Collagen XVII Recombinant Antibody | COL17A1 recombinant antibody
Collagen XVII Rabbit mAb
Gene Names
COL17A1; BP180; BPA-2; BPAG2; LAD-1; BA16H23.2
Reactivity
Human, Mouse, Rat
Applications
Immunoprecipitation, Immunofluorescence, Immunocytochemistry, Immunohistochemistry, Western Blot
Purity
Affinity-chromatography
Synonyms
Collagen XVII, Recombinant Antibody; Collagen XVII Rabbit mAb; BP180; BPA 2; BPAG2; COL17A1; Collagen 17; CollagenXVII; LAD1; COL17A1 recombinant antibody
Host
Rabbit
Reactivity
Human, Mouse, Rat
Clonality
Monoclonal
Isotype
Rabbit IgG
Specificity
Collagen XVII Antibody detects endogenous levels of total Collagen XVII
Purity/Purification
Affinity-chromatography
Form/Format
Rabbit IgG in phosphate buffered saline, pH7.4, 150mM NaCl, 0.02% sodium azide and 50% glycerol.
Applicable Applications for COL17A1 recombinant antibody
IP (Immunoprecipitation), IF (Immunofluorescence), ICC (Immunocytochemistry), IHC (Immunohistochemistry), WB (Western Blot)
Immunogen
A synthesized peptide derived from human Collagen XVII
Preparation and Storage
Store at +4 degree C short term. Store at -20 degree C long term. Avoid freeze/thaw cycle.
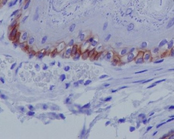
IHC (Immunohiostchemistry)
(Immunohistochemical analysis of paraffin-embedded mouse skin, using Collagen XVII Antibody.)
Related Product Information for COL17A1 recombinant antibody
May play a role in the integrity of hemidesmosome and the attachment of basal keratinocytes to the underlying basement membrane. The 120 kDa linear IgA disease antigen is an anchoring filament component involved in dermal-epidermal cohesion. Is the target of linear IgA bullous dermatosis autoantibodies.
Product Categories/Family for COL17A1 recombinant antibody
NCBI and Uniprot Product Information
NCBI GI #
NCBI GeneID
NCBI Accession #
NCBI GenBank Nucleotide #
Molecular Weight
150,419 Da
NCBI Official Full Name
collagen alpha-1(XVII) chain
NCBI Official Synonym Full Names
collagen, type XVII, alpha 1
NCBI Official Symbol
COL17A1
NCBI Official Synonym Symbols
BP180; BPA-2; BPAG2; LAD-1; BA16H23.2
NCBI Protein Information
collagen alpha-1(XVII) chain; collagen alpha-1(XVII) chain; alpha 1 type XVII collagen; type XVII collagen alpha-1; collagen XVII, alpha-1 polypeptide; 180 kDa bullous pemphigoid antigen 2; bullous pemphigoid antigen 2 (180kD); bA16H23.2 (collagen, type X
UniProt Protein Name
Collagen alpha-1(XVII) chain
UniProt Gene Name
COL17A1
UniProt Synonym Gene Names
BP180; BPAG2; LAD-1; 97 kDa LAD antigen; 97-LAD; LABD97
UniProt Entry Name
COHA1_HUMAN
Customer Reviews
Loading reviews...
Share Your Experience
Similar Products
Product Notes
The COL17A1 col17a1 (Catalog #AAA315219) is a Recombinant Antibody produced from Rabbit and is intended for research purposes only. The product is available for immediate purchase. The Collagen XVII Rabbit mAb reacts with Human, Mouse, Rat and may cross-react with other species as described in the data sheet. AAA Biotech's Collagen XVII can be used in a range of immunoassay formats including, but not limited to, IP (Immunoprecipitation), IF (Immunofluorescence), ICC (Immunocytochemistry), IHC (Immunohistochemistry), WB (Western Blot). Researchers should empirically determine the suitability of the COL17A1 col17a1 for an application not listed in the data sheet. Researchers commonly develop new applications and it is an integral, important part of the investigative research process. It is sometimes possible for the material contained within the vial of "Collagen XVII, Monoclonal Recombinant Antibody" to become dispersed throughout the inside of the vial, particularly around the seal of said vial, during shipment and storage. We always suggest centrifuging these vials to consolidate all of the liquid away from the lid and to the bottom of the vial prior to opening. Please be advised that certain products may require dry ice for shipping and that, if this is the case, an additional dry ice fee may also be required.Precautions
All products in the AAA Biotech catalog are strictly for research-use only, and are absolutely not suitable for use in any sort of medical, therapeutic, prophylactic, in-vivo, or diagnostic capacity. By purchasing a product from AAA Biotech, you are explicitly certifying that said products will be properly tested and used in line with industry standard. AAA Biotech and its authorized distribution partners reserve the right to refuse to fulfill any order if we have any indication that a purchaser may be intending to use a product outside of our accepted criteria.Disclaimer
Though we do strive to guarantee the information represented in this datasheet, AAA Biotech cannot be held responsible for any oversights or imprecisions. AAA Biotech reserves the right to adjust any aspect of this datasheet at any time and without notice. It is the responsibility of the customer to inform AAA Biotech of any product performance issues observed or experienced within 30 days of receipt of said product. To see additional details on this or any of our other policies, please see our Terms & Conditions page.Item has been added to Shopping Cart
If you are ready to order, navigate to Shopping Cart and get ready to checkout.
