CTLA4 recombinant antibody
CTLA4 Recombinant Monoclonal Antibody
FCM/FACS (Flow Cytometry)
(Overlay Peak curve showing JK cells stained with AAA279174 (red line) at 1:50. Then 10% normal goat serum was Incubated to block non-specific protein-protein interactions followed by the antibody (1ug/1*106cells) for 45 min at 4°C. The secondary antibody used was FITC-conjugated Goat Anti-Mouse IgG(H+L) at 1/200 dilution for 35 min at 4°C. Isotype control antibody (green line) was mouse IgG1 (1ug/1*106cells) used under the same conditions. Acquisition of >10,015 events was performed.)
IF (Immunofluorescence)
(Immunofluorescence staining of HEPG2 cell with AAA279174 at 1:30, counter-stained with DAPI. The cells were fixed in 4% formaldehyde and blocked in 10% normal Goat Serum. The cells were then incubated with the antibody overnight at 4C. The secondary antibody was FITC-conjugated AffiniPure Goat Anti-Mouse IgG(H+L).)
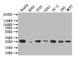
WB (Western Blot)
(Western BlotPositive WB detected in: HepG2 whole cell lysate, K562 whole cell lysate, SY5Y whole cell lysate, U251 whole cell lysate, PC-3 whole cell lysate, 293 whole cell lysate, MCF7 whole cell lysateAll lanes: CTLA4 antibody at 1:500SecondaryGoat polyclonal to mouse IgG at 1/50000 dilutionPredicted band size: 25 kDaObserved band size: 25 kDa)
NCBI and Uniprot Product Information
Customer Reviews
Loading reviews...
Share Your Experience
Similar Products
Product Notes
The CTLA4 ctla4 (Catalog #AAA279174) is a Recombinant Antibody produced from HEK293F Cell and is intended for research purposes only. The product is available for immediate purchase. The CTLA4 Recombinant Monoclonal Antibody reacts with Human and may cross-react with other species as described in the data sheet. AAA Biotech's CTLA4 can be used in a range of immunoassay formats including, but not limited to, FCM/FACS (Flow Cytometry), IF (Immunofluorescence), WB (Western Blot), ELISA. Researchers should empirically determine the suitability of the CTLA4 ctla4 for an application not listed in the data sheet. Researchers commonly develop new applications and it is an integral, important part of the investigative research process. It is sometimes possible for the material contained within the vial of "CTLA4, Monoclonal Recombinant Antibody" to become dispersed throughout the inside of the vial, particularly around the seal of said vial, during shipment and storage. We always suggest centrifuging these vials to consolidate all of the liquid away from the lid and to the bottom of the vial prior to opening. Please be advised that certain products may require dry ice for shipping and that, if this is the case, an additional dry ice fee may also be required.Precautions
All products in the AAA Biotech catalog are strictly for research-use only, and are absolutely not suitable for use in any sort of medical, therapeutic, prophylactic, in-vivo, or diagnostic capacity. By purchasing a product from AAA Biotech, you are explicitly certifying that said products will be properly tested and used in line with industry standard. AAA Biotech and its authorized distribution partners reserve the right to refuse to fulfill any order if we have any indication that a purchaser may be intending to use a product outside of our accepted criteria.Disclaimer
Though we do strive to guarantee the information represented in this datasheet, AAA Biotech cannot be held responsible for any oversights or imprecisions. AAA Biotech reserves the right to adjust any aspect of this datasheet at any time and without notice. It is the responsibility of the customer to inform AAA Biotech of any product performance issues observed or experienced within 30 days of receipt of said product. To see additional details on this or any of our other policies, please see our Terms & Conditions page.Item has been added to Shopping Cart
If you are ready to order, navigate to Shopping Cart and get ready to checkout.
