Mouse CD44 / HCAM Std. Monoclonal Antibody | anti-CD44 antibody
CD44 / HCAM Std. Mouse Monoclonal Antibody
Gene Names
CD44; IN; LHR; MC56; MDU2; MDU3; MIC4; Pgp1; CDW44; CSPG8; HCELL; HUTCH-I; ECMR-III
Reactivity
Human, Non-Human Primates
Applications
Immunohistochemistry, Immunofluorescence, Flow Cytometry, Functional Assay
Synonyms
CD44 / HCAM Std., Antibody; CD44 / HCAM Std. Mouse Monoclonal Antibody; LHR; BA-1; chondroitin sulfate proteoglycan 8 (CSPG8); Epican; Extracellular Matrix Receptor III (ECM III); GP90 Lymphocyte Homing Adhesion Receptor; HCAM; HCELL; hematopoietic cell E- and L-selectin ligand; Heparan Sulfate Proteoglycan; Hermes Antigen; HAS; HUTCH I; Hyaluronate Receptor; Indian blood group; Inlu Related p80 Glycoprotein; Ly 24; MDU2; MDU3; MIC4; MUTCH I; Phagocytic Glycoprotein 1 (PGP-1); anti-CD44 antibody
Host
Mouse
Reactivity
Human, Non-Human Primates
Clonality
Monoclonal
Isotype
IgG2a, kappa
Clone Number
HCAM/918
Specificity
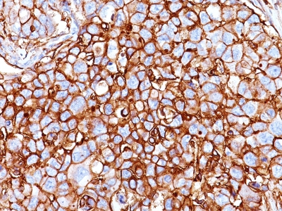
Recognizes a cell surface glycoprotein of 80-95kDa (CD44) on lymphocytes, monocytes, and granulocytes (Leucocyte Typing Workshop V). Its epitope is resistant to digestion by trypsin and chymotrypsin. The CD44 family of glycoproteins exists in a number of variant isoforms, the most common being the standard 85-95kDa or hematopoietic variant (CD44s). Higher molecular weight isoforms are described in epithelial cells (CD44v), which are believed to function in intercellular adhesion and stromal binding. CD44 immunostaining is commonly used for the discrimination of urothelial transitional cell carcinoma in-situ from non-neoplastic changes in the urothelium.
Form/Format
200ug/ml of Ab purified from Bioreactor Concentrate by Protein A/G. Prepared in 10mM PBS with 0.05% BSA & 0.05% azide. Also available WITHOUT BSA & azide at 1.0mg/ml.
Sequence Length
742
Applicable Applications for anti-CD44 antibody
IHC (Immunohistochemistry), IF (Immunofluorescence), FCM/FACS (Flow Cytometry)
Cellular Localization
Cell Surface
Immunogen
Recombinant human HCAM protein
Hu-Chromosome Location
11p13
Positive Control
DU145 cells. Tonsil, lymph node or breast carcinomas.
Preparation and Storage
Antibody with azide - store at 2 to 8 degree C. Antibody without azide - store at -20 to -80 degree C. Antibody is stable for 24 months. Non-hazardous. No MSDS required.
References
Horny HP, Menke DM, Kaiserling E. Neoplastic human tissue mast cells express the adhesion molecule CD44/HCAM. Virchows Arch 1996;429:91-4.
NCBI and Uniprot Product Information
NCBI GI #
NCBI GeneID
NCBI Accession #
NCBI GenBank Nucleotide #
UniProt Accession #
Molecular Weight
80-95kDa
NCBI Official Full Name
CD44 antigen isoform 1
NCBI Official Synonym Full Names
CD44 molecule (Indian blood group)
NCBI Official Symbol
CD44
NCBI Official Synonym Symbols
IN; LHR; MC56; MDU2; MDU3; MIC4; Pgp1; CDW44; CSPG8; HCELL; HUTCH-I; ECMR-III
NCBI Protein Information
CD44 antigen
UniProt Protein Name
CD44 antigen
UniProt Gene Name
CD44
UniProt Synonym Gene Names
LHR; MDU2; MDU3; MIC4; ECMR-III; PGP-1; PGP-I
UniProt Entry Name
CD44_HUMAN
Customer Reviews
Loading reviews...
Share Your Experience
Similar Products
Product Notes
The CD44 cd44 (Catalog #AAA62890) is an Antibody produced from Mouse and is intended for research purposes only. The product is available for immediate purchase. The CD44 / HCAM Std. Mouse Monoclonal Antibody reacts with Human, Non-Human Primates and may cross-react with other species as described in the data sheet. AAA Biotech's CD44 / HCAM Std. can be used in a range of immunoassay formats including, but not limited to, IHC (Immunohistochemistry), IF (Immunofluorescence), FCM/FACS (Flow Cytometry). Researchers should empirically determine the suitability of the CD44 cd44 for an application not listed in the data sheet. Researchers commonly develop new applications and it is an integral, important part of the investigative research process. It is sometimes possible for the material contained within the vial of "CD44 / HCAM Std., Monoclonal Antibody" to become dispersed throughout the inside of the vial, particularly around the seal of said vial, during shipment and storage. We always suggest centrifuging these vials to consolidate all of the liquid away from the lid and to the bottom of the vial prior to opening. Please be advised that certain products may require dry ice for shipping and that, if this is the case, an additional dry ice fee may also be required.Precautions
All products in the AAA Biotech catalog are strictly for research-use only, and are absolutely not suitable for use in any sort of medical, therapeutic, prophylactic, in-vivo, or diagnostic capacity. By purchasing a product from AAA Biotech, you are explicitly certifying that said products will be properly tested and used in line with industry standard. AAA Biotech and its authorized distribution partners reserve the right to refuse to fulfill any order if we have any indication that a purchaser may be intending to use a product outside of our accepted criteria.Disclaimer
Though we do strive to guarantee the information represented in this datasheet, AAA Biotech cannot be held responsible for any oversights or imprecisions. AAA Biotech reserves the right to adjust any aspect of this datasheet at any time and without notice. It is the responsibility of the customer to inform AAA Biotech of any product performance issues observed or experienced within 30 days of receipt of said product. To see additional details on this or any of our other policies, please see our Terms & Conditions page.Item has been added to Shopping Cart
If you are ready to order, navigate to Shopping Cart and get ready to checkout.
