Mouse anti-Human Cytokeratin 13 Monoclonal Antibody | anti-KRT13 antibody
Anti-Cytokeratin 13 Antibody [ABT-CK13]
Gene Names
KRT13; K13; CK13; WSN2
Reactivity
Human
Applications
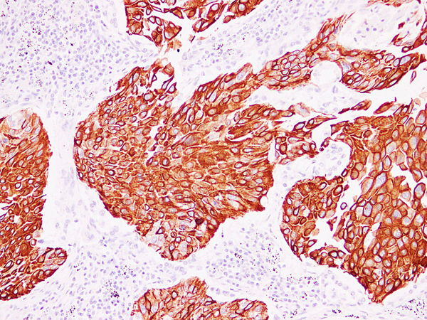
Western Blot, Immunohistochemistry
Purity
Immunogen Affinity Purified
Synonyms
Cytokeratin 13, Antibody; Anti-Cytokeratin 13 Antibody [ABT-CK13]; Anti-Cytokeratin 13 [ABT-CK13]; Mouse monoclonal [ABT-CK13] antibody to CK13; CK-13; CK13; cytokeratin-13; K1C13; keratin type I cytoskeletal 13; KRT13; anti-KRT13 antibody
Host
Mouse
Reactivity
Human
Clonality
Monoclonal
Isotype
IgG1, kappa
Clone Number
ABT-CK13
Specificity
The antibody can specifically recognize human CK13 protein. In western blotting of A431 cell lysate, the antibody can label a 50kDa band corresponding to CK13.
Purity/Purification
Immunogen Affinity Purified
Form/Format
PBS, pH 7.4, 0.03% Proclin 300, 50% glycerol
Sequence Length
420
Applicable Applications for anti-KRT13 antibody
WB (Western Blot), IHC (Immunohistochemistry)
Localization
Cytoplasmic, Membranous
Positive Tissue Control
Tonsil
Immunogen
Synthetic peptide
Preparation and Storage
Store at -20 degree C for 1 year.
Related Product Information for anti-KRT13 antibody
Mouse monoclonal [AVT-CK13] antibody to CK13.
Product Categories/Family for anti-KRT13 antibody
NCBI and Uniprot Product Information
NCBI GI #
NCBI GeneID
UniProt Accession #
NCBI Official Full Name
cytokeratin 13
NCBI Official Synonym Full Names
keratin 13
NCBI Official Symbol
KRT13
NCBI Official Synonym Symbols
K13; CK13; WSN2
NCBI Protein Information
keratin, type I cytoskeletal 13
UniProt Protein Name
Keratin, type I cytoskeletal 13
UniProt Gene Name
KRT13
UniProt Synonym Gene Names
CK-13; K13
Customer Reviews
Loading reviews...
Share Your Experience
Similar Products
Product Notes
The KRT13 krt13 (Catalog #AAA318513) is an Antibody produced from Mouse and is intended for research purposes only. The product is available for immediate purchase. The Anti-Cytokeratin 13 Antibody [ABT-CK13] reacts with Human and may cross-react with other species as described in the data sheet. AAA Biotech's Cytokeratin 13 can be used in a range of immunoassay formats including, but not limited to, WB (Western Blot), IHC (Immunohistochemistry). Researchers should empirically determine the suitability of the KRT13 krt13 for an application not listed in the data sheet. Researchers commonly develop new applications and it is an integral, important part of the investigative research process. It is sometimes possible for the material contained within the vial of "Cytokeratin 13, Monoclonal Antibody" to become dispersed throughout the inside of the vial, particularly around the seal of said vial, during shipment and storage. We always suggest centrifuging these vials to consolidate all of the liquid away from the lid and to the bottom of the vial prior to opening. Please be advised that certain products may require dry ice for shipping and that, if this is the case, an additional dry ice fee may also be required.Precautions
All products in the AAA Biotech catalog are strictly for research-use only, and are absolutely not suitable for use in any sort of medical, therapeutic, prophylactic, in-vivo, or diagnostic capacity. By purchasing a product from AAA Biotech, you are explicitly certifying that said products will be properly tested and used in line with industry standard. AAA Biotech and its authorized distribution partners reserve the right to refuse to fulfill any order if we have any indication that a purchaser may be intending to use a product outside of our accepted criteria.Disclaimer
Though we do strive to guarantee the information represented in this datasheet, AAA Biotech cannot be held responsible for any oversights or imprecisions. AAA Biotech reserves the right to adjust any aspect of this datasheet at any time and without notice. It is the responsibility of the customer to inform AAA Biotech of any product performance issues observed or experienced within 30 days of receipt of said product. To see additional details on this or any of our other policies, please see our Terms & Conditions page.Item has been added to Shopping Cart
If you are ready to order, navigate to Shopping Cart and get ready to checkout.
