Rabbit Choline Acetyltransferase Monoclonal Antibody | anti-CHAT antibody
Choline Acetyltransferase
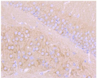
IHC (Immunohistochemisry)
(Immunohistochemical analysis of parafin-embedded mouse brain tissue using anti- Choline Acetyltransferase antibody. The section was pre-treated using heat mediated antigen retrieval with Tris-EDTA buffer (pH 8.0-8.4) for 20 minutes.The tissues were blocked in 5% BSA for 30 minutes at room temperature, washed with ddH2O and PBS, and then probed with the primary antibody for 30 minutes at room temperature. The detection was performed using an HRP conjugated compact polymer system. DAB was used as the chromogen. Tissues were counterstained with hematoxylin and mounted with DPX)
WB (Western Blot)
(Western blot analysis of Choline Acetyltransferase on di ferent lysates withRabbit anti-Choline Acetyltransferase antibody at 1/5,000 dilution.Lane 1: Human brain tissue lysate.Lane 2: Mouse brain tissue lysate.Lane 3: Rat brain tissue lysate. Lysates/proteins at 20 ug/Lane.Predicted band size: 83 kDa.Observed band size: 60-83 kDa.Exposure time: 20 seconds; 4-20% SDS-PAGE gel. Proteins were transferred to a PVDF membrane and blocked with 5% NFDM/TBST for 1 hour at room temperature.The primary antibody at 1/5,000 dilution was used in 5% NFDM/TBST at 4 degree C overnight. Goat Anti-Rabbit IgG - HRP Secondary Antibody at 1/50,000 dilution was used for 1 hour at room temperature.)
FCM/FACS (Flow Cytometry)
(Flow cytometric analysis of N2A cells with Choline Acetyltransferase antibody AAA268423 at 1/50 dilution (red) compared with an unlabelled control (cells without incubation with primary antibody; black). Alexa Fluor 488-conjugated goat anti-rabbit IgG was used as the secondary antibody.)
NCBI and Uniprot Product Information
Customer Reviews
Loading reviews...
Share Your Experience
Similar Products
Product Notes
The CHAT chat (Catalog #AAA268423) is an Antibody produced from Rabbit and is intended for research purposes only. The product is available for immediate purchase. The Choline Acetyltransferase reacts with Human, Mouse, Rat and may cross-react with other species as described in the data sheet. AAA Biotech's Choline Acetyltransferase can be used in a range of immunoassay formats including, but not limited to, FCM/FACS (Flow Cytometry), IHC (Immunohistochemistry), IF (Immunofluorescence), IP (Immunoprecipitation), WB (Western Blot). Researchers should empirically determine the suitability of the CHAT chat for an application not listed in the data sheet. Researchers commonly develop new applications and it is an integral, important part of the investigative research process. It is sometimes possible for the material contained within the vial of "Choline Acetyltransferase, Monoclonal Antibody" to become dispersed throughout the inside of the vial, particularly around the seal of said vial, during shipment and storage. We always suggest centrifuging these vials to consolidate all of the liquid away from the lid and to the bottom of the vial prior to opening. Please be advised that certain products may require dry ice for shipping and that, if this is the case, an additional dry ice fee may also be required.Precautions
All products in the AAA Biotech catalog are strictly for research-use only, and are absolutely not suitable for use in any sort of medical, therapeutic, prophylactic, in-vivo, or diagnostic capacity. By purchasing a product from AAA Biotech, you are explicitly certifying that said products will be properly tested and used in line with industry standard. AAA Biotech and its authorized distribution partners reserve the right to refuse to fulfill any order if we have any indication that a purchaser may be intending to use a product outside of our accepted criteria.Disclaimer
Though we do strive to guarantee the information represented in this datasheet, AAA Biotech cannot be held responsible for any oversights or imprecisions. AAA Biotech reserves the right to adjust any aspect of this datasheet at any time and without notice. It is the responsibility of the customer to inform AAA Biotech of any product performance issues observed or experienced within 30 days of receipt of said product. To see additional details on this or any of our other policies, please see our Terms & Conditions page.Item has been added to Shopping Cart
If you are ready to order, navigate to Shopping Cart and get ready to checkout.
