Mouse CD68 Monoclonal Antibody | anti-CD68 antibody
CD68 (Macrophage Marker) Mouse Monoclonal Antibody
Gene Names
CD68; GP110; LAMP4; SCARD1
Reactivity
Cat, Human, Monkey, Mouse, Rabbit, Rat
Applications
Immunohistochemistry, Immunofluorescence, Flow Cytometry, Functional Assay
Synonyms
CD68, Antibody; CD68 (Macrophage Marker) Mouse Monoclonal Antibody; GP110, LAMP4, Microsialin, Macrosialin, SCARD1, Scavenger Receptor Class D Member-1; anti-CD68 antibody
Host
Mouse
Reactivity
Cat, Human, Monkey, Mouse, Rabbit, Rat
Clonality
Monoclonal
Isotype
IgG1, kappa
Clone Number
SPM130
Specificity
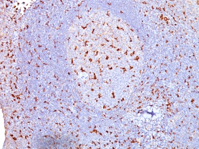
This antibody recognizes a glycoprotein of 110kDa, which is identified as CD68. It is important for identifying macrophages in tissue sections. It stains macrophages in a wide variety of human tissues, including Kupffer cells and macrophages in the red pulp of the spleen, in lamina propria of the gut, in lung alveoli, and in bone marrow. It reacts with myeloid precursors and peripheral blood granulocytes. It also reacts with plasmacytoid T cells, which are supposed to be of monocyte/macrophage origin. It shows strong granular cytoplasmic staining of chronic and acute myeloid leukemia and also reacts with rare cases of true histiocytic neoplasia. Lymphomas are negative or show few granules.
Form/Format
200ug/ml of Ab purified from Bioreactor Concentrate by Protein A/G. Prepared in 10mM PBS with 0.05% BSA & 0.05% azide. Also available WITHOUT BSA & azide at 1.0mg/ml.
Sequence Length
327
Applicable Applications for anti-CD68 antibody
IHC (Immunohistochemistry), IF (Immunofluorescence), FCM/FACS (Flow Cytometry)
Cellular Localization
Cell membrane, Endosome membrane, Lysosome membrane
Immunogen
Subcellular fraction of human alveolar macrophages
Positive Control
Tonsil, Lymph Node or Spleen
Research Areas
Hematopoietic Stem Cells, Immunology
Preparation and Storage
Antibody with azide - store at 2 to 8 degree C. Antibody is stable for 24 months. Non-hazardous. No MSDS required.
References
Pulford KA et. al. Journal of Clinical Pathology, 1989, 42(4):414-21. Warnke RA et. al. Am J of Pathol, 1989, 135:1089-95
NCBI and Uniprot Product Information
NCBI GI #
NCBI GeneID
NCBI Accession #
NCBI GenBank Nucleotide #
Molecular Weight
110kDa
NCBI Official Full Name
macrosialin isoform B
NCBI Official Synonym Full Names
CD68 molecule
NCBI Official Symbol
CD68
NCBI Official Synonym Symbols
GP110; LAMP4; SCARD1
NCBI Protein Information
macrosialin
UniProt Protein Name
Macrosialin
UniProt Gene Name
CD68
UniProt Entry Name
CD68_HUMAN
Customer Reviews
Loading reviews...
Share Your Experience
Similar Products
Product Notes
The CD68 cd68 (Catalog #AAA62541) is an Antibody produced from Mouse and is intended for research purposes only. The product is available for immediate purchase. The CD68 (Macrophage Marker) Mouse Monoclonal Antibody reacts with Cat, Human, Monkey, Mouse, Rabbit, Rat and may cross-react with other species as described in the data sheet. AAA Biotech's CD68 can be used in a range of immunoassay formats including, but not limited to, IHC (Immunohistochemistry), IF (Immunofluorescence), FCM/FACS (Flow Cytometry). Researchers should empirically determine the suitability of the CD68 cd68 for an application not listed in the data sheet. Researchers commonly develop new applications and it is an integral, important part of the investigative research process. It is sometimes possible for the material contained within the vial of "CD68, Monoclonal Antibody" to become dispersed throughout the inside of the vial, particularly around the seal of said vial, during shipment and storage. We always suggest centrifuging these vials to consolidate all of the liquid away from the lid and to the bottom of the vial prior to opening. Please be advised that certain products may require dry ice for shipping and that, if this is the case, an additional dry ice fee may also be required.Precautions
All products in the AAA Biotech catalog are strictly for research-use only, and are absolutely not suitable for use in any sort of medical, therapeutic, prophylactic, in-vivo, or diagnostic capacity. By purchasing a product from AAA Biotech, you are explicitly certifying that said products will be properly tested and used in line with industry standard. AAA Biotech and its authorized distribution partners reserve the right to refuse to fulfill any order if we have any indication that a purchaser may be intending to use a product outside of our accepted criteria.Disclaimer
Though we do strive to guarantee the information represented in this datasheet, AAA Biotech cannot be held responsible for any oversights or imprecisions. AAA Biotech reserves the right to adjust any aspect of this datasheet at any time and without notice. It is the responsibility of the customer to inform AAA Biotech of any product performance issues observed or experienced within 30 days of receipt of said product. To see additional details on this or any of our other policies, please see our Terms & Conditions page.Item has been added to Shopping Cart
If you are ready to order, navigate to Shopping Cart and get ready to checkout.
