Mouse CD3e Monoclonal Antibody | anti-CD3e antibody
CD3e (T-Cell Marker)
Gene Names
CD3E; T3E; TCRE; IMD18
Reactivity
Human. Others not known.
Applications
Immunohistochemistry, ELISA
Synonyms
CD3e, Antibody; CD3e (T-Cell Marker); CD3 epsilon; CD3 TCR complex; T cell antigen receptor complex epsilon subunit of T3; T-cell surface antigen T3/Leu-4 epsilon chain; T-cell surface glycoprotein CD3 epsilon chain; T3E; TCRE; TiT3 complex; anti-CD3e antibody
Host
Mouse
Reactivity
Human. Others not known.
Clonality
Monoclonal
Isotype
IgG1, kappa
Clone Number
C3e/2479
Specificity
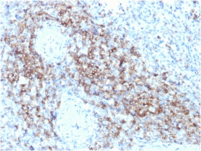
Recognizes the -chain of CD3, which consists of five different polypeptide chains (designated as gamma, delta, epsilon, zeta, and eta) with MW ranging from 16-28kDa. The CD3 complex is closely associated at the lymphocyte cell surface with the T cell antigen receptor (TCR). Reportedly, CD3 complex is involved in signal transduction to the T cell interior following antigen recognition. The CD3 antigen is first detectable in early thymocytes and probably represents one of the earliest signs of commitment to the T cell lineage. In cortical thymocytes, CD3 is predominantly intra-cytoplasmic. However, in medullary thymocytes, it appears on the T cell surface. CD3 antigen is a highly specific marker for T cells, and is present in majority of T cell neoplasms.
Form/Format
200ug/ml of Ab purified from Bioreactor Concentrate by Protein A/G. Prepared in 10mM PBS with0.05% BSA & 0.05% azide. Also available WITHOUT BSA & azide at 1.0mg/ml.
Sequence Length
207
Applicable Applications for anti-CD3e antibody
IHC (Immunohistochemistry), ELISA
Immunogen
Recombinant fragment of human CD3e (around aa 23-119)
Cellular Localization
Cell Surface and Cytoplasmic
Hu-chromosome Location
11q23.3
Positive Control
Human peripheral blood. Jurkat cells. Tonsil or lymph node.
Preparation and Storage
Antibody with azide - store at 2 to 8 degree C.
Antibody without azide - store at -20 to -80 degree C.
Antibody is stable for 24 months. Non-hazardous. No MSDS required.
Antibody without azide - store at -20 to -80 degree C.
Antibody is stable for 24 months. Non-hazardous. No MSDS required.
References
Mason DY et. al. Journal of Clinical Pathology, 1989, 42(11):1194-200. Beverley PC, Callard RE. Eur J Immunol. 1981; 11(4):329-334.
NCBI and Uniprot Product Information
NCBI GI #
NCBI GeneID
NCBI Accession #
NCBI GenBank Nucleotide #
Molecular Weight
20kDa
NCBI Official Full Name
T-cell surface glycoprotein CD3 epsilon chain
NCBI Official Synonym Full Names
CD3e molecule
NCBI Official Symbol
CD3E
NCBI Official Synonym Symbols
T3E; TCRE; IMD18
NCBI Protein Information
T-cell surface glycoprotein CD3 epsilon chain
UniProt Protein Name
T-cell surface glycoprotein CD3 epsilon chain
UniProt Gene Name
CD3E
UniProt Synonym Gene Names
T3E
Customer Reviews
Loading reviews...
Share Your Experience
Similar Products
Product Notes
The CD3e cd3e (Catalog #AAA214573) is an Antibody produced from Mouse and is intended for research purposes only. The product is available for immediate purchase. The CD3e (T-Cell Marker) reacts with Human. Others not known. and may cross-react with other species as described in the data sheet. AAA Biotech's CD3e can be used in a range of immunoassay formats including, but not limited to, IHC (Immunohistochemistry), ELISA. Researchers should empirically determine the suitability of the CD3e cd3e for an application not listed in the data sheet. Researchers commonly develop new applications and it is an integral, important part of the investigative research process. It is sometimes possible for the material contained within the vial of "CD3e, Monoclonal Antibody" to become dispersed throughout the inside of the vial, particularly around the seal of said vial, during shipment and storage. We always suggest centrifuging these vials to consolidate all of the liquid away from the lid and to the bottom of the vial prior to opening. Please be advised that certain products may require dry ice for shipping and that, if this is the case, an additional dry ice fee may also be required.Precautions
All products in the AAA Biotech catalog are strictly for research-use only, and are absolutely not suitable for use in any sort of medical, therapeutic, prophylactic, in-vivo, or diagnostic capacity. By purchasing a product from AAA Biotech, you are explicitly certifying that said products will be properly tested and used in line with industry standard. AAA Biotech and its authorized distribution partners reserve the right to refuse to fulfill any order if we have any indication that a purchaser may be intending to use a product outside of our accepted criteria.Disclaimer
Though we do strive to guarantee the information represented in this datasheet, AAA Biotech cannot be held responsible for any oversights or imprecisions. AAA Biotech reserves the right to adjust any aspect of this datasheet at any time and without notice. It is the responsibility of the customer to inform AAA Biotech of any product performance issues observed or experienced within 30 days of receipt of said product. To see additional details on this or any of our other policies, please see our Terms & Conditions page.Item has been added to Shopping Cart
If you are ready to order, navigate to Shopping Cart and get ready to checkout.
