Cell Marker)
Gene Names
TNFRSF8; CD30; Ki-1; D1S166E
Reactivity
Human. Others not known.
Applications
Immunohistochemistry, Immunofluorescence, Flow Cytometry, Functional Assay
Synonyms
CD30/TNFRSF8, Antibody; CD30/TNFRSF8 (Hodgkin & Reed-Sternberg Cell Marker); CD30L receptor; Cytokine receptor CD30; Ki-1 antigen; Lymphocyte activation antigen CD30; Tumor necrosis factor receptor superfamily member 8 (TNFRSF8); anti-CD30 antibody
Host
Rabbit
Reactivity
Human. Others not known.
Clonality
Monoclonal
Isotype
IgG
Clone Number
Ki-1/1505R
Specificity
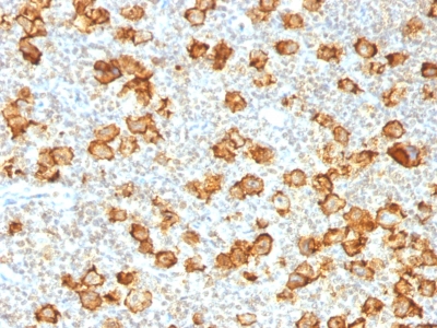
Recognizes a single chain glycoprotein of 105/120kDa, identified as CD30/Ki-1. CD30 is synthesized as a 90kDa precursor, which is processed in the Golgi complex into a membrane-bound phosphorylated mature 105/120kDa glycoprotein. In Hodgkins disease, CD30/Ki-1 antigen is expressed by mononuclear-Hodgkin and multinucleated Reed-Sternberg cells. It is also expressed by the tumor cells of a majority of anaplastic large cell lymphomas as well as by a varying proportion of activated T and B cells. This MAb distinguishes large cell lymphomas derived from activated lymphoid cells from histiocytic malignancies and lymphomas derived from resting and precursor lymphoid cells or from anaplastic carcinomas. About one third of the Ki-1 positive lymphomas lack the leukocyte common antigen (CD45).
Form/Format
200ug/ml of Ab purified by Protein A Column. Prepared in 10mM PBS with 0.05% BSA & 0.05% azide. Also available WITHOUT BSA & azide at 1.0mg/ml.
Sequence Length
595
Applicable Applications for anti-CD30 antibody
IHC (Immunohistochemistry), IF (Immunofluorescence), FCM/FACS (Flow Cytometry)
Immunogen
Recombinant full-length human TNFRSF8 protein fragment
Cellular Localization
Cell Surface
Hu-chromosome Location
1p36.22
Positive Control
Hodgkins lymphoma
Preparation and Storage
Antibody with azide - store at 2 to 8 degree C.
Antibody without azide - store at -20 to -80 degree C.
Antibody is stable for 24 months. Non-hazardous. No MSDS required.
Antibody without azide - store at -20 to -80 degree C.
Antibody is stable for 24 months. Non-hazardous. No MSDS required.
References
Smith, C.A., et al. 1993. CD30 antigen, a marker for Hodgkins lymphoma, is a receptor whose ligand defines an emerging family of cytokines with homology to TNF. Cell 73: 1349-1360.
NCBI and Uniprot Product Information
NCBI GI #
NCBI GeneID
NCBI Accession #
NCBI GenBank Nucleotide #
Molecular Weight
105-120kDa
NCBI Official Full Name
tumor necrosis factor receptor superfamily member 8 isoform 1
NCBI Official Synonym Full Names
TNF receptor superfamily member 8
NCBI Official Symbol
TNFRSF8
NCBI Official Synonym Symbols
CD30; Ki-1; D1S166E
NCBI Protein Information
tumor necrosis factor receptor superfamily member 8
UniProt Protein Name
Tumor necrosis factor receptor superfamily member 8
UniProt Gene Name
TNFRSF8
Customer Reviews
Loading reviews...
Share Your Experience
Similar Products
Product Notes
The CD30 tnfrsf8 (Catalog #AAA214595) is an Antibody produced from Rabbit and is intended for research purposes only. The product is available for immediate purchase. The CD30/TNFRSF8 (Hodgkin & Reed-Sternberg Cell Marker) reacts with Human. Others not known. and may cross-react with other species as described in the data sheet. AAA Biotech's CD30/TNFRSF8 can be used in a range of immunoassay formats including, but not limited to, IHC (Immunohistochemistry), IF (Immunofluorescence), FCM/FACS (Flow Cytometry). Researchers should empirically determine the suitability of the CD30 tnfrsf8 for an application not listed in the data sheet. Researchers commonly develop new applications and it is an integral, important part of the investigative research process. It is sometimes possible for the material contained within the vial of "CD30/TNFRSF8, Monoclonal Antibody" to become dispersed throughout the inside of the vial, particularly around the seal of said vial, during shipment and storage. We always suggest centrifuging these vials to consolidate all of the liquid away from the lid and to the bottom of the vial prior to opening. Please be advised that certain products may require dry ice for shipping and that, if this is the case, an additional dry ice fee may also be required.Precautions
All products in the AAA Biotech catalog are strictly for research-use only, and are absolutely not suitable for use in any sort of medical, therapeutic, prophylactic, in-vivo, or diagnostic capacity. By purchasing a product from AAA Biotech, you are explicitly certifying that said products will be properly tested and used in line with industry standard. AAA Biotech and its authorized distribution partners reserve the right to refuse to fulfill any order if we have any indication that a purchaser may be intending to use a product outside of our accepted criteria.Disclaimer
Though we do strive to guarantee the information represented in this datasheet, AAA Biotech cannot be held responsible for any oversights or imprecisions. AAA Biotech reserves the right to adjust any aspect of this datasheet at any time and without notice. It is the responsibility of the customer to inform AAA Biotech of any product performance issues observed or experienced within 30 days of receipt of said product. To see additional details on this or any of our other policies, please see our Terms & Conditions page.Item has been added to Shopping Cart
If you are ready to order, navigate to Shopping Cart and get ready to checkout.
