Mouse Chaperonin Containing TCP1, Subunit 2 (CCT2) Monoclonal Antibody | anti-CCT2 antibody
Monoclonal Antibody to Chaperonin Containing TCP1, Subunit 2 (CCT2)
Stable for 12 months if correctly stored.
The thermal stability is described by the loss rate. The loss rate was determined by accelerated thermal degradation test, that is, incubate the protein at 37 degree C for 48h, and no obvious degradation and precipitation were observed. The loss rate is less than 5% within the expiration date under appropriate storage condition.
WB (Western Blot)
(Western Blot; Sample: Lane1: human Lung lysate; Lane2: Rat Testis lysate; Lane3: Porcine Testis lysate; Lane4: Hela cell lysate; Lane5: U2OS cell lysatePrimary Ab: 0.6ug/ml Mouse Anti-human CCT2 AntibodySecond Ab: 0.2ug/mL HRP-Linked Caprine Anti-Mouse IgG Polyclonal Antibody)
WB (Western Blot)
(Western Blot; Sample: Lane1: human Lung lysate; Lane2: Porcine Testis lysate; Lane3: Hela cell lysate; Lane4: U2OS cell lysate Primary Ab: 0.3ug/ml Mouse Anti-human CCT2 Antibody Second Ab: 0.2ug/mL HRP-Linked Caprine Anti-Mouse IgG Polyclonal Antibody)
IF (Immunofluorescence)
(AF488 staining on IF;Sample: Hela cellPrimary Ab: 30ug/ml Mouse Anti-human CCT2 AntibodySecond Ab: 2 ug/ml AF488-Linked Caprine Anti-Mouse IgG Polyclonal Antibody)
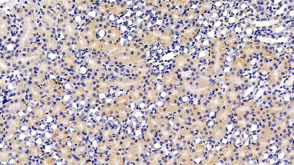
IHC (Immunohistochemistry)
(DAB staining on IHC-P; Sample: Mouse Kidney Tissue; Primary Ab: 30ug/ml Mouse Anti-human CCT2 Antibody Second Ab: 2ug/mL HRP-Linked Caprine Anti-Mouse IgG Polyclonal Antibody)
NCBI and Uniprot Product Information
Customer Reviews
Loading reviews...
Share Your Experience
Similar Products
Product Notes
The CCT2 cct2 (Catalog #AAA152828) is an Antibody produced from Mouse and is intended for research purposes only. The product is available for immediate purchase. The immunogen sequence is Met1~Cys488. The Monoclonal Antibody to Chaperonin Containing TCP1, Subunit 2 (CCT2) reacts with Human, Mouse, Rat, Pig and may cross-react with other species as described in the data sheet. AAA Biotech's Chaperonin Containing TCP1, Subunit 2 (CCT2) can be used in a range of immunoassay formats including, but not limited to, IP (Immunoprecipitation), ICC (Immunocytochemistry), IHC (Immunohistochemistry), WB (Western Blot). Researchers should empirically determine the suitability of the CCT2 cct2 for an application not listed in the data sheet. Researchers commonly develop new applications and it is an integral, important part of the investigative research process. It is sometimes possible for the material contained within the vial of "Chaperonin Containing TCP1, Subunit 2 (CCT2), Monoclonal Antibody" to become dispersed throughout the inside of the vial, particularly around the seal of said vial, during shipment and storage. We always suggest centrifuging these vials to consolidate all of the liquid away from the lid and to the bottom of the vial prior to opening. Please be advised that certain products may require dry ice for shipping and that, if this is the case, an additional dry ice fee may also be required.Precautions
All products in the AAA Biotech catalog are strictly for research-use only, and are absolutely not suitable for use in any sort of medical, therapeutic, prophylactic, in-vivo, or diagnostic capacity. By purchasing a product from AAA Biotech, you are explicitly certifying that said products will be properly tested and used in line with industry standard. AAA Biotech and its authorized distribution partners reserve the right to refuse to fulfill any order if we have any indication that a purchaser may be intending to use a product outside of our accepted criteria.Disclaimer
Though we do strive to guarantee the information represented in this datasheet, AAA Biotech cannot be held responsible for any oversights or imprecisions. AAA Biotech reserves the right to adjust any aspect of this datasheet at any time and without notice. It is the responsibility of the customer to inform AAA Biotech of any product performance issues observed or experienced within 30 days of receipt of said product. To see additional details on this or any of our other policies, please see our Terms & Conditions page.Item has been added to Shopping Cart
If you are ready to order, navigate to Shopping Cart and get ready to checkout.
