Rabbit anti-Human CD44/HCAM Std. Monoclonal Antibody | anti-CD44 antibody
CD44/HCAM Std.Recombinant Rabbit Monoclonal Antibody [Clone HCAM/4110R]
Gene Names
CD44; IN; LHR; MC56; MDU2; MDU3; MIC4; Pgp1; CDW44; CSPG8; HCELL; HUTCH-I; ECMR-III
Reactivity
Human
Applications
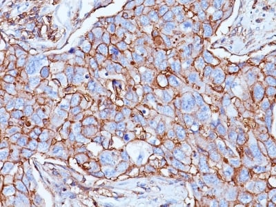
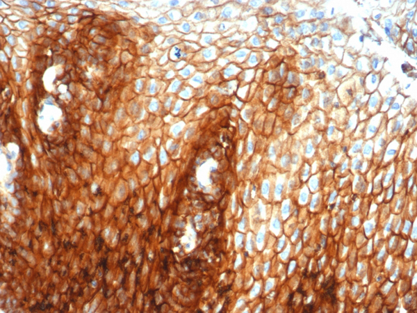
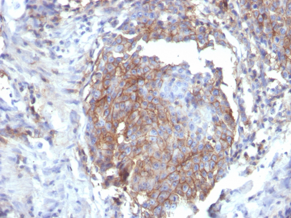
Immunohistochemistry
Synonyms
CD44/HCAM Std., Antibody; CD44/HCAM Std.Recombinant Rabbit Monoclonal Antibody [Clone HCAM/4110R]; LHR; BA-1; chondroitin sulfate proteoglycan 8 (CSPG8); Epican; Extracellular Matrix Receptor III (ECM III); GP90 Lymphocyte Homing Adhesion Receptor; HCAM; HCELL; hematopoietic cell E- and L-selectin ligand; Heparan Sulfate Proteoglycan; Hermes Antigen; HAS; HUTCH I; Hyaluronate Receptor; Indian blood group; Inlu Related p80 Glycoprotein; Ly 24; MDU2; MDU3; MIC4; MUTCH I; Phagocytic Glycoprotein 1 (PGP-1); anti-CD44 antibody
Host
Rabbit
Reactivity
Human
Clonality
Monoclonal
Isotype
Rabbit/IgG
Clone Number
HCAM/4110R
Form/Format
200ug/ml of Ab purified from Bioreactor Concentrate by Protein A/G. Prepared in 10mM PBS with 0. 05% BSA & 0. 05% azide. Also available WITHOUT BSA & azide at 1.0mg/ml.
Concentration
Purified Ab with BSA and Azide at 200ug/ml
OR
Purified Ab WITHOUT BSA and Azide at 1.0mg/ml (varies by lot)
OR
Purified Ab WITHOUT BSA and Azide at 1.0mg/ml (varies by lot)
Applicable Applications for anti-CD44 antibody
IHC (Immunohistochemistry)
Antibody Type
Recombinant Antibody
Immunogen
Synthetic peptide corresponding to residues withinaa150 to aa250 of CD44 was used as an immunogen.
Cellular Localization
Cell Surface
Positive Control
HeLa cells. Paracortex in tonsil or lymph node.
Hu-chromosome Location
11p13
Unigene
502328
Preparation and Storage
Antibody with azide: store at 2 to 8 degree C
Antibody without azide: store at -20 to -80 degree C
Antibody is stable for 24 months. Non-hazardous. No MSDS required.
Antibody without azide: store at -20 to -80 degree C
Antibody is stable for 24 months. Non-hazardous. No MSDS required.
Related Product Information for anti-CD44 antibody
CD44 is an adhesion molecule, which binds hyaluronic acid and participates in a number of cell-cell interactions, including lymphocyte homing. CD44 is expressed on approximately 90% of lymphocytes, monocytes, granulocytes, and, in lower amounts on thymocytes, fibroblasts, and erythrocytes. The expression of specific cell adhesion molecule CD44 splice variants has been reported to be associated with metastasis in certain human malignancies.
NCBI and Uniprot Product Information
NCBI GI #
NCBI GeneID
NCBI Accession #
NCBI GenBank Nucleotide #
UniProt Accession #
Molecular Weight
81,538 Da
NCBI Official Full Name
CD44 antigen isoform 1
NCBI Official Synonym Full Names
CD44 molecule (Indian blood group)
NCBI Official Symbol
CD44
NCBI Official Synonym Symbols
IN; LHR; MC56; MDU2; MDU3; MIC4; Pgp1; CDW44; CSPG8; HCELL; HUTCH-I; ECMR-III
NCBI Protein Information
CD44 antigen; epican; Hermes antigen; hyaluronate receptor; phagocytic glycoprotein 1; heparan sulfate proteoglycan; cell surface glycoprotein CD44; extracellular matrix receptor III; chondroitin sulfate proteoglycan 8; GP90 lymphocyte homing/adhesion rec
UniProt Protein Name
CD44 antigen
UniProt Gene Name
CD44
UniProt Synonym Gene Names
LHR; MDU2; MDU3; MIC4; ECMR-III; PGP-1; PGP-I
UniProt Entry Name
CD44_HUMAN
Customer Reviews
Loading reviews...
Share Your Experience
Similar Products
Product Notes
The CD44 cd44 (Catalog #AAA216070) is an Antibody produced from Rabbit and is intended for research purposes only. The product is available for immediate purchase. The CD44/HCAM Std.Recombinant Rabbit Monoclonal Antibody [Clone HCAM/4110R] reacts with Human and may cross-react with other species as described in the data sheet. AAA Biotech's CD44/HCAM Std. can be used in a range of immunoassay formats including, but not limited to, IHC (Immunohistochemistry). Researchers should empirically determine the suitability of the CD44 cd44 for an application not listed in the data sheet. Researchers commonly develop new applications and it is an integral, important part of the investigative research process. It is sometimes possible for the material contained within the vial of "CD44/HCAM Std., Monoclonal Antibody" to become dispersed throughout the inside of the vial, particularly around the seal of said vial, during shipment and storage. We always suggest centrifuging these vials to consolidate all of the liquid away from the lid and to the bottom of the vial prior to opening. Please be advised that certain products may require dry ice for shipping and that, if this is the case, an additional dry ice fee may also be required.Precautions
All products in the AAA Biotech catalog are strictly for research-use only, and are absolutely not suitable for use in any sort of medical, therapeutic, prophylactic, in-vivo, or diagnostic capacity. By purchasing a product from AAA Biotech, you are explicitly certifying that said products will be properly tested and used in line with industry standard. AAA Biotech and its authorized distribution partners reserve the right to refuse to fulfill any order if we have any indication that a purchaser may be intending to use a product outside of our accepted criteria.Disclaimer
Though we do strive to guarantee the information represented in this datasheet, AAA Biotech cannot be held responsible for any oversights or imprecisions. AAA Biotech reserves the right to adjust any aspect of this datasheet at any time and without notice. It is the responsibility of the customer to inform AAA Biotech of any product performance issues observed or experienced within 30 days of receipt of said product. To see additional details on this or any of our other policies, please see our Terms & Conditions page.Item has been added to Shopping Cart
If you are ready to order, navigate to Shopping Cart and get ready to checkout.
