Mouse CD79b Monoclonal Antibody | anti-CD79b antibody
CD79b (B-Cell Marker)
Gene Names
CD79B; B29; IGB; AGM6
Reactivity
Human. Others not known.
Applications
Western Blot, ELISA
Synonyms
CD79b, Antibody; CD79b (B-Cell Marker); AGM6; B-cell antigen receptor complex-associated protein beta chain; B-cell-specific glycoprotein B29; B29; B29/Ig-beta/CD79b; CD79b; Ig-beta; IGB; Immunoglobulin-associated B29 protein; anti-CD79b antibody
Host
Mouse
Reactivity
Human. Others not known.
Clonality
Monoclonal
Isotype
IgG1, kappa
Clone Number
IGB/1843
Specificity
CD79 (also designated Ig ?/Ig ?) is a heterodimer composed of ? chains, designated CD79A or MB-1, and ? chains, designated CD79B or B29. The B cell antigen receptor complex (BCR) is formed by the association of CD79 with a membrane immunoglobulin, such as IgM or IgD. The membrane immunoglobulins IgM and IgD achieve surface expression and antigen presentation function in response to CD79 association. The cytoplasmic tails of both CD79A and CD79B contain an ITAM (immuno-receptor tyrosine-based activation) motif, which acts to initiate the BCR signaling reactions by binding to and activating tyrosine kinases.
Form/Format
200ug/ml of Ab purified from Bioreactor Concentrate by Protein A/G. Prepared in 10mM PBS with 0.05% BSA & 0.05% azide. Also available WITHOUT BSA & azide at 1.0mg/ml.
Sequence Length
229
Applicable Applications for anti-CD79b antibody
WB (Western Blot), ELISA
Immunogen
Recombinant fragment of human CD79b protein (around aa 29-159)
Cellular Localization
Cell Surface
Hu-chromosome Location
17q23.3
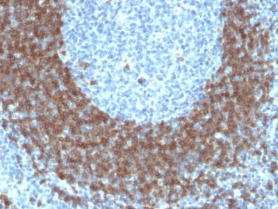
Positive Control
Daudi or Ramos cells. Germinal center B-cells in a lymph node or tonsil.
Preparation and Storage
Antibody with azide - store at 2 to 8 degree C.
Antibody without azide - store at -20 to -80 degree C.
Antibody is stable for 24 months. Non-hazardous. No MSDS required.
Antibody without azide - store at -20 to -80 degree C.
Antibody is stable for 24 months. Non-hazardous. No MSDS required.
References
Mason, D.Y., et al. 1992. The B29 and MB-1 polypeptides are differentially expressed during human B cell differentiation. Eur. J. Immunol. 22:2753-2756. Wood, W.J., Jr., et al. 1993. Isolation and chromosomal mapping of the human immunoglobulin-associated B29 gene (IGB). Genomics 16: 187-192.
NCBI and Uniprot Product Information
NCBI GI #
NCBI GeneID
NCBI Accession #
NCBI GenBank Nucleotide #
Molecular Weight
39kDa
NCBI Official Full Name
B-cell antigen receptor complex-associated protein beta chain isoform 1
NCBI Official Synonym Full Names
CD79b molecule
NCBI Official Symbol
CD79B
NCBI Official Synonym Symbols
B29; IGB; AGM6
NCBI Protein Information
B-cell antigen receptor complex-associated protein beta chain
UniProt Protein Name
B-cell antigen receptor complex-associated protein beta chain
UniProt Gene Name
CD79B
UniProt Synonym Gene Names
B29; IGB
Customer Reviews
Loading reviews...
Share Your Experience
Similar Products
Product Notes
The CD79b cd79b (Catalog #AAA214618) is an Antibody produced from Mouse and is intended for research purposes only. The product is available for immediate purchase. The CD79b (B-Cell Marker) reacts with Human. Others not known. and may cross-react with other species as described in the data sheet. AAA Biotech's CD79b can be used in a range of immunoassay formats including, but not limited to, WB (Western Blot), ELISA. Researchers should empirically determine the suitability of the CD79b cd79b for an application not listed in the data sheet. Researchers commonly develop new applications and it is an integral, important part of the investigative research process. It is sometimes possible for the material contained within the vial of "CD79b, Monoclonal Antibody" to become dispersed throughout the inside of the vial, particularly around the seal of said vial, during shipment and storage. We always suggest centrifuging these vials to consolidate all of the liquid away from the lid and to the bottom of the vial prior to opening. Please be advised that certain products may require dry ice for shipping and that, if this is the case, an additional dry ice fee may also be required.Precautions
All products in the AAA Biotech catalog are strictly for research-use only, and are absolutely not suitable for use in any sort of medical, therapeutic, prophylactic, in-vivo, or diagnostic capacity. By purchasing a product from AAA Biotech, you are explicitly certifying that said products will be properly tested and used in line with industry standard. AAA Biotech and its authorized distribution partners reserve the right to refuse to fulfill any order if we have any indication that a purchaser may be intending to use a product outside of our accepted criteria.Disclaimer
Though we do strive to guarantee the information represented in this datasheet, AAA Biotech cannot be held responsible for any oversights or imprecisions. AAA Biotech reserves the right to adjust any aspect of this datasheet at any time and without notice. It is the responsibility of the customer to inform AAA Biotech of any product performance issues observed or experienced within 30 days of receipt of said product. To see additional details on this or any of our other policies, please see our Terms & Conditions page.Item has been added to Shopping Cart
If you are ready to order, navigate to Shopping Cart and get ready to checkout.
