Mouse Cytokeratin 10 (KRT10) Monoclonal Antibody | anti-KRT10 antibody
Cytokeratin 10 (KRT10) (Suprabasal Epithelial Marker)
Gene Names
KRT10; BIE; EHK; K10; KPP; BCIE; CK10
Reactivity
Human, Mouse. Others not known.
Applications
Immunohistochemistry, Immunofluorescence, Flow Cytometry, Functional Assay
Synonyms
Cytokeratin 10 (KRT10), Antibody; Cytokeratin 10 (KRT10) (Suprabasal Epithelial Marker); BCIE; BIE; EHK; Keratin Type I Cytoskeletal 10; KRT10; anti-KRT10 antibody
Host
Mouse
Reactivity
Human, Mouse. Others not known.
Clonality
Monoclonal
Isotype
IgG1
Clone Number
rKRT10/844
Specificity
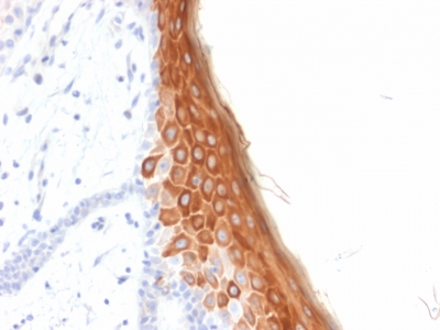
This MAb recognizes a protein of 56.5kDa, identified as cytokeratin 10 (CK10). CK10 is expressed in all suprabasal layers of the epidermis. In the epidermis, expression of CK10 strictly parallels the extent of differentiation; it is absent in the basal layer, appears in the first suprabasal layers and increases in concentration towards the granular layer. However, CK10 is rarely detected in early stages of vulvar squamous carcinomas (tumors less than 2 cm, clinical stage I) regardless of the tumor grade. In larger and more advanced tumors (greater than 2 cm, clinical stages II and III), CK10 is detected very frequently. Expression of CK10 is related to maturation of malignant keratinocytes, being preferentially detected in more-differentiated parts.
Form/Format
200ug/ml of Ab purified from Bioreactor Concentrate by Protein A/G. Prepared in 10mM PBS with 0.05% BSA & 0.05% azide. Also available WITHOUT BSA & azide at 1.0mg/ml.
Sequence Length
584
Applicable Applications for anti-KRT10 antibody
IHC (Immunohistochemistry), IF (Immunofluorescence), FCM/FACS (Flow Cytometry)
Immunogen
Recombinant full-length human KRT10 protein
Cellular Localization
Cytoplasmic
Hu-chromosome Location
17q21.2
Positive Control
A431, HeLa, MCF7 cells. Esophagus or tonsil.
Preparation and Storage
Antibody with azide - store at 2 to 8 degree C.
Antibody without azide - store at -20 to -80 degree C.
Antibody is stable for 24 months. Non-hazardous. No MSDS required.
Antibody without azide - store at -20 to -80 degree C.
Antibody is stable for 24 months. Non-hazardous. No MSDS required.
References
Reichelt J et al. J Cell Sci110 (Pt 18):2175-86 (1997). Barrott JJ et al. Proc Natl Acad Sci U S A108:12752-7 (2011)
NCBI and Uniprot Product Information
NCBI GI #
NCBI GeneID
NCBI Accession #
NCBI GenBank Nucleotide #
Molecular Weight
56.5kDa
NCBI Official Full Name
keratin, type I cytoskeletal 10
NCBI Official Synonym Full Names
keratin 10
NCBI Official Symbol
KRT10
NCBI Official Synonym Symbols
BIE; EHK; K10; KPP; BCIE; CK10
NCBI Protein Information
keratin, type I cytoskeletal 10
UniProt Protein Name
Keratin, type I cytoskeletal 10
UniProt Gene Name
KRT10
UniProt Synonym Gene Names
KPP; CK-10; K10
Customer Reviews
Loading reviews...
Share Your Experience
Similar Products
Product Notes
The KRT10 krt10 (Catalog #AAA214420) is an Antibody produced from Mouse and is intended for research purposes only. The product is available for immediate purchase. The Cytokeratin 10 (KRT10) (Suprabasal Epithelial Marker) reacts with Human, Mouse. Others not known. and may cross-react with other species as described in the data sheet. AAA Biotech's Cytokeratin 10 (KRT10) can be used in a range of immunoassay formats including, but not limited to, IHC (Immunohistochemistry), IF (Immunofluorescence), FCM/FACS (Flow Cytometry). Researchers should empirically determine the suitability of the KRT10 krt10 for an application not listed in the data sheet. Researchers commonly develop new applications and it is an integral, important part of the investigative research process. It is sometimes possible for the material contained within the vial of "Cytokeratin 10 (KRT10), Monoclonal Antibody" to become dispersed throughout the inside of the vial, particularly around the seal of said vial, during shipment and storage. We always suggest centrifuging these vials to consolidate all of the liquid away from the lid and to the bottom of the vial prior to opening. Please be advised that certain products may require dry ice for shipping and that, if this is the case, an additional dry ice fee may also be required.Precautions
All products in the AAA Biotech catalog are strictly for research-use only, and are absolutely not suitable for use in any sort of medical, therapeutic, prophylactic, in-vivo, or diagnostic capacity. By purchasing a product from AAA Biotech, you are explicitly certifying that said products will be properly tested and used in line with industry standard. AAA Biotech and its authorized distribution partners reserve the right to refuse to fulfill any order if we have any indication that a purchaser may be intending to use a product outside of our accepted criteria.Disclaimer
Though we do strive to guarantee the information represented in this datasheet, AAA Biotech cannot be held responsible for any oversights or imprecisions. AAA Biotech reserves the right to adjust any aspect of this datasheet at any time and without notice. It is the responsibility of the customer to inform AAA Biotech of any product performance issues observed or experienced within 30 days of receipt of said product. To see additional details on this or any of our other policies, please see our Terms & Conditions page.Item has been added to Shopping Cart
If you are ready to order, navigate to Shopping Cart and get ready to checkout.
