Rabbit anti-Human CD99/MIC2 Monoclonal Antibody | anti-CD99 antibody
CD99/MIC2 (Ewing s Sarcoma Marker) Recombinant Rabbit Monoclonal Antibody [Clone MIC2/3478R]
Gene Names
CD99; MIC2; HBA71; MIC2X; MIC2Y; MSK5X
Reactivity
Human
Applications
Immunohistochemistry
Synonyms
CD99/MIC2, Antibody; CD99/MIC2 (Ewing s Sarcoma Marker) Recombinant Rabbit Monoclonal Antibody [Clone MIC2/3478R]; CD99/MIC2 (Ewing s Sarcoma Marker); 12E7; E2 antigen; MIC 2X; MIC 2Y; MIC2; Protein MIC2; Surface antigen MIC2; T-cell surface glycoprotein E2; anti-CD99 antibody
Host
Rabbit
Reactivity
Human
Clonality
Monoclonal
Isotype
Rabbit/IgG
Clone Number
MIC2/3478R
Form/Format
200ug/ml of Ab purified by Protein A Column. Prepared in 10mM PBS with 0. 05% BSA & 0. 05% azide. Also available WITHOUT BSA & azide at 1.0mg/ml.
Concentration
Purified Ab with BSA and Azide at 200ug/ml
OR
Purified Ab WITHOUT BSA and Azide at 1.0mg/ml (varies by lot)
OR
Purified Ab WITHOUT BSA and Azide at 1.0mg/ml (varies by lot)
Applicable Applications for anti-CD99 antibody
IHC (Immunohistochemistry)
Antibody Type
Recombinant Antibody
Immunogen
Synthetic peptide corresponding to CD99 residues within aa85 C terminal of CD99 was used as an immunogen.
Cellular Localization
Cell Surface
Positive Control
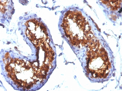
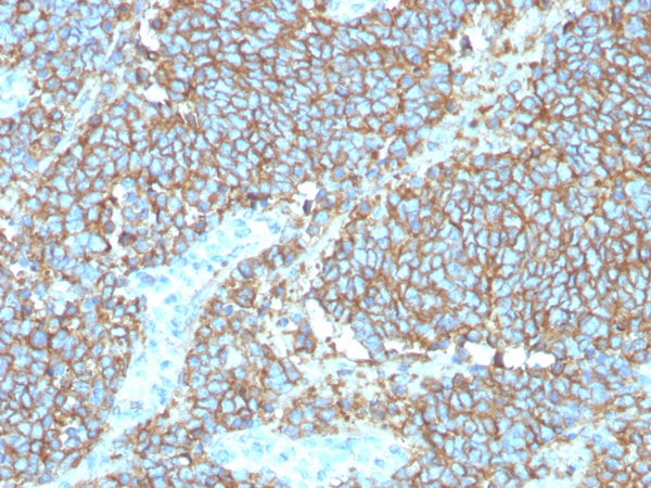
MOLT-4 cells. Pancreas or Ewing s sarcoma
Hu-chromosome Location
Xp22.33
Unigene
653349
Preparation and Storage
Antibody with azide: store at 2 to 8 degree C
Antibody without azide: store at -20 to -80 degree C
Antibody is stable for 24 months. Non-hazardous. No MSDS required.
Antibody without azide: store at -20 to -80 degree C
Antibody is stable for 24 months. Non-hazardous. No MSDS required.
Related Product Information for anti-CD99 antibody
CD99 is a type I transmembrane glycoprotein encoded by the CD99 gene and the functions of CD99 in cells in which CD99 was highly expressed have been studied and they were as follows: cell death of thymocytes and T lymphocytes, migration through monocyte endothelial junctions by adhesion and diapedesis, cell-cell adhesion in lymphocytes, maintenance of cellular morphology in Hodgkin and Reed/Sternberg cells, and recruitment of T cells. CD99 expression has been reported in many cell types, such as hematopoietic cells, endothelial cells, central nervous system ependymal cells, thymocytes, granular cells of the ovary, Sertoli cells, and pancreatic islet cells. And in tumors it expressed by virtually almost all Ewing s sarcoma and primitive peripheral neuroectodermal tumors (ES/PNET) and demonstrates strong and diffuse membranous staining. Other tumors that may show CD99 expression include neuroendocrine carcinomas, mesenchymal chondrosarcomas, solitary fibrous tumors, synovial sarcomas, vascular tumors, small round blue cell tumors, lymphoblastic lymphoma, acute myeloid leukemia, and myeloid sarcoma. Studies have shown that CD99 may be a sensitive marker for Ewing s sarcoma and peripheral neuroectodermal tumors.
NCBI and Uniprot Product Information
NCBI GI #
NCBI GeneID
NCBI Accession #
NCBI GenBank Nucleotide #
Molecular Weight
18,848 Da
NCBI Official Full Name
CD99 antigen isoform a
NCBI Official Synonym Full Names
CD99 molecule
NCBI Official Symbol
CD99
NCBI Official Synonym Symbols
MIC2; HBA71; MIC2X; MIC2Y; MSK5X
NCBI Protein Information
CD99 antigen; E2 antigen; surface antigen MIC2; T-cell surface glycoprotein E2; MIC2 (monoclonal antibody 12E7); antigen identified by monoclonal 12E7, Y homolog; antigen identified by monoclonal antibodies 12E7, F21 and O13
UniProt Protein Name
CD99 antigen
UniProt Gene Name
CD99
UniProt Synonym Gene Names
MIC2; MIC2X; MIC2Y
UniProt Entry Name
CD99_HUMAN
Customer Reviews
Loading reviews...
Share Your Experience
Similar Products
Product Notes
The CD99 cd99 (Catalog #AAA215804) is an Antibody produced from Rabbit and is intended for research purposes only. The product is available for immediate purchase. The CD99/MIC2 (Ewing s Sarcoma Marker) Recombinant Rabbit Monoclonal Antibody [Clone MIC2/3478R] reacts with Human and may cross-react with other species as described in the data sheet. AAA Biotech's CD99/MIC2 can be used in a range of immunoassay formats including, but not limited to, IHC (Immunohistochemistry). Researchers should empirically determine the suitability of the CD99 cd99 for an application not listed in the data sheet. Researchers commonly develop new applications and it is an integral, important part of the investigative research process. It is sometimes possible for the material contained within the vial of "CD99/MIC2, Monoclonal Antibody" to become dispersed throughout the inside of the vial, particularly around the seal of said vial, during shipment and storage. We always suggest centrifuging these vials to consolidate all of the liquid away from the lid and to the bottom of the vial prior to opening. Please be advised that certain products may require dry ice for shipping and that, if this is the case, an additional dry ice fee may also be required.Precautions
All products in the AAA Biotech catalog are strictly for research-use only, and are absolutely not suitable for use in any sort of medical, therapeutic, prophylactic, in-vivo, or diagnostic capacity. By purchasing a product from AAA Biotech, you are explicitly certifying that said products will be properly tested and used in line with industry standard. AAA Biotech and its authorized distribution partners reserve the right to refuse to fulfill any order if we have any indication that a purchaser may be intending to use a product outside of our accepted criteria.Disclaimer
Though we do strive to guarantee the information represented in this datasheet, AAA Biotech cannot be held responsible for any oversights or imprecisions. AAA Biotech reserves the right to adjust any aspect of this datasheet at any time and without notice. It is the responsibility of the customer to inform AAA Biotech of any product performance issues observed or experienced within 30 days of receipt of said product. To see additional details on this or any of our other policies, please see our Terms & Conditions page.Item has been added to Shopping Cart
If you are ready to order, navigate to Shopping Cart and get ready to checkout.
