Cubilin Recombinant Antibody | CUBN recombinant antibody
Cubilin Rabbit mAb
Gene Names
CUBN; IFCR; MGA1; gp280
Reactivity
Human
Applications
Immunohistochemistry, Western Blot
Purity
Affinity-chromatography
Synonyms
Cubilin, Recombinant Antibody; Cubilin Rabbit mAb; Cubilin; Cubn; IFCR; MGA1; Cubilin precursor; megaloblastic anemia 1; CUBN recombinant antibody
Host
Rabbit
Reactivity
Human
Clonality
Monoclonal
Isotype
Rabbit IgG
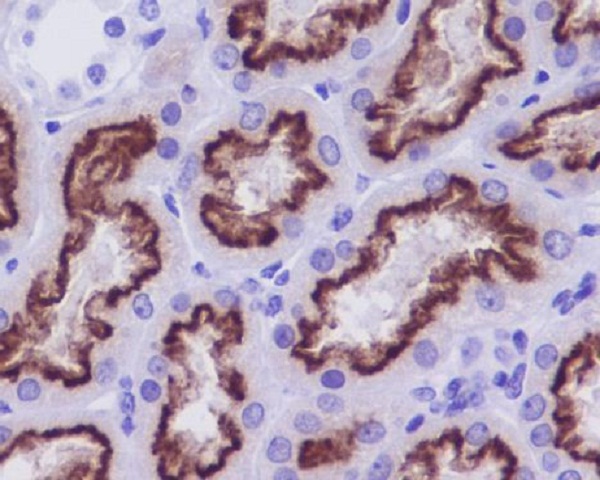
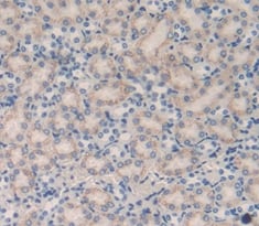
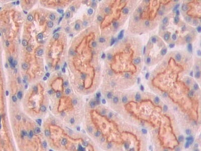
Specificity
Cubilin Antibody detects endogenous levels of total Cubilin
Purity/Purification
Affinity-chromatography
Form/Format
Rabbit IgG in phosphate buffered saline, pH7.4, 150mM NaCl, 0.02% sodium azide and 50% glycerol.
Applicable Applications for CUBN recombinant antibody
IHC (Immunohistochemistry), WB (Western Blot)
Immunogen
A synthesized peptide derived from human Cubilin
Preparation and Storage
Store at +4 degree C short term. Store at -20 degree C long term. Avoid freeze/thaw cycle.
Related Product Information for CUBN recombinant antibody
Cotransporter which plays a role in lipoprotein, vitamin and iron metabolism, by facilitating their uptake. Binds to ALB, MB, Kappa and lambda-light chains, TF, hemoglobin, GC, SCGB1A1, APOA1, high density lipoprotein, and the GIF-cobalamin complex. The binding of all ligands requires calcium. Serves as important transporter in several absorptive epithelia, including intestine, renal proximal tubules and embryonic yolk sac.
Product Categories/Family for CUBN recombinant antibody
NCBI and Uniprot Product Information
NCBI GI #
NCBI GeneID
NCBI Accession #
NCBI GenBank Nucleotide #
Molecular Weight
398736 MW
NCBI Official Full Name
cubilin
NCBI Official Synonym Full Names
cubilin
NCBI Official Symbol
CUBN
NCBI Official Synonym Symbols
IFCR; MGA1; gp280
NCBI Protein Information
cubilin
UniProt Protein Name
Cubilin
UniProt Gene Name
CUBN
UniProt Synonym Gene Names
IFCR
Customer Reviews
Loading reviews...
Share Your Experience
Similar Products
Product Notes
The CUBN cubn (Catalog #AAA314988) is a Recombinant Antibody produced from Rabbit and is intended for research purposes only. The product is available for immediate purchase. The Cubilin Rabbit mAb reacts with Human and may cross-react with other species as described in the data sheet. AAA Biotech's Cubilin can be used in a range of immunoassay formats including, but not limited to, IHC (Immunohistochemistry), WB (Western Blot). Researchers should empirically determine the suitability of the CUBN cubn for an application not listed in the data sheet. Researchers commonly develop new applications and it is an integral, important part of the investigative research process. It is sometimes possible for the material contained within the vial of "Cubilin, Monoclonal Recombinant Antibody" to become dispersed throughout the inside of the vial, particularly around the seal of said vial, during shipment and storage. We always suggest centrifuging these vials to consolidate all of the liquid away from the lid and to the bottom of the vial prior to opening. Please be advised that certain products may require dry ice for shipping and that, if this is the case, an additional dry ice fee may also be required.Precautions
All products in the AAA Biotech catalog are strictly for research-use only, and are absolutely not suitable for use in any sort of medical, therapeutic, prophylactic, in-vivo, or diagnostic capacity. By purchasing a product from AAA Biotech, you are explicitly certifying that said products will be properly tested and used in line with industry standard. AAA Biotech and its authorized distribution partners reserve the right to refuse to fulfill any order if we have any indication that a purchaser may be intending to use a product outside of our accepted criteria.Disclaimer
Though we do strive to guarantee the information represented in this datasheet, AAA Biotech cannot be held responsible for any oversights or imprecisions. AAA Biotech reserves the right to adjust any aspect of this datasheet at any time and without notice. It is the responsibility of the customer to inform AAA Biotech of any product performance issues observed or experienced within 30 days of receipt of said product. To see additional details on this or any of our other policies, please see our Terms & Conditions page.Item has been added to Shopping Cart
If you are ready to order, navigate to Shopping Cart and get ready to checkout.
