Rabbit CD52 Monoclonal Antibody | anti-CD52 antibody
CD52 (Epididymis-Specific Protein 5)
Gene Names
CD52; CDW52; EDDM5
Reactivity
Human, Monkey. Others not known.
Applications
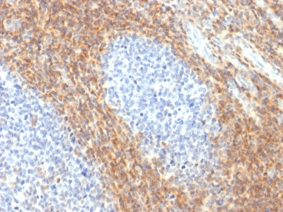
Immunohistochemistry
Synonyms
CD52, Antibody; CD52 (Epididymis-Specific Protein 5); Cambridge pathology 1 antigen; CAMPATH 1; CAMPATH 1 antigen; CD52; CD52 antigen; CDw52; CDW52 antigen; Epididymal secretory protein E5; Epididymis secretory sperm binding protein Li 171mP; He5; Human epididymis-specific protein 5; anti-CD52 antibody
Host
Rabbit
Reactivity
Human, Monkey. Others not known.
Clonality
Monoclonal
Isotype
IgG
Clone Number
CD52/2276R
Specificity
Human CD52 is expressed at high density by lymphocytes, monocytes, eosinophils, thymocytes and macrophages. It is expressed by most lymphoid derived malignancies, although expression on myeloma cells is variable.
Form/Format
200ug/ml of Ab purified from Bioreactor Concentrate by Protein A/G. Prepared in 10mM PBS with 0.05% BSA & 0.05% azide. Also available WITHOUT BSA & azide at 1.0mg/ml.
Sequence Length
61
Applicable Applications for anti-CD52 antibody
IHC (Immunohistochemistry)
Immunogen
Recombinant full-length human CD52 protein
Cellular Localization
Cell Surface
Hu-chromosome Location
1p36.11
Positive Control
Human peripheral blood cells, Daudi cell lines or human tonsil.
Preparation and Storage
Antibody with azide - store at 2 to 8 degree C.
Antibody without azide - store at -20 to -80 degree C.
Antibody is stable for 24 months. Non-hazardous. No MSDS required.
Antibody without azide - store at -20 to -80 degree C.
Antibody is stable for 24 months. Non-hazardous. No MSDS required.
References
Hale G et al. Removal of T cells from bone marrow for transplantation: a monoclonal antilymphocyte antibody that fixes human complement. Blood. 1983 Oct; 62(4):873-82.
NCBI and Uniprot Product Information
NCBI GI #
NCBI GeneID
NCBI Accession #
NCBI GenBank Nucleotide #
Molecular Weight
6kDa
NCBI Official Full Name
CAMPATH-1 antigen
NCBI Official Synonym Full Names
CD52 molecule
NCBI Official Symbol
CD52
NCBI Official Synonym Symbols
CDW52; EDDM5
NCBI Protein Information
CAMPATH-1 antigen
UniProt Protein Name
CAMPATH-1 antigen
UniProt Gene Name
CD52
UniProt Synonym Gene Names
CDW52; HE5; He5
Customer Reviews
Loading reviews...
Share Your Experience
Similar Products
Product Notes
The CD52 cd52 (Catalog #AAA62910) is an Antibody produced from Rabbit and is intended for research purposes only. The product is available for immediate purchase. The CD52 (Epididymis-Specific Protein 5) reacts with Human, Monkey. Others not known. and may cross-react with other species as described in the data sheet. AAA Biotech's CD52 can be used in a range of immunoassay formats including, but not limited to, IHC (Immunohistochemistry). Researchers should empirically determine the suitability of the CD52 cd52 for an application not listed in the data sheet. Researchers commonly develop new applications and it is an integral, important part of the investigative research process. It is sometimes possible for the material contained within the vial of "CD52, Monoclonal Antibody" to become dispersed throughout the inside of the vial, particularly around the seal of said vial, during shipment and storage. We always suggest centrifuging these vials to consolidate all of the liquid away from the lid and to the bottom of the vial prior to opening. Please be advised that certain products may require dry ice for shipping and that, if this is the case, an additional dry ice fee may also be required.Precautions
All products in the AAA Biotech catalog are strictly for research-use only, and are absolutely not suitable for use in any sort of medical, therapeutic, prophylactic, in-vivo, or diagnostic capacity. By purchasing a product from AAA Biotech, you are explicitly certifying that said products will be properly tested and used in line with industry standard. AAA Biotech and its authorized distribution partners reserve the right to refuse to fulfill any order if we have any indication that a purchaser may be intending to use a product outside of our accepted criteria.Disclaimer
Though we do strive to guarantee the information represented in this datasheet, AAA Biotech cannot be held responsible for any oversights or imprecisions. AAA Biotech reserves the right to adjust any aspect of this datasheet at any time and without notice. It is the responsibility of the customer to inform AAA Biotech of any product performance issues observed or experienced within 30 days of receipt of said product. To see additional details on this or any of our other policies, please see our Terms & Conditions page.Item has been added to Shopping Cart
If you are ready to order, navigate to Shopping Cart and get ready to checkout.
