Rat anti-Mouse CD8a (Ly 2) Monoclonal Antibody | anti-CD8a (Ly 2) antibody
Anti-Mouse CD8a (Ly 2) Purified (Clone CT-CD8a) (rat IgG2a)
Gene Names
CD8A; CD8; MAL; p32; Leu2
Reactivity
Mouse
Synonyms
CD8a (Ly 2), Antibody; Anti-Mouse CD8a (Ly 2) Purified (Clone CT-CD8a) (rat IgG2a); CD8a (Ly 2) Purified (Clone CT-CD8a) (rat IgG2a); Anti-Mouse CD8a Antigen Monoclonal Antibody; anti-CD8a (Ly 2) antibody
Host
Rat
Reactivity
Mouse
Clonality
Monoclonal
Isotype
Rat IgG2a
Clone Number
CT-CD8a
Specificity
CD8a (Ly 2; Lyt 2) (Mouse CD8a)
Form/Format
Purified
Concentration
1.0 mg/ml (varies by lot)
Sequence Length
235
Presentation
Purified IgG buffered in PBS and 0.02% NaN3. (Purified from ascitic fluid via Protein G Chromatography). For maximal recovery of contents, please quick-spin vial before opening.
Preparation and Storage
For all formats, store at 4 degree C. DO NOT FREEZE APC, PE and TC conjugates. For long term storage (Purified, Biotin and FITC), aliquot and freeze unused portion at -20 degree C in volumes appropriate for single usage. Avoid freeze/thaw cycles.
Related Product Information for anti-CD8a (Ly 2) antibody
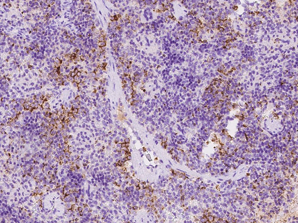
anti-mouse CD8a antigen monoclonal antibody binds to a protein of approximately 30,000 daltons found on 85% of mouse thymocytes, mouse cytotoxic/suppressor T cells and their precursors. It does not bind to mouse helper/inducer T cells. This antibody is not strain specific and can be used with all commonly used laboratory mice. This antibody is suitable for use in flow cytometry, in vivo assays and immunohistochemistry (Frozen and paraffinembedded sections).
NCBI and Uniprot Product Information
NCBI GI #
NCBI GeneID
Molecular Weight
25,729 Da
NCBI Official Full Name
CD8a molecule
NCBI Official Synonym Full Names
CD8a molecule
NCBI Official Symbol
CD8A
NCBI Official Synonym Symbols
CD8; MAL; p32; Leu2
NCBI Protein Information
T-cell surface glycoprotein CD8 alpha chain; T8 T-cell antigen; T cell co-receptor; OKT8 T-cell antigen; T-cell antigen Leu2; Leu2 T-lymphocyte antigen; CD8 antigen, alpha polypeptide (p32); T-lymphocyte differentiation antigen T8/Leu-2
UniProt Protein Name
T-cell surface glycoprotein CD8 alpha chain
UniProt Gene Name
CD8A
UniProt Synonym Gene Names
MAL
UniProt Entry Name
CD8A_HUMAN
Customer Reviews
Loading reviews...
Share Your Experience
Similar Products
Product Notes
The CD8a (Ly 2) cd8a (Catalog #AAA74164) is an Antibody produced from Rat and is intended for research purposes only. The product is available for immediate purchase. The Anti-Mouse CD8a (Ly 2) Purified (Clone CT-CD8a) (rat IgG2a) reacts with Mouse and may cross-react with other species as described in the data sheet. It is sometimes possible for the material contained within the vial of "CD8a (Ly 2), Monoclonal Antibody" to become dispersed throughout the inside of the vial, particularly around the seal of said vial, during shipment and storage. We always suggest centrifuging these vials to consolidate all of the liquid away from the lid and to the bottom of the vial prior to opening. Please be advised that certain products may require dry ice for shipping and that, if this is the case, an additional dry ice fee may also be required.Precautions
All products in the AAA Biotech catalog are strictly for research-use only, and are absolutely not suitable for use in any sort of medical, therapeutic, prophylactic, in-vivo, or diagnostic capacity. By purchasing a product from AAA Biotech, you are explicitly certifying that said products will be properly tested and used in line with industry standard. AAA Biotech and its authorized distribution partners reserve the right to refuse to fulfill any order if we have any indication that a purchaser may be intending to use a product outside of our accepted criteria.Disclaimer
Though we do strive to guarantee the information represented in this datasheet, AAA Biotech cannot be held responsible for any oversights or imprecisions. AAA Biotech reserves the right to adjust any aspect of this datasheet at any time and without notice. It is the responsibility of the customer to inform AAA Biotech of any product performance issues observed or experienced within 30 days of receipt of said product. To see additional details on this or any of our other policies, please see our Terms & Conditions page.Item has been added to Shopping Cart
If you are ready to order, navigate to Shopping Cart and get ready to checkout.
