Mouse anti-Human Cleaved PARP1 Monoclonal Antibody | anti-PARP1 antibody
Anti-Cleaved PARP1 Antibody
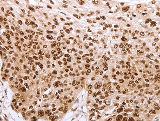
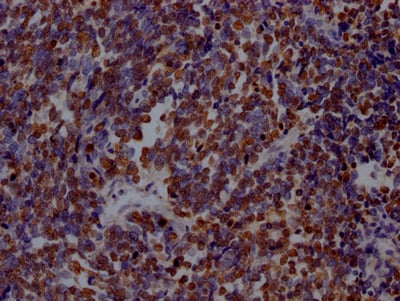
IHC (Immunohiostchemistry)
(Dilution: WB: (1/2000 - 1/5000), IH (1/200 - 1/500)Immunohistochemical analysis of Cleaved PARP1 staining in human tonsil formalin fixed paraffin embedded tissue section. The section was pre-treated using heat mediated antigen retrieval with sodium citrate buffer (pH 6.0). The section was then incubated with the antibody at room temperature and detected using an HRP conjugated compact polymer system. DAB was used as the chromogen. The section was then counterstained with haematoxylin and mounted with DPX.)
WB (Western Blot)
(Dilution: WB (1/2000 - 1/5000), IH (1/200 - 1/500)Western blot analysis of Cleaved PARP1 expression in Jurkat (A) whole cell lysates.)
KLH-conjugated synthetic peptide encompassing a sequence of human Cleaved PARP1. The exact sequence is proprietary.
Poly-ADP-ribosyltransferase that mediates poly-ADP- ribosylation of proteins and plays a key role in DNA repair (PubMed:17177976, PubMed:18172500, PubMed:19344625, PubMed:19661379, PubMed:23230272, PubMed:25043379, PubMed:33186521, PubMed:32028527, PubMed:26344098). Mediates glutamate, aspartate, serine or tyrosine ADP-ribosylation of proteins: the ADP-D-ribosyl group of NAD(+) is transferred to the acceptor carboxyl group of target residues and further ADP-ribosyl groups are transferred to the 2'-position of the terminal adenosine moiety, building up a polymer with an average chain length of 20-30 units (PubMed:7852410, PubMed:9315851, PubMed:19764761, PubMed:25043379, PubMed:28190768, PubMed:29954836). Serine ADP- ribosylation of proteins constitutes the primary form of ADP- ribosylation of proteins in response to DNA damage (PubMed:33186521). Mainly mediates glutamate and aspartate ADP-ribosylation of target proteins in absence of HPF1 (PubMed:19764761, PubMed:25043379). Following interaction with HPF1, catalyzes serine ADP-ribosylation of target proteins; HPF1 conferring serine specificity by completing the PARP1 active site (PubMed:28190768, PubMed:29954836, PubMed:33186521, PubMed:32028527). Also catalyzes tyrosine ADP-ribosylation of target proteins following interaction with HPF1 (PubMed:30257210, PubMed:29954836). PARP1 initiates the repair of DNA breaks: recognizes and binds DNA breaks within chromatin and recruits HPF1, licensing serine ADP-ribosylation of target proteins, such as histones, thereby promoting decompaction of chromatin and the recruitment of repair factors leading to the reparation of DNA strand breaks (PubMed:17177976, PubMed:18172500, PubMed:19344625, PubMed:19661379, PubMed:23230272, PubMed:27067600). In addition to base excision repair (BER) pathway, also involved in double-strand breaks (DSBs) repair: together with TIMELESS, accumulates at DNA damage sites and promotes homologous recombination repair by mediating poly-ADP-ribosylation (PubMed:26344098, PubMed:30356214). Mediates the poly(ADP-ribosyl)ation of a number of proteins, including itself, APLF and CHFR (PubMed:17396150, PubMed:19764761). In addition to proteins, also able to ADP-ribosylate DNA: catalyzes ADP-ribosylation of DNA strand break termini containing terminal phosphates and a 2'-OH group in single- and double-stranded DNA, respectively (PubMed:27471034). Required for PARP9 and DTX3L recruitment to DNA damage sites (PubMed:23230272). PARP1- dependent PARP9-DTX3L-mediated ubiquitination promotes the rapid and specific recruitment of 53BP1/TP53BP1, UIMC1/RAP80, and BRCA1 to DNA damage sites (PubMed:23230272). Acts as a regulator of transcription: positively regulates the transcription of MTUS1 and negatively regulates the transcription of MTUS2/TIP150 (PubMed:19344625). Plays a role in the positive regulation of IFNG transcription in T-helper 1 cells as part of an IFNG promoter-binding complex with TXK and EEF1A1 (PubMed:17177976). Involved in the synthesis of ATP in the nucleus, together with NMNAT1, PARG and NUDT5 (PubMed:27257257). Nuclear ATP generation is required for extensive chromatin remodeling events that are energy-consuming (PubMed:27257257).
NCBI and Uniprot Product Information
Customer Reviews
Loading reviews...
Share Your Experience
Similar Products
Product Notes
The PARP1 parp1 (Catalog #AAA293378) is an Antibody produced from Mouse and is intended for research purposes only. The product is available for immediate purchase. The Anti-Cleaved PARP1 Antibody reacts with Human and may cross-react with other species as described in the data sheet. AAA Biotech's Cleaved PARP1 can be used in a range of immunoassay formats including, but not limited to, IHC (Immunohistochemistry), WB (Western Blot). Researchers should empirically determine the suitability of the PARP1 parp1 for an application not listed in the data sheet. Researchers commonly develop new applications and it is an integral, important part of the investigative research process. It is sometimes possible for the material contained within the vial of "Cleaved PARP1, Monoclonal Antibody" to become dispersed throughout the inside of the vial, particularly around the seal of said vial, during shipment and storage. We always suggest centrifuging these vials to consolidate all of the liquid away from the lid and to the bottom of the vial prior to opening. Please be advised that certain products may require dry ice for shipping and that, if this is the case, an additional dry ice fee may also be required.Precautions
All products in the AAA Biotech catalog are strictly for research-use only, and are absolutely not suitable for use in any sort of medical, therapeutic, prophylactic, in-vivo, or diagnostic capacity. By purchasing a product from AAA Biotech, you are explicitly certifying that said products will be properly tested and used in line with industry standard. AAA Biotech and its authorized distribution partners reserve the right to refuse to fulfill any order if we have any indication that a purchaser may be intending to use a product outside of our accepted criteria.Disclaimer
Though we do strive to guarantee the information represented in this datasheet, AAA Biotech cannot be held responsible for any oversights or imprecisions. AAA Biotech reserves the right to adjust any aspect of this datasheet at any time and without notice. It is the responsibility of the customer to inform AAA Biotech of any product performance issues observed or experienced within 30 days of receipt of said product. To see additional details on this or any of our other policies, please see our Terms & Conditions page.Item has been added to Shopping Cart
If you are ready to order, navigate to Shopping Cart and get ready to checkout.
